X
Déclaration de liens d'intérêts
Cet auteur a déclaré n'avoir aucun lien d'intérét
Envoi du mail en cours
×
Fermer
Recommander à un confrère
Destinataires
Séparez les différentes adresses par une virgule.
Commentaire
Cher confrère, je pense que ceci devrait t'intéresser. Cordialement,
Les données collectées dans ce formulaire sont uniquement destinées à l'envoi de l'e-mail d'invitation et ne sont pas conservées.
Supportez notre indépendance éditoriale
Connexion / Inscription
Accueil
Actualités
Actus congrès
Actus médiathèques
Actus Scientifiques
Dossiers thématiques
Agenda des congrès
Article du jour Mediscoop
Duo d'experts
Interviews
Newsletter : Actualités des jeunes oncologues
Newsletter : Bimensuelle
Infos Flash
Newsletter : les nouvelles actualités en urologie
Newsletter : e-Psy
Newsletter : Actualité en immuno-oncologie
Newsletter : Actualité en oncologie thoracique
La newsletter spéciale cancers gynécologiques
Newsletter : spéciale cancer de l'ovaire
Newsletter : e-Thorax
Newsletter : lettre Anocef
Newsletter : Senoscoop
Newsletter : Spéciale cancers sein métastatiques
Paroles d'EXperts
Revue de presse Mediscoop
Synthèses
Webcasts
Pathologies
Algologie
Autres
Cancer cutané
Cancer de l'appareil e...
Cancer digestif
Cancer du poumon
Cancer du SNC
Cancer gynécologique
Cancer ORL
Cancer pédiatrique
Cancer urologique
Cancers rares
Hématologie
Onco-génétique
Oncologie fondamentale
Psycho-oncologie
Sénologie
Thérapeutiques
Immunothérapie
Soins de support
Exploration
Imagerie
Biomarqueurs
Services
A propos
Contact
Accueil
Actualités
Actus congrès
Actus médiathèques
Actus Scientifiques
Dossiers thématiques
Agenda des congrès
Article du jour Mediscoop
Duo d'experts
Interviews
Newsletter : Actualités des jeunes oncologues
Newsletter : Bimensuelle
Infos Flash
Newsletter : les nouvelles actualités en urologie
Newsletter : e-Psy
Newsletter : Actualité en immuno-oncologie
Newsletter : Actualité en oncologie thoracique
La newsletter spéciale cancers gynécologiques
Newsletter : spéciale cancer de l'ovaire
Newsletter : e-Thorax
Newsletter : lettre Anocef
Newsletter : Senoscoop
Newsletter : Spéciale cancers sein métastatiques
Paroles d'EXperts
Revue de presse Mediscoop
Synthèses
Webcasts
Pathologies
Algologie
Autres
Cancer cutané
Cancer de l'appareil e...
Cancer digestif
Cancer du poumon
Cancer du SNC
Cancer gynécologique
Cancer ORL
Cancer pédiatrique
Cancer urologique
Cancers rares
Hématologie
Onco-génétique
Oncologie fondamentale
Psycho-oncologie
Sénologie
Thérapeutiques
Immunothérapie
Soins de support
Exploration
Imagerie
Biomarqueurs
Services
A propos
Contact
Accéder à:
AlgoScoop
AllergoScoop
CanceroNet
Coeur
DermatoNet
DiabetoNet
GastroEnteroNet
GynecoNet
HematoNet
NephroFr
NeuroScoop
OrlScoop
PneumoScoop
RhumatoNet
Publicité
Toutes les actualités scientifiques
Page 650 sur 775
Premier
Précédent
645
646
647
648
649
650
651
652
653
654
Suivant
Dernier
Publicité
Sénologie
Vos patients ont lu
Source : Senoscoop mars 2015
« La guerre des tétons, ou comment parler du cancer du sein avec humour »
La journaliste Clémence Floc'h met à l’honneur
«
la BD « La guerre des tétons » [tirée du blog « Tchao Günther »], [qui] raconte avec beaucoup d’humour le cancer du sein de son auteure, Lili Sohn
». «
Tout a commencé le jour où Lili Sohn a appris son
cancer du sein.
Elle a alors 29 ans et est exilée à Montréal. Pour cette graphiste, l’annonce aux proches se fera en images via un blog qu’elle crée à cette occasion
», explique le magazine. «
Je n’avais pas envie de les appeler un par un. C’était plus facile de le faire par dessins, de mettre des couleurs
», raconte la jeune femme.
Sénologie
Vos patients ont lu
Source : Senoscoop mars 2015
« Cancer du sein : l'Institut Curie opère sous hypnose »
Le magazine révèle que «
depuis quelques mois, l'Institut Curie propose aux patientes qui le souhaitent d'être opérées sous hypnose plutôt que sous anesthésie générale pour traiter leur cancer du sein
». «
Plus de 70 opérations auraient déjà été effectuées de cette façon, dont des mastectomies
(…), qui peuvent durer plus d'une heure
», poursuit-il.
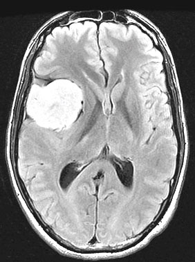
Cancer du SNC
Cas Clinique
Les méninges trompeuses
Dr Nadine Martin-Duverneuil
Pitié-Salpêtrière - Paris
Karima Mokhtari (Paris)
Clinique :
Patient âgé de 35 ans, présentant depuis quelques mois des troubles de l’humeur.
Céphalées depuis 1 semaine.
Quel est votre diagnostic ?
Cancer du rein
Compte Rendu
Source : Genitourinary Cancers Symposium (Onco-Urologie)
Le sunitinib et la gemcitabine dans le traitement du cancer du rein métastatique à composante sarcomatoïde et/ou de mauvais risque : essai de phase II
Dr Idir Ouzaid
Hôpital Bichat - Paris
Le carcinome rénal à différenciation sarcomatoïde (sRCC) est tout aussi agressif que le RCC et de mauvais pronostic (tels que définis par des facteurs de risque établis). Bien que facteur de croissance vasculaire endothéliale (VEGF) la thérapie est le traitement initial standard pour RCC, l'insuffisance de données existe dans sRCC et
Cancer du rein
Compte Rendu
Source : Genitourinary Cancers Symposium (Onco-Urologie)
Etude randomisée de phase II évaluant l’AZ2014 versus everolimus chez les patients avec un cancer du rein métastatique résistant aux anti-VEGF
Dr Idir Ouzaid
Hôpital Bichat - Paris
Le traitement des patients atteint d’un mRCC après résistance aux anti-angiogéniques est toujours un défi. Il a été suggéré qu’un inhibiteur de TORC1 et TORC2 tel que l’AZ2014 pourrait avoir un bénéfice par rapport à un inhibiteur sélectif de TORC1 tel que l’everolimus.
Cancer de la prostate
Compte Rendu
Source : Genitourinary Cancers Symposium (Onco-Urologie)
Qui peut recevoir une radiothérapie de courte durée ? Radiothérapie hypofractionnée ou stéréotaxique
Dr Igor Latorzeff
Clinique Pasteur - Toulouse
Le Dr Michalski, de l’Université Washington de St Louis, a présenté les possibilités actuelles de prise en charge des patients par radiothérapie de durée de traitement réduite : il s’agit des avancées actuelles de la radiothérapie portant sur les irradiations hypofractionnées et/ou la radiothérapie stéréotaxique (SBRT :
stereotactic body radiation therapy
).
Cancer de la prostate
Compte Rendu
Source : Genitourinary Cancers Symposium (Onco-Urologie)
La réponse aux taxanes selon le variant d’épissage AR-V7
Dr Igor Latorzeff
Clinique Pasteur - Toulouse
Le Dr Antonarakis (Abstract 138) avait déjà démontré l’importance de la présence du variant AR-V7 dans les mécanismes de résistance aux hormonothérapies de 2ème génération, acétate d’abiratérone et enzalutamide, l’année dernière.
Cancer de la prostate
Compte Rendu
Source : Genitourinary Cancers Symposium (Onco-Urologie)
Traitement hormonal, combien de temps ? Est-ce assez longtemps ?
Dr Igor Latorzeff
Clinique Pasteur - Toulouse
Le Dr d’Amico de la Medical School d’Harvard a fait le point sur la durée du traitement hormonal associé à la radiothérapie. A ce jour il n’existe aucune utilité d’associer un traitement hormonal à la radiothérapie des patients de bas risque et ce message a été rappelé clairement.
Cancer de la prostate
Compte Rendu
Source : Genitourinary Cancers Symposium (Onco-Urologie)
Individualiser les décisions thérapeutiques pour le cancer de la prostate localisé : aides à la décision et évolution de la qualité de vie
Dr Igor Latorzeff
Clinique Pasteur - Toulouse
Le Dr Gore de l’Université de Washington a posé la question de la meilleure façon de proposer un traitement selon des critères basés sur des scores d’aide à la décision afin de mieux informer les patients et de mieux orienter le traitement local.
Cancer de la prostate
Compte Rendu
Source : Genitourinary Cancers Symposium (Onco-Urologie)
Résultats à long terme de l’étude SPCG6 comparant bicalutamide 150 mg versus placebo dans le cancer de la prostate hormono-naïf non métastatique
Dr Igor Latorzeff
Clinique Pasteur - Toulouse
Le Dr Thomsen (abstract 2) a rapporté les résultats à 15 ans de l’étude du
Scandinavian Prostate Cancer Group
(SPCG6) ayant randomisé 1 218 patients souffrant d’un cancer de la prostate hormono-naïf non métastatique. La randomisation se faisait en 2 groupes recevant soit 150 mg de bicalutamide, soit un placebo, en plus de
Cancer de la prostate
Compte Rendu
Source : Genitourinary Cancers Symposium (Onco-Urologie)
Intérêt du 4Kscore pour l’identification des cancers de la prostate de haut grade
Dr Igor Latorzeff
Clinique Pasteur - Toulouse
Le Dr Punnen (abstract 1) a présenté l’intérêt du 4Kscore, score combinant le dosage sérique de 4 kallicréines (PSA total, PSA libre, PSA intact et hKh2) à l’âge, aux données du toucher rectal et, éventuellement, à celles des biopsies antérieures.
Cancer du rein
Compte Rendu
Source : Genitourinary Cancers Symposium (Onco-Urologie)
Essai RESTORE : étude de phase II comparant l’administration du sunitinib selon un schéma 4/6 versus 1/2
Dr Idir Ouzaid
Hôpital Bichat - Paris
Le sunitinib, un des traitements standard du cancer du rein métastatique (mRCC), est classiquement administré sur 4 semaines suivi par deux-semaines de repos (schéma 4/2 pour chaque cycle). Ce schéma est associé à une toxicité gênante qui nécessite souvent une réduction de dose.
Page 650 sur 775
Premier
Précédent
645
646
647
648
649
650
651
652
653
654
Suivant
Dernier
Publicité
Publicité
Memento des recos
Accéder à toutes les recommandations
Actus congrès
Journées Francophones d'Hépato-gastroentérologie et...
Palais des Congrès - Paris, France
19-22 mars 2026
Toutes les actus congrès
Agenda des congrès
Accéder à l'agenda des congrès à venir
Dossiers thématiques
Les inhibiteurs HER2+ : du concept à la clinique
Tous les dossiers
Autres actualités
Prise en charge des gliomes : rétroperspective des congrès...
Pr François Ducray (
Hôpital Wertheimer - Lyon
)
Dr Alice Laurenge-Leprince (
Hôpital Pitié-Salpêtrière - Paris
)
Dr Sam Ng (
CHU Montpellier
)
Tous les webcasts
Résultats à 3 ans de l'étude SEQUOIA...
par le Dr
Emmanuelle Ferrant
(Hôpital Lyon Sud - HCL - Lyon)
Toutes les interviews
Memento des recos sur lymphome B agressif : que nous...
par le Dr
Guillaume Manson
(CHU - Rennes)
Toutes les synthèses
Newsletters
Lettre Anocef
Cancero.net - Bimensuelle
Cancero.net - Spéciale cancers sein métastatiques
Anocef - Spéciale glioblastome
Cancero.net - Actualité en oncologie thoracique
Cancero.net - Cancers gynécologiques
Cancero.net - Spéciale cancer colorectal métastatique
Publicité
×
Fermer