Envoi du mail en cours
 

Toutes les actualités scientifiques

Page 619 sur 775        Premier  Précédent  614  615  616  617  618  619  620  621  622  623  Suivant  Dernier
Pratiques cancérologiques en fin de vie
Cancer du SNC/Cancer digestif/Cancer du poumon/Cancer de la prostate/Cancer du rein/Cancer de la vessie/Sénologie
Article Commenté
Source : J Clin Oncol. 2008 ; 26(23):3860-6.
Pratiques cancérologiques en fin de vie
Pr Jean-Louis Pujol CHU et IRCM INSERM U 1194 - Montpellier
S’il est une question qui insiste dans le débat éthique de la cancérologie, c’est bien celle de la fin de vie. Rappelons ici un article déjà ancien mais qui peut servir de base au débat. Une définition simple de pratiques de mauvaise qualité est ici proposée : les trois points considérés comme démontrant une pauvre qualité de la prise en charge de fin de vie sont...
Sénologie
Vos patients ont lu
Source : Cancero.net - Bimensuelle février 2016
« Cancer du sein : les radiations reçues lors des mammographies augmenteraient le risque »
Dans sa chronique pour Sciences & Avenir, le Pr David Khayat, chef de service de cancérologie à la Pitié-Salpêtrière indique que « la mammographie peut (…), dans des proportions moindres, augmenter le risque de contracter [le cancer du sein] ». « Par l’étude de huit stratégies de dépistage du cancer du sein, des chercheurs ont souhaité estimer le risque/bénéfice des mammographies. Selon les résultats de cette étude publiés dans...
Sénologie
Vos patients ont lu
Source : Cancero.net - Bimensuelle février 2016
« Cancer du sein : découverte d'une protéine qui empêche le cancer de se propager »
« Des chercheurs britanniques ont découvert une protéine qui pourrait empêcher le cancer du sein de circuler dans les vaisseaux sanguins pour se propager vers d'autres parties du corps », fait savoir Top Santé. « Plusieurs études ont déjà montré qu'après un cancer du sein, les cellules cancéreuses étaient susceptibles de se propager vers d'autres parties du corps, provoquant un cancer secondaire. C'est dans les poumons, les ganglions lymphatiques mais aussi dans les os...
Traitement de seconde ligne par lomustine + bevacizumab chez les patients atteints de glioblastome
Cancer du SNC
Mise au point
Source : NeuroScoop.net - Actu'Hebdo avril 2016
Traitement de seconde ligne par lomustine + bevacizumab chez les patients atteints de glioblastome
Pr Émeline Tabouret Hôpital de la Timone - Marseille
Le glioblastome est la tumeur cérébrale primitive la plus fréquente et le plus agressive de l’adulte. A l’heure actuelle, la récidive reste inévitable dans un délai de 7 à 10 mois, malgré un traitement standard de première ligne par radio-chimiothérapie concomitante et adjuvante (Stupp, NEJM, 2005). A la récidive, l’utilisation du bevacizumab, qui a été associée à des taux de réponse très intéressants (Friedman, 2009, JCO, Kreisl, 2009, JCO), a fait ensuite l’objet d’une phase II...
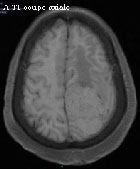
Une tumeur simulant un méningiome
Cancer du SNC
Cas Clinique
Source : NeuroScoop.net - Actu'Hebdo mars 2016
Une tumeur simulant un méningiome
Dr Arnault Tauziède-Espariat AP-HP Lariboisière - Paris
Histoire de la maladie : Patiente âgée de 65 ans, sans antécédents particuliers, adressée en urgence pour hémiparésie sévère droite d’installation progressive depuis 2 mois.
Une IRM cérébrale est réalisée :
NTRK1-SQSTM1… une addiction oncogénique de plus pour les adénocarcinomes ?
Cancer du poumon
Article Commenté
Source : J Thorac Oncol. 2015 ; 10: 1670-4
NTRK1-SQSTM1… une addiction oncogénique de plus pour les adénocarcinomes ?
Pr Jean-Louis Pujol CHU et IRCM INSERM U 1194 - Montpellier
Le travail rapporté ici est une mise en perspective d’un cas clinique, séparé d’une étude de type « basquet ». NTRK1 code pour un récepteur de type Trk tropomyosine related kinase. Le réarrangement de ce gène a été observé dans certaines tumeurs humaines telles que les cancers papillaires de la thyroïde, les cholangiocarcinomes, les sarcomes. Les auteurs sont en cours d’analyse de l’activité d’un inhibiteur...
Sénologie
Vos patients ont lu
Source : Cancero.net - Bimensuelle février 2016
« J'ai jeûné pour mieux supporter ma chimio »
Top Santé livre le témoignage de « Brigitte, 55 ans, [qui] a décidé d'être actrice de son traitement, en jeûnant avant. Elle (…) confie ses motivations et les bénéfices qu'elle a pu observer dans la traversée de cette épreuve ». « J'ai eu un cancer du sein, il y a cinq ans, qui a nécessité six séances de chimiothérapie. Après chacune d'elles, durant quatre jours, j'étais très affaiblie et épuisée. Chirurgien-plasticien, j'étais dans l'incapacité d'exercer... Je restais chez moi, allongée, avec des nausées...
Cancer du SNC/Cancer digestif/Cancer de l'appareil endocrinien/Cancer pédiatrique/Cancer gynécologique/Cancer cutané/Cancer du poumon/Cancer de la prostate/Cancer du rein/Cancer du testicule/Cancer de la vessie/Cancer des os/Sénologie/Soins de support
Vos patients ont lu
Source : Cancero.net - Bimensuelle février 2016
« Il faut penser la vie après le cancer »
A l’occasion de la Journée mondiale contre le cancer, le 4 février, Le Journal du Dimanche publie un entretien avec Martin Hirsch, directeur général de l’AP-HP, qui « promet une meilleure prise en charge des patients ». Celui-ci déclare ainsi : « Nous cherchons à être parmi les «meilleurs élèves» du plan cancer national, lancé il y a 2 ans par le président de la République. L’AP-HP traite, grâce à une offre extrêmement complète...
Récidive de maladie thrombo-embolique au cours du glioblastome
Soins de support
Article Commenté
Source : Thromb Res. 2016 ; 137:184-8.
Récidive de maladie thrombo-embolique au cours du glioblastome
Pr Laurence Camoin-Jau La Timone - Marseille
La maladie thromboembolique veineuse est fréquente chez les patients atteints d’un cancer. Le risque varie en fonction de nombreux critères, notamment en fonction du type de cancer et donc du potentiel procoagulant de la cellule tumorale. Les recommandations internationales proposent aujourd’hui une stratégie diagnostique et thérapeutique assez précise. Cependant, dans la pratique quotidienne...
Les nouvelles générations d'inhibiteur de tyrosine kinase augmentent significativement le risque de thrombose artérielle chez les patients atteints de LMC
Soins de support
Article Commenté
Source : JAMA Oncol. 2016 Feb 4. doi: 10.1001/jamaoncol.2015.5932.
Les nouvelles générations d'inhibiteur de tyrosine kinase augmentent significativement le risque de thrombose artérielle chez les patients atteints de LMC
Pr David Smadja Hôpital Européen Georges-Pompidou - Paris
Les Inhibiteurs de tyrosine kinase (ITK) ont révolutionné le traitement de la LMC. Le premier ITK commercialisé en 2002 fut l'imatinib (GLIVEC). Ils ont permis l’obtention de réponses hématologiques complètes, de réponses cytogénétiques complètes et même de réponses moléculaires majeures. L'utilisation des ITK a également été étendue à d'autres indications comme...
Une étude de cohorte hollandaise confirme l'intérêt du maintien de l'anticoagulation chez les patients avec MTEV associée au cancer
Soins de support
Article Commenté
Source : Chest. 2016 Jan 13. doi: 10.1016/j.chest.2015.10.069
Une étude de cohorte hollandaise confirme l'intérêt du maintien de l'anticoagulation chez les patients avec MTEV associée au cancer
Pr David Smadja Hôpital Européen Georges-Pompidou - Paris
Les derniers consensus du traitement de la maladie thromboembolique veineuse (MTEV) associée au cancer recommandent maintenant la poursuite du traitement anticoagulant tant que le cancer est en phase active, bien que la sécurité de l'arrêt du traitement anticoagulant après rémission ne soit jamais évaluée dans de grandes études cliniques randomisées...
Le blocage du GPR55 : une nouvelle cible thérapeutique potentielle dans le traitement par antiangiogénique du cancer de l'ovaire
Soins de support
Article Commenté
Source : Br J Pharmacol. 2015 ; 172(16):4107-18.
Le blocage du GPR55 : une nouvelle cible thérapeutique potentielle dans le traitement par antiangiogénique du cancer de l'ovaire
Pr David Smadja Hôpital Européen Georges-Pompidou - Paris
Le carcinome de l'ovaire est un cancer richement vascularisé où les antiangiogéniques ont une place de plus en plus importante. La place du bévacizumab est notamment en cours d'évaluation d'un point de vue de la sécurité au long cours comme démontré récemment dans l’essai ROSIA (phase III b de grande envergure, multicentrique, internationale, qui associe en primo-traitement carboplatine-paclitaxel et bévacizumab et explore l’intérêt...
Page 619 sur 775        Premier  Précédent  614  615  616  617  618  619  620  621  622  623  Suivant  Dernier
Newsletters