Envoi du mail en cours
 

Toutes les actualités scientifiques

Page 656 sur 775        Premier  Précédent  651  652  653  654  655  656  657  658  659  660  Suivant  Dernier
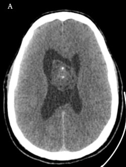
Une tumeur ventriculaire simulatrice
Cancer du SNC
Cas Clinique
Une tumeur ventriculaire simulatrice
Dr Arnault Tauziède-Espariat AP-HP Lariboisière - Paris , Dr Schahrazed BOUAZZA (Neurochirurgien - CHU de Nice - nice) et Dr Marc Polivka (Pathologiste - Hôpital Lariboisière - Paris cedex 10)
Motif d’hospitalisation : Patient âgé de 46 ans, originaire du Cap-Vert, adressé en urgence pour des céphalées.
Comorbidité : Hypertension artérielle traitée et contrôlée.
Sénologie
Compte Rendu
Source : Senoscoop décembre 2014
Résultats de l’étude BOLERO 01
Pr Florence Dalenc Institut Claudius Regaud - Toulouse
S Hurvitz a rapporté les résultats de cette étude de phase III, multicentrique, en double aveugle, conduite en première ligne métastatique chez 719 patientes ayant un cancer du sein localement avancé ou métastatiqueHER2+.
Deux schémas de traitements ont été délivrés aux patientes selon une randomisation 2:1 : évérolimus (10 mg par jour en continu) ou placebo + paclitaxel et trastuzumab tous deux administrés de façon hebdomadaire. Suite aux résultats de l’étude BOLERO 03 qui suggéraient un bénéfice à l’ajout de
Sénologie
Compte Rendu
Source : Senoscoop décembre 2014
Résultats de l’étude SOFT
Pr Florence Dalenc Institut Claudius Regaud - Toulouse
Les résultats tant attendus des trois bras de l’étude SOFT ont fait l’objet de 2 communications orales successives lors de ce congrès. Il s’agit d’une étude de phase III, randomisée, multicentrique, comparant 3 schémas d’hormonothérapie, prescrite pour une durée totale de 5 ans, en adjuvant chez 3047 femmes non ménopausées ayant une tumeur RE+ (≥10%) : Tamoxifène seul (bras de référence) versus Tamoxifène + agoniste de la LHRH versus agoniste de la LHRH (AG) + Exémestane.
Une stratification a été réalisée selon que les patientes aient reçu (53%) ou pas (47%) une
Sénologie
Compte Rendu
Source : Senoscoop décembre 2014
Traitement adjuvant des cancers du sein : tous les taxanes ne sont pas égaux… Acte 2
Pr William Jacot ICM, Institut régional du Cancer de Montpellier - Montpellier
Nous savons depuis 2008 et la publication dans le NEJM de l’étude E1199 que les taxanes ne sont pas égaux dans le traitement adjuvant des cancers du sein, le choix des rythmes d’administration se révélant crucial en terme d’efficacité.
Dans cette étude, Sparano et collaborateurs avaient clairement démontré l’équivalence du paclitaxel en schéma hebdomadaire et du docétaxel délivré tous les 21 jours comparativement aux deux autres schémas étudiés (docétaxel en schéma hebdomadaire et paclitaxel délivré tous les 21 jours), en termes
Sénologie
Compte Rendu
Source : Senoscoop décembre 2014
Sels de platine dans le cancer du sein avancé : de l’utilité des outils de décision thérapeutique ?
Pr William Jacot ICM, Institut régional du Cancer de Montpellier - Montpellier
La question de l’intérêt des sels de platine dans le cancer du sein a été récemment relancée par une meilleure compréhension des liens entre la sensibilité à cette famille d’agents de chimiothérapie et les déficits de la voie de la recombinaison homologue, le meilleur exemple restant à ce jour les tumeurs survenant chez des patientes porteuses d’une mutation délétère BRCA1/2.
Andrew Tutt vient de présenter lors du San Antonio Breast Cancer Symposium 2014 les résultats de l’étude TNT, comparant le carboplatine (C, AUC6, toutes les 3 semaines) au docétaxel (D, 100 mg/m² toutes les 3 semaines),
Cancer du poumon
Article Commenté
Source : N Engl J Med. 2014 ; 371(21):1963-71.
CRIZOTINIB et ROS1
Pr Jean-Louis Pujol CHU et IRCM INSERM U 1194 - Montpellier
Le réarrangement du gène ALK (anaplastic lymphoma kinase), dont le gène de fusion partenaire est généralement EML4, reçoit une réponse par thérapie ciblée. En effet, en deuxième ligne, et prochainement dès la première ligne, le CRIZOTINIB est approuvé dans cette indication.
Cet inhibiteur permet d’offrir aux patients dont l’adénocarcinome est porteur de cette addiction oncogénique, une survie sans progression de l’ordre de 7 mois.
Or, le réarrangement de ROS1 possède un certain nombre d’homologies avec le réarrangement
Cancer du poumon
Article Commenté
Source : Lancet Oncol. 2014 ; 15(13):1433-41.
DACOMITINIB et traitement des cancers non à petites cellules naïfs
Pr Jean-Louis Pujol CHU et IRCM INSERM U 1194 - Montpellier
Le DACOMITINIB est un inhibiteur de tyrosine kinase (TKi) qui serait, à la différence des classiques ERLOTINIB, AFATINIB  et GEFITINIB, anti pan-HER. De plus, il serait du type inhibiteur irréversible. L’indication potentielle pour les patients souffrant d’un cancer non à petite cellules est, comme pour les trois TKi déjà autorisés, l’adénocarcinome de stade métastatique, porteur d’une mutation activatrice du gène de l’EGFR.
Pour le GEFITINIB, l’AFATINIB ou l’ERLOTINIB, leurs fonctions en tant que traitement de première ligne de ce type d’adénocarcinome
Cancer du poumon
Article Commenté
Source : Lancet Oncol. 2014 ; 15(12):1369-78
DACOMITINIB versus ERLOTINIB
Pr Jean-Louis Pujol CHU et IRCM INSERM U 1194 - Montpellier
Il n’y a pas de bénéfice à substituer l’ERLOTINIB par le DACOMITINIB.
Cette étude méthodologiquement très classique a inclus 878 patients atteints de cancer non à petites cellules ; ils ont été tirés au sort (1 :1) pour recevoir le DACOMITINIB + le placebo ou, l’ERLOTINIB plus le placebo.
Les malades avaient reçu une, voire deux lignes de chimiothérapies. Il n’y avait pas de sélection des patients sur le génotypage. Cependant, une analyse de sous-groupe chez les malades atteints de
Cancer du poumon
Article Commenté
Source : Lancet. 2014 ; 384(9944):665-73.
RAMUCIRUMAB et cancers non à petites cellules métastatiques (REVEL) : une avancée pour les deuxièmes lignes de traitement
Pr Jean-Louis Pujol CHU et IRCM INSERM U 1194 - Montpellier
Depuis l’AMM du PEMETREXED comme traitement de deuxième ligne des cancers non à petites cellules, autorisation qui est restreinte aux cancers non épidermoïde, il n’y a guère eu d’avancée dans la situation très fréquente des patients dont la maladie progresse au décours (ou au cours) d’un classique doublet fondé sur un sel de platine.
Le RAMUCIRUMAB, anticorps monoclonal ciblant la partie extracellulaire du récepteur de type VEGFR-2, pourrait être ce pas de plus.
Cancer du poumon
Vos patients ont lu
Source : e-Thorax décembre 2014
« Prévention du cancer - Les comportements à adopter »
La journaliste Sabine de La Brosse interroge le Pr David Khayat, [chef de service de cancérologie de l’hôpital de la Pitié-Salpêtrière et auteur de « Prévenir le cancer, ça dépend aussi de vous », éd. Odile Jacob], sur les moyens de « faire reculer les probabilités d’être atteint par le cancer ». Concernant les différentes causes à l’origine d’un cancer, le professeur indique « dans un tiers des cas, le tabagisme, dans un autre les hormones sexuelles, dans 20% l’alimentation, dans 15% des agents infectieux (bactéries, virus) ou des rayonnements (soleil, explosion nucléaire). Il reste 5% où le cancer est d’origine héréditaire ».
Cancer du poumon
Vos patients ont lu
Source : e-Thorax décembre 2014
« Tabac : il cause plus de cancers chez les hommes que chez les femmes »
La journaliste Catherine Cordonnier fait savoir que d’après « une nouvelle étude publiée dans la revue scientifique Science, les hommes qui fument ont plus de risque de développer un cancer du poumon que les femmes. Selon les chercheurs de l'Université d'Uppsala en Suède, ce pourrait être parce que le tabagisme réduit le nombre de chromosomes Y dans les cellules sanguines ». « Bien que la relation précise entre les chromosomes Y et le cancer ne soit pas encore bien définie, les chromosomes Y sont supposés jouer un rôle dans le confinement des tumeurs », poursuit-elle.
Cancer du poumon
Vos patients ont lu
Source : e-Thorax décembre 2014
« Le manque de sommeil augmente le risque de tomber malade »
La journaliste Agathe Mayer indique que « le manque de sommeil détruit nos cellules et augmente le risque de tomber malade, selon les résultats d'une étude publiée dans la revue scientifique Sleep ». « Et ce sont celles du foie, du poumon et de l'intestin grêle qui sont les touchées. Mais pour limiter les lésions cellulaires, il suffirait de deux jours de récupération », poursuit-elle. « Les chercheurs du Medical College of Wisconsin(Etats-Unis) ont privé des rongeurs de sommeil en diminuant de 35% la durée de leur nuit ou en les empêchant totalement de dormir. Puis, les rats ont pu récupérer et dormir pendant deux jours », détaille l’article.
Page 656 sur 775        Premier  Précédent  651  652  653  654  655  656  657  658  659  660  Suivant  Dernier
Newsletters