Envoi du mail en cours
 

Toutes les actualités scientifiques

Page 541 sur 775        Premier  Précédent  536  537  538  539  540  541  542  543  544  545  Suivant  Dernier
Hématologie
Vos patients ont lu
Source : Hemato.net - Newsletter bimensuelle juin 2017
« Sébastien traverse la France à vélo contre la leucémie »
Ouest France remarque en effet que « Sébastien P., 31 ans, a eu une leucémie en 2009 et a obtenu une greffe en 2015. Depuis, il se lance des défis à vélo pour sensibiliser à la maladie ». Le journal explique qu’« en 2009, on lui avait prédit 8 jours à vivre. Huit ans plus tard, Sébastien P. est en passe de boucler son deuxième défi à vélo à travers la France. Une leçon de vie...
Hématologie
Vos patients ont lu
Source : Hemato.net - Newsletter bimensuelle juin 2017
« Leucémie : en expliquant les rechutes, la recherche avance »
La Dépêche indique en effet qu’« en étudiant les rechutes, une équipe du Centre de recherches en cancérologie de Toulouse (Oncopole) vient de faire un pas de plus dans le traitement des leucémies aiguës myéloïdes ». Le journal évoque « une révolution, un changement de perspective dans la recherche sur les leucémies aiguës myéloïdes. Pendant des années, les scientifiques...
Hématologie
Article Commenté
Source : J Clin Oncol. 2017 ; 35(14):1686-1694.
Différences de taille d'effet entre survie globale (OS) et survie sans progression (PFS) dans les essais d'immunothérapie : étude méta-épidémiologique des essais à partir des résultats sur ClinicalTrial.gov
Pr Vincent Lévy Hôpital Avicenne - Bobigny
La survie sans progression ou PFS est souvent utilisée comme critère de jugement en cancérologie, mais sa validité est pour le moins hétérogène en fonction des types de tumeurs étudiées ; il existe même des résultats hétérogènes à l’intérieur même d’un type de tumeur donnée. L’avènement de l’immunothérapie a augmenté récemment la nécessité d’avoir un accès rapide...
Hématologie
Article Commenté
Source : Eur J Haematol. 2017 ; 98(4):407-414.
Quels facteurs prédictifs de réponse aux ASE dans la myélofibrose ?
Pr Nicole Casadevall Hôpital Saint-Antoine - Paris
L’anémie est un problème clinique important dans la prise en charge de la myélofibrose. Pratiquement tous les patients vont développer une anémie au cours de l’évolution de la maladie. Les traitements cytoréducteurs, en particulier l’hydroxyurée, les inhibiteurs de JAK2 vont aggraver cette anémie. L’anémie est un facteur de mauvais pronostic dans la myélofibrose...
Hématologie
Article Commenté
Source : Cancer. 2017 Apr 7. doi: 10.1002/cncr.30558.
Traitement des Leucémies avec Chromosome Philadelphie et mutation T 315 I : ponatinib ou allogreffe ?
Pr Michel Tulliez Hôpital Henri-Mondor - Créteil
Les inhibiteurs de tyrosine kinase (ITK), imatinib et ITK de deuxième génération, ont totalement transformé le pronostic de la leucémie myéloïde chronique(LMC) au cours des 15 dernières années. Associés à la chimiothérapie, ils ont amélioré les résultats du traitement des Leucémies Aiguës Lymphoblastiques (LAL) PH +. Jusqu’en 2010, l’allogreffe était le traitement de référence...
Hématologie
Article Commenté
Source : Eur J Cancer. 2017 ; 78:53-60.
Admission en urgence et survie chez les patients atteints de Lymphomes Non Hodgkiniens agressifs. Données d'un registre anglais (Haematological Malignancy Research Network)
Pr Vincent Lévy Hôpital Avicenne - Bobigny
Il est communément admis qu’un délai diagnostique long est un facteur de mauvais pronostic pour les patients atteints de cancer. Parmi les hémopathies malignes, nombreuses sont celles qui se présentent sous forme d’urgences médicales (myélomes, leucémies, lymphomes). Les lymphomes B diffus à grandes cellules représentent plus de la moitié des lymphomes...
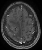
Une localisation trompeuse
Neuro-oncologie
Cas Clinique
Source : NeuroScoop.net - Actu'Hebdo juillet 2017
Une localisation trompeuse
Dr Fatima Zohra Guettaf Centre Anti Cancer ; Faculté de Médecine Université Blida 1 - Blida et Dr Yamina Yousfi (Pathologiste - Faculté de Médecine Université Blida 1 ; CHU Douera - Alger)
Patiente âgée de 27 ans, mère d’un enfant sans ATCD neurologiques particuliers, hospitalisée en neurochirurgie le 20/11/2016 pour un syndrome d’HIC, épilepsie pariétale, un flou visuel, vertiges, paresthésies et faiblesse musculaire.
Examen neurologique :
- hémiparésie brachio-crurale gauche
- IK 90%

Quels examens demanderiez-vous ?
 
Cancer digestif/Immunothérapie
Article Commenté
Source : Lancet Oncol 2017 ; S1470-2045(17) 30104-3
Le nivolumab est efficace dans les carcinomes à cellules squameuses du canal anal métastatiques, réfractaires à la chimiothérapie
Dr Stefano Kim CHRU - Besançon
Le carcinome à cellules squameuses du canal anal (CSCA) est une maladie rare. Il représente 1,2% des cancers digestifs et 6% des cancers ano-rectaux, mais son incidence est en constante augmentation. Environ 15% des patients présentent une maladie métastatique au diagnostic, et parmi les patients diagnostiqués au stade précoce, 25% présenteront...
Immunothérapie
Vos patients ont lu
Source : Cancero.net - Actualités en immuno-oncologie mai 2017
« Leucémies, lymphomes : les molécules de l'espoir »
« Rémissions chez des patients réfractaires à tous les traitements et même espoirs de guérison pour certains cancers du sang réputés incurables. Des bonnes nouvelles présentées au congrès de la Société américaine d'hématologie (ASH) qui s'est tenu à San Diego, aux Etats-Unis », s’enthousiasme Top Santé. « Un grand nombre de molécules ont vu le jour depuis...
Immunothérapie
Vos patients ont lu
Source : Cancero.net - Actualités en immuno-oncologie mai 2017
« Vaccin contre le cancer : des premiers essais prometteurs »
« Des essais cliniques sont en cours pour tester un vaccin qui serait capable de guérir le cancer (…). Une équipe de chercheurs du Dana-Farber Cancer Institute de Boston vient de présenter des résultats prometteurs à l'American Association for Cancer Research (AACR) à Washington », révèle L’Express. Principale difficulté de la mise au point d’un vaccin : « il existe...
Immunothérapie
Vos patients ont lu
Source : Cancero.net - Actualités en immuno-oncologie mai 2017
« Cancer avancé de la vessie : promesses de l'immunothérapie »
Dans Paris Match, le Pr Thierry Lebret, chef du service d'urologie à l'hôpital Foch de Suresnes, président de l'Association française d'urologie, « explique cette nouvelle approche qui laisse espérer une nette amélioration du pronostic ». Concernant la fréquence des cancers de la vessie, « on en recense 11.000 en France par an et plus souvent chez l'homme. Le tabac est...
Immunothérapie
Vos patients ont lu
Source : Cancero.net - Actualités en immuno-oncologie mai 2017
« Cancer : améliorer les effets de l'immunothérapie »
« En reprogrammant les vaisseaux sanguins de la tumeur, il serait possible d'améliorer l'efficacité de l'immunothérapie », révèle Top Santé. « Les chercheurs de l'Ecole polytechnique fédérale de Lausanne en Suisse ont réussi à améliorer l'efficacité de l'immunothérapie du cancer en bloquant deux protéines qui régulent la croissance des vaisseaux sanguins de la tumeur...
Page 541 sur 775        Premier  Précédent  536  537  538  539  540  541  542  543  544  545  Suivant  Dernier
Newsletters