X
Déclaration de liens d'intérêts
Cet auteur a déclaré n'avoir aucun lien d'intérét
Envoi du mail en cours
×
Fermer
Recommander à un confrère
Destinataires
Séparez les différentes adresses par une virgule.
Commentaire
Cher confrère, je pense que ceci devrait t'intéresser. Cordialement,
Les données collectées dans ce formulaire sont uniquement destinées à l'envoi de l'e-mail d'invitation et ne sont pas conservées.
Supportez notre indépendance éditoriale
Connexion / Inscription
Accueil
Actualités
Actus congrès
Actus médiathèques
Actus Scientifiques
Dossiers thématiques
Agenda des congrès
Article du jour Mediscoop
Duo d'experts
Interviews
Newsletter : Actualités des jeunes oncologues
Newsletter : Bimensuelle
Infos Flash
Newsletter : les nouvelles actualités en urologie
Newsletter : e-Psy
Newsletter : Actualité en immuno-oncologie
Newsletter : Actualité en oncologie thoracique
La newsletter spéciale cancers gynécologiques
Newsletter : spéciale cancer de l'ovaire
Newsletter : e-Thorax
Newsletter : lettre Anocef
Newsletter : Senoscoop
Newsletter : Spéciale cancers sein métastatiques
Paroles d'EXperts
Revue de presse Mediscoop
Synthèses
Webcasts
Pathologies
Algologie
Autres
Cancer cutané
Cancer de l'appareil e...
Cancer digestif
Cancer du poumon
Cancer du SNC
Cancer gynécologique
Cancer ORL
Cancer pédiatrique
Cancer urologique
Cancers rares
Hématologie
Onco-génétique
Oncologie fondamentale
Psycho-oncologie
Sénologie
Thérapeutiques
Immunothérapie
Soins de support
Exploration
Imagerie
Biomarqueurs
Services
A propos
Contact
Accueil
Actualités
Actus congrès
Actus médiathèques
Actus Scientifiques
Dossiers thématiques
Agenda des congrès
Article du jour Mediscoop
Duo d'experts
Interviews
Newsletter : Actualités des jeunes oncologues
Newsletter : Bimensuelle
Infos Flash
Newsletter : les nouvelles actualités en urologie
Newsletter : e-Psy
Newsletter : Actualité en immuno-oncologie
Newsletter : Actualité en oncologie thoracique
La newsletter spéciale cancers gynécologiques
Newsletter : spéciale cancer de l'ovaire
Newsletter : e-Thorax
Newsletter : lettre Anocef
Newsletter : Senoscoop
Newsletter : Spéciale cancers sein métastatiques
Paroles d'EXperts
Revue de presse Mediscoop
Synthèses
Webcasts
Pathologies
Algologie
Autres
Cancer cutané
Cancer de l'appareil e...
Cancer digestif
Cancer du poumon
Cancer du SNC
Cancer gynécologique
Cancer ORL
Cancer pédiatrique
Cancer urologique
Cancers rares
Hématologie
Onco-génétique
Oncologie fondamentale
Psycho-oncologie
Sénologie
Thérapeutiques
Immunothérapie
Soins de support
Exploration
Imagerie
Biomarqueurs
Services
A propos
Contact
Accéder à:
AlgoScoop
AllergoScoop
CanceroNet
Coeur
DermatoNet
DiabetoNet
GastroEnteroNet
GynecoNet
HematoNet
NephroFr
NeuroScoop
OrlScoop
PneumoScoop
RhumatoNet
Publicité
Toutes les actualités scientifiques
Page 637 sur 775
Premier
Précédent
632
633
634
635
636
637
638
639
640
641
Suivant
Dernier
Publicité
Hématologie
Compte Rendu
Source : EHA 2015
Association de deux marqueurs prédictifs de la réponse aux immunosuppresseurs dans l'anémie aplasique
Dr Nicolas Gendron
Hôpital Européen Georges-Pompidou - Paris
et
Pr David Smadja
(Hématologue - Hôpital Européen Georges-Pompidou - Paris)
L'anémie aplasique (AA) pédiatrique est caractérisée par une moelle pauvre associée à des cytopénies périphériques (anémie, neutropénie, thrombopénie). Le seul traitement curatif actuel est l'allogreffe de cellules souches hématopoïétiques.
Le plus souvent les patients atteints d'AA reçoivent des thérapies immunosuppressives (IST) combinant des globulines anti-lymphocytaires (ATG) et de la ciclosporine. Il est retrouvé dans 20 à 70% des cas d'AA la présence d'un clone mineur d'hémoglobinurie paraxosytique nocturne (HPN). Ce dernier
Hématologie
Compte Rendu
Source : EHA 2015
Résultats de phase 1 d’un siRNA anti-C5 dans l’hémoglobinurie paroxystique nocturne
Dr Nicolas Gendron
Hôpital Européen Georges-Pompidou - Paris
et
Pr David Smadja
(Hématologue - Hôpital Européen Georges-Pompidou - Paris)
L’hémoglobinurie paroxystique nocturne (HPN) est une hémopathie acquise associée à des épisodes d’hémolyse intravasculaire. L’HPN comme le syndrome hémolytique et urémique atypique ou la néphropathie glomérulaire membrano-proliférative sont des pathologies dont la physiopathologie est liée en partie à une activation non contrôlée du système du complément.
Dans l’HPN, la mutation du gène PIG-A, empêche la fixation sur les hématies d’inhibiteur du complément. Actuellement le seul traitement ciblant le système du complément indiqué dans l’HPN est l’éculizumab.
Hématologie
Compte Rendu
Source : EHA 2015
Développement d'un score prédictif du risque thromboembolique chez les patients atteints de lymphomes
Dr Nicolas Gendron
Hôpital Européen Georges-Pompidou - Paris
et
Pr David Smadja
(Hématologue - Hôpital Européen Georges-Pompidou - Paris)
Le risque thromboembolique des patients atteints de lymphomes est encore sujet à débat. Les risques relatifs de développer une thrombose en association à un lymphome vont de 1,5% à 59,5% selon les études.
Cette grande variation est due à la différence des types d'études réalisées (prospective, rétrospective, avec des patients hospitalisés ou en ambulatoire) ainsi que du type de lymphome, de son stade et de son agressivité. Les scores prédictifs actuels des patients atteints de cancers ne sont pas adaptés aux cancers hématologiques.
Cancer du SNC
Mise au point
L'utilisation des chélates de gadolinium en IRM doit rester raisonnée
Dr Thomas De Broucker
Hôpital Pierre Delafontaine - Saint-Denis
Trois travaux publiés en 2015 dans
Radiology
, organe officiel de la société nord-américaine de radiologie (RSNA), ont montré de manière indiscutable l'accumulation de gadolinium dans l'encéphale des patients ayant subi plusieurs examens dans leur existence.
Deux de ces études, autopsiques, microscopique et spectrométrique, et IRM, ont montré que le gadolinium s'accumule dans l'ensemble du cerveau avec une prédilection pour le noyau dentelé du cervelet et pour le pallidum.
L'analyse sérielle de la séquence T1 sans injection
Cancer du SNC
Mise au point
Combien existe-t-il de sous-groupes moléculaires de gliomes diffus de grade II et III ?
Pr François Ducray
Hôpital Wertheimer - Lyon
La découverte de la mutation d’IDH en 2008 a conduit à considérer qu’il existait 3 grands sous-groupes de gliomes diffus de grade II et III en fonction de la présence de cette mutation et de la codélétion 1p/19q (Parsons
et al. Science
2008 ; Sanson
et al. Journal of Clinical Oncology
2009).
Les travaux récemment publiés du TCGA dans le
New England Journal of Medicine
montrent que ces 3 sous-groupes sont extrêmement robustes (
Cancer Genome Atlas Research Network NEJM
2015, Suzuki
et al. Nature Genetics
2015).
Cancer du SNC
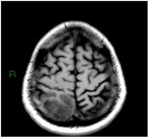
Cas Clinique
La tumeur qui venait du chat
Dr Amel Marniche
hôpital Henri-Mondor - Créteil
- Patient de 49 ans, marié, 4 enfants
- Employé sécurité incendie
- Intoxication alcoolo-tabagique
- Goute sous Zyloric® (allopurinol)
- Le 06/04/2014 : crise convulsive tonico-clonique partielle membre supérieur gauche puis généralisée
Résultats IRM
- Lésion pariétale droite
- T1 : hyposignal
Soins de support
Compte Rendu
Source : Cancero.net - TVC scoop juillet 2015
Dépistage des cancers occultes dans la maladie thromboembolique veineuse non provoquée
Pr David Smadja
Hôpital Européen Georges-Pompidou - Paris
La survenue d'un épisode de thrombose veineuse profonde peut être un des premiers signes de cancer. Actuellement, il existe une grande diversité des pratiques en matière de dépistage du cancer chez un patient qui présente un premier épisode de maladie thromboembolique veineuse (MTEV) non provoquée.
L'étude présentée par le Dr Carrier dans la session des "
Late Breaking abstract
" et publiée le même jour dans le
NEJM
, a cherché à évaluer l'efficacité d'une stratégie de dépistage du cancer occulte qui comprenait
Soins de support
Compte Rendu
Source : Cancero.net - TVC scoop juillet 2015
Confirmation de la durée minimale de traitement des thromboses associées au cancer
Pr David Smadja
Hôpital Européen Georges-Pompidou - Paris
Les patients atteins de cancer présentent un risque plus élevé que la population générale de développer des évènements thromboemboliques veineux (RR : 4 à 7). Ces thromboses secondaires à un cancer sont associées à un haut risque de récurrence.
Le traitement anticoagulant dont les héparines de bas poids moléculaire (HBPM), qui sont actuellement le
gold-standard
, diminue fortement le risque de récurrences de thrombose veineuse sans augmenter le risque de saignement. La durée optimale du traitement par HBPM reste un sujet lourdement débattu.
Soins de support
Compte Rendu
Source : Cancero.net - TVC scoop juillet 2015
Les saignements sous anticoagulant des patients cancéreux sont associés aux métastases, l'âge et l'existence de lésions cérébrales
Pr David Smadja
Hôpital Européen Georges-Pompidou - Paris
Les malades cancéreux présentant un épisode de thrombose veineuse profonde (TVP) reçoivent un traitement anticoagulant et présentent un risque important de complications hémorragiques.
L’objectif de cette étude est d’évaluer le nombre et les caractéristiques des saignements ainsi que les facteurs de risque de ces saignements cliniquement significatifs (saignements majeurs ou non-majeurs) chez les patients cancéreux recevant un traitement anticoagulant pour un premier épisode de TVP.
Soins de support
Compte Rendu
Source : Cancero.net - TVC scoop juillet 2015
La tinzaparine inhibe la migration des cellules tumorales induite par les microparticules
Pr David Smadja
Hôpital Européen Georges-Pompidou - Paris
L’activation de l’hémostase est un facteur clé dans la progression des pathologies malignes. Les traitements anticoagulants pourraient représenter une thérapeutique additive dans le traitement du cancer.
Plus qu’un effet anticoagulant, les héparines et plus particulièrement les héparines de bas poids moléculaire (HBPM) possèdent un effet antitumoral
in vitro
et dans des modèles expérimentaux de cancer.
Les études cliniques
Soins de support
Compte Rendu
Source : Cancero.net - TVC scoop juillet 2015
L'inhibition de l'activité procoagulante des héparanases par des peptides diminue la croissance tumorale et l'angiogenèse
Pr David Smadja
Hôpital Européen Georges-Pompidou - Paris
Les héparanases sont des enzymes qui induisent une dégradation des Héparanes Sulfates et qui permettent la libération des facteurs de croissance. Les héparanases, notamment lors d’un traitement par héparine et/ou HBPM, sont alors probablement déviées de leurs fonctions premières qui sont de permettre la libération des facteurs de croissance.
Il est probable que la neutralisation des héparanases ait un rôle important au cours du cancer, en limitant la dégradation de la MEC et ainsi la formation des métastases. Cependant, les héparanases
Soins de support
Vos patients ont lu
Source : Cancero.net - TVC scoop juillet 2015
« Quand la mer soigne »
C’est ce que titre Prima, qui constate dans un dossier :
«
Iode revigorante, algues gorgées de nutriments, magnésium antifatigue... La mer est une source inépuisable de bienfaits pour notre organisme ! ».
Le magazine relève que «
les océans recèlent de véritables trésors pour notre santé. Par exemple, on ne sait pas forcément que certains médicaments anti-arthrose sont faits à partir de carapaces de crabes, ou encore que des molécules utilisées en chimiothérapie viennent d'un tunicier, une sorte de têtard marin… ».
Prima évoque ainsi les algues,
Page 637 sur 775
Premier
Précédent
632
633
634
635
636
637
638
639
640
641
Suivant
Dernier
Publicité
Publicité
Memento des recos
Accéder à toutes les recommandations
Actus congrès
Journées Francophones d'Hépato-gastroentérologie et...
Palais des Congrès - Paris, France
19-22 mars 2026
Toutes les actus congrès
Agenda des congrès
Accéder à l'agenda des congrès à venir
Dossiers thématiques
Les inhibiteurs HER2+ : du concept à la clinique
Tous les dossiers
Autres actualités
Prise en charge des gliomes : rétroperspective des congrès...
Pr François Ducray (
Hôpital Wertheimer - Lyon
)
Dr Alice Laurenge-Leprince (
Hôpital Pitié-Salpêtrière - Paris
)
Dr Sam Ng (
CHU Montpellier
)
Tous les webcasts
Résultats à 3 ans de l'étude SEQUOIA...
par le Dr
Emmanuelle Ferrant
(Hôpital Lyon Sud - HCL - Lyon)
Toutes les interviews
Memento des recos sur lymphome B agressif : que nous...
par le Dr
Guillaume Manson
(CHU - Rennes)
Toutes les synthèses
Newsletters
Lettre Anocef
Cancero.net - Bimensuelle
Cancero.net - Spéciale cancers sein métastatiques
Anocef - Spéciale glioblastome
Cancero.net - Actualité en oncologie thoracique
Cancero.net - Cancers gynécologiques
Cancero.net - Spéciale cancer colorectal métastatique
Publicité
×
Fermer