X
Déclaration de liens d'intérêts
Cet auteur a déclaré n'avoir aucun lien d'intérét
Envoi du mail en cours
×
Fermer
Recommander à un confrère
Destinataires
Séparez les différentes adresses par une virgule.
Commentaire
Cher confrère, je pense que ceci devrait t'intéresser. Cordialement,
Les données collectées dans ce formulaire sont uniquement destinées à l'envoi de l'e-mail d'invitation et ne sont pas conservées.
Supportez notre indépendance éditoriale
Connexion / Inscription
Accueil
Actualités
Actus congrès
Actus médiathèques
Actus Scientifiques
Dossiers thématiques
Agenda des congrès
Article du jour Mediscoop
Duo d'experts
Interviews
Newsletter : Actualités des jeunes oncologues
Newsletter : Bimensuelle
Infos Flash
Newsletter : les nouvelles actualités en urologie
Newsletter : e-Psy
Newsletter : Actualité en immuno-oncologie
Newsletter : Actualité en oncologie thoracique
La newsletter spéciale cancers gynécologiques
Newsletter : spéciale cancer de l'ovaire
Newsletter : e-Thorax
Newsletter : lettre Anocef
Newsletter : Senoscoop
Newsletter : Spéciale cancers sein métastatiques
Paroles d'EXperts
Revue de presse Mediscoop
Synthèses
Webcasts
Pathologies
Algologie
Autres
Cancer cutané
Cancer de l'appareil e...
Cancer digestif
Cancer du poumon
Cancer du SNC
Cancer gynécologique
Cancer ORL
Cancer pédiatrique
Cancer urologique
Cancers rares
Hématologie
Onco-génétique
Oncologie fondamentale
Psycho-oncologie
Sénologie
Thérapeutiques
Immunothérapie
Soins de support
Exploration
Imagerie
Biomarqueurs
Services
A propos
Contact
Accueil
Actualités
Actus congrès
Actus médiathèques
Actus Scientifiques
Dossiers thématiques
Agenda des congrès
Article du jour Mediscoop
Duo d'experts
Interviews
Newsletter : Actualités des jeunes oncologues
Newsletter : Bimensuelle
Infos Flash
Newsletter : les nouvelles actualités en urologie
Newsletter : e-Psy
Newsletter : Actualité en immuno-oncologie
Newsletter : Actualité en oncologie thoracique
La newsletter spéciale cancers gynécologiques
Newsletter : spéciale cancer de l'ovaire
Newsletter : e-Thorax
Newsletter : lettre Anocef
Newsletter : Senoscoop
Newsletter : Spéciale cancers sein métastatiques
Paroles d'EXperts
Revue de presse Mediscoop
Synthèses
Webcasts
Pathologies
Algologie
Autres
Cancer cutané
Cancer de l'appareil e...
Cancer digestif
Cancer du poumon
Cancer du SNC
Cancer gynécologique
Cancer ORL
Cancer pédiatrique
Cancer urologique
Cancers rares
Hématologie
Onco-génétique
Oncologie fondamentale
Psycho-oncologie
Sénologie
Thérapeutiques
Immunothérapie
Soins de support
Exploration
Imagerie
Biomarqueurs
Services
A propos
Contact
Accéder à:
AlgoScoop
AllergoScoop
CanceroNet
Coeur
DermatoNet
DiabetoNet
GastroEnteroNet
GynecoNet
HematoNet
NephroFr
NeuroScoop
OrlScoop
PneumoScoop
RhumatoNet
Publicité
Toutes les actualités scientifiques
Page 640 sur 775
Premier
Précédent
635
636
637
638
639
640
641
642
643
644
Suivant
Dernier
Publicité
Sénologie
Article Commenté
Source : N Engl J Med. 2015 Jun 1. [Epub ahead of print]
PALOMA3 : confirmation du bénéfice du palbociclib en association avec l’hormonothérapie
Pr Florence Dalenc
Institut Claudius Regaud - Toulouse
Turner N
et al
. viennent de publier dans le
NEJM
les résultats de l’étude PALOMA 03, quelques jours après la communication des résultats à l’ASCO 2015.
Cette étude compare le Fulvestrant seul (500 mg IM) +/- agoniste de la LHRH à l’association palbociclib (125 mg/j, 21 jours sur 28), un inhibiteur des cyclines dépendantes des kinases 4 et 6 + Fulvestrant +/- agoniste de la LHRH, chez des patientes post ou pré/péri ménopausées, présentant un cancer RH+ et HER2 neg.
Sénologie
Article Commenté
Source : Cancer Res. 2015 ; 75(4):720-31.
ERRα (Estrogen Related Receptors Alpha) pourrait jouer un rôle dans les cancers du sein hormonorésistants
Dr Anna Durigova
Polyclinique Saint-Côme - Compiègne
Les efforts de la compréhension de l’hormonorésistance se poursuivent avec la mise en évidence d’un récepteur proche mais différent de l’ER
: l’ERRα. L’action de l’ERRα semble promouvoir l’hormonorésistance et son inhibition restaure en partie l’hormonosensibilité et bloque la croissance tumorale.
En dehors de récepteur aux estrogènes (ERα) exprimé dans environ 70% des cancers du sein, il existe d’autres récepteurs nucléaires aux séquences partiellement homologues aux ER, nommés
Sénologie
Article Commenté
Source : Lancet. 2015 May 29. doi:10.1016/S0140-6736(15)60995-3. Abstract#504 ASCO 2015
Denosumab et cancer du sein adjuvant : et si ce n’était que le début…
Dr Philippe Barthélémy
Institut de cancérologie de Strasbourg - Strasbourg
De nombreux travaux ont étudié ces dernières années le rôle des biphosphonates (BP) et plus récemment celui du denosumab (D) en situation adjuvant des cancers du sein. Seules les données portant sur le rôle des BP ont été rapportées avec pour l’ensemble des études 2 questions : le rôle des BP dans la prévention des complications osseuses induites par les inhibiteurs de l’aromatase et le rôle potentiel des BP dans la prévention des métastases osseuses et leur impact sur la survie globale.
Alors que la situation est devenue plus claire concernant le rôle
Sénologie
Vos patients ont lu
Source : Senoscoop juin 2015
« Un homme sur mille aura un cancer du sein dans sa vie »
Le journal fait savoir qu’«
une nouvelle étude internationale souligne le rôle des œstrogènes dans l'apparition de ce cancer rare chez l'homme
». «
Pour un homme, le risque d'avoir un cancer du sein au cours de sa vie est d'environ un pour mille
», estime la Société américaine du cancer. «
Un risque trop faible pour que des campagnes nationales soient organisées, mais suffisant pour que chaque homme connaisse les symptômes de ce cancer
», souligne Le Figaro.
Sénologie/Soins de support
Vos patients ont lu
Source : Cancero.net - TVC scoop juin 2015
« Le cancer du sein modifie les os pour mieux s'y propager »
«
Des chercheurs britanniques ont découvert que les tumeurs cancéreuses du sein étaient capables de manipuler la structure de l'os pour mieux s'y installer ensuite
», signale la journaliste Catherine Cordonnier.
«
Comme tout type de cancer, le cancer du sein a tendance à se développer et à faire des métastases dans d'autres organes que l'organe initial. C'est dans les poumons, les ganglions lymphatiques mais aussi dans les os (colonne vertébrale, côtes, bassin, boîte crânienne) que les cellules cancéreuses du
Sénologie
Vos patients ont lu
Source : Senoscoop juin 2015
« Les héroïnes des dessins-animés nues contre le cancer du sein »
BIBA mai 2015
Le magazine féminin met en vedette l’initiative de
« l'artiste italien Alexsandro Palombo [qui] s'est inspiré de personnages féminins phares des dessins animés pour créer toute une série de visuels soutenant les femmes qui ont vaincu un cancer du sein
». Ainsi,
« des princesses Disney au figures féminines des dessins-animés à succès, toutes se dressent fièrement, tout aussi belles et glamour que d'habitude, affichant leurs cicatrices après une
Sénologie
Vos patients ont lu
Source : Senoscoop juin 2015
« Hauts-de-Seine : le dépistage du cancer du sein reste trop faible… »
Le magazine fait savoir que «
selon une récente étude réalisée [en février 2015] par la CPAM par l’Assurance Maladie des Hauts-de-Seine, le dépistage du cancer du sein dans le département du 92 (près de Paris) reste trop faible… En tout, 72.000 femmes âgées de 50 à 74 ans [sur les 173.928 femmes concernées par le dispositif] ne participent pas…
». «
Soit tout de même 41% »,
renchérit l’article.
Sénologie
Vos patients ont lu
Source : Senoscoop juin 2015
« Coups de pagaies contre le cancer du sein »
Le journal signale qu’«
à Angers, onze femmes [âgées de 36 à 68 ans] touchées par le cancer du sein forment une équipe de canoë. Ces « Dragon Pink Ladies » préparent une grande course à Venise, dimanche 24 mai
». Sophie Becquet, 39 ans, qui vient d’achever sa dernière séance de radiothérapie témoigne :
« Sur l’eau, le bien-être est immédiat. On s’échappe du quotidien et de la fatigue des traitements »
. «
Cette équipe, appelée «Dragon Pink Ladies», comme dans
Sénologie
Vos patients ont lu
Source : Senoscoop juin 2015
« Cancer du sein : après la rémission, une cure thermale »
«
Cicatrices adhérentes, mauvaise mobilité du bras, peau déshydratée… Les cures thermales offrent une parenthèse bienfaisante pour prendre soin de soi une fois les traitements lourds terminés
», indique le magazine féminin.
«
Les stations thermales auvergnates de Vichy, du Mont-Dore et de Châtel-Guyon ont participé à l’
étude clinique PACThe
(Programme d’accompagnement et de réhabilitation post-thérapeutique pour les femmes en rémission de cancer du sein en station thermale) dirigée
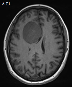
Cancer du SNC
Cas Clinique
Du gras dans la tête
Dr Arnault Tauziède-Espariat
AP-HP Lariboisière - Paris
Motif d’hospitalisation :
Patient âgé de 52 ans, adressé en urgence pour des céphalées.
Comorbidité :
Hypertension artérielle traitée et régulée Diabète de type 2 insulinorequérant
Histoire de la maladie :
Céphalées diffuses, permanentes, intenses depuis 1 semaine, résistantes aux antalgiques.
Un scanner puis une IRM cérébrale sont réalisés en urgence.
Cancer du poumon
Article Commenté
Source : N Engl J Med 2015 ; 372:1689-99
Arrivée des TKI 3G sur la voie de l’EGFR
Pr Jean-Louis Pujol
CHU et IRCM INSERM U 1194 - Montpellier
La mutation T790M de l’exon 20 du récepteur de l’EGF est bien connue des cliniciens pour être la pierre d’achoppement des traitements ciblant ce récepteur. Elle est en effet la mutation de résistance acquise par près de 60% des adénocarcinomes après une période de sensibilité aux TKIs de première ligne (afatinib, gefitinib, erlotinib).
Cibler cette mutation tout en maintenant l’interaction avec la poche d’ATP des récepteurs porteurs de mutations sensibilisantes est l’approche proposée par l’AZD9291.
Cancer du poumon
Article Commenté
Source : Nat Med. 2015 May 4. doi: 10.1038/nm.3854.
Thérapie ciblant l’EGFR : deuxième ligne de tki… et deuxième résistance !
Pr Jean-Louis Pujol
CHU et IRCM INSERM U 1194 - Montpellier
L’étude que nous venons de citer établit l’activité de l’AZD9291 comme traitement des patients atteints d’adénocarcinome présentant une résistance de type T790M lors de la progression après un tki de première ou de deuxième génération.
Cette étude est le support de l’élégante analyse des causes de l’échappement clinique ensuivant : c’est-à-dire de la progression qui survient après une moyenne de 9 mois pendant lesquels l’AZD9291 est efficace.
Partant d’une observation singulière,
Page 640 sur 775
Premier
Précédent
635
636
637
638
639
640
641
642
643
644
Suivant
Dernier
Publicité
Publicité
Memento des recos
Accéder à toutes les recommandations
Actus congrès
Journées Francophones d'Hépato-gastroentérologie et...
Palais des Congrès - Paris, France
19-22 mars 2026
Toutes les actus congrès
Agenda des congrès
Accéder à l'agenda des congrès à venir
Dossiers thématiques
Les inhibiteurs HER2+ : du concept à la clinique
Tous les dossiers
Autres actualités
Prise en charge des gliomes : rétroperspective des congrès...
Pr François Ducray (
Hôpital Wertheimer - Lyon
)
Dr Alice Laurenge-Leprince (
Hôpital Pitié-Salpêtrière - Paris
)
Dr Sam Ng (
CHU Montpellier
)
Tous les webcasts
Résultats à 3 ans de l'étude SEQUOIA...
par le Dr
Emmanuelle Ferrant
(Hôpital Lyon Sud - HCL - Lyon)
Toutes les interviews
Memento des recos sur lymphome B agressif : que nous...
par le Dr
Guillaume Manson
(CHU - Rennes)
Toutes les synthèses
Newsletters
Lettre Anocef
Cancero.net - Bimensuelle
Cancero.net - Spéciale cancers sein métastatiques
Anocef - Spéciale glioblastome
Cancero.net - Actualité en oncologie thoracique
Cancero.net - Cancers gynécologiques
Cancero.net - Spéciale cancer colorectal métastatique
Publicité
×
Fermer