X
Déclaration de liens d'intérêts
Cet auteur a déclaré n'avoir aucun lien d'intérét
Envoi du mail en cours
×
Fermer
Recommander à un confrère
Destinataires
Séparez les différentes adresses par une virgule.
Commentaire
Cher confrère, je pense que ceci devrait t'intéresser. Cordialement,
Les données collectées dans ce formulaire sont uniquement destinées à l'envoi de l'e-mail d'invitation et ne sont pas conservées.
Supportez notre indépendance éditoriale
Connexion / Inscription
Accueil
Actualités
Actus congrès
Actus médiathèques
Actus Scientifiques
Dossiers thématiques
Agenda des congrès
Article du jour Mediscoop
Duo d'experts
Interviews
Newsletter : Actualités des jeunes oncologues
Newsletter : Bimensuelle
Infos Flash
Newsletter : les nouvelles actualités en urologie
Newsletter : e-Psy
Newsletter : Actualité en immuno-oncologie
Newsletter : Actualité en oncologie thoracique
La newsletter spéciale cancers gynécologiques
Newsletter : spéciale cancer de l'ovaire
Newsletter : e-Thorax
Newsletter : lettre Anocef
Newsletter : Senoscoop
Newsletter : Spéciale cancers sein métastatiques
Paroles d'EXperts
Revue de presse Mediscoop
Synthèses
Webcasts
Pathologies
Algologie
Autres
Cancer cutané
Cancer de l'appareil e...
Cancer digestif
Cancer du poumon
Cancer du SNC
Cancer gynécologique
Cancer ORL
Cancer pédiatrique
Cancer urologique
Cancers rares
Hématologie
Onco-génétique
Oncologie fondamentale
Psycho-oncologie
Sénologie
Thérapeutiques
Immunothérapie
Soins de support
Exploration
Imagerie
Biomarqueurs
Services
A propos
Contact
Accueil
Actualités
Actus congrès
Actus médiathèques
Actus Scientifiques
Dossiers thématiques
Agenda des congrès
Article du jour Mediscoop
Duo d'experts
Interviews
Newsletter : Actualités des jeunes oncologues
Newsletter : Bimensuelle
Infos Flash
Newsletter : les nouvelles actualités en urologie
Newsletter : e-Psy
Newsletter : Actualité en immuno-oncologie
Newsletter : Actualité en oncologie thoracique
La newsletter spéciale cancers gynécologiques
Newsletter : spéciale cancer de l'ovaire
Newsletter : e-Thorax
Newsletter : lettre Anocef
Newsletter : Senoscoop
Newsletter : Spéciale cancers sein métastatiques
Paroles d'EXperts
Revue de presse Mediscoop
Synthèses
Webcasts
Pathologies
Algologie
Autres
Cancer cutané
Cancer de l'appareil e...
Cancer digestif
Cancer du poumon
Cancer du SNC
Cancer gynécologique
Cancer ORL
Cancer pédiatrique
Cancer urologique
Cancers rares
Hématologie
Onco-génétique
Oncologie fondamentale
Psycho-oncologie
Sénologie
Thérapeutiques
Immunothérapie
Soins de support
Exploration
Imagerie
Biomarqueurs
Services
A propos
Contact
Accéder à:
AlgoScoop
AllergoScoop
CanceroNet
Coeur
DermatoNet
DiabetoNet
GastroEnteroNet
GynecoNet
HematoNet
NephroFr
NeuroScoop
OrlScoop
PneumoScoop
RhumatoNet
Publicité
Toutes les actualités scientifiques
Page 663 sur 775
Premier
Précédent
658
659
660
661
662
663
664
665
666
667
Suivant
Dernier
Publicité
Soins de support
Article Commenté
Source : Cliniques méditerranéennes, 2006/1 no 73, p. 231-253.
Comment le temps du sujet se construit-il ?
Pr Jean-Louis Pujol
CHU et IRCM INSERM U 1194 - Montpellier
En psychologie la question du temps est devenue l’une des plus prégnantes. Dans les circonstances traumatiques de la communication du diagnostic au patient, dire que le temps du sujet ne coïncide plus avec le temps chronologique est une litote ; ce d’autant que les rythmes imposés et effrénés des soins médicaux ambulatoires ne sont pas étrangers à ce que les Anglo-Saxons nomment : la rupture biographique.
L’article résumé ici ne parle pas du temps en cancérologie mais de celui du sujet en analyse. Des références théoriques
Soins de support
Article Commenté
Source : Cliniques méditerranéennes, 2009/2 n° 80, p. 287-300.
La grammaire du temps vécu
Pr Jean-Louis Pujol
CHU et IRCM INSERM U 1194 - Montpellier
Le temps du sujet, c’est le futur antérieur affirmait Lacan : «
plus tard, on pourra dire que j’aurai eu…
». Si l’on nous pardonnait cette trivialité, nous pourrions écrire «
quand tu auras obtenu ton bac, tu pourras… ».
Ainsi nous désignons le passé d’un futur qui est finalement un passé non encore accompli. C’est bien du temps du sujet qu’il s’agit puisqu’il anticipe, dans un futur possible mais incertain, la notion d’un passé paradoxalement encore à venir ; il crée ainsi un temps de latence entre le présent et le projet ; c’est cette notion
Soins de support
Article Commenté
Source : Empan, 2011/4 n° 84, p. 115-121.
Urgence. La hâte est-elle toxique pour l’homme ?
Pr Jean-Louis Pujol
CHU et IRCM INSERM U 1194 - Montpellier
Avec son texte classique sur le temps logique, Lacan, comme à son habitude, nous a laissé en héritage une aporie de plus. Le moment de conclure, dit-il en substance, est la scansion hautement subjective.
Elle résulte d’une hâte. Elle est par essence le moment où le sujet s’affirme, ce que Lacan appelait : l’assertion de certitude anticipée. Il y a une notion de pari dans cette assertion qui est très proche de ce que l’on pourrait considérer comme la confiance.
Mais l’on comprend aussi
Psycho-oncologie
Article Commenté
Source : Psycho-oncologie (2014)- 8 : 84.88
Myélome multiple et temporalités
Dr Jean-Pierre Mérel
CHU de Montpellier - Montpellier
Parce qu'il conserve un pronostic toujours défavorable et une incidence particulièrement négative sur la qualité de (sur)vie des patients, les répercussions psychiques du myélome multiple et le vécu de la temporalité chez les sujets qui en sont atteints apparaissent significatifs.
C'est ce que montre l'auteure sur la base d'un rappel des connaissances médicales cliniques et thérapeutiques concernant cette hémopathie maligne et ses retentissements habituels physiques, psychiques et psychosociaux.
Durée des symptômes, manifestations intermittentes
Cancer du poumon
Cas a discuter
Source : e-Thorax septembre 2014
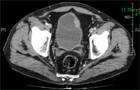
Pollakiurie et dorsale
Pr Jean-Louis Pujol
CHU et IRCM INSERM U 1194 - Montpellier
Solution du cas
Les anomalies étaient les suivantes :
Figure 1 : tri-cytopénie.
Figure 2 : leucémie aigüe myélo-blastique évolutive.
Figure 3 : cancer de la vessie (diagnostic par biopsie sous cystoscopie).
Figure 4 : métastases de l’apophyse épineuse de D4 (adénocarcinome de type pulmonaire ; diagnostic sur histologie de ponction ; architecture acineuse,
Cancer cutané
Article Commenté
Source : J Eur Acad Dermatol Venerol 2014 ; DOI 10.1111/jvd.12675
Les cancers cutanés non mélanomes sous anti-TNFalpha sont plus fréquents au cours du traitement du psoriasis que de la PR
Pr René-Marc Flipo
CHU - Lille
Les traitements anti-TNFα sont susceptibles de s’associer à une incidence plus élevée de cancers cutanés non mélanomes et ce notamment au cours du psoriasis et de la PR. Les résultats des études publiées ne sont pas toutefois homogènes et au cours du psoriasis la survenue précoce de ces cancers cutanés après initiation du traitement anti-TNFα pourrait suggérer le rôle important des traitements antérieurs.
C’est toute l’originalité de ce travail néerlandais qui a comparé les risques de développer un cancer cutané
Cancer du SNC
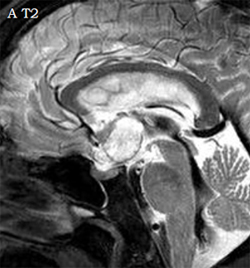
Cas Clinique
Une tumeur d’aspect chordoïde
Dr Arnault Tauziède-Espariat
AP-HP Lariboisière - Paris
Données cliniques :
-
Patient âgé de 63 ans hospitalisé pour une baisse d’acuité visuelle
- Une IRM cérébrale est réaliséeExérèse chirurgicale.
Cancer du poumon
Vos patients ont lu
Source : e-Thorax septembre 2014
« Les non-fumeurs de plus en plus touchés par le cancer du poumon »
La journaliste Agathe Mayer révèle qu’« en France, le cancer du poumon augmente chez les non-fumeurs » d'après une étude scientifique « présentée au congrès de l'American Society of Clinical Oncology », et note que « le tabagisme passif serait en cause ». Elle précise que l’étude « a été réalisée par 104 hôpitaux français et sur la totalité des patients souffrant de cancer broncho-pulmonaire admis dans les services en 2010, soit 7 051 dossiers ».
Cancer du poumon
Vos patients ont lu
Source : e-Thorax septembre 2014
« Prendre la température de l’air expiré pour détecter une tumeur »
Le journal annonce du « nouveau dans le diagnostic du cancer du poumon. Une tumeur pour laquelle il existe très peu de moyens de détection précoce. Une équipe italienne a mis au point un test mesurant la température de l’air expiré qui pourrait s’avérer précieux ».
Le Pr Giovanna Elisiana Carpagnano et son équipe de l’Université de Foggia ont étudié les cas de 82 sujets. « Tous avaient subi une radiographie qui avait révélé un risque
Cancer du poumon
Vos patients ont lu
Source : e-Thorax septembre 2014
« Amiante : entre 68.000 et 100.000 décès par cancer d'ici à 2050 en France »
Selon le magazine, « un rapport du Haut Conseil de la santé publique [(HCSP)] propose que le taux actuel toléré de 5 fibres d'amiante par litre d'air passe à 2 fibres d'ici à 2020 ». « L'estimation du nombre de décès attendu entre 2009 et 2050 par cancers du poumon liés à l'exposition à l'amiante à venir serait de l'ordre de 50 à 75 000, auxquels s'ajoutent de 18 à 25.000 cancers dus au mésothéliome (…), sans compter d'autres cancers tels que ceux du larynx ou des ovaires pour lesquels la responsabilité de l'amiante a été confirmée », note ce même rapport.
Cancer du poumon
Vos patients ont lu
Source : e-Thorax septembre 2014
« La dépression, fréquente mais sous-estimée en cas de cancer »
Le journaliste Damien Mascret rapporte que « chez les patients atteints d'un cancer, seul un cas [de dépression] sur quatre est identifié », et selon « une étude réalisée en Grande-Bretagne auprès de plus de 21.000 malades atteints de cancer et publiée dans The Lancet le 28 août, le risque de dépression est plus élevé que dans la population générale ». Comment expliquer que dans les trois quarts des cas le diagnostic ne soit pas posé ?
Cancer du poumon
Vos patients ont lu
Source : e-Thorax septembre 2014
« Pollution domestique : un vrai problème de santé publique »
La journaliste Agathe Mayer rapporte que, selon les résultats d'une étude publiée dans la revue médicale britannique The Lancet Respiratory Medicine, « 2.8 milliards de personnes souffriraient de maladies graves dues à la pollution domestique », et « la pollution de l'air domestique est un facteur aggravant de la mortalité précoce. En effet, un tiers de la population mondiale serait atteint de problèmes de santé graves dus à cette pollution ».
Page 663 sur 775
Premier
Précédent
658
659
660
661
662
663
664
665
666
667
Suivant
Dernier
Publicité
Publicité
Memento des recos
Accéder à toutes les recommandations
Actus congrès
Journées Francophones d'Hépato-gastroentérologie et...
Palais des Congrès - Paris, France
19-22 mars 2026
Toutes les actus congrès
Agenda des congrès
Accéder à l'agenda des congrès à venir
Dossiers thématiques
Les inhibiteurs HER2+ : du concept à la clinique
Tous les dossiers
Autres actualités
Prise en charge des gliomes : rétroperspective des congrès...
Pr François Ducray (
Hôpital Wertheimer - Lyon
)
Dr Alice Laurenge-Leprince (
Hôpital Pitié-Salpêtrière - Paris
)
Dr Sam Ng (
CHU Montpellier
)
Tous les webcasts
Résultats à 3 ans de l'étude SEQUOIA...
par le Dr
Emmanuelle Ferrant
(Hôpital Lyon Sud - HCL - Lyon)
Toutes les interviews
Memento des recos sur lymphome B agressif : que nous...
par le Dr
Guillaume Manson
(CHU - Rennes)
Toutes les synthèses
Newsletters
Lettre Anocef
Cancero.net - Bimensuelle
Cancero.net - Spéciale cancers sein métastatiques
Anocef - Spéciale glioblastome
Cancero.net - Actualité en oncologie thoracique
Cancero.net - Cancers gynécologiques
Cancero.net - Spéciale cancer colorectal métastatique
Publicité
×
Fermer