Envoi du mail en cours
 

Toutes les actualités scientifiques

Page 697 sur 775        Premier  Précédent  692  693  694  695  696  697  698  699  700  701  Suivant  Dernier
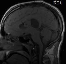
Une tumeur mise à sec
Cas Clinique
Une tumeur mise à sec
Dr Arnault Tauziède-Espariat AP-HP Lariboisière - Paris
Données cliniques :
Patient âgé de 22 ans, sans antécédents, adressé en urgence pour une crise comitiale tonico-clonique généralisée cédant après injection de Valium.
Scanner cérébral : lésion intra-ventriculaire du ventricule latéral gauche, prenant le contraste. Hospitalisation et bilan.
 
Quel est votre diagnostic ?
Cancer de la prostate
Article Commenté
Source : J Clin Oncol 2013 ; 31(5):523-9.
Prise en charge des patients présentant une néoplasie intra-épithéliale (PIN) de haut grade isolée de la prostate
Pr Evanguelos Xylinas Hôpital Bichat-Claude Bernard - Paris
La néoplasie intra-épithéliale (PIN) de haut grade est une lésion prostatique reconnue comme precancéreuse. Le devenir à long terme des patients présentant une PIN de haut grade isolée est méconnu. De même, les protocoles de surveillance et de prise en charge de ces patients ne sont pas clairement établis.
Le citrate de toremifène est un modulateur sélectif du récepteur aux œstrogènes, essentiellement utilisé dans le traitement du cancer du sein métastatique. Des études de phase II ont mis en évidence des résultats prometteurs de ce traitement dans 
Cancer de la prostate
Article Commenté
Source : J Urol. 2013 ; 189(6):2062-8.
Impact du tabagisme sur les récidives vésicales après nephro-urétérectomie pour les tumeurs de la voie excrétrice urinaire supérieure (TVEUS)
Dr Marc Valière Vialeix CHU de Tours - Tours
Introduction
Par analogie avec le cancer de la vessie, le but de l’étude est d’évaluer le rôle de l’intoxication tabagique dans le risque de récidives tumorales vésicales après une néphro-urétérectomie (NUT) pour carcinome urothélial du haut appareil.
 
Matériels et méthodes
Il s’agit d’une étude japonaise multicentrique, rétrospective comprenant 245 patients ayant une TVEUS localisée opérée par NUT entre 1994 et 2010.
Après un interrogatoire sur leur tabagisme, les patients sont repartis en 3 groupes : non fumeurs, ex fumeurs et fumeurs actifs.
Cancer de la prostate
Article Commenté
Source : BJU Int. 2013 ; 111(7):1175-9.
L’insertion de sphincters urinaires artificiels chez l’homme est faisable par voie laparoscopique robot-assistée
Pr Morgan Rouprêt Hôpital Pitié Salpétrière - Paris - Paris
L'incontinence urinaire masculine par insuffisance sphinctérienne est le plus souvent à l'origine d’une altération importante de la qualité de vie. Tout patient souffrant d’incontinence urinaire d’effort (IUE) relative à une insuffisance sphinctérienne est un candidat potentiel à un traitement chirurgical.
La cause la plus fréquente d'insuffisance sphinctérienne chez l'homme est la chirurgie prostatique. Les étiologies se répartissaient entre la prostatectomie totale (58%) et la chirurgie de l’adénome de prostate (13%) dans une grande série de sphincter urinaire artificiel.
Le sphincter urinaire artificiel (SAU) est actuellement 
Cancer du SNC
Compte Rendu
Compte-rendu ASCO 2013 : sessions neuro-oncologie - Phases III
Pr Émeline Tabouret Hôpital de la Timone - Marseille
Cette année, les résultats très attendus de 3 grandes études de phase III en première ligne thérapeutique de patients porteurs de glioblastome (GBM) étaient présentés à l’ASCO, dont une en session plénière le dimanche 2 juin.

Cette première étude, l’essai RTOG 0825 (#1, M. Gilbert), comparait l’apport du bevacizumab en première ligne en association au traitement de référence versus le traitement standard + placebo. Les résultats ont mis en évidence une différence significative de survie sans progression(PFS) en faveur du bras bevacizumab,
Une présentation trompeuse d'une tumeur fréquente
Cas Clinique
Une présentation trompeuse d'une tumeur fréquente
Dr Yordanka Nikolova Yordanova HIA Percy - Clamart
Clinique
  • Patiente âgée de 67 ans, droitière
  • Antécédent de leucémie aiguë myéloblastique traitée il y a 10 ans (chimiothérapie et allogreffe de moelle osseuse avec radiothérapie corporelle totale pré allogreffe), en rémission complète
  • Hospitalisée pour des céphalées, troubles phasiques et troubles cognitifs évoluant depuis 4 mois

Imagerie cérébrale

  • Lésion kystique temporale gauche avec des parties solides se rehaussant de façon intense et assez homogène après l’injection du Gadolinium. Doute sur envahissement osseux de la fosse temporale
  • SRM retrouve au TE court un important  
Soins de support
Compte Rendu
Annonce de la maladie : nommer, est-ce bien nécessaire ?
Pr Jean-Louis Pujol CHU et IRCM INSERM U 1194 - Montpellier
Nous citons ici, sur l'axe consacré à la psycho-oncologie, un article du philosophe Pierre Le Coz. Cet article porte sur une autre problématique, celle de l'annonce du handicap.
Dans cette annonce, comme dans celle d'un cancer, l'information est « moralement nécessaire, nécessairement immorale » : il s'agit d'un problème éthique, soit un conflit de deux morales : celle qui pousse le médecin à faire le bien (et donc à ne pas faire mal) et celle qui le pousse à parler loyalement.
C'est précisément du conflit de deux injonctions morales contradictoires qu’est née
Soins de support
Compte Rendu
Du regard sur l'autre à la connaissance de soi
Pr Jean-Louis Pujol CHU et IRCM INSERM U 1194 - Montpellier
Les vies qui se trouvent déliées par une maladie létale ne demandent qu'à rester dans le registre du même. L'idée d'une maladie létale qui serait une bonne occasion de s'expatrier de son corps et ainsi développer sa personnalité est, d'une façon un peu incantatoire, suggérée par certains courants.
Cependant, l'entrée dans la maladie ne peut se faire sans une désaide (Freud, Inhibition, symptôme, angoisse), une détresse intense.
Cet article nous apprend à ne pas confondre le savoir sur la maladie et le savoir sur soi. La vérité est issue du langage mais
Soins de support
Article Commenté
Source : Lancet. 2008 ; 372(9634):246-55.
L’adaptation psychologique à la maladie chronique
Pr Jean-Louis Pujol CHU et IRCM INSERM U 1194 - Montpellier
Certains cancers peuvent être qualifiés de maladie chronique et, de facto, la chronicisation de certaines formes métastatiques de cancers est devenue une stratégie de traitement. Dans cette perspective, les processus d’adaptation psychologique à la nouvelle condition qu’affronte le patient méritent d’être évalués et soutenus. 
Le premier défi que le patient rencontre est de rester actif. Les limitations de l’activité du patient sont d’ordre divers : la production de cytokines pro-inflammatoires affecte la mémoire, la concentration et contribue au syndrome anxio-dépressif ;
Cas clinique
Cancer du poumon
Cas a discuter
Source : e-Thorax juillet 2013
Cas clinique
Pr Jean-Louis Pujol CHU et IRCM INSERM U 1194 - Montpellier
Diagnostic et analyse des réponses
La recherche d'un primitif était inutile : la positivité franche du TTF1+ signait l'origine pulmonaire des cellules malignes de type adénocarcinome vues à la cytologie et rendait futile toute autre recherche de primitif.
Le bilan d'extension était inutile, le patient présente à l'évidence une lymphangite néoplasique et des épanchements dont le droit a été démontré comme néoplasique. Il est donc au stade IV (M1a). La découverte d'autres sites est futile dans le contexte.
L'état clinique était trop précaire. L'hypoxémie,
Cancer du poumon
Article Commenté
Source : J Clin Oncol. 2013 Apr 22. [Epub ahead of print] PubMed PMID: 23610105.
Les cancers du poumon avec mutation HER2 : caractéristiques épidémiologiques et perspectives thérapeutiques
Pr Jean-Louis Pujol CHU et IRCM INSERM U 1194 - Montpellier
Sur le modèle des addictions oncogéniques déjà connu pour les cancers non à petites cellules, la fonction d'HER2 (erB-2/neu) en tant que driver vient de recevoir une confirmation importante avec l'article de Mazières et al.
Après les errances du début des années 2000 où l'on pensa aisément transposable le modèle du cancer du sein au cancer bronchique, il y eut des déceptions. En effet, les études proposant le trastuzumab en fonction de l'analyse de la surexpression du récepteur furent négatives. En fait, seule la mutation de l'exon 20 semble conférer 
Cancer du poumon
Article Commenté
Source : J Thorac Oncol. 2013 ; 8(5):543-548.
Attitudes pratiques et croyances des oncologues thoraciques vis-à-vis du tabagisme de leurs malades et du sevrage tabagique
Pr Xavier Quantin CHU de Montpellier et Laboratoire Epsylon EA 4556 - Montpellier
Lors du diagnostic de cancer bronchique, près d'un quart des malades sont des fumeurs actifs. Une majorité des malades reconnaissent un lien entre leur tabagisme et la survenue du cancer. Il ne fait plus de doute, aujourd'hui, que la poursuite de l'intoxication tabagique puisse interagir avec la prise en charge thérapeutique et impacter le cours évolutif de la maladie.
Warren s'est proposé d'évaluer au sein des membres de l'IASLC, les croyances et les comportements des oncologues thoraciques vis-à-vis du sevrage tabagique. Parmi les membres interviewés, 40,5% ont répondu dont 
Page 697 sur 775        Premier  Précédent  692  693  694  695  696  697  698  699  700  701  Suivant  Dernier
Newsletters