Envoi du mail en cours
 

Toutes les actualités scientifiques

Page 677 sur 775        Premier  Précédent  672  673  674  675  676  677  678  679  680  681  Suivant  Dernier
Cancer de la vessie
Compte Rendu
Source : AUA 2014
Intérêt du PET-TDM au 18F-FDG dans le bilan d'extension des tumeurs de la voie excrétrice supérieure
Dr Thomas Seisen CHU Pitié-Salpêtrière, AP-HP - Paris
Le PET-TDM au 18F-FDG semble présenter un intérêt dans le bilan d’extension des tumeurs de vessie infiltrant le muscle (TVIM) comme dans celui de beaucoup d’autres cancers mais il ne permet cependant pas de dépister avec précision une lésion de la paroi vésicale. Compte tenu de l’existence de certaines différences entre la carcinogénèse urothéliale de la vessie et de la voie excrétrice urinaire supérieure, il semblait important d’évaluer les performances diagnostiques du PET-TDM au 18F-FDG (...)
Sénologie
Compte Rendu
Source : AUA 2014
Résultats de la cystectomie radicale et de la chimiothérapie adjuvante chez les patients âgés
Dr Thomas Seisen CHU Pitié-Salpêtrière, AP-HP - Paris
Malgré l’intérêt carcinologique démontré de la chimiothérapie adjuvante après cystectomie radicale pour le traitement d’une tumeur de vessie infiltrant le muscle (TVIM) de stade pT3-4 et/ou N+, son utilisation reste actuellement très limitée probablement à cause des nombreux effets secondaires liés à ce type de traitement. Il semblerait que ce soit particulièrement le cas chez les patients âgés compte tenu des résultats rapportés par une étude rétrospective (...)
Cancer du rein
Compte Rendu
Source : AUA 2014
Survie globale après néphrectomie partielle versus néphrectomie élargie pour les petites tumeurs du rein. Revue systématique de la littérature et méta-analyse d'études observationnelles
Dr Pierre Bigot Centre Hospitalier - Angers
La néphrectomie partielle (NP) est recommandée dans la prise en charge des petites tumeurs des reins. Elle permet un contrôle oncologique identique à celui de la néphrectomie élargie (NE) tout en préservant le parenchyme rénal. Cette préservation parenchymateuse serait associée à la préservation de la fonction rénale et à une diminution de la morbidité cardiovasculaire à long terme (...)
Cancer de la prostate/Cancer du rein/Cancer de la vessie
Compte Rendu
Source : AUA 2014
L'incidence des événements thromboemboliques post chirurgie oncologique majeure sous-estimée dans la période péri-opératoire : analyse d'une base de données nationale
Dr Pierre Bigot Centre Hospitalier - Angers
Les événements thromboemboliques veineux (ETEV) post-chirurgicaux sont fréquents en l'absence de prophylaxie. Dans cette étude, les auteurs ont évalué la survenue d'ETEV après chirurgie oncologique urologique à partir d'une base de données prospective (ACS-NSQIP) de 32 692 patients opérés entre 2005 et 2012. Un ETEV est survenu dans les 30 jours suivant l'opération chez 391 patients (1,4%) et dans 63,4% des cas l'ETV survenait après l'hospitalisation (...)
Cancer du rein
Compte Rendu
Source : AUA 2014
Exercice et cancer du rein
Dr Pierre Bigot Centre Hospitalier - Angers
Les auteurs de cette étude ont étudié l'impact de l'obésité, de l'activité physique et du tabagisme sur la mortalité spécifique par cancer du rein. Ils ont utilisé les données d'une étude épidémiologique (U.S. National Health Information Survey) et ont inclus 222163 individus. En étudiant les registres de mortalité de 1998 à 2004, ils ont identifié 71 patients décédés d'un cancer du rein dans cette population (...)
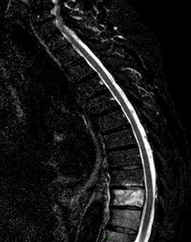
La récidive très à distance
Cancer du SNC
Cas Clinique
La récidive très à distance
Dr Renata Ursu Hôpital Saint-Louis - Paris
Mr G, 62 ans
  • HDM
    • Diagnostic de Glioblastome pariéto-temporal droit en février 2012
    • Cliniquement : asymptomatique, IK 100%
    • Ne prend pas de corticoïdes
  • Traitement
    • RT avec TMZ du 07/03/2012 au 12/04/2012
    • IRM 18/05/2012
    • TMZ mensuel 30/05/2012, 27/06/2012, 25/07/201
       
  • Dorsalgies suite au port de charge début août 2012
  • Consulte en Urgences sur son lieu de vacances
  • Suspicion de compression médullaire
  • IRM en urgence
Quel est votre diagnostic ?
Cancer du poumon
Article Commenté
Source : J Clin Oncol. 2014 ; 32(12):1262-8.
L’AMRUBICINE a du mal à se faire une place
Pr Jean-Louis Pujol CHU et IRCM INSERM U 1194 - Montpellier
Le traitement du cancer bronchique à petites cellules au stade étendu (ED-SCLC) n’a pas foncièrement changé depuis plusieurs décennies.
Le doublet ETOPOSIDE – CISPLATINE est le plus souvent cité dans les recommandations et la durée de traitement conseillée est de quatre à six cures ; cependant, après l’étude JCOG 9511 suggérant une meilleure survie pour les patients recevant le doublet IRINOTECAN – CISPLATINE (IP) en référence au doublet ETOPOSIDE – CISPLATINE (Noda et al. New England Journal of Medicine, 2002;346 :85), IP est devenu un  
Cancer du poumon
Article Commenté
Source : N Engl J Med. 2014 ; 370(13):1189-97.
CERITINIB
Pr Jean-Louis Pujol CHU et IRCM INSERM U 1194 - Montpellier
Le réarrangement du gène ALK (anaplasitic lymphoma kinase) est observé dans 5% des cancers non à petites cellules. Les patients atteints de formes métastatiques, et dont la tumeur arbore cette anomalie, sont redevables du CRIZOTINIB, inhibiteur de tyrosine kinase de ALK. Mais la progression après 10 à 12 mois semble inévitable et les patients reçoivent ensuite un traitement par chimiothérapie. Différents mécanismes génomiques de résistance ont été identifiés.
Le CERITINIB est lui aussi un inhibiteur de tyrosine kinase ciblant ALK, mais à la différence du CRIZOTINIB, 
Cancer du poumon
Article Commenté
Source : Br J Cancer. 2008 ; 98(8):1366-79.
Il y a plus d’un VEGF-A !
Pr Jean-Louis Pujol CHU et IRCM INSERM U 1194 - Montpellier
Le BEVACIZUMAB, un anticorps monoclonal complexant le VEGF-A (vascular endothelial growth factor,) augmente la survie des patients atteints de cancer bronchique non à petites cellules comme celle des patients atteints de cancer colique. Mais dans les deux cas, le bénéfice pour un malade donné est imprédictible.
En fait, le VEGF est un facteur de croissance complexe existant sous plusieurs isoformes. Chacun d’entre nous connaît, sans le savoir, les formes VEGFxxx parce qu’elles sont de puissants agents mitogènes des cellules endothéliales et représentent 
Cancer du poumon
Article Commenté
Source : Nat Rev Cancer. 2008 ; 8(11):880-7.
VEGF-Axxxb : un anti-angiogénique endogène ?
Pr Jean-Louis Pujol CHU et IRCM INSERM U 1194 - Montpellier
Dans les tumeurs malignes, comme dans les autres tissus caractérisés par une forte angiogénèse, le VEGF-A (vascular endothelial growth factor-A aussi appelé VEGF), une glycoprotéine de 46 kDa, agit sur les récepteurs VEGFR-1, VEGFR-2 et du type neurolipine des cellules endothéliales.
Le gène du VEGF-A est porté par le chromosome 6, et il est composé de 8 exons ; les épissages alternatifs de son ARNm, sont responsables d’un nombre élevé d’isoformes aux fonctions contrastées. 
La première isoforme de VEGF-A décrite, fut le VEGF-A165 ; elle fut suivie par de nombreuses autres isoformes,
Décubitus !
Cancer du poumon
Cas a discuter
Source : e-Thorax avril 2014
Décubitus !
Pr Jean-Louis Pujol CHU et IRCM INSERM U 1194 - Montpellier
Solution du cas
Question 1 : Pourquoi la ponction trans-pariétale était-elle superfétatoire ?
La position en procubitus adoptée en vue de la ponction sous scanner montre clairement que la tumeur se déplace : en décubitus elle est située dans la gouttière costo-diaphragmatique droite ; en procubitus elle fait un mouvement sagittal d'arrière en avant et vient se placer devant le corps vertébral. Il ne peut donc s'agir ni d'une tumeur pulmonaire, ni d'une tumeur nerveuse tel qu'un neurinome. Ce n'est pas non plus une tumeur digestive. Il s'agit donc
Cancer du poumon
Vos patients ont lu
Source : e-Thorax avril 2014
« Cancer : une simple prise de sang pour le dépister plus tôt »
« L’avenir de la recherche sur le cancer passe par des tests sanguins », affirment les auteurs d’une étude publiée dans Nature Medicine. L’hypothèse qu’« une simple prise de sang suffise à révéler un cancer de la prostate, du sein ou du poumon (…) pourrait devenir réalité d’ici cinq à dix ans si on en croit des universitaires de l’école de médecine de Stanford, aux Etats-Unis », révèle le magazine.
Ces chercheurs s’appuient sur « la mise au point d’un test sanguin capable de dépister plusieurs formes de cancer. Cet outil de dépistage, appelé
Page 677 sur 775        Premier  Précédent  672  673  674  675  676  677  678  679  680  681  Suivant  Dernier
Newsletters