Envoi du mail en cours
 

Toutes les actualités scientifiques

Page 648 sur 775        Premier  Précédent  643  644  645  646  647  648  649  650  651  652  Suivant  Dernier
Sénologie
Vos patients ont lu
Source : Senoscoop avril 2015
« Lancer de soutiens-gorges contre le cancer du sein »
Le journal annonce « un lancer de soutiens-gorges au Trocadéro (XVIe) sur l'air de « I love my boobs », à 15 heures », le 29 mars. « Un collectif de femmes se rassemblera pour ce rendez-vous organisé par l'association Pink Bra Bazaar, dédiée à l'éducation et la santé mammaire et au soutien de femmes atteintes d'un cancer du sein », précise-t-il. « Des danseuses, vêtues d'un soutien-gorge sur leur costume, accompagneront la manifestation. Les femmes sont invitées à venir avec un soutien-gorge en poche et à se joindre au final », explique l’article.
Sénologie
Vos patients ont lu
Source : Senoscoop avril 2015
« Cancer du sein : quelles plantes pour accompagner la chimio ? »
La journaliste Catherine Cordonnier indique que « pendant une chimiothérapie, certaines plantes permettent de soulager les nausées et de protéger le foie », et fait « le point avec le Dr Bérengère Arnal-Morvan, gynécologue-obstétricienne et phytothérapeute ».
Pour se prémunir des nausées : « Il n'y a pas de chimiothérapie sans accompagnement par le desmodium, une plante protectrice du foie. La forme traditionnelle efficace et économique, est la décoction : 10 g dans un litre d'eau, laissez bouillir pendant 15 mn et boire chaud ou froid, à la paille
Sénologie
Vos patients ont lu
Source : Senoscoop avril 2015
« L'escrime pour mieux vivre après un cancer du sein »
Le journal indique que « la gestuelle du maniement du sabre est excellente pour réapprendre à bouger après une opération de cancer du sein ». « La pratique du sabre, permet, à petite dose, par sa gestuelle, aux femmes qui ont souffert d'un cancer du sein de retrouver leur gestuelle, en complément du travail du kiné », explique André Tourne, qui fait vivre l'escrime à Saint-Gaudens. L’article souligne que par cette pratique, les femmes « retrouve[nt] des gestes essentiels souvent difficiles après l'opération qu'elles ont subie ».
Annonce du cancer et vécu des médecins
Psycho-oncologie
Article Commenté
Source : Psycho-Oncologie (2015) 9 : 31-36
Annonce du cancer et vécu des médecins
Dr Jean-Pierre Mérel CHU de Montpellier - Montpellier
Cette étude vise à explorer l’expérience subjective des médecins confrontés à l’annonce de mauvaises nouvelles en cancérologie. Elle repose sur l’analyse qualitative (IPA : analyse qualitative phénoménologique) de la perception de 22 praticiens hospitaliers.
Son objectif est d’apporter des éléments de compréhension de l’expérience subjective des praticiens confrontés à l’annonce, en complément des rares études menées jusqu’à présent dans ce domaine.
Psycho-oncologie
Article Commenté
Source : Psycho-Oncol. (2015) 9:5-8
Peut-on coudre de la psycho-oncologie sur du Lacan ?
Pr Jean-Louis Pujol CHU et IRCM INSERM U 1194 - Montpellier
"Le désir surgit du besoin émondé de la demande"… nous a appris Lacan. Les auteurs de l'article cité ici ont réalisé le tour de force de trouver dans cet énigmatique aphorisme un sens à la plainte des soignants en cancérologie.
Comme le désir, la plainte s'adresse à l'Autre ; cet Autre avec un grand A représente celui que l’on considère dans son altérité (dont on admet la différence, laquelle est prise en compte dans la relation et dont on souhaite également qu’il nous reconnaisse en retour). L'Autre, pour les soignants, est inconsciemment celui qui est supposé savoir et entendre…
 
Formation à l’annonce par la simulation
Psycho-oncologie
Article Commenté
Source : Psycho-Oncologie. (2014.) 8 : 200-204.
Formation à l’annonce par la simulation
Dr Jean-Pierre Mérel CHU de Montpellier - Montpellier
Depuis une quinzaine d’années, la question de la communication en oncologie a fait l’objet d’un intérêt croissant dans les domaines de la recherche comme de l’enseignement.
Différents types de formation ou d’entraînement à la communication ont pu être proposés - « communication skills trainings » - plus volontiers centrés sur l’annonce, étape essentielle dans le parcours du patient en ce qu’elle implique la communication d’informations potentiellement traumatiques et que son déroulement aura une incidence sur la manière dont patients et proches
Le Nutella® est bon contre l'épuisement émotionnel
Psycho-oncologie
Article Commenté
Source : Psycho-Oncol. (2015) 9:46-52
Le Nutella® est bon contre l'épuisement émotionnel
Pr Jean-Louis Pujol CHU et IRCM INSERM U 1194 - Montpellier
Une simple enquête partant d'un constat que nous pouvons tous faire : tout ce qui est hypercalorique et sucré se retrouve un jour devant vous dans les salles de transmission, dans les salles de réunion, bref, partout où des soignants en cancérologie échangent en l'absence de leurs patients.
Il faut avoir l'acuité des auteurs pour trouver dans cette observation simple un recours symbolique. A la réflexion, chacun peut se reconnaître dans ce qu'ils écrivent, mais nous ne le voyons pas, peut-être parce que nos habitudes nous ont rendu la chose banale au point de ne pas en chercher le sens.
Psycho-oncologie
Cas a discuter
Source : e-Psy avril 2015
Etrange…
Pr Jean-Louis Pujol CHU et IRCM INSERM U 1194 - Montpellier
Patient 1
"Non, non, mais bon c’est pas contagieux non plus. Oh puis moi, je suis quelqu’un d’assez solitaire, j’ai pas besoin qu’on m’entoure spécialement, je peux vivre en autarcie."
"Et je me rappelle du vieux temps, là j’étais tout petit, en patois, ils le disaient, parce que toutes les campagnes ont une langue. Ils disaient il faut pas le fréquenter parce que c’est un… un cancéreux."
Solution de la vignette
Ce verbatim nous parait être
Quel est votre diagnostic ?
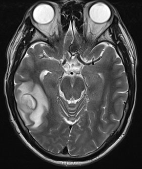
Cancer du SNC
Cas Clinique
Quel est votre diagnostic ?
M. Laurent Guilloton HIA Desgenettes - Lyon
Un homme âgé de 33 ans, droitier, traité pour un diabète de type 1 par insuline, fut pris en charge, en janvier 2013, à la suite d'une première crise comitiale généralisée d'emblée. L'examen clinique tout comme la biologie usuelle était sans points d'appel. Il n'existait notamment pas de syndrome inflammatoire biologique.
L’IRM révéla l’existence d’une lésion fronto-temporale droite. La lésion apparaissait hétérogène avec un centre hypo-intense en T1 et hyper-intense T2 et Flair, entouré d'une zone en couronne en très discret hypersignal T1 et
Cancer du poumon
Article Commenté
Source : Lancet Oncol. 2015 ; 16(3):328-37.
Necitumumab : pas dans les adénocarcinomes
Pr Jean-Louis Pujol CHU et IRCM INSERM U 1194 - Montpellier
L’anticorps ciblant le domaine extracellulaire du récepteur d’EGF ne modifie pas la survie des patients atteints d’adénocarcinomes traités par chimiothérapie et entraine des effets secondaires.
Alors que le blocage du domaine extracellulaire de l’EGFR est une stratégie qui a fait ses preuves pour les cancers colorectaux, il n’en est pas de même pour les cancers non à petites cellules avancés.
Dans les formes métastatiques, le cétuximab comme adjuvant d’une chimiothérapie conventionnelle,
BRAF et adénocarcinome du poumon
Cancer du poumon
Article Commenté
Source : J Thorac Oncol. 2014 ; 9: 1669-74
BRAF et adénocarcinome du poumon
Pr Jean-Louis Pujol CHU et IRCM INSERM U 1194 - Montpellier
Toutes les mutations de BRAF ne se valent pas. Celles qui affectent des hotspots autres que V600 sont de plus mauvais pronostic.
BRAF est venu il y a peu allonger la liste des drivers oncogéniques potentiels de l’adénocarcinome du poumon. Cependant, la rareté des mutations de BRAF dans cette pathologie, de l’ordre de 1 à 2%, limite la connaissance des caractéristiques de la maladie, de la démographie des patients et de leur pronostic.
Cancer du poumon
Article Commenté
Source : J Thorac Oncol. 2014 ; 9:1714-9
Lost in translocation
Pr Jean-Louis Pujol CHU et IRCM INSERM U 1194 - Montpellier
KIF5B-RET, une translocation que l'on oublie de tester mais dont le tableau clinique typique devrait nous alerter !
Les translocations de RET, et notamment la translocation KIF5B-RET, sont assez peu connues parce qu’elles sont peu fréquentes et parce que leur recherche nécessite la réalisation de séquençages à haut débit.
Cette petite série de patients permet de mieux caractériser l’adénocarcinome porteur d’une
Page 648 sur 775        Premier  Précédent  643  644  645  646  647  648  649  650  651  652  Suivant  Dernier
Newsletters