Envoi du mail en cours
 

Toutes les actualités scientifiques

Page 588 sur 775        Premier  Précédent  583  584  585  586  587  588  589  590  591  592  Suivant  Dernier
Cancer de la prostate
Compte Rendu
Source : ESMO (GI)
Premiers éléments d’activité clinique significative d’inhibiteur de PD-1 dans le cancer de la prostate métastatique réfractaire à la castration
Dr Marine Gross-Goupil CHU Saint André - Bordeaux
A ce jour, hormis l’arlésienne de Sipuleucel T, pour nous européens, l’immunothérapie dans le traitement du cancer de la prostate s’est avérée décevante avec 2 essais  négatifs testant l’ipilimumab. Dans le cadre d’un essai de phase I, le nivolumab s’est montré également peu enthousiasmant avec 0 réponse objective
Cancer de la prostate
Compte Rendu
Source : ESMO (GI)
Perte de PTEN, biomarqueur prédictif d’efficacité de l’ipatasertib, inhibiteur Akt, en combinaison avec l’acétate d’abiratérone chez les patients atteints de cancer de la prostate métastatiques, résistants à la castration
Dr Marine Gross-Goupil CHU Saint André - Bordeaux
Les  voies PI3K/Akt/mTOR, et voie de signalisation des récepteurs aux androgènes sont fréquemment activées dans les CRPCm. De plus, l’activation d’Akt est médiée par la perte de PTEN, par des mécanismes génomiques (délétion, micro-délétions, ré-arrangements..) ou non génomiques (méthylation, miRNA..)
Compte Rendu
Source : ESMO (GI)
Les variations des taux sériques d’IL8 pourraient constituer un bio-marqueur prédictif de l’efficacité des anti PD1 dans le cancer bronchique non à petites cellules
Dr Bertrand Mennecier CHRU - Nancy
Voici donc qu’avancent les connaissances sur l’existence d’éventuelles biomarqueurs pour guider le traitement par anti-PD1. On ne reviendra pas en détails sur toutes les problématiques liées au testing de PDL1.
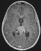
Apparences trompeuses
Cancer du SNC
Cas Clinique
Source : NeuroScoop.net - Actu'Hebdo décembre 2016
Apparences trompeuses
Dr Julien Boetto CHU - Montpellier
Données cliniques : Garçon, 14 ans ; Pas d’antécédent personnel ou familial ; Tableau d’hypertension intracrânienne progressif depuis 1 mois ; Vomissements itératifs ; Réalisation d’un bilan d’imagerie cérébrale...
Cancer urologique
Article Commenté
Source : Ann Rheum Dis 2016 ; 75:1272-8
PR et cancer du col utérin : un risque augmenté même en l’absence de traitement anti-TNFalpha ?
Pr René-Marc Flipo CHU - Lille
Les traitements immunosuppresseurs constituent un facteur de risque établi quant à l’augmentation d’incidence des cancers induits par les virus dont les cancers du col utérin. Dans la PR, un premier travail a montré une augmentation potentielle de plus de 50% concernant les dysplasies utérines de haut grade, alors que 2 études sur de faibles effectifs...
Sénologie
Vos patients ont lu
Source : Cancero.net - Bimensuelle septembre 2016
« Cancer du sein : une mammographie moins douloureuse et plus précise »
« Souvent jugée douloureuse par les femmes qui doivent s'y plier, la mammographie est un examen essentiel dans la détection du cancer du sein. Un nouvel appareil, baptisé Senographe Pristina, promet davantage de confort et se révèlerait plus précis, grâce à l'utilisation de la 3D », fait savoir Femme Actuelle...
Cancer du poumon/Onco-thoracique
Vos patients ont lu
Source : Cancero.net - Bimensuelle septembre 2016
« Le piment et le gingembre réduiraient le risque de cancer du poumon »
« Si la capsaïcine, issue du piment augmente le risque de cancer du poumon, la combinaison avec le 6-gingérol composé du gingembre inverserait ce processus et réduirait la probabilité à 20%, [selon les résultats d'une étude publiée dans la revue médicale Journal of Agricultural and Food Chemistry] », rapporte Top Santé...
Impact pronostique du jeune âge (< 40 ans) par sous-type immunohistochimique des cancers du sein non métastatiques
Sénologie
Article Commenté
Source : J Clin Oncol. 2016 ; 34(27):3308-14.
Impact pronostique du jeune âge (< 40 ans) par sous-type immunohistochimique des cancers du sein non métastatiques
Pr Florence Dalenc Institut Claudius Regaud - Toulouse
Le jeune âge au diagnostic d’un cancer du sein (CS) est communément associé à un phénotype plus agressif et plusieurs études ont rapporté un impact pronostique négatif du jeune âge après un traitement adapté (loco-régional + traitement systémique). Cette vaste étude rétrospective qui vient d’être publiée dans...
Une lettre avec un timbre à la nicotine !
Cancer du poumon
Article Commenté
Source : JAMA Intern Med. 2016 ; 176(2):184-190
Une lettre avec un timbre à la nicotine !
Pr Jean-Louis Pujol CHU et IRCM INSERM U 1194 - Montpellier
On peut sevrer un fumeur sans le connaître ! L'étude canadienne qui est ici rapportée par le JAMA s'est intéressée au sevrage de masse assisté par des substituts de nicotine simplement postés. Sur son principe, l'étude randomisée veut vérifier que les patchs de nicotine augmentent les chances de sevrage des sujets fumeurs sans aucune autre intervention...
Cancer du poumon
Vos patients ont lu
Source : Cancero.net - Bimensuelle septembre 2016
« Chicha ou cigarette : quel est le plus dangereux ? »
« La perception répandue que fumer la chicha est plus sain que de fumer la cigarette, explique le nombre croissant d’adeptes. Or, ces derniers s'exposent à une plus grande quantité de substances chimiques dangereuses », met en garde Santé Magazine. « En mars 2015, des experts réunis à Abu Dhabi à l’occasion de...
Cancer du poumon
Vos patients ont lu
Source : Cancero.net - Bimensuelle septembre 2016
« Faire le ménage est bon pour la santé »
« Pour mieux prévenir les risques de cancer du poumon et du côlon, le diabète, les maladies cardiovasculaires et les AVC, faites le ménage ! Passer chaque semaine l'aspirateur pendant quinze minutes est une des activités qui contribuent à repousser le spectre de ces cinq maladies (BMJ, août 2016) », fait savoir Les Echos...
Sénologie
Vos patients ont lu
Source : Cancero.net - Bimensuelle septembre 2016
« Cancer du sein : les bienfaits de l’acupression pour réduire la fatigue »
Dans sa chronique, le Pr David Khayat, chef de service de cancérologie à la Pitié-Salpêtrière, révèle que « selon les résultats d’un essai clinique, rapportés dans la revue JAMA Oncology, les techniques de l’acupression relaxante et stimulante réduisent la fatigue chez les femmes récemment soignées d’un cancer du sein »...
Page 588 sur 775        Premier  Précédent  583  584  585  586  587  588  589  590  591  592  Suivant  Dernier
Newsletters