Envoi du mail en cours
 

Toutes les actualités scientifiques

Page 654 sur 775        Premier  Précédent  649  650  651  652  653  654  655  656  657  658  Suivant  Dernier
3 300
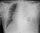
Cancer du poumon
Cas a discuter
Source : e-Thorax février 2015
3 300
Pr Jean-Louis Pujol CHU et IRCM INSERM U 1194 - Montpellier
Solution du cas

Il s'agit d'un dosage des marqueurs de tumeur germinale.
Le taux d'alphafoetoprotéine était de 3 300 ng/m/l ; d'où le titre du cas clinique.
Le taux de béta HCG est de 80 U/l.
Il s'agit donc d'une tumeur
 
Cancer du poumon
Vos patients ont lu
Source : e-Thorax février 2015
« En 2015, le cancer du poumon va tuer plus de femmes que le cancer du sein »
Le journal signale que « cette année, pour la première fois en Europe comme en France, le nombre de décès de femmes dus au cancer du poumon devrait dépasser ceux qui sont liés au cancer du sein ».
« C'est la chronique d'un désastre annoncé »
que « soulignent des travaux publiés dans la revue Annals of Oncology », poursuit le Figaro. Il ajoute que selon les chercheurs italiens et suisses de l'étude, « le nombre total de cancers va continuer d'augmenter dans l'Union européenne en raison notamment de l'accroissement et du vieillissement de la population. Mais le taux de mortalité du
Cancer du poumon
Vos patients ont lu
Source : e-Thorax février 2015
« Plan Cancer : un bilan d'étape axé sur le dépistage et le droit à l'oubli »
La journaliste Hélène Bour rapporte qu’« un premier bilan d'étape du Plan Cancer 3 (2014-2019) vient d'être remis au Président Hollande. Il met l'accent sur les actions pour améliorer les dépistages, en particulier celui du cancer du col de l'utérus ». « Un an après le lancement des 185 actions du plan, ce premier bilan d'étape entend améliorer les dépistages et intensifier les politiques de prévention contre les cancers, par la réduction du tabagisme notamment », poursuit l’article. L'Institut national du cancer (INca) responsable du « pilotage » du plan a assuré qu'une « grande majorité des actions programmées respectait le planning prévu ».
Cancer du poumon
Vos patients ont lu
Source : e-Thorax février 2015
« Cancer du poumon : un traitement de Roche obtient le statut de 'percée thérapeutique' »
« Le groupe pharmaceutique suisse Roche a annoncé que l'agence américaine des médicaments avait accordé le statut de percée thérapeutique à un traitement expérimental pour une forme de cancer du poumon », révèle Le Parisien.
Le traitement en question est le « MPDL3280A, un agent immunothérapeutique anticancéreux, pour les patients atteints d'un cancer du poumon non à petites cellules dont la maladie continue à progresser durant ou après une chimiothérapie à base de platine ». « Ce statut a pour effet d'accélérer
Cancer du poumon
Vos patients ont lu
Source : e-Thorax février 2015
« Le cancer du poumon gagne du terrain chez les femmes »
Le magazine annonce une « triste nouvelle : le cancer du poumon fait de plus en plus de victimes féminines en Europe, et est même en passe de détrôner le cancer du sein en termes de mortalité ». C’est le résultat d’une récente étude, « publiée dans la revue scientifique Annals of Oncology, [qui] montre une augmentation de 9% des cas chez les femmes, tous âges confondus », indique Top Santé.
Cancer du poumon
Vos patients ont lu
Source : e-Thorax février 2015
« De quoi meurt-on le plus dans le monde aujourd'hui ? »
« On vit sur la planète six ans de plus qu'en 1990. En France, les premières causes de mortalité sont l'infarctus et le cancer du poumon », révèle dans Le Point, le Pr Didier Raoult. « Le Lancet vient de publier un bilan complet sur l'évolution de la santé humaine entre 1990 et 2013 dans tous les pays en étudiant les 240 causes principales de mortalité. Et les nouvelles sont plutôt bonnes. Si, en 2013, 54.9 millions de personnes sont mortes, l'espérance de vie moyenne dans le monde a bondi de 65,3 ans à 71,5 ans. Cet allongement de l'espérance de vie est essentiellement dû à une diminution de la mortalité par cancer et par maladies cardio-vasculaires, dans les pays développés, ainsi qu'à une diminution de la mortalité infantile par diarrhée et pneumonie dans les pays pauvres », explique le magazine.
Mutations germinales et cancer du sein triple négatif : à qui doit-on proposer la recherche de mutation germinale et pourquoi pas un screening systématique ?
Sénologie
Article Commenté
Source : J Clin Oncol. 2015 ; 33(4):304-11.
Mutations germinales et cancer du sein triple négatif : à qui doit-on proposer la recherche de mutation germinale et pourquoi pas un screening systématique ?
Dr Philippe Barthélémy Institut de cancérologie de Strasbourg - Strasbourg
La recherche d’une mutation germinale (BRCA1/2 ou autre) dans les cancers du sein triple négatif revêt depuis quelques mois une importance particulière avec notamment l’arrivée des inhibiteurs de PARP dans ce sous-groupe de patientes.
Couch et al. tentent par leur analyse d’identifier les paramètres qui vont nous aider à mieux repérer les patientes à envoyer chez l’oncogénéticien. Nos recommandations d’oncogénétique sont-elles toujours à jour… ? A vous de juger.
Traitement adjuvant des cancers du sein pN- et HER2+ par paclitaxel et trastuzumab
Sénologie
Article Commenté
Source : NEJM 2015 372(2) : 134-141.
Traitement adjuvant des cancers du sein pN- et HER2+ par paclitaxel et trastuzumab
Pr Florence Dalenc Institut Claudius Regaud - Toulouse
Du « light » pour les petites tumeurs HER2+ !
Tolaney SM et al. viennent de publier les résultats d’une étude clinique multicentrique, monobras et prospective, présentée en oral lors du SABCS de 2013, évaluant le devenir de 406 patientes traitées sur le plan systémique par 12 injections de paclitaxel hebdomadaire + trastuzumab durant 1 an (schéma hebdomadaire pendant la chimiothérapie puis ensuite hebdomadaire ou toutes les 3 semaines selon le choix de l’investigateur) +/- hormonothérapie selon le statut RH, pour un cancer du sein
Cellules souches et risque de cancer : attention aux extrapolations dangereuses...
Sénologie
Article Commenté
Source : Science. 2015 ; 347(6217):78-81.
Cellules souches et risque de cancer : attention aux extrapolations dangereuses...
Pr William Jacot ICM, Institut régional du Cancer de Montpellier - Montpellier
Pour une fois, faisons une petite excursion au-delà de l’oncologie sénologique… L’article publié par Tomasetti et Vogelstein dans le numéro du 2 janvier 2015 de la prestigieuse revue Science a fait couler beaucoup d’encre, y compris dans la presse généraliste, et suscité de vives réactions. Qu’en est-il ?
Les mécanismes moléculaires et l’impact clinique de la mutagénèse médiée par l’APOBEC3B dans le cancer du sein
Sénologie
Article Commenté
Source : Breast Cancer Research (2015) 17:8
Les mécanismes moléculaires et l’impact clinique de la mutagénèse médiée par l’APOBEC3B dans le cancer du sein
Dr Anna Durigova Polyclinique Saint-Côme - Compiègne
Parmi les processus mutationnels reconnus, l'APOBEC, famille d'enzymes impliquées dans la réponse immunitaire innée, est une source interne d'instabilité génomique dans le cancer du sein. La signature mutationnelle APOBEC pourrait avoir à l'avenir une signification pronostique et un intérêt clinique.
Sénologie
Vos patients ont lu
Source : Senoscoop février 2015
« Cancer du sein : opérée le matin, sortie le soir ! »
Dans Le Point, Anne Jeanblanc révèle que « la chirurgie ambulatoire ne cesse de se développer, y compris pour l'ablation de tumeurs mammaires. Une femme sur deux pourrait un jour en bénéficier ». En effet, « selon l'étude "Quelle prise en charge du cancer en 2020 ?" publiée par Unicancer à l'occasion de la journée mondiale de lutte contre le cancer, certains centres opèrent déjà 40% des patientes de cette façon. Plus largement, ce sont 25% des actes de chirurgie du cancer du sein qui ont été pratiqués en ambulatoire dans les différents centres de lutte contre le cancer (CLCC) », et « le nombre de malades concernés devrait plus que doubler au cours des cinq prochaines années », poursuit-elle.
Sénologie
Vos patients ont lu
Source : Senoscoop février 2015
« Cancer du sein : les patientes sont trop peu informées sur leur tumeur »
La journaliste Hélène Bour rapporte qu’« une étude scientifique américaine publiée le 26 janvier 2015 dans la revue Cancer révèle que les femmes atteintes de cancer du sein sont trop peu informées des caractéristiques de leur tumeur. Elle met également en lumière des disparités selon les ethnies : les minorités noires et hispaniques sont encore moins informées que les femmes blanches ».
Page 654 sur 775        Premier  Précédent  649  650  651  652  653  654  655  656  657  658  Suivant  Dernier
Newsletters