X
Déclaration de liens d'intérêts
Cet auteur a déclaré n'avoir aucun lien d'intérét
Envoi du mail en cours
×
Fermer
Recommander à un confrère
Destinataires
Séparez les différentes adresses par une virgule.
Commentaire
Cher confrère, je pense que ceci devrait t'intéresser. Cordialement,
Les données collectées dans ce formulaire sont uniquement destinées à l'envoi de l'e-mail d'invitation et ne sont pas conservées.
Supportez notre indépendance éditoriale
Connexion / Inscription
Accueil
Actualités
Actus congrès
Actus médiathèques
Actus Scientifiques
Dossiers thématiques
Agenda des congrès
Article du jour Mediscoop
Duo d'experts
Interviews
Newsletter : Actualités des jeunes oncologues
Newsletter : Bimensuelle
Infos Flash
Newsletter : les nouvelles actualités en urologie
Newsletter : e-Psy
Newsletter : Actualité en immuno-oncologie
Newsletter : Actualité en oncologie thoracique
La newsletter spéciale cancers gynécologiques
Newsletter : spéciale cancer de l'ovaire
Newsletter : e-Thorax
Newsletter : lettre Anocef
Newsletter : Senoscoop
Newsletter : Spéciale cancers sein métastatiques
Paroles d'EXperts
Revue de presse Mediscoop
Synthèses
Webcasts
Pathologies
Algologie
Autres
Cancer cutané
Cancer de l'appareil e...
Cancer digestif
Cancer du poumon
Cancer du SNC
Cancer gynécologique
Cancer ORL
Cancer pédiatrique
Cancer urologique
Cancers rares
Hématologie
Onco-génétique
Oncologie fondamentale
Psycho-oncologie
Sénologie
Thérapeutiques
Immunothérapie
Soins de support
Exploration
Imagerie
Biomarqueurs
Services
A propos
Contact
Accueil
Actualités
Actus congrès
Actus médiathèques
Actus Scientifiques
Dossiers thématiques
Agenda des congrès
Article du jour Mediscoop
Duo d'experts
Interviews
Newsletter : Actualités des jeunes oncologues
Newsletter : Bimensuelle
Infos Flash
Newsletter : les nouvelles actualités en urologie
Newsletter : e-Psy
Newsletter : Actualité en immuno-oncologie
Newsletter : Actualité en oncologie thoracique
La newsletter spéciale cancers gynécologiques
Newsletter : spéciale cancer de l'ovaire
Newsletter : e-Thorax
Newsletter : lettre Anocef
Newsletter : Senoscoop
Newsletter : Spéciale cancers sein métastatiques
Paroles d'EXperts
Revue de presse Mediscoop
Synthèses
Webcasts
Pathologies
Algologie
Autres
Cancer cutané
Cancer de l'appareil e...
Cancer digestif
Cancer du poumon
Cancer du SNC
Cancer gynécologique
Cancer ORL
Cancer pédiatrique
Cancer urologique
Cancers rares
Hématologie
Onco-génétique
Oncologie fondamentale
Psycho-oncologie
Sénologie
Thérapeutiques
Immunothérapie
Soins de support
Exploration
Imagerie
Biomarqueurs
Services
A propos
Contact
Accéder à:
AlgoScoop
AllergoScoop
CanceroNet
Coeur
DermatoNet
DiabetoNet
GastroEnteroNet
GynecoNet
HematoNet
NephroFr
NeuroScoop
OrlScoop
PneumoScoop
RhumatoNet
Publicité
Toutes les actualités scientifiques
Page 667 sur 775
Premier
Précédent
662
663
664
665
666
667
668
669
670
671
Suivant
Dernier
Publicité
Cancer du poumon
Article Commenté
Source : J Thorac Oncol. 2013 ; 8: 1396–1401
Jusqu'à quelle dimension une tumeur primitive pulmonaire est-elle éligible pour un traitement par radiothérapie stéréotaxique ?
Pr Jean-Louis Pujol
CHU et IRCM INSERM U 1194 - Montpellier
A ce jour, la radiothérapie stéréotaxique des tumeurs pulmonaires primitives est considérée comme une alternative sérieuse à la chirurgie pour les patients qui ont des limitations fonctionnelles ou générales à l’exérèse (à condition bien sûr, que le statut nodal et métastatique soit N0M0).
Une autre restriction classique d’indication est que le plus grand diamètre de la tumeur n'excède pas 3 cm. Cette restriction est arbitrairement acceptée dans la littérature.
Voici une importante étude du Memorial Sloan-Kettering Cancer Center de New York. Elle ne porte
Cancer du poumon
Article Commenté
Source : J Clin Oncol 2014 ; 32:1256-61.
Traitement adjuvant des adénocarcinomes : un traitement personnalisé sur les bio-marqueurs serait possible
Pr Jean-Louis Pujol
CHU et IRCM INSERM U 1194 - Montpellier
Aujourd’hui, lorsqu’une indication de traitement doit être posée après une exérèse complète d’un adénocarcinome pulmonaire, le seul traitement justifié sur les principes de la médecine fondée sur les preuves est un doublet à base de platine. C’est notamment le cas lorsque le statut ganglionnaire est positif.
Cependant, l’adénocarcinome pulmonaire est un groupe hétérogène du point de vue des
drivers
génomiques et de l’expression plus ou moins importante des enzymes de réparation.
Cancer du poumon
Article Commenté
Source : JAMA. 2014 ; 311(19):1998-2006
Le génotypage somatique ‘de masse’ des adénocarcinomes pulmonaires est possible et ses résultats ne sont pas indifférents
Pr Jean-Louis Pujol
CHU et IRCM INSERM U 1194 - Montpellier
Il faut replacer cette étude dans le contexte du temps de sa conception : au milieu de la décennie 2000 le génotypage des adénocarcinomes était encore du domaine de la recherche. En 2009, quand la cohorte de l'étude citée est initiée, il n'est pas sûr que la pratique de tous les jours puisse absorber la révolution des thérapies ciblées et surtout de l'identification des cibles activables.
Il a fallu analyser plus de 1500 adénocarcinomes de stade IV pour parvenir à un peu plus de 1000 cas exploitables sur deux critères d'éligibilité principaux : la vérification de l'histologie de type adénocarcinome et la réalisation du génotypage.
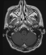
Cancer du SNC
Cas Clinique
Inflammation ou pas ?
Dr Catherine Pinelli
CHU de Nancy - Nancy
Homme de 46 ans, antécédent de sinusite.
Février 2012 :
Clinique : hypoesthésie de l’hémiface gauche, syndrome sec buccal et oculaire gauche, syndrome polyuro-polydipsique, atteinte de l’état général, troubles de la libido.
Sénologie
Article Commenté
Source : Int J Cancer. 2014 ; 134(8):1871-88.
Cancer et tabac : le sein aussi !
Pr William Jacot
ICM, Institut régional du Cancer de Montpellier - Montpellier
L’étude publiée par Laure Dossus et collaborateurs dans l’
International Journal of Cancer
permet une confirmation forte de l’association du tabagisme, tant actif que passif, avec le risque de développer un cancer du sein.
Analysant une cohorte de 322.988 femmes (dont 183.608 pour lesquelles l’information concernant le tabagisme passif était connue), la plus vaste cohorte rapportée à ce jour sur ce sujet, issue de l’étude EPIC (
European
Prospective
Investigation into Cancer and Nutrition
), vaste étude épidémiologique prospective
Sénologie
Article Commenté
Source : Clin Cancer Res 2014 ; 20(10) : 2727-2739
Le Témozolamide peut prévenir l’apparition de métastases cérébrales de cancer du sein chez la souris à condition que les cellules implantées expriment peu ou pas l’enzyme MGMT de réparation de l’ADN
Pr Florence Dalenc
Institut Claudius Regaud - Toulouse
La survenue de métastases cérébrales (MC) est un évènement fréquent de la maladie métastatique, avec des incidences rapportées de l’ordre de 20 à 40% en fonction des sous-types histochimiques de cancer du sein (CS).
Particulièrement fréquente chez les femmes ayant un CS triple négatif et HER2+, elle altère la qualité de vie et alourdit le pronostic surtout pour ces dernières chez qui la maladie extra-cérébrale (quand elle existe) est souvent bien contrôlée par les traitements systémiques.
Le Témozolamide est un agent alkylant qui passe
Sénologie
Article Commenté
Source : J Natl Cancer Inst. 2014 May 15;106(5). doi: 10.1093/jnci/dju066.
« SUCCESS » pour les cellules tumorales circulantes…
Dr Philippe Barthélémy
Institut de cancérologie de Strasbourg - Strasbourg
Il est clairement établi que la détection de cellules tumorales circulantes (CTC) est associée à une moins bonne survie sans progression et survie globale dans les cancers du sein métastatiques. Le rôle pronostique des CTC au stade localisé a été étudié dans plusieurs études prospectives mais avec des effectifs relativement faibles (max. 300 patients).
Rack
et al.
rapportent dans le
JNCI
les résultats de la partie translationnelle de l’étude SUCCESS, étude prospective randomisée comparant en situation adjuvante un schéma classique 3FEC/3Taxotère à un
Sénologie
Article Commenté
Source : N Engl J Med. 2014 Jun 1. [Epub ahead of print]
L’arrivée des inhibiteurs de l’aromatase en pré-ménopause
Dr Philippe Barthélémy
Institut de cancérologie de Strasbourg - Strasbourg
La supériorité des inhibiteurs d’aromatase sur le tamoxifène en situation adjuvante chez les patientes ménopausées souffrant d’un cancer du sein est établie depuis plusieurs années. La suppression ovarienne est quant à elle une option utilisée dans les cancers du sein chez les femmes non ménopausées soit en cas de contre-indication au tamoxifène soit en association avec ce dernier. La question du bénéfice d’une association inhibiteurs d’aromatase et blocage ovarien en préménopause restait quant à elle sans réponse.
C’est maintenant chose faite avec
Sénologie
Vos patients ont lu
Source : Senoscoop juin 2014
« Ménopause – Les effets négatifs d'un traitement mal dosé »
Dans un dossier consacré à la ménopause, le magazine évoque « des effets secondaires et des risques » des traitements substitutifs. Il note qu’ils « peuvent provoquer un certain nombre de pathologies », comme par exemple le cancer du sein. « Le traitement hormonal de la ménopause associant œstrogènes et progestatifs augmente le risque d'avoir un cancer du sein par rapport à une femme ménopausée non traitée. Il est donc formellement contre-indiqué en cas d'antécédent personnel de cancer du sein » explique l’article.
Sénologie
Vos patients ont lu
Source : Senoscoop juin 2014
« Cancer du sein : une double mastectomie n'est pas nécessaire dans la plupart des cas »
Le journal en ligne reprend une dépêche de l’AFP et rapporte qu’« environ 70% des femmes qui décident de subir une double mastectomie après la découverte d'un cancer dans un sein ont pourtant un risque très faible de développer une tumeur dans le sein qui n'est pas malade ». « C'est apparemment la crainte chez les femmes d'une résurgence de leur cancer qui les conduit à décider d'une mastectomie prophylactique, ce qui est absurde car le fait d'enlever le sein non-malade ne réduit en rien le risque de réapparition de la tumeur dans le sein touché », explique le Dr Sarah Hawley, professeur de médecine interne au Centre du cancer de l'Université du Michigan, principal auteur de l'étude
Sénologie
Vos patients ont lu
Source : Senoscoop juin 2014
« Reconstruction mammaire : la piste des greffes autologues »
« La greffe autologue, une nouvelle technique de reconstruction mammaire, n'aurait aucune influence sur le taux de récidive du cancer du sein. Une bonne nouvelle », annonce la journaliste Apolline Henry. Concernant la reconstruction mammaire, elle souligne que jusqu’ici « les chirurgiens rendaient une belle poitrine aux patientes grâce à des prothèses synthétiques en silicone, placées directement sous la peau ». « Mais désormais, une autre solution semble se dessiner : la greffe autologue. Le principe ? Il s'agit de prélever de la graisse sur la patiente elle-même par lipoaspiration, de la traiter, puis de la réinjecter dans les seins.
Sénologie
Vos patients ont lu
Source : Senoscoop juin 2014
« Les examens médicaux après 40 ans »
Le magazine estime qu’« à chaque âge ses examens préventifs, pour dépister carences et pathologies ». Ainsi, de 50 à 60 ans, il rappelle que « la mammographie est gratuite dès 50 ans dans le cadre du dépistage généralisé ». Lors de la visite, le magazine invite donc ses lectrices à « présenter [leur] carte Vitale et [leur] invitation reçue par courrier ». Il rappelle, par ailleurs, que « le cancer du sein est le plus fréquent chez la femme et aussi le plus meurtrier » mais aussi que « l’examen [est] pris en charge par l'Assurance Maladie ».
Page 667 sur 775
Premier
Précédent
662
663
664
665
666
667
668
669
670
671
Suivant
Dernier
Publicité
Publicité
Memento des recos
Accéder à toutes les recommandations
Actus congrès
Journées Francophones d'Hépato-gastroentérologie et...
Palais des Congrès - Paris, France
19-22 mars 2026
Toutes les actus congrès
Agenda des congrès
Accéder à l'agenda des congrès à venir
Dossiers thématiques
Les inhibiteurs HER2+ : du concept à la clinique
Tous les dossiers
Autres actualités
Prise en charge des gliomes : rétroperspective des congrès...
Pr François Ducray (
Hôpital Wertheimer - Lyon
)
Dr Alice Laurenge-Leprince (
Hôpital Pitié-Salpêtrière - Paris
)
Dr Sam Ng (
CHU Montpellier
)
Tous les webcasts
Résultats à 3 ans de l'étude SEQUOIA...
par le Dr
Emmanuelle Ferrant
(Hôpital Lyon Sud - HCL - Lyon)
Toutes les interviews
Memento des recos sur lymphome B agressif : que nous...
par le Dr
Guillaume Manson
(CHU - Rennes)
Toutes les synthèses
Newsletters
Lettre Anocef
Cancero.net - Bimensuelle
Cancero.net - Spéciale cancers sein métastatiques
Anocef - Spéciale glioblastome
Cancero.net - Actualité en oncologie thoracique
Cancero.net - Cancers gynécologiques
Cancero.net - Spéciale cancer colorectal métastatique
Publicité
×
Fermer