X
Déclaration de liens d'intérêts
Cet auteur a déclaré n'avoir aucun lien d'intérét
Envoi du mail en cours
×
Fermer
Recommander à un confrère
Destinataires
Séparez les différentes adresses par une virgule.
Commentaire
Cher confrère, je pense que ceci devrait t'intéresser. Cordialement,
Les données collectées dans ce formulaire sont uniquement destinées à l'envoi de l'e-mail d'invitation et ne sont pas conservées.
Supportez notre indépendance éditoriale
Connexion / Inscription
Accueil
Actualités
Actus congrès
Actus médiathèques
Actus Scientifiques
Dossiers thématiques
Agenda des congrès
Article du jour Mediscoop
Duo d'experts
Interviews
Newsletter : Actualités des jeunes oncologues
Newsletter : Bimensuelle
Infos Flash
Newsletter : les nouvelles actualités en urologie
Newsletter : e-Psy
Newsletter : Actualité en immuno-oncologie
Newsletter : Actualité en oncologie thoracique
La newsletter spéciale cancers gynécologiques
Newsletter : spéciale cancer de l'ovaire
Newsletter : e-Thorax
Newsletter : lettre Anocef
Newsletter : Senoscoop
Newsletter : Spéciale cancers sein métastatiques
Paroles d'EXperts
Revue de presse Mediscoop
Synthèses
Webcasts
Pathologies
Algologie
Autres
Cancer cutané
Cancer de l'appareil e...
Cancer digestif
Cancer du poumon
Cancer du SNC
Cancer gynécologique
Cancer ORL
Cancer pédiatrique
Cancer urologique
Cancers rares
Hématologie
Onco-génétique
Oncologie fondamentale
Psycho-oncologie
Sénologie
Thérapeutiques
Immunothérapie
Soins de support
Exploration
Imagerie
Biomarqueurs
Services
A propos
Contact
Accueil
Actualités
Actus congrès
Actus médiathèques
Actus Scientifiques
Dossiers thématiques
Agenda des congrès
Article du jour Mediscoop
Duo d'experts
Interviews
Newsletter : Actualités des jeunes oncologues
Newsletter : Bimensuelle
Infos Flash
Newsletter : les nouvelles actualités en urologie
Newsletter : e-Psy
Newsletter : Actualité en immuno-oncologie
Newsletter : Actualité en oncologie thoracique
La newsletter spéciale cancers gynécologiques
Newsletter : spéciale cancer de l'ovaire
Newsletter : e-Thorax
Newsletter : lettre Anocef
Newsletter : Senoscoop
Newsletter : Spéciale cancers sein métastatiques
Paroles d'EXperts
Revue de presse Mediscoop
Synthèses
Webcasts
Pathologies
Algologie
Autres
Cancer cutané
Cancer de l'appareil e...
Cancer digestif
Cancer du poumon
Cancer du SNC
Cancer gynécologique
Cancer ORL
Cancer pédiatrique
Cancer urologique
Cancers rares
Hématologie
Onco-génétique
Oncologie fondamentale
Psycho-oncologie
Sénologie
Thérapeutiques
Immunothérapie
Soins de support
Exploration
Imagerie
Biomarqueurs
Services
A propos
Contact
Accéder à:
AlgoScoop
AllergoScoop
CanceroNet
Coeur
DermatoNet
DiabetoNet
GastroEnteroNet
GynecoNet
HematoNet
NephroFr
NeuroScoop
OrlScoop
PneumoScoop
RhumatoNet
Publicité
Toutes les actualités scientifiques
Page 555 sur 775
Premier
Précédent
550
551
552
553
554
555
556
557
558
559
Suivant
Dernier
Publicité
Cancer digestif/Cancer gynécologique/Cancer du poumon/Cancer de la prostate/Onco-thoracique
Vos patients ont lu
Source : Cancero.net - Bimensuelle mars 2017
« Il existe des cancers de riches et des cancers de pauvres »
« La localisation du cancer dépend de la condition socio-économique du malade. Une observation qui serait, en partie, expliquée par les comportements différents adoptés selon les milieux sociaux
», révèle Le Figaro. «
Les cancers des lèvres-bouche-pharynx, de l’estomac et du foie sont davantage observés parmi les populations défavorisées. Au contraire...
Sénologie
Vos patients ont lu
Source : Cancero.net - Bimensuelle mars 2017
« Cancer du sein : un apport en protéines pourrait réduire le risque de rechute »
Dans sa chronique,
le Pr David Khayat, chef de service de cancérologie à la Pitié-Salpêtrière fait savoir qu’
«
une augmentation de l'apport en protéines pourrait réduire le risque de rechute de cancer du sein, suggère une étude
», «
menée par la Nurses’Health Study
» et dont «
les résultats ont été publiés dans le
Journal of Clinical Oncology »
...
Cancer du poumon/Onco-thoracique
Article Commenté
Source : J Thorac Oncol. 2017 ; 12(2):302-313.
Radiothérapie post-opératoire des cancers non à petites cellules
Pr Jean-Louis Pujol
CHU et IRCM INSERM U 1194 - Montpellier
La question de l’utilité de la radiothérapie post-opératoire des cancers bronchiques non à petites cellules, se pose depuis 1965 et n’est toujours pas tranchée. L’étude majeure posant la question de l’utilité de la radiothérapie, est l’essai Lung Art. Le recrutement est toujours en cours et il y a peu d’information à espérer avant...
Hématologie
Vos patients ont lu
Source : Hemato.net - Newsletter bimensuelle mars 2017
« Leucémie : une fillette sauvée grâce à une technique française »
France Info se penche sur
« la petite Layla Richards [qui] a guéri d'une leucémie dans un hôpital de Londres, après que les médecins ont utilisé une méthode découverte à Paris ».
L’article relève ainsi : «
La petite Layla Richards va très bien, elle joue comme n'importe quel autre enfant. En juin 2015 pourtant, atteinte d'une leucémie, son cas était désespéré...
Hématologie
Vos patients ont lu
Source : Hemato.net - Newsletter bimensuelle mars 2017
« Leucémie : Joris, 18 ans, vit dans une chambre stérile à l'hôpital »
Top Santé brosse le portrait de Joris, 18 ans, qui
« a passé un mois dans une chambre d'isolement dans le cadre du traitement de son cancer. Pour l'aider à supporter la séparation familiale, un robot a été placé à son domicile. Ce qui lui permet de partager le quotidien de ses proches
». Le magazine indique en effet que le jeune homme est hospitalisé dans...
Hématologie
Article Commenté
Source : N Engl J Med. 2017 ; 376(9):848-855.
Thérapie génique chez un patient drépanocytaire : un scoop français !
Pr Loïc Garçon
CHU Amiens-Picardie - Amiens
La greffe de moelle allogénique est le seul traitement curatif à ce jour des syndromes drépanocytaires majeurs (SDM), mais son recours est limité par le faible nombre de patients pour lesquels un donneur allogénique intrafamilial est disponible (moins de 20% des patients). Dans cette maladie monogénique, la thérapie génique...
Hématologie
Article Commenté
Source : Biol Blood Marrow Transplant. 2017 Feb 13. doi: 10.1016/j.bbmt.2017.02.006.
Impact de l'introduction précoce d'antibiotiques à large spectre sur le risque de GVH et de mortalité toxique après allogreffe de CSH
Pr Marie-Thérèse Rubio
CHU Nancy - Hôpital de Brabois - Vandoeuvre-Les-Nancy
L’introduction précoce d’antibiotiques à large spectre avant la greffe allogénique de CSH entraine une dysbiose plus importante que leur introduction plus tardive pendant l’aplasie après la greffe et est associée à un risque accru de mortalité toxique du fait d’un risque accru de GVH. La chimiothérapie et les antibiotiques à large spectre utilisés...
Hématologie
Article Commenté
Source : Nat Commun. 2017 ; 8:14175.
L'analyse d'association pangénomique démontre l'implication de gènes de l'immunité dans la leucémie lymphoïde chronique
Pr Vincent Lévy
Hôpital Avicenne - Bobigny
La LLC est une hémopathie B pour laquelle la composante génétique est importante, les proches d’un patient atteints ayant un risque de développer la maladie 8 fois supérieur à celui de la population générale. L’apparition des techniques (GWAS) a radicalement modifié la compréhension de la maladie, et 33 loci ont été identifiés...
Hématologie
Article Commenté
Source : Blood. 2017 ; 129(8):934-939.
Méta-analyse du risque thromboembolique veineux chez les femmes enceintes atteintes de thrombocytémie essentielle
Dr Nicolas Gendron
Hôpital Européen Georges-Pompidou - Paris
La thrombocytémie essentielle (TE) est un syndrome myéloprolifératif responsable d’une thrombocytose importante associée à des mutation somatiques de JAK2, CALR ou MPL. Les patients atteints de TE présentent un compte plaquettaire > 450 G/L, un risque élevé d’évènements thromboemboliques veineux et/ou artériels...
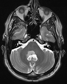
Cancer du SNC
Cas Clinique
Source : NeuroScoop.net - Actu'Hebdo mars 2017
Une histoire (Hi)Stone
Dr Charlotte Bronnimann
CHU - Bordeaux
et
Pr François Ducray
(Neurologue - Hôpital Wertheimer - Lyon)
Mr T., 42 ans - Se présente pour diplopie en octobre 2013, évoluant progressivement depuis quelques jours - Pas d’antécédent notable ni de traitement - Examen clinique : atteinte du VI droit - Score OMS 1
Cancer du poumon/Onco-thoracique
Article Commenté
Source : J Clin Oncol. 2017 Jan 30:JCO2016694844.
Le bevacizumab ne prolonge pas significativement la survie des cancers bronchiques à petites cellules
Pr Jean-Louis Pujol
CHU et IRCM INSERM U 1194 - Montpellier
Plusieurs arguments plaident pour l’implication de l’angiogénèse dans le soutien de la croissance et de la progression des cancers bronchiques à petites cellules vers un phénotype métastatique. C’est le rationnel des études qui ont proposé le bevacizumab dans cette indication. Voici une étude italienne, dont le protocole de phase III est...
Sénologie
Vos patients ont lu
Source : Cancero.net - Bimensuelle février 2017
« Cancer du sein : avoir une poitrine dense doublerait le risque »
« Les femmes à la poitrine dense auraient deux fois plus de risque de développer un cancer du sein. Selon de nouvelles recherches publiées dans le journal JAMA oncology, il s'agirait même du plus grand facteur de risque, avant les antécédents familiaux
», révèle Femme Actuelle. La raison ?
« Les experts de l'Université de Californie
Page 555 sur 775
Premier
Précédent
550
551
552
553
554
555
556
557
558
559
Suivant
Dernier
Publicité
Publicité
Memento des recos
Accéder à toutes les recommandations
Actus congrès
Journées Francophones d'Hépato-gastroentérologie et...
Palais des Congrès - Paris, France
19-22 mars 2026
Toutes les actus congrès
Agenda des congrès
Accéder à l'agenda des congrès à venir
Dossiers thématiques
Les inhibiteurs HER2+ : du concept à la clinique
Tous les dossiers
Autres actualités
Prise en charge des gliomes : rétroperspective des congrès...
Pr François Ducray (
Hôpital Wertheimer - Lyon
)
Dr Alice Laurenge-Leprince (
Hôpital Pitié-Salpêtrière - Paris
)
Dr Sam Ng (
CHU Montpellier
)
Tous les webcasts
Résultats à 3 ans de l'étude SEQUOIA...
par le Dr
Emmanuelle Ferrant
(Hôpital Lyon Sud - HCL - Lyon)
Toutes les interviews
Memento des recos sur lymphome B agressif : que nous...
par le Dr
Guillaume Manson
(CHU - Rennes)
Toutes les synthèses
Newsletters
Lettre Anocef
Cancero.net - Bimensuelle
Cancero.net - Spéciale cancers sein métastatiques
Anocef - Spéciale glioblastome
Cancero.net - Actualité en oncologie thoracique
Cancero.net - Cancers gynécologiques
Cancero.net - Spéciale cancer colorectal métastatique
Publicité
×
Fermer