Envoi du mail en cours
 

Toutes les actualités scientifiques

Page 563 sur 775        Premier  Précédent  558  559  560  561  562  563  564  565  566  567  Suivant  Dernier
Cancer du poumon/Onco-thoracique
Vos patients ont lu
Source : Cancero.net - Bimensuelle janvier 2017
« Moi(s) sans tabac : le bilan »
Santé magazine fait savoir que « l’opération nationale d’arrêt du tabac lancée par le ministère de la Santé a remporté un vif succès avec 180 000 inscrits ». Il rappelle que « du 1er au 30 novembre 2016, les fumeurs voulant arrêter la cigarette ont réuni leurs efforts en profitant de l’opération Moi(s) sans tabac, lancé par...
Cancer du poumon/Onco-thoracique
Vos patients ont lu
Source : Cancero.net - Bimensuelle janvier 2017
« Cancer du poumon : l'ibuprofène protégerait les fumeurs »
« La consommation d'ibuprofène permettrait de réduire les risques de cancer du poumon chez les fumeurs et anciens fumeurs, selon les résultats d'une nouvelle étude » fait savoir Top Santé. « Les chercheurs de l'université de l'Ohio State à Columbus aux Etats-Unis ont réalisé une méta-analyse avec 10 735 volontaires...
Sénologie
Vos patients ont lu
Source : Cancero.net - Bimensuelle janvier 2017
« Cancer du sein : l'effet Angelina Jolie sur le dépistage »
Femme Actuelle rappelle qu’« en mai 2013, Angelina Jolie révélait (…) avoir subi une double mastectomie », expliquant ce choix « en prévention du cancer du sein auquel elle était fortement exposée à cause de son patrimoine génétique ». « La star est en effet porteuse d'une mutation des gènes BRCA 1 qui...
Cancer du poumon/Onco-thoracique
Article Commenté
Source : J Thorac Oncol. 2017 ; 12(1):85-93.
Faut-il faire une dissection ganglionnaire exhaustive ou une dissection ganglionnaire limitée au drainage du lobe, au cours d'une lobectomie pour cancer non à petites cellules ?
Pr Jean-Louis Pujol CHU et IRCM INSERM U 1194 - Montpellier
C’est à cette question que tentent de répondre, par une étude rétrospective, les auteurs de cet article paru dans le Journal of Thoracic Oncology. Les défenseurs de la dissection systématique des ganglions prônent cette technique pour s’assurer avec précision du statut ganglionnaire médiastinal. Ceux qui défendent...
Cancers du sein métastatiques HER2+ : résultats de l'étude MARIANNE ou « le plus n'est pas forcément mieux »...
Sénologie
Article Commenté
Source : J Clin Oncol. 2017 ; 35(2):141-148.
Cancers du sein métastatiques HER2+ : résultats de l'étude MARIANNE ou « le plus n'est pas forcément mieux »...
Pr Florence Dalenc Institut Claudius Regaud - Toulouse
Les résultats de l’essai de phase III, international et multicentrique, MARIANNE viennent d’être publiés dans le dernier Journal Of Clinical Oncology. On rappelle qu’il s’agit d’une étude randomisée, à trois bras (1 :1 :1), conduite auprès de 1095 patientes présentant un cancer du sein HER2+ en première...
Hématologie
Vos patients ont lu
Source : Hemato.net - Newsletter bimensuelle janvier 2017
« Le mésentère, un nouvel organe ? »
Santé Magazine s’interroge : « Pouvons-nous, d'un seul coup, avoir un nouvel organe dans notre corps ? Non, mais certains, comme le mésentère, sont encore peu connus ». Il explique ainsi que « le mésentère est un organe qui fait partie du système digestif. C'est un repli du péritoine qui relie l'intestin grêle à la paroi abdominale. Il permet...
Hématologie
Vos patients ont lu
Source : Hemato.net - Newsletter bimensuelle janvier 2017
« Un agriculteur débouté face à Monsanto »
France Info fait savoir qu’« un agriculteur de 57 ans, atteint d'un cancer de la moelle épineuse, n'a pas réussi à faire reconnaitre par le tribunal de grande instance de Lyon, le lien de cause à effet, entre l'utilisation d'un désherbant et le développement de sa maladie ». L’article note que « Jean-Marie Desdions, agriculteur...
Hématologie
Article Commenté
Source : Lancet Oncol. 2016 Dec 9. pii: S1470-2045(16)30632-5.
L'ibrutinib dans les maladies de Waldenström réfractaires au rituximab : analyse d'un sous-groupe de l'étude iNNOVATE
Dr Stéphanie Harel Hôpital Saint-Louis - Paris
L’ibrutinib est approuvé pour la maladie de Waldenström en rechute mais il manque de données pour définir sa place exacte et tester son utilisation en association. L’étude iNNOVATE est une vaste étude de phase 3 internationale étudiant l’intérêt de l’association rituximab et ibrutinib chez des patients présentant une maladie...
Hématologie
Article Commenté
Source : J Clin Oncol. 2017 ; 35(2):135-138.
La participation aux essais de phase I est-elle thérapeutique ?
Pr Vincent Lévy Hôpital Avicenne - Bobigny
Les essais de phase I restent une étape cruciale du développement des médicaments en Hémato-cancérologie. En 2014, la Société américaine de cancérologie (ASCO) a publié les règles actualisées de réalisation de ces essais, insistant sur deux points principaux : (i) leur objectif thérapeutique et (ii) le fait qu’ils puissent entraîner un...
Hématologie
Article Commenté
Source : Br J Haematol. 2016 ; 175(5):892-903.
Expérience en monde réel avec le registre de LLC Connect®. Une enquête prospective sur 1494 patients dans 199 centres américains
Pr Vincent Lévy Hôpital Avicenne - Bobigny
La prise en charge diagnostique et thérapeutique de la LLC est théoriquement encadrée par des recommandations internationales et de diverses sociétés savantes. Il existe cependant une très grande hétérogénéité dans l’interprétation de ces recommandations et les pratiques cliniques en fonction des pays, mais également en fonction des sites...
Hématologie
Article Commenté
Source : Br J Haematol. 2016 ; 172(5):786-93.
Résistance/intolérance à l'hydroxyurée, quels impacts sur le pronostic ?
Pr Nicole Casadevall Hôpital Saint-Antoine - Paris
L’hydroxycarbamide (HU) est le médicament cytoréducteur le plus fréquemment utilisé dans la polyglobulie de Vaquez (PV). Les patients ont en général une réponse adéquate et une tolérance acceptable. Ces dernières années, l’European Leukemia Net (ELN) a établi des critères de réponse clinico-biologiques et donné...
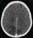
Une urgence qui presse
Cancer du SNC
Cas Clinique
Source : Cancero.net - Bimensuelle janvier 2017
Une urgence qui presse
Dr Mathieu Jamelot CHU - Rouen
Mme O., patiente de 61 ans, est prise en charge en octobre 2014 dans le service d’oncologie médicale du Groupe Hospitalier du Havre pour un carcinome épidermoïde de l’utérus métastatique.
Traitement initial par 3 cures de chimiothérapie par carboplatine-Taxol.
Pas d’antécédents à signaler, absence de localisation secondaire au niveau cérébral.
Mais…
Page 563 sur 775        Premier  Précédent  558  559  560  561  562  563  564  565  566  567  Suivant  Dernier
Newsletters