Envoi du mail en cours
 

Toutes les actualités scientifiques

Page 681 sur 775        Premier  Précédent  676  677  678  679  680  681  682  683  684  685  Suivant  Dernier
Cancer de la vessie
Article Commenté
Source : World J Urol 2014 ; 32(1):233-7.
Bénéfices de l’immunonutrition préopératoire sur la morbidité post-opératoire de la cystectomie pour cancer de la vessie
Dr Grégory Bozzini CHRU de Lille - Lille
Le diagnostic de cancer de la vessie est très souvent posé chez une population fragile avec des comorbidités associées au tabagisme. Dans 16 à 22% des cas, le diagnostic de cancer de la vessie est posé dans un contexte de dénutrition sévère.
L’impact péjoratif de la dénutrition sur la survenue de complications post-opératoires, de même que l’impact bénéfique d’une immunonutrition préopératoire, sont clairement démontrés pour les cancers digestifs et ORL.
Etonnamment, les données de la littérature concernant le sujet dans le domaine de l’urologie restent peu nombreuses, rétrospectives et donc de faible niveau de preuve.
Cancer de la prostate
Article Commenté
Source : BJU Int 2013 Nov 26. doi: 10.1111/bju.12586.
Twitter et les réseaux sociaux : un moyen de diffuser le savoir et de discuter à grande échelle dans le champ de l’onco-urologie
Pr Morgan Rouprêt Hôpital Pitié Salpétrière - Paris - Paris
Les réseaux sociaux sont de plus en plus présents dans notre vie quotidienne et envahissent nos smartphones, tablettes et ordinateurs. Il en existe plusieurs sortes dont les objectifs peuvent diverger : Facebook, Tumblr, Flickr, Linkedin, Foursquare ou Twitter.
Dans le champ de la médecine, Twitter semble toutefois être le réseau le plus intéressant pour la diffusion rapide de l’information médicale à large échelle et pour s’affranchir des frontières géographiques.
La médecine est caractérisée par le compagnonnage et
Cancer du rein
Article Commenté
Source : Eur Urol. 2014 ; 65(2):372–7.
Comparaison de la fonction rénale après néphrectomie partielle versus néphrectomie élargie : résultats de l’essai randomisé de l’EORTC 30904
Dr François Audenet HEGP, AP-HP - Paris
La chirurgie conservatrice du rein est la technique de référence pour les tumeurs localisées du rein. Elle est recommandée pour le traitement de toutes les tumeurs de moins de 7cm, sous réserve d’obtenir des marges saines et une morbidité prévisible acceptable.
Une revue récente de la littérature a montré que chez les patients ayant une petite masse rénale (T1a et certains T1b), la néphrectomie partielle (NP) était associée à une meilleure survie globale comparée à la néphrectomie élargie (NE).
Ces résultats peuvent s’expliquer par des résultats carcinologiques comparables
Cancer de la vessie
Article Commenté
Source : Eur Urol. 2013 ; 64(3):421-30.
De l'intérêt d'une instillation précoce de chimiothérapie après résection transuréthrale de vessie
Pr Evanguelos Xylinas Hôpital Bichat-Claude Bernard - Paris
Les tumeurs de la vessie n'infiltrant pas le muscle (TVNIM), ont une forte propension à la récidive tumorale et à la progression vers l'invasion musculaire. Afin de diminuer le risque de récidive tumorale, une instillation postopératoire précoce de chimiothérapie a été proposée (IPOP).
Ainsi, une méta-analyse de sept études publiée en 2004 a démontré que l'IPOP réduisait le risque de survenue d'une récidive vésicale, et a amené son incorporation dans les recommandations à la fois européennes et françaises. Depuis ses études initiales, de nouvelles études contradictoires ont été publiées. Ainsi une nouvelle méta-analyse devenait nécessaire.
Cancer de la prostate
Vos patients ont lu
Source : Les nouvelles actualités en urologie mars 2014
« Prothèses, implants, lasers... Révélations sur un business hors contrôle »
L’Express note en effet dans un dossier : « Produits mal évalués, tarifs qui s'envolent, fabricants peu encadrés... Plongée dans un secteur qui, faute d'une véritable réglementation, s'expose à toutes les dérives, y compris sanitaires ».
Le magazine évoque ces « histoires que les médecins racontent volontiers pour pointer les failles de l'évaluation des implants, des prothèses et autres dispositifs médicaux qui ont envahi les blocs opératoires », et interroge notamment Bertrand Lukacs
Cancer du rein
Vos patients ont lu
Source : Les nouvelles actualités en urologie mars 2014
« Quand les reins sont en rade »
Féminin Santé consacre un dossier aux reins, qui « sont des organes dont on se préoccupe peu, sauf en cas de «tour de rein» qui désigne en réalité un mal de dos. Ce n'est que lorsque la souffrance apparaît, souvent intense, que l'on commence à se dire qu'il va falloir consulter. Bien des éléments peuvent en effet endommager le rein, sans oublier les problèmes génétiques. Or des traitements existent jusqu'à la greffe », indique le magazine.
Le mensuel explique que les reins sont des « organes multifonctions »,
Cancer de la prostate
Vos patients ont lu
Source : Les nouvelles actualités en urologie mars 2014
« Aux Antilles, alerte aux pesticides »
Le Parisien indique sur une page que « selon un rapport médical, les produits répandus sur les bananeraies seraient dangereux pour la population. Les producteurs démentent ».
Le journal s’interroge : « La Martinique et la Guadeloupe sont-elles menacées par un nouveau scandale sanitaire ? C’est ce que dénonce le rapport d’un laboratoire européen indépendant, l’Eceri [créé par le Pr Dominique Belpomme], qui accuse 3 des 5 pesticides utilisés dans la filière banane d’être toxiques pour la santé ».
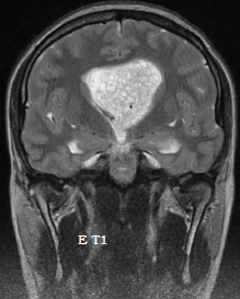
Des bulles de savon dans la tête
Cancer du SNC
Cas Clinique
Des bulles de savon dans la tête
Dr Arnault Tauziède-Espariat AP-HP Lariboisière - Paris
Données cliniques :
Patiente âgée de 31 ans, sans antécédents, adressée en urgence pour un syndrome d’hypertension intracrânienne.
• Une IRM cérébrale est réalisée en urgence.
 
 
Quel est votre diagnostic ?
 
IRM cérébrale :
• Processus expansif intra-ventriculaire bien limité sous la forme d’une masse polylobée en « bulles de savon » associée à une hydrocéphalie
• Séquence T1 : masse isointense avec
Cancer de la prostate
Vos patients ont lu
Source : Parkinson - neuroscoop février 2014
« Pesticides : la mise en garde de 1200 médecins
Le Monde observe que « les produits phytosanitaires (insecticides, herbicides, fongicides, etc.) et leurs effets indésirables étaient à l’honneur, jeudi 30 janvier, de l’agenda du Parlement. Le groupe d’études de l’Assemblée sur la santé et l’environnement organisait un colloque sur le thème «Pesticides, santé et biodiversité», tandis qu’était rendu public, au Sénat, un appel signé par 1 200 médecins mettant en garde contre les risques posés par beaucoup de ces molécules ».
Le Dr Pierre-Michel Périnaud, médecin généraliste à Limoges (Haute-Vienne), un des initiateurs de
Sénologie
Vos patients ont lu
Source : Senoscoop mars 2014
« Cancer du sein : une nouvelle polémique sur le dépistage organisé »
Le magazine révèle que « les Canadiens relancent la polémique sur l'intérêt d'une mammographie annuelle dans le dépistage du cancer du sein. Ce dépistage provoquerait trop de sur-diagnostics », et « ne permettrait pas de réduire la mortalité par cancer du sein ». « Pour cette étude, près de 90 000 femmes âgées de 40 à 59 ans ont été suivies pendant 25 ans. Les résultats ont montré que les femmes qui avaient subi des mammographies annuelles pendant cinq ans n'avaient pas moins de risque de mourir d'un cancer du sein que celles qui avaient pratiqué uniquement un examen par palpation », rapporte Top Santé.
Sénologie
Vos patients ont lu
Source : Senoscoop mars 2014
« Cancer du sein : faut-il se méfier de la mammographie? »
Le magazine révèle qu’« une récente étude canadienne remet en cause les bienfaits de la systématisation de la mammographie dans la prévention du cancer du sein. L'argument est simple : la mammographie conduirait à un taux de surdiagnostic trop élevé, évalué à 22% dans ce rapport » Pourquoi ? Parce que la mammographie « permet de détecter des tumeurs de 15 mm, contre 21 mm par palpation par un docteur », précise l’article.
Sénologie
Vos patients ont lu
Source : Senoscoop mars 2014
« Cancer du sein : les femmes qui fument ont 60% de risques en plus »
« Vous avez moins de 45 ans et vous fumez un paquet de cigarettes par jour depuis déjà 10 ans ? Vous faites partie des femmes qui ont le plus de risque de développer une des formes de cancer du sein les plus fréquentes : le cancer hormono-dépendant », alerte le magazine.
« La liste des effets négatifs du tabac sur la santé ne cesse de s'allonger : cancer du poumon, bien sûr, mais aussi cancer de la vessie, cancer du foie, DMLA... La cigarette n'épargne aucun organe et une nouvelle étude, effectuée par le Centre de recherche sur le cancer de Seattle, aux Etats-Unis montre que l'une des principales formes de cancer du sein (le cancer hormono-sensible réceptif aux
Page 681 sur 775        Premier  Précédent  676  677  678  679  680  681  682  683  684  685  Suivant  Dernier
Newsletters