X
Déclaration de liens d'intérêts
Cet auteur a déclaré n'avoir aucun lien d'intérét
Envoi du mail en cours
×
Fermer
Recommander à un confrère
Destinataires
Séparez les différentes adresses par une virgule.
Commentaire
Cher confrère, je pense que ceci devrait t'intéresser. Cordialement,
Les données collectées dans ce formulaire sont uniquement destinées à l'envoi de l'e-mail d'invitation et ne sont pas conservées.
Supportez notre indépendance éditoriale
Connexion / Inscription
Accueil
Actualités
Actus congrès
Actus médiathèques
Actus Scientifiques
Dossiers thématiques
Agenda des congrès
Article du jour Mediscoop
Duo d'experts
Interviews
Newsletter : Actualités des jeunes oncologues
Newsletter : Bimensuelle
Infos Flash
Newsletter : les nouvelles actualités en urologie
Newsletter : e-Psy
Newsletter : Actualité en immuno-oncologie
Newsletter : Actualité en oncologie thoracique
La newsletter spéciale cancers gynécologiques
Newsletter : spéciale cancer de l'ovaire
Newsletter : e-Thorax
Newsletter : lettre Anocef
Newsletter : Senoscoop
Newsletter : Spéciale cancers sein métastatiques
Paroles d'EXperts
Revue de presse Mediscoop
Synthèses
Webcasts
Pathologies
Algologie
Autres
Cancer cutané
Cancer de l'appareil e...
Cancer digestif
Cancer du poumon
Cancer du SNC
Cancer gynécologique
Cancer ORL
Cancer pédiatrique
Cancer urologique
Cancers rares
Hématologie
Onco-génétique
Oncologie fondamentale
Psycho-oncologie
Sénologie
Thérapeutiques
Immunothérapie
Soins de support
Exploration
Imagerie
Biomarqueurs
Services
A propos
Contact
Accueil
Actualités
Actus congrès
Actus médiathèques
Actus Scientifiques
Dossiers thématiques
Agenda des congrès
Article du jour Mediscoop
Duo d'experts
Interviews
Newsletter : Actualités des jeunes oncologues
Newsletter : Bimensuelle
Infos Flash
Newsletter : les nouvelles actualités en urologie
Newsletter : e-Psy
Newsletter : Actualité en immuno-oncologie
Newsletter : Actualité en oncologie thoracique
La newsletter spéciale cancers gynécologiques
Newsletter : spéciale cancer de l'ovaire
Newsletter : e-Thorax
Newsletter : lettre Anocef
Newsletter : Senoscoop
Newsletter : Spéciale cancers sein métastatiques
Paroles d'EXperts
Revue de presse Mediscoop
Synthèses
Webcasts
Pathologies
Algologie
Autres
Cancer cutané
Cancer de l'appareil e...
Cancer digestif
Cancer du poumon
Cancer du SNC
Cancer gynécologique
Cancer ORL
Cancer pédiatrique
Cancer urologique
Cancers rares
Hématologie
Onco-génétique
Oncologie fondamentale
Psycho-oncologie
Sénologie
Thérapeutiques
Immunothérapie
Soins de support
Exploration
Imagerie
Biomarqueurs
Services
A propos
Contact
Accéder à:
AlgoScoop
AllergoScoop
CanceroNet
Coeur
DermatoNet
DiabetoNet
GastroEnteroNet
GynecoNet
HematoNet
NephroFr
NeuroScoop
OrlScoop
PneumoScoop
RhumatoNet
Publicité
Toutes les actualités scientifiques
Page 685 sur 775
Premier
Précédent
680
681
682
683
684
685
686
687
688
689
Suivant
Dernier
Publicité
Cancer de la prostate
Compte Rendu
Source : San Francisco GU
Présentation orale des résultats finaux de l’étude PREVAIL : bénéfice confirmé de l’enzalutamide en 1ère ligne de résistance à la castration pré-docetaxel
Dr Jean-Christophe Eymard
Institut Jean-Godinot - Reims
L’enzalutamide est un inhibiteur puissant du récepteur aux androgènes (RA) de nouvelle génération qui agit selon 3 mécanismes distincts : il inhibe la liaison de testostérone aux RA, la translocation nucléaire des RA et enfin la liaison activatrice des RA à l’ADN. L’enzalutamide est déjà enregistré pour les cancers de la prostate métastatiques résistants à la castration en post-docetaxel depuis 2012 grâce à l’étude AFFIRM (ref).
Cancer de la prostate
Compte Rendu
Source : San Francisco GU
Vers une définition de facteurs pronostiques pour une immunothérapie par ipilimumab chez des patients porteurs d’un cancer de la prostate et pré-traités par docetaxel
Dr Jean-Christophe Eymard
Institut Jean-Godinot - Reims
Outre la chimiothérapie à base de taxanes, l’hormonothérapie avec les anti-androgènes de nouvelle génération, l’immunothérapie représente une 3e approche prometteuse dans la prise en charge du cancer de la prostate métastatique devenu résistant à la castration.
Cancer de la prostate
Compte Rendu
Source : San Francisco GU
Etude complémentaire de COU-AA-302 : pas d’impact significatif de l’hormonothérapie initiale sur la rPFS des patients traités par acétate d’abiratérone
Dr Jean-Christophe Eymard
Institut Jean-Godinot - Reims
Stéphane Oudard a rapporté une étude complémentaire effectuée sur les patients chimio-naïfs porteurs d’un cancer de la prostate métastatique résistant à la castration et traités par acétate d’abiratérone (AA) dans le cadre de l’étude COU-AA-302. Le propos était d’évaluer l’impact de la durée d’hormonothérapie initiale sur le bénéfice clinique observé avec l’AA.
Cancer de la prostate
Compte Rendu
Source : San Francisco GU
L’immunothérapie
Dr Igor Latorzeff
Clinique Pasteur - Toulouse
Après les nouvelles voies de l’hormonothérapie, la deuxième session du jeudi matin s’intéressait au rôle de l’immunothérapie en pratique clinique «
current role of immunotherapy in the clinic
». Le concept thérapeutique a fait l’objet d’un numéro spécial de la revue
Science
en 2013.
La clef cellulaire repose sur les lymphocytes T et les lymphocytes régulateurs qui vont permettre après présentation antigénique de moduler la réponse immunitaire. La radiothérapie à faible dose peut ainsi améliorer l’expression antigénique tumorale et faciliter la réponse immunitaire
Cancer du poumon
Article Commenté
Source : J Thorac Oncol. 2013 ; 8(12):1538-44.
Résection « en bloc » des cancers pulmonaires intéressant le rachis
Pr Jean-Louis Pujol
CHU et IRCM INSERM U 1194 - Montpellier
Il fut un temps où l’envahissement du corps vertébral, tel celui parfois observé dans les formes évoluées des tumeurs de Pancoast, était synonyme d’inrésécabilité. Pour ces infortunés patients, la chimio-radiothérapie avait une intention essentiellement palliative.
Le traitement des patients « T4 par atteinte vertébrale » a été repensé après le succès d’intervention d’hémivertébrectomie, voire de vertébrectomie suivie d’implantation de matériel prothétique.
L’étude présentée ici ne fait que rapporter une expérience d’un traitement tri-modal : une chimiothérapie de type
Cancer du poumon
Article Commenté
Source : Lancet Oncol. 2014 Jan 8. pii: S1470-2045(13)70586-2. doi: 10.1016/S1470-2045(13)70586-2.
Deuxième ligne, CBNPC : le nindetanib en adjonction au docétaxel allonge la survie sans progression
Pr Jean-Louis Pujol
CHU et IRCM INSERM U 1194 - Montpellier
Le nindetanib est un agent antiangionétique oral susceptible d’inhiber les récepteurs 1 à 3 du VEGF, le récepteur du FGF et les récepteurs α et β du PDGF. Il est également anti-RET.
Ce médicament est un bon candidat à des associations avec les drogues de chimiothérapie car il n’interagit pas avec le CYP450. Or lors de la progression après une première ligne, le traitement des cancers non à petites cellules reste soumis à un choix restreint de molécules (docétaxel, erlotinib et pemetrexed) ; aucun doublet n'est à ce jour recommandé.
L’étude randomisée publiée ici a évalué l’adjonction du nindetanib au docétaxel.
Cancer du poumon
Article Commenté
Source : J Clin Oncol. 2013 ; 31(23):2895-902.
Chimiothérapie de maintenance par PEMETREXED : résultats finaux
Pr Jean-Louis Pujol
CHU et IRCM INSERM U 1194 - Montpellier
Aujourd’hui, nous distinguons deux types de maintenance :
(1) la maintenance par substitution : dans cette approche le traitement d’induction une fois terminé, est substitué par l’administration d’un seul médicament pour une durée pouvant aller jusqu’à la progression de la maladie ou la survenue d’effets indésirables nuisant à la qualité de vie,
et (2) la maintenance dite de continuation consistant à poursuivre l’administration d’une des deux drogues du doublet de chimiothérapie au-delà du traitement d’induction : l’étude citée en référence a établi l’intérêt du
Cancer du poumon
Article Commenté
Source : J Clin Oncol. 2014 Jan 6. [Epub ahead of print]
La correspondance autour de PARAMOUNT
Pr Jean-Louis Pujol
CHU et IRCM INSERM U 1194 - Montpellier
La publication des résultats définitifs de l’étude de maintenance de continuation, étude dite PARAMOUNT (voir plus haut), a déclenché une vague de commentaires. Nous essayons de résumer ici les arguments développés dans cette correspondance et les réponses des auteurs.
Commentaire :
Les malades ont reçu quatre cycles de chimiothérapie au lieu des six usuellement prescrits dans cette indication ; ceci a pu provoquer une surestimation du bénéfice du PEMETREXED en maintenance, si l’on admettait que les patients dans le bras placebo aient été trop brièvement traités.
Cancer du poumon
Cas a discuter
Source : e-Thorax janvier 2014
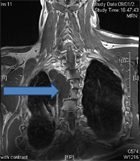
Une tumeur de la paroi thoracique
Pr Jean-Louis Pujol
CHU et IRCM INSERM U 1194 - Montpellier
Solution du cas :
Brèche ostéoméningée avec fuite de liquide céphalo-rachidien dans la paroi thoracique.
Expliquée par l’importance du geste opératoire, elle est fortement suspectée dès l’examen clinique. Celui-ci aurait dû dispenser de la ponction laquelle était superfétatoire et risquée. La teneur en glucose correspond en fait à celle du LCR.
Le diagnostic est ensuite confirmé par l’IRM et
Cancer du poumon
Vos patients ont lu
Source : e-Thorax janvier 2014
« Cancer du poumon : un scanner annuel pour limiter les dégâts »
En cette période de bonnes résolutions, la journaliste Elena Bizzotto précise qu’« un groupe de travail formé d'experts médicaux américains rappelle les risques du cancer du poumon et les bonnes techniques à adopter pour un dépistage efficace ». Au premier rang de leurs recommandations, « un scanner annuel de dépistage pour les fumeurs adultes en bonne santé âgés de 55 à 80 ans et à haut risque de cancer du poumon ».
Cancer du poumon
Vos patients ont lu
Source : e-Thorax janvier 2014
« Tabac : il fait des ravages sur tous les organes »
La journaliste Emilie Cailleau révèle qu’« un rapport américain récapitule l'ensemble des effets négatifs du tabac sur la santé. Une liste loin d'être exhaustive puisqu'elle ne cesse de s'allonger au fil des années ». Le premier rapport américain, publié en 1964, « établissait le lien entre le tabac et le cancer du poumon », mais « aujourd'hui, les pathologies liées au tabagisme et au tabagisme passif ne se confinent plus aux poumons » : « presque tous les organes du corps sont attaqués par ce poison nicotinique », poursuit la journaliste. « La liste déjà longue
Cancer du poumon
Vos patients ont lu
Source : e-Thorax janvier 2014
« Quand le cancer du poumon touche les femmes »
La rédaction de France 5 rapporte qu’« aujourd'hui, près d'une jeune fille de 16 ans sur quatre fume quotidiennement et ce pourcentage continue d'augmenter chaque année. Cette augmentation du tabagisme féminin depuis plusieurs décennies se traduit déjà par la multiplication des cancers du poumon qui touchent les femmes ». « Et comme ils restent moins maîtrisés par les traitements que les cancers du sein, les cancers du poumon sont en train de devenir plus menaçants », souligne l’article.
Pour France 5, « aujourd'hui, les femmes ont peur du cancer du sein, pourtant si elles fument, elles devraient avoir au moins aussi peur du cancer du poumon, car il est sur le point de provoquer
Page 685 sur 775
Premier
Précédent
680
681
682
683
684
685
686
687
688
689
Suivant
Dernier
Publicité
Publicité
Memento des recos
Accéder à toutes les recommandations
Actus congrès
Journées Francophones d'Hépato-gastroentérologie et...
Palais des Congrès - Paris, France
19-22 mars 2026
Toutes les actus congrès
Agenda des congrès
Accéder à l'agenda des congrès à venir
Dossiers thématiques
Les inhibiteurs HER2+ : du concept à la clinique
Tous les dossiers
Autres actualités
Prise en charge des gliomes : rétroperspective des congrès...
Pr François Ducray (
Hôpital Wertheimer - Lyon
)
Dr Alice Laurenge-Leprince (
Hôpital Pitié-Salpêtrière - Paris
)
Dr Sam Ng (
CHU Montpellier
)
Tous les webcasts
Résultats à 3 ans de l'étude SEQUOIA...
par le Dr
Emmanuelle Ferrant
(Hôpital Lyon Sud - HCL - Lyon)
Toutes les interviews
Memento des recos sur lymphome B agressif : que nous...
par le Dr
Guillaume Manson
(CHU - Rennes)
Toutes les synthèses
Newsletters
Lettre Anocef
Cancero.net - Bimensuelle
Cancero.net - Spéciale cancers sein métastatiques
Anocef - Spéciale glioblastome
Cancero.net - Actualité en oncologie thoracique
Cancero.net - Cancers gynécologiques
Cancero.net - Spéciale cancer colorectal métastatique
Publicité
×
Fermer