Envoi du mail en cours
 

Toutes les actualités scientifiques

Page 699 sur 775        Premier  Précédent  694  695  696  697  698  699  700  701  702  703  Suivant  Dernier
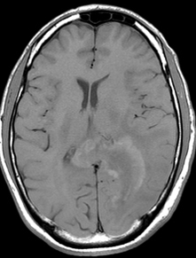
La rosette à deux compartiments
Cas Clinique
La rosette à deux compartiments
Dr Arnault Tauziède-Espariat AP-HP Lariboisière - Paris
Données cliniques :
Patiente âgée de 17 ans, sans antécédents particuliers, hospitalisée pour des céphalées et des vertiges d’apparition progressive en trois semaines. Tableau clinique rapidement aggravé d'un syndrome d’hypertension intracrânienne et d'une diplopie binoculaire.
 
 
IRM cérébrale :
Processus expansif de la ligne médiane sous la forme d’une masse solide bien limitée, mesurant 3,2 cm de diamètre, centrée sur le quatrième ventricule avec extension vers l’aqueduc de Sylvius et le tronc cérébral.
Lésion en hyposignal T1 et hypersignal T2, rehaussée par le gadolinium de façon focale.
Hydrocéphalie obstructive et œdème modéré associés.
Pas de remaniements hémorragiques ou de calcifications.
 
Quel est votre diagnostic ?
Cancer de la prostate
Article Commenté
Source : Eur Urol. 2013 ; 63(2):201-9.
Conception et validation interne d’un nomogramme basé sur le dosage du PCA3 urinaire (PCA3u) dans le dépistage du cancer de la prostate avant la réalisation d’une biopsie prostatique
M. Alexandre May CHU de Tours - Tours
Le PCA3u est la recherche de la surexpression de l'ARNm de l’antigène 3 dans les tissus prostatiques malins, détecté dans l'urine du patient après massage prostatique.
Le nomogramme présenté est clinico-biologique. Il est composé de l’âge, du toucher rectal (suspect vs non suspect), du volume prostatique, du PSA total (0 à 20 ng/ml) et du PCA3u (seuil à 21).
Ce nomogramme établit une probabilité de survenue du cancer de la prostate et aide à la décision de réalisation des biopsies prostatiques.
 
La validité interne du nomogramme a été obtenue à partir de l’étude de 
Cancer de la prostate
Article Commenté
Source : J Urol 2011 ; 186: 1400-5.
Influence de la téstostéronémie sur l’évolution du cancer de la prostate localisé au moment du diagnostic
Pr Morgan Rouprêt Hôpital Pitié Salpétrière - Paris - Paris
Le cancer de la prostate (CaP) est le cancer le plus fréquent chez l'homme, et la deuxième cause de décès par cancer dans le monde occidental. En 1941, les travaux d’Huggins ont montré que le CaP était initialement androgéno-dépendant.
La testostérone est une hormone stéroïdienne du groupe des androgènes ayant un rôle majeur dans le développement et la croissance de la glande prostatique. La testostérone est un facteur de croissance tumoral reconnu et incontestable.
A l’âge adulte, la sécrétion globale de testostérone varie de 
Cancer de la prostate
Article Commenté
Source : Eur Urol. 2013 ; 63(1):101-7.
Résultats de la surveillance active chez les hommes ayant un cancer de la prostate diagnostiqué au cours d’un dépistage. Résultats de l’étude randomisée de dépistage au sein de la population de Göteborg
M. Etienne Broggi CHRU de Tours - Hôpital Bretonneau - TOURS
INTRODUCTION
La surveillance active (SA) est apparue comme une stratégie thérapeutique permettant de réduire le sur-traitement des cancers de la prostate (CaP) de faible risque. Évaluer les résultats de la SA chez les hommes ayant un CaP diagnostiqué lors d’un dépistage.

MATERIELS & METHODES
Quatre cent trente-neuf hommes ont été inclus dans cette étude et traités par SA sur un échantillon de 968 patients ayant un CaP diagnostiqué lors d’un dépistage entre 1995 et 2010 dans l’étude randomisée de dépistage au sein de la population de Göteborg. L'âge médian au moment du diagnostic était 
Cancer gynécologique
Cas Clinique
Efficacité prolongée du catumaxomab chez une patiente souffrant d’une ascite carcinomateuse réfractaire
Mme Laure Chauvenet Service d’oncologie médicale, Hotel-Dieu - Paris
Introduction

L’ascite carcinomateuse est associée au cancer de l’ovaire dans environ un tiers des cas (1, 2). Les manifestations cliniques de l’ascite sont particulièrement invalidantes pour les patientes et lorsque l’ascite devient réfractaire et récidivante, ces manifestations altèrent la qualité de vie. Il s’agit aussi d’une complication grave qui peut menacer le pronostic vital en cas d’occlusion intestinale ou de détresse respiratoire.
Les traitements proposés lorsque les patientes ne relèvent pas ou plus de la chimiothérapie systémique sont d’ordre palliatif et consistent en des ponctions itératives de l’ascite.
En 2009, un anticorps monoclonal, spécifiquement dirigé contre la molécule d’adhésion cellulaire épithéliale EpCAM et l’antigène CD3, le catumaxomab,  
Un défaut de maturité ou de maturation ?
Cas Clinique
Un défaut de maturité ou de maturation ?
M. Laurent Guilloton HIA Desgenettes - Lyon
Un homme âgé de 33 ans, droitier, sans antécédents médicaux personnels ou familiaux, fut pris en charge, en janvier 2007, devant une symptomatologie visuelle avec la découverte d’une hémianopsie latérale homonyme droite isolée, le reste de l’examen clinique, neurologique et général, étant sans point d’appel.
 
L’IRM révéla l’existence d’une lésion siégeant au niveau du carrefour gauche. La lésion apparaissait en discret hypersignal T1 avec un réhaussement après injection de gadolinium.
 
L’IRM montra une expansion de la lésion, laquelle apparaît avec 
Cancer de la prostate
Article Commenté
Source : Prog Urol, online 8 December 2012
Influence pronostique du cancer de la prostate découvert fortuitement après cystoprostatectomie pour tumeur de vessie
Pr Morgan Rouprêt Hôpital Pitié Salpétrière - Paris - Paris
En France, le cancer de la vessie occupe la 7e place tous cancers confondus et constitue le second cancer urologique après celui de la prostate. Dans la majorité des cas, cette pathologie apparaît après 60 ans et touche quatre hommes pour une femme.
Le cancer de la vessie est responsable de 3% des décès par cancer, avec une incidence augmentant d’environ 1% par an. La cystectomie par voie incisionnelle associée à un curage ilio-obturateur bilatéral est le traitement de référence des tumeurs de vessie infiltrant le muscle (TVIM).
Chez l’homme, il s’agit d’une cystoprostatectomie 
Cancer de la prostate
Article Commenté
Source : Eur Urol. 2012 ; 62(6):986-96.
Validation du score européen de la Société de radiologie pour le diagnostic de cancer de la prostate par IRM multiparamétrique sur une cohorte de patients ayant déjà eu des biopsies de prostate
Melle Racha Benmeziani CHU de Poitiers - Poitiers
Matériel et méthode
Etude prospective de mai à novembre 2011, multicentrique (Toulouse et Paris) sur une cohorte de 129 patients ayant déjà eu au moins une série de biopsies prostatiques négatives, et ayant bénéficié d’une IRM 1.5 T, multiparamétrique (T2 en 3D, séquence de diffusion (DWI) avec calcul du coefficient de diffusion apparent ADC en 3D, et T1 FAT-SAT), avec fusion des images de l’IRM 3D et de l’échographie 3D réalisée lors des biopsies. L’IRM définissait 16 zones de segmentation prostatique afin de permettre de guider certaines biopsies.
Cancer de la prostate
Article Commenté
Source : BJU Int. 2007 ; 100(4):826-9.
La ciprofloxacine orale ou le trimethoprime réduit les bactériuries après fibroscopie vésicale
Pr Franck Bruyère CHU Bretonneau, Tours - Tours
De nombreuses fibroscopies sont réalisées quotidiennement soit dans le suivi de tumeurs superficielles de la vessie, soit à visée diagnostique. Classiquement, un ECBU stérile est nécessaire mais aucune antibioprophylaxie n’est recommandée.
Cet article s’est intéressé à une antibioprophylaxie systématique avant fibroscopie et nous donne des résultats intéressants.
 
Méthode : randomisation de 2.481 malades devant bénéficier d’une fibroscopie vésicale. Aucun n’était porteur de sonde ou en cours de traitement antibiotique. 
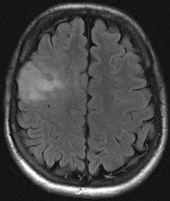
Trois ou quatre ?
Cas Clinique
Trois ou quatre ?
Dr Nadine Martin-Duverneuil Pitié-Salpêtrière - Paris
Clinique :
Femme de 40 ans, sans antécédent, parésie progressive de la main gauche.
 
Imagerie IRM conventionnelle :
Lésion frontale droite cortico-sous-corticale, relativement bien limitée, en hypersignal FLAIR.
Absence d’œdème périlésionnel.
Effet de masse visible sur les sillons et la voûte avoisinants.
La masse est nettement hypointense en T1. Après injection de gadolinium, prise de contraste significative, hétérogène, à prédominance superficielle et à extension cortico-méningée.
 
Quel est votre diagnostic ? 
Cancer de la prostate
Article Commenté
Source : Eur Urol. 2012 ; 61(5):917-25.
Les IPDE5 sont désormais une nouvelle classe thérapeutique du traitement de l’hyperplasie bénigne de la prostate
Pr Morgan Rouprêt Hôpital Pitié Salpétrière - Paris - Paris
Depuis les années 1990, de nombreux travaux ont souligné la coexistence fréquente des symptômes du bas appareil urinaire (SBAU) et de la dysfonction érectile (DE) chez l’homme vieillissant. Par la suite, de nombreuses études épidémiologiques ont permis de mettre en évidence une forte corrélation entre les SBAU et la DE, indépendamment de l’âge et d’autres comorbidités telles que l’HTA, le diabète, la dyslipidémie et les maladies coronariennes. Elles ont également montré l’existence d’une relation entre l’intensité de la DE et celle des SBAU.
Les inhibiteurs de la phosphodiesterase de type 5 (IPDE5), développés pour le traitement 
Cancer de la prostate
Article Commenté
Source : J Clin Oncol. 2012 ; 30(28):3540-4.
Aspirine et mortalité dans le cancer de la prostate chez des patients traités par prostatectomie radicale (PR) ou radiothérapie (RT)
M. Alexandre May CHU de Tours - Tours
Il s’agit d’une étude de cohorte rétrospective, américaine, comparative dont l’objectif est d’évaluer l’association entre anticoagulant et mortalité spécifique par cancer de la prostate chez des patients à un stade localisé traités par PR ou RT (curiethérapie ou radiothérapie externe ou les deux). 
Presque 6.000 patients provenant d’une base de données prospective américaine multi-institutionnelle (CaPSURE) créée en 1995 ont été répartis en 2 groupes : avec anticoagulant (AC) et sans anticoagulant (ACs). 37% soit presque 2.200 patients étaient sous anticoagulant (warfarin, clopidogrel, enoxaparin et/ou aspirine).
Page 699 sur 775        Premier  Précédent  694  695  696  697  698  699  700  701  702  703  Suivant  Dernier
Newsletters