Envoi du mail en cours
 

Toutes les actualités scientifiques

Page 625 sur 775        Premier  Précédent  620  621  622  623  624  625  626  627  628  629  Suivant  Dernier
Cancer de la prostate
Compte Rendu
Source : Annual Genitourinary Cancers Symposium (ASCO-GU)
Comparaison des données des bras de l’essai STAMPEDE incluant celecoxib (COX) et/ou acide zolédronique (AZ) chez les patients porteurs d’un cancer de la prostate naïfs d’un traitement hormonal
Dr Igor Latorzeff Clinique Pasteur - Toulouse
L’essai STAMPEDE est un essai MAMS (multi arms and multi stages) du MRC qui teste l’apport de nouveaux traitements associés à l’HT comparé au standard de traitement qui est l’hormonothérapie seule pour les patients M0 en échappement après traitement local ou M1.
Le celecoxib agit négativement sur la voie COX-2 ...
Cancer du rein
Compte Rendu
Source : Annual Genitourinary Cancers Symposium (ASCO-GU)
Le rôle de la néphrectomie cyto-réductive dans le traitement du cancer du rein métastatique avec un thrombus veineux
Dr Idir Ouzaid Hôpital Bichat - Paris
La néphrectomie cyto-réductive (NCR) a montré un certain bénéfice en termes de survie dans des études prospectives randomisées chez les patients atteints d’un cancer du rein métastatique (mRCC). Par ailleurs, la présence d’un thrombus veineux peut nécessiter une intervention plus complexe lors de l’exérèse de la tumeur primaire.
Jonasch et al. ont rapporté une étude évaluant le rôle de la NCR dans le traitement des cRCC avec un thrombus tumoral...
Cancer de la prostate
Compte Rendu
Source : Annual Genitourinary Cancers Symposium (ASCO-GU)
Causes de décès pour des patients avec cancer de la prostate de stade intermédiaire ou à haut risque et traités par une radiothérapie associée ou non à une hormonothérapie : analyse de 2 phase III
Dr Igor Latorzeff Clinique Pasteur - Toulouse
Les essais PCS III et PCS IV servent de base à l’analyse du poster présenté par le Pr Abdenour Nabid du CHU de Sherbrooke, Canada.
L’étude PCS III a inclus 600 patients dans une comparaison à 3 bras de traitement ...
Développement et validation du score prédictif du risque de la graisse péri-rénale adhérente pendant la néphrectomie partielle
Cancer du rein
Compte Rendu
Source : Annual Genitourinary Cancers Symposium (ASCO-GU)
Développement et validation du score prédictif du risque de la graisse péri-rénale adhérente pendant la néphrectomie partielle
Dr Idir Ouzaid Hôpital Bichat - Paris
La néphrectomie partielle (NP) est le traitement de choix des tumeurs rénales T1. Elle est recommandée dès lorsqu’elle est techniquement faisable. Un défi peropératoire souvent rencontré est la graisse péri-rénale adhérente (GPA). L'anticipation de ce risque peut améliorer l'évaluation préopératoire et aider à la décision pour l'approche chirurgicale.
Les auteurs de cette étude ont développé et validé en externe un score...
Cancer du rein
Compte Rendu
Source : Annual Genitourinary Cancers Symposium (ASCO-GU)
L’association entre l’infiltration lymphocytaire, plasmocytaire et macrophagique combinée et le risque de récidive après la chirurgie d’exérèse du cancer du rein localisé
Dr Idir Ouzaid Hôpital Bichat - Paris
L’infiltration des tumeurs par les molécules de mort cellulaire programmée (PD-1), lymphocytes et les macrophages exprimant FoxP3 semblent être associés à un risque plus élevé de récidive chez les patients avec cancer du rein à cellule claire (ccRCC) après exérèse chirurgicale pour une maladie localisée.
Les auteurs ont cherché à combiner la présence de lymphocytes morphologiquement identifiées...
Cancer de la prostate
Compte Rendu
Source : Annual Genitourinary Cancers Symposium (ASCO-GU)
Etude EORTC 22991 : résultats d’une phase III comparant 6 mois d’HT associée à la RT versus RT seule pour des patients avec un cancer de la prostate T1b-T2a
Dr Igor Latorzeff Clinique Pasteur - Toulouse
819 patients (pts) ont été inclus dans un essai de phase III randomisé, EORTC 22991, qui compare le bénéfice d’une hormonothérapie, par agoniste de la GnRH avec 1 mois d’anti-androgènes, associée à une radiothérapie externe de la prostate, selon 3 paliers de dose à 70/74/78 Gy réalisés en 3DCRT ou en RCMI, à une radiothérapie exclusive selon les mêmes modalités.
Les patients étaient cT1b-c, N0, M0 avec un taux de PSA...
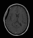
Un méningiome bien trop agressif…
Cancer du SNC
Cas Clinique
Source : NeuroScoop.net - Actu'Hebdo février 2016
Un méningiome bien trop agressif…
Dr François-Xavier Ferracci CHU Rouen Charles-Nicolle - Rouen
Clinique
Patiente de 39 ans, droitière
ATCD : Thalassémie mineure, Asthme
Céphalées depuis 2 mois
Difficultés de concentration
Ralentissement psychomoteur
Désorientation temporelle
 
Résultats de l’étude RTOG 9601 : un avantage significatif à 10 ans pour l’ensemble de la population du traitement combiné RT-HT
Cancer de la prostate
Compte Rendu
Source : Annual Genitourinary Cancers Symposium (ASCO-GU)
Résultats de l’étude RTOG 9601 : un avantage significatif à 10 ans pour l’ensemble de la population du traitement combiné RT-HT
Dr Igor Latorzeff Clinique Pasteur - Toulouse
Durant la session communications orales du congrès, les résultats finaux, à 12 ans de suivi médian, de l’essai du RTOG 9601 ont été rapportés par le Pr Shipley.
Il s’agit d’une étude de phase III ayant inclus 761 patients pT2-3, pN0 avec un PSA élevé post-opératoire (PSA médian 0,6 ng/ml) soit immédiatement après chirurgie soit
Cancer de la prostate
Compte Rendu
Source : Annual Genitourinary Cancers Symposium (ASCO-GU)
Comment traiter les patients avec un cancer de la prostate N+
Dr Igor Latorzeff Clinique Pasteur - Toulouse
Les patients présentant un cancer de la prostate ont 12% de risque d’envahissement ganglionnaire, reçoivent un traitement différent si on s’adresse à une situation N+ initiale clinique ou radiologique ou si les patients ont été opérés et sont pN+.
Cancer de la prostate
Compte Rendu
Source : Annual Genitourinary Cancers Symposium (ASCO-GU)
NRG Oncology RTOG 0415 : une étude de phase III randomisée de non-infériorité comparant 2 schémas de traitement pour des patients de bas risque
Dr Igor Latorzeff Clinique Pasteur - Toulouse
Les résultats de l’essai de phase III du RTOG 0415 ont été rapportés par le Pr Lee (abstract 1). Il s’agissait d’un essai de non infériorité comparant pour des patients de bas risque une radiothérapie en 3D ou RCMI délivrant 73,8 Gy en fraction de 1,8 gy sur 8,2 semaines ou 70 Gy en fraction de 2,5 Gy sur 5,6 semaines sans hormonothérapie associée...
Cancer de la prostate
Compte Rendu
Source : Annual Genitourinary Cancers Symposium (ASCO-GU)
Traitement focal du cancer de la prostate : avancée ou retour en arrière ?
Pr Xavier Gamé Hôpital Rangueil - Toulouse
Le premier sujet traité lors de la version 2016 de l’ASCO génito-urinaire était le traitement focal du cancer de la prostate soulignant qu’il s’agit d’un des sujets chauds du moment.
Alors que tout le monde est d’accord pour souligner le fait que l’objectif est de proposer des traitements les moins agressifs possibles aux patients...
Cancer de la prostate
Compte Rendu
Source : Annual Genitourinary Cancers Symposium (ASCO-GU)
L’avenir proche du cancer de la prostate sera… génomique
Pr Xavier Gamé Hôpital Rangueil - Toulouse
Que ce soit en session plénière ou en déambulant devant les posters, la génomique est partout et ce, du choix de réaliser des ponctions biopsiques de la prostate ou non à la réponse thérapeutique aux traitements locaux et systémiques.
Il va ainsi falloir se familiariser avec le statut BRCA2, ATM, FANCA, CHEK2, BRCA1, ...
Page 625 sur 775        Premier  Précédent  620  621  622  623  624  625  626  627  628  629  Suivant  Dernier
Newsletters