Envoi du mail en cours
 

Toutes les actualités scientifiques

Page 638 sur 775        Premier  Précédent  633  634  635  636  637  638  639  640  641  642  Suivant  Dernier
Soins de support
Vos patients ont lu
Source : Cancero.net - TVC scoop juillet 2015
« Une patte de rat artificielle cultivée en laboratoire »
Top Santé indique qu’« une patte de rat a été reconstituée entièrement en laboratoire. Une prouesse américaine qui relance l'espoir de réaliser un jour des greffes sans risque de rejet ».
Le magazine se penche ainsi sur le travail du chercheur Harald Ott, du Centre de médecine régénérative du General Massachusetts Hospital de Boston, qui « relate sa performance dans la revue scientifique Biomaterials ».
L’anxiété et la dépression en oncogériatrie… pas si simple
Psycho-oncologie
Article Commenté
Source : Psychooncology. 2015 ; 24(6):712-7.
L’anxiété et la dépression en oncogériatrie… pas si simple
Pr Jean-Louis Pujol CHU et IRCM INSERM U 1194 - Montpellier
Parmi l’ensemble des défis de l’oncogériatrie, celui de la détresse psychologique a récemment fait l’objet d’analyses assez contradictoires. Fondées sur des méthodes quantitatives, les études les plus récentes suggèrent que l’âge confère une certaine protection contre la détresse.
Mais la détresse psychologique est un concept fourretout, mélange d’anxiété, de dépression et d’altération de la qualité de vie.
L’étude que nous citons a tenté d’analyser
Obstacles psycho-sociaux au dépistage du cancer
Psycho-oncologie
Article Commenté
Source : Psychooncology. 2013 ; 22(6):1306-11.
Obstacles psycho-sociaux au dépistage du cancer
Pr Jean-Louis Pujol CHU et IRCM INSERM U 1194 - Montpellier
Les cancers de la gorge et de la cavité buccale sont fortement dépendants de facteurs comportementaux (tabac et alcool). En théorie, le dépistage devrait être facile à mettre en place : l’examen essentiellement clinique est peu vulnérant et la population à dépister clairement identifiée. Or il semble qu’il y ait des obstacles à sa mise en place.
Pour savoir où sont les blocages, les auteurs de cet article ont interviewé des groupes formés d’hommes et de femmes (focus groups) appartenant à la commuté rurale noire américaine (de Floride).
La qualité de vie ne suit pas toujours les progrès accomplis en termes de survie
Psycho-oncologie
Article Commenté
Source : Support Care Cancer. 2015 Jul 1. [Epub ahead of print]
La qualité de vie ne suit pas toujours les progrès accomplis en termes de survie
Pr Jean-Louis Pujol CHU et IRCM INSERM U 1194 - Montpellier
Depuis le début de la décennie 2000, les progrès de la chimiothérapie et des thérapies ciblées ont permis de prolonger la survie des patients atteints d’un cancer colorectal métastatique. Mais il n’est pas prouvé que les critères dépendant de la perception des patients eux-mêmes, tels que les effets toxiques et l’impact de la maladie et de son traitement sur la qualité de vie, aient suivi la même évolution.
Lors des études portant sur une chimiothérapie donnée, l’évaluation de la qualité de vie est une information importante. Mais que
La dépression est-elle contagieuse au sein d’un couple dont un des partenaires est atteint de cancer ?
Psycho-oncologie
Article Commenté
Source : Evolution Psychiatrique (2012) vol 77, n°3, p. 451-468
La dépression est-elle contagieuse au sein d’un couple dont un des partenaires est atteint de cancer ?
Pr Jean-Louis Pujol CHU et IRCM INSERM U 1194 - Montpellier
Dans notre pratique quotidienne, nous observons tous des phénomènes de contamination émotionnelle, plus communément appelée débordement, affectant le conjoint d’un patient ou d’une patiente atteint(e) de cancer : la dépression de l’un entraine la dépression de l’autre et l’impact sur la qualité de vie est souvent le même pour les deux partenaires.
L’étude qui est citée ici s’est penchée sur ces phénomènes en mesurant la qualité de vie (échelle SF-12) et l’incidence de la dépression (patient health questionnaire – 2) de couples dont un des partenaires était atteint de cancer.
Emergence de la question du devenir
Psycho-oncologie
Cas a discuter
Source : e-Psy juillet 2015
Emergence de la question du devenir
Pr Jean-Louis Pujol CHU et IRCM INSERM U 1194 - Montpellier
Patient de la soixantaine atteint d’un cancer du poumon, en cours de chimiothérapie :
« Moi ma question c’est savoir comment ça va évoluer…, je…, je suis braqué là-dessus. Et puis à chaque fois, j’essayais de poser la question et puis on me dit « ben en fonction de » voilà. Mais le patient il aime bien… il veut une réponse tout de suite. »
Solution de la vignette
Ce verbatim nous semble illustrer la contrainte médico-technique d'un temps nécessaire pour faire un premier point de l'efficacité du traitement
 
How much does it cost ?
Cancer du poumon
Article Commenté
Source : J Clin Oncol. 2015 ; 33(19):2190-6.
How much does it cost ?
Pr Jean-Louis Pujol CHU et IRCM INSERM U 1194 - Montpellier
Cette étude américaine s'est intéressée aux dépenses de médicaments anti-cancer délivrés pour tous cancers pendant la décennie 2001 – 2011, soit la période qui a vu l'émergence d'un certain nombre d'anticorps anti-angiogéniques ou ciblant un récepteur puis l'émergence des thérapies ciblées orales.
Comme le lecteur le sait, les adénocarcinomes pulmonaires forment un groupe pathologique dont la prise en charge a été révolutionnée par les thérapies ciblées et cet article nous intéresse au
Supériorité des inhibiteurs de la tyrosine kinase sur la chimiothérapie des adénocarcinomes métastatiques EGFR mutés. Quels patients tirent le meilleur bénéfice ?
Cancer du poumon
Article Commenté
Source : J Clin Oncol. 2015 ; 33(17):1958-65.
Supériorité des inhibiteurs de la tyrosine kinase sur la chimiothérapie des adénocarcinomes métastatiques EGFR mutés. Quels patients tirent le meilleur bénéfice ?
Pr Jean-Louis Pujol CHU et IRCM INSERM U 1194 - Montpellier
Nous savons que les TKI de l’EGFR sont supérieurs aux chimiothérapies fondées sur le platine en tant que traitement de première ligne des adénocarcinomes métastatiques EGFR mutés.
La méta-analyse que nous citons ici est cependant intéressante car elle permet d’identifier quelles sont les données démographiques du patient et les caractéristiques biologiques du génotype en lien avec le bénéfice le plus marqué.
Sept études randomisées ont été incluses dans cette méta-analyse en partie réalisée sur des
Quel est le bon marqueur prédictif de la sensibilité à l'anti PD-1 – PD-L1 ?
Cancer du poumon
Article Commenté
Source : PLoS One. 2015 ; 10(6):e0130142.
Quel est le bon marqueur prédictif de la sensibilité à l'anti PD-1 – PD-L1 ?
Pr Jean-Louis Pujol CHU et IRCM INSERM U 1194 - Montpellier
Cet article a fait une analyse groupée de 20 essais de toutes phases pour les mélanomes malins, les cancers non à petites cellules ou les cancers des voies génito-urinaires traités soit par un des deux anti-PD-1 (nivolumab, pembrozilumab) soit par l’anti PD-L1 (mérélétinib MPDL3280A).
Ceci représente près d’un millier de malades. L’objectif est d’y voir un peu plus clair dans la valeur théranostique du marquage immuno-histochimique détectant l’expression tumorale du PD-L1.
Comment ce que l’on pense se substitue-t-il, un peu trop facilement, à ce que l’on voit ?
Cancer du poumon
Article Commenté
Source : Lancet Oncol. 2014 ; 15(12):e568-80.
Comment ce que l’on pense se substitue-t-il, un peu trop facilement, à ce que l’on voit ?
Pr Jean-Louis Pujol CHU et IRCM INSERM U 1194 - Montpellier
Pour des raisons bibliographiques, j’ai dû récemment relire l’article cité, lequel est en fait une revue générale de la littérature sur les effets biologiques et cliniques de la poursuite du tabagisme chez les patients que nous traitons pour cancer.
C’est, il est vrai, un problème que nous devons considérer dans la prise en charge de nombreux patients en oncologie thoracique. Paradoxalement, le diagnostic de cancer est la meilleure raison qui soit pour arrêter de fumer, mais c’est aussi, du point de vue du malade, le pire moment pour être
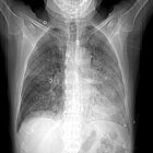
Une pneumonie subaiguë
Cancer du poumon
Cas a discuter
Source : e-Thorax juillet 2015
Une pneumonie subaiguë
Pr Jean-Louis Pujol CHU et IRCM INSERM U 1194 - Montpellier
Solution du cas
Il s’agit d’un adénocarcinome pulmonaire. L’hypothèse est renforcée par une positivité franche du marquage nucléaire par le TTF1.
La présentation clinique très préoccupante rend impossible un traitement par chimiothérapie.
Alors que le patient est encore en réanimation, à J2, un traitement par erlotinib 150 mg (inhibiteur de la tyrosine kinase du récepteur de l’EGFR) est débuté.
Tous les paramètres cliniques...
Cancer du poumon
Vos patients ont lu
Source : e-Thorax juillet 2015
« Cancer du poumon : méfiez-vous des somnifères »
Le magazine révèle que « selon une récente étude internationale, des médicaments contre l'insomnie tels que le Xanax ou le Valium pourraient augmenter les risques de cancer du poumon chez l'adulte ». « Il y a 20 ans, un groupe de travail international d'envergure (qui regroupait des scientifiques norvégiens, finlandais et britanniques) s'est penché sur la question et a analysé l'état de santé de 30.000 individus volontaires. Les résultats de cette étude sur le (très) long terme viennent d'être publiés, et ils font froid dans le dos », explique-t-il.
Page 638 sur 775        Premier  Précédent  633  634  635  636  637  638  639  640  641  642  Suivant  Dernier
Newsletters