X
Déclaration de liens d'intérêts
Cet auteur a déclaré n'avoir aucun lien d'intérét
Envoi du mail en cours
×
Fermer
Recommander à un confrère
Destinataires
Séparez les différentes adresses par une virgule.
Commentaire
Cher confrère, je pense que ceci devrait t'intéresser. Cordialement,
Les données collectées dans ce formulaire sont uniquement destinées à l'envoi de l'e-mail d'invitation et ne sont pas conservées.
Supportez notre indépendance éditoriale
Connexion / Inscription
Accueil
Actualités
Actus congrès
Actus médiathèques
Actus Scientifiques
Dossiers thématiques
Agenda des congrès
Article du jour Mediscoop
Duo d'experts
Interviews
Newsletter : Actualités des jeunes oncologues
Newsletter : Bimensuelle
Infos Flash
Newsletter : les nouvelles actualités en urologie
Newsletter : e-Psy
Newsletter : Actualité en immuno-oncologie
Newsletter : Actualité en oncologie thoracique
La newsletter spéciale cancers gynécologiques
Newsletter : spéciale cancer de l'ovaire
Newsletter : e-Thorax
Newsletter : lettre Anocef
Newsletter : Senoscoop
Newsletter : Spéciale cancers sein métastatiques
Paroles d'EXperts
Revue de presse Mediscoop
Synthèses
Webcasts
Pathologies
Algologie
Autres
Cancer cutané
Cancer de l'appareil e...
Cancer digestif
Cancer du poumon
Cancer du SNC
Cancer gynécologique
Cancer ORL
Cancer pédiatrique
Cancer urologique
Cancers rares
Hématologie
Onco-génétique
Oncologie fondamentale
Psycho-oncologie
Sénologie
Thérapeutiques
Immunothérapie
Soins de support
Exploration
Imagerie
Biomarqueurs
Services
A propos
Contact
Accueil
Actualités
Actus congrès
Actus médiathèques
Actus Scientifiques
Dossiers thématiques
Agenda des congrès
Article du jour Mediscoop
Duo d'experts
Interviews
Newsletter : Actualités des jeunes oncologues
Newsletter : Bimensuelle
Infos Flash
Newsletter : les nouvelles actualités en urologie
Newsletter : e-Psy
Newsletter : Actualité en immuno-oncologie
Newsletter : Actualité en oncologie thoracique
La newsletter spéciale cancers gynécologiques
Newsletter : spéciale cancer de l'ovaire
Newsletter : e-Thorax
Newsletter : lettre Anocef
Newsletter : Senoscoop
Newsletter : Spéciale cancers sein métastatiques
Paroles d'EXperts
Revue de presse Mediscoop
Synthèses
Webcasts
Pathologies
Algologie
Autres
Cancer cutané
Cancer de l'appareil e...
Cancer digestif
Cancer du poumon
Cancer du SNC
Cancer gynécologique
Cancer ORL
Cancer pédiatrique
Cancer urologique
Cancers rares
Hématologie
Onco-génétique
Oncologie fondamentale
Psycho-oncologie
Sénologie
Thérapeutiques
Immunothérapie
Soins de support
Exploration
Imagerie
Biomarqueurs
Services
A propos
Contact
Accéder à:
AlgoScoop
AllergoScoop
CanceroNet
Coeur
DermatoNet
DiabetoNet
GastroEnteroNet
GynecoNet
HematoNet
NephroFr
NeuroScoop
OrlScoop
PneumoScoop
RhumatoNet
Publicité
Toutes les actualités scientifiques
Page 629 sur 775
Premier
Précédent
624
625
626
627
628
629
630
631
632
633
Suivant
Dernier
Publicité
Cancer du poumon
Article Commenté
Source : J Thorac Oncol. 2015 ; 10(9):1285-91.
Devons-nous aussi dépister les non-fumeurs?
Pr Jean-Louis Pujol
CHU et IRCM INSERM U 1194 - Montpellier
Voici un titre un peu provoquant et qui mérite une explication.
Aux Etats Unis, les recommandations de l
’United States Preventive Services Task Force
(USPSTF) sont de proposer le dépistage du cancer du poumon par scanner chez les personnes entre 55 et 80 ans qui ont fumé au moins 30 paquets-années et, si elles ont cessé de le faire, ont arrêté moins de 15 ans auparavant.
Cancer du poumon
Vos patients ont lu
Source : Cancero.net - Bimensuelle novembre 2015
« Bientôt un test sanguin de dépistage du cancer du poumon ? »
Top Santé fait savoir qu’«
une nouvelle étude AIR va être mise en place par le CHU de Nice pour tester un test sanguin [de dépistage précoce], développé par la société Rarecells Diagnostics qui permet de détecter les cellules tumorales circulantes (CTC), des marqueurs du cancer du poumon, présents dans le sang avant même que la tumeur ne soit visible
».
Sénologie
Vos patients ont lu
Source : Cancero.net - Bimensuelle novembre 2015
« Mon mari a eu un cancer du sein. Oui, les hommes aussi sont concernés »
Le magazine livre le témoignage de Marcia G. Yerman dont le mari avait une excroissance suspecte sur les pectoraux. «
Inquiète de sentir qu'il y avait bien quelque chose d'anormal au toucher, elle lui a conseillé de courir chez leur médecin de famille
», indique l’article.
« De rendez-vous médical en rendez-vous médical, ils se sont retrouvés à prévoir une biopsie. Aujourd'hui encore, elle se souvient de ce fameux jour où elle l'a accompagné à l'hôpital »
Soins de support
Article Commenté
Source : Thromb Res. 2015 Oct 8. doi: 10.1016/j.thromres.2015.10.004.
Les dosages de protéine C et facteurs VIII avant la chimiothérapie pourraient permettre d'identifier les patients à haut risque de thrombose
Pr David Smadja
Hôpital Européen Georges-Pompidou - Paris
La maladie thromboembolique veineuse (MTEV) est une des principales causes de décès chez les patients atteints de cancer. Les recommandations concernant la prophylaxie anti-thrombotique sont malheureusement peu suivies, et les groupes de patients à haut risque sont difficiles à identifier.
Ainsi, la recherche de biomarqueurs nous permettant d’identifier des sous-groupes de patients à très haut risque permettrait de standardiser, d’intensifier et/ou de personnaliser la prise en charge des patients atteints de cancer.
Soins de support
Article Commenté
Source : Thromb Haemost. 2015 Oct 22 ; 115(1).
Le mécanisme prothrombotique de la mutation V617F de JAK-2 enfin élucidé ?
Pr David Smadja
Hôpital Européen Georges-Pompidou - Paris
Les patients atteints de polyglobulie de Vaquez (PV), de thrombocytémie essentielle (TE) ou de myélofibrose primitive (MFP) présentent un risque accru de thrombose artérielle et veineuse par rapport aux patients atteints de leucémie myéloïde chronique (LMC).
Chez les patients atteints de TE, une corrélation positive a été observée entre les patients JAK-2 + avec la mutation V617F (qui facilite la signalisation du récepteur de l'érythropoïétine) et les événements thrombotiques.
Le mécanisme par lequel la thrombose survient n’est pas
Soins de support
Article Commenté
Source : J Thromb Haemost. 2015 Oct 30. doi: 10.1111/jth.13181.
Les microparticules de cellules tumorales présentent un potentiel procoagulant en activant les plaquettes et la thrombose in vivo
Pr David Smadja
Hôpital Européen Georges-Pompidou - Paris
Le risque de MTEV chez les patients cancéreux est environ quatre fois plus élevé que dans la population générale, et les patients atteints de cancer avec MTEV ont une réduction de leur survie globale.
Les cellules tumorales libèrent de manière constitutive des microvésicules (MVS) qui peuvent contribuer à la thrombose chez les patients cancéreux. Des études cliniques ont montré que les taux de MVS d’origine tumorale et exprimant notamment le facteur tissulaire (FT) chez les patients atteints de cancer du pancréas
Soins de support
Article Commenté
Source : Br J Cancer. 2015 ; 112(3):485-94.
STEAP1 : nouveau marqueur de l’angiogenèse tumorale et nouvelle cible ?
Pr David Smadja
Hôpital Européen Georges-Pompidou - Paris
Le cancer du poumon demeure un des cancers avec le pronostic le plus sombre, en grande partie en raison de l'absence de traitements efficaces. Une des nouvelles stratégies dans le cancer bronchique non à petites cellules (CBNPC) est l’utilisation de traitements anti-angiogéniques.
Dans les traitements de première ligne, le bévacizumab associé aux inhibiteurs de l’EGFR (erlotinib ou géfitinib) chez les CBNPC avec mutation de l’EGFR peut être utilisé. En deuxième ligne de traitement,
Soins de support
Article Commenté
Source : J Thromb Haemost. 2015 Oct 15. doi: 10.1111/jth.13172.
Risques de récidive thromboembolique et d'hémorragie majeure au cours des embolies pulmonaires de découverte fortuite associées au cancer parmi les patients traités et non traités : analyse de 926 patients
Dr Anne Roche
Hôpital Européen Georges-Pompidou - Paris
L'embolie pulmonaire (EP) de découverte fortuite est une embolie pulmonaire diagnostiquée lors d'un scanner n'étant pas réalisé pour mettre en évidence une EP. Parmi les patients cancéreux, la prévalence de l'EP fortuite est de 3,1%.
Pour autant, l'attitude thérapeutique face à celle-ci reste problématique pour les cliniciens et repose actuellement sur des études de faible envergure.
Celles-ci ont mis en évidence un risque de récurrence, un taux d'hémorragie majeure ainsi qu'un taux de mortalité
Soins de support
Vos patients ont lu
Source : Cancero.net - TVC scoop novembre 2015
« Abécédaire des médecines alternatives »
Femme Actuelle fait un «
tour d'horizon de ces méthodes qui nous veulent du bien
», et évoque notamment «
les sangsues à la rescousse » : « L'hirudothérapie (la thérapie par les sangsues) est une pratique ancestrale, jadis censée soigner bien des maux et qui revient au goût du jour ».
Le magazine explique que «
posées sur le patient, [les sangsues] lui aspirent le sang, et dans le même temps y
Soins de support
Vos patients ont lu
Source : Cancero.net - TVC scoop novembre 2015
« Des vitamines pour bien vieillir »
Pleine Vie consacre un dossier aux «
vitamines pour bien vieillir
». Le magazine note en effet que
« l’organisme ne peut s’en passer, mais ne sait pas les fabriquer. Alors, où les trouve-t-on et quels sont leurs bienfaits ? ».
Pleine Vie aborde notamment la vitamine K :
« Ayant découvert qu'elle facilite la
coagulation
du sang, le biologiste danois Carl Peter Henrik Dam lui a donné le nom de "Koagulation vitamin" ou, plus simplement, de vitamine K ».
Cancer du SNC
Compte Rendu
Source : NeuroScoop.net - Actu'Hebdo décembre 2015
Neuro-oncologie à l’ESMO
Pr Émeline Tabouret
Hôpital de la Timone - Marseille
Le congrès de l'ESMO a été l'occasion de dévoiler la nouvelle classification de l'OMS des tumeurs gliales (
G. Reifenberger
). Si celle-ci ne sera qu'officiellement validée et publiée au printemps 2016, le Pr Reifenberger a dévoilé les grandes modifications de cette nouvelle classification qui sera histologique et moléculaire.
En effet, suite aux récentes découvertes des sous-types moléculaires de gliomes, certaines anomalies moléculaires incontournables serviront de base à la nouvelle classification : il s'agit de la codélétion 1p19q et de
Cancer du SNC
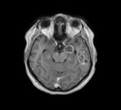
Cas Clinique
Source : NeuroScoop.net - Actu'Hebdo janvier 2016
Dommage collatéral
Dr Patrizia Farina
Hôpital de la Timone - Marseille
- Patiente de 54 ans, femme, sans antécédent particulier
- Juin 2011 : asthénie, apathie
- Juillet 2011 : apparition d’un tableau de désorientation temporo-spatiale
- Scanner +IRM cérébral : multiples lésions intra-cérébrales de haut grade situées dans l'hémisphère gauche
- 18/08/2011 : biopsie chirurgicale nodule temporal gauche
Page 629 sur 775
Premier
Précédent
624
625
626
627
628
629
630
631
632
633
Suivant
Dernier
Publicité
Publicité
Memento des recos
Accéder à toutes les recommandations
Actus congrès
Journées Francophones d'Hépato-gastroentérologie et...
Palais des Congrès - Paris, France
19-22 mars 2026
Toutes les actus congrès
Agenda des congrès
Accéder à l'agenda des congrès à venir
Dossiers thématiques
Les inhibiteurs HER2+ : du concept à la clinique
Tous les dossiers
Autres actualités
Prise en charge des gliomes : rétroperspective des congrès...
Pr François Ducray (
Hôpital Wertheimer - Lyon
)
Dr Alice Laurenge-Leprince (
Hôpital Pitié-Salpêtrière - Paris
)
Dr Sam Ng (
CHU Montpellier
)
Tous les webcasts
Résultats à 3 ans de l'étude SEQUOIA...
par le Dr
Emmanuelle Ferrant
(Hôpital Lyon Sud - HCL - Lyon)
Toutes les interviews
Memento des recos sur lymphome B agressif : que nous...
par le Dr
Guillaume Manson
(CHU - Rennes)
Toutes les synthèses
Newsletters
Lettre Anocef
Cancero.net - Bimensuelle
Cancero.net - Spéciale cancers sein métastatiques
Anocef - Spéciale glioblastome
Cancero.net - Actualité en oncologie thoracique
Cancero.net - Cancers gynécologiques
Cancero.net - Spéciale cancer colorectal métastatique
Publicité
×
Fermer