Envoi du mail en cours
 

Toutes les actualités scientifiques

Page 700 sur 775        Premier  Précédent  695  696  697  698  699  700  701  702  703  704  Suivant  Dernier
Cancer de la prostate
Article Commenté
Source : Eur Urol. 2012 ; 62(6):966-72.
Le blocage androgénique complet (BAC) en thérapeutique de première ligne retarde-t-il les traitements de deuxième ligne dans les cancers de la prostate localisés ?
M. Nicolas Tabchouri CHU de Tours - Tours
Objectif
Cette étude cherchait à savoir si un traitement de première ligne par BAC retarde le recours à des traitements palliatifs.
 
Matériel et méthodes
Il s’agit d’une étude rétrospective observationnelle de cohortes. Les données étaient extraites du SEER programme et des fichiers Medicare aux Etats-Unis. Ont été inclus 29.775 patients de plus de 66 ans, qui présentaient un cancer de la prostate localisé (T1/T2) diagnostiqué entre 1992 et 2006, n’ayant pas reçu de traitement localisé la première année suivant le diagnostic. 
Un train peut en cacher un autre, pas par hasard
Cas Clinique
Un train peut en cacher un autre, pas par hasard
Pr Émeline Tabouret Hôpital de la Timone - Marseille
Résumé clinique initial
 
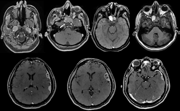
- Un homme de 36 ans, gaucher et tabagique, présente une lésion pectorale arrondie, douloureuse, d’augmentation progressive de taille.
- Cliniquement, le patient présente des céphalées modérées sans autre anomalie neurologique.
- Une exérèse de cette lésion est réalisée et l’analyse histologique est en faveur d’un liposarcome pectoral.
- Un bilan d’extension est réalisé, comprenant une IRM cérébrale. 

IRM cérébrale
 
Quel est votre diagnostic ?
Quelle prise en charge proposez-vous au patient ?  
Cancer de la prostate
Article Commenté
Source : Eur Urol. 2012 Aug 21. [Epub ahead of print]
Impact de la consommation tabagique sur le devenir des patients présentant une tumeur de vessie superficielle
Pr Evanguelos Xylinas Hôpital Bichat-Claude Bernard - Paris
L'intoxication tabagique est le facteur de risque établi associé au développement des tumeurs de vessie (TV). Cependant, l'impact de l'intoxication tabagique sur le pronostic des patients ayant une TV reste à ce jour controversé [1].
Afin d'analyser les effets de l'intoxication tabagique sur le devenir des patients atteints de TV n'infiltrant pas le muscle (TVNIM), Rink et al. ont inclus 2.043 patients présentant une TVNIM non récidivante dans le cadre d'une étude rétrospective.
Les informations relatives à l'intoxication tabagique 
Cancer de la prostate
Article Commenté
Source : N Engl J Med. 2012 ; 367(3):203-13.
Prostatectomie radicale contre surveillance : les résultats de l’étude PIVOT
M. Philippe Sèbe Hôpital Tenon, AP-HP - Paris
En publiant les résultats de l’étude PIVOT (Prostate cancer Intervention Vs Observation Trial), le New England Journal of Medicine démontre une nouvelle fois les limites de la prostatectomie radicale dans le traitement du cancer localisé de prostate (CP).
 
L’étude PIVOT était une étude prospective randomisée proposant surveillance (S) ou prostatectomie radicale (PR) dans le cadre d’un adénocarcinome de la prostate localisé. Entre 1994 et 2002, 731 patients ont été inclus, 364 dans le groupe PR et 367 dans le groupe S. Le suivi médian a été de 10 ans.
Cancer de la prostate
Article Commenté
Source : Urology ; 2012 ; 80(3) : 656-60.
Résultats anatomopathologiques des pièces de prostatectomies radicales chez des patients éligibles à la surveillance active avec des critères très stricts : une étude multicentrique
Dr Marie Audouin Hôpital Tenon, AP-HP - Paris
Bien que le cancer de la prostate soit le deuxième cancer chez l’homme en termes de fréquence, le diagnostic de cancers à faible risque de progression ou de cancers considérés comme « insignifiants » augmente. Le risque de décès étant estimé très faible pour ces cancers, le concept de surveillance active (SA) permet d’éviter le « sur-traitement ».
La réévaluation régulière des critères clinico-biologiques et biopsiques permet de surseoir au traitement, fortement pourvoyeur de complications. Le danger de la SA est d’exposer le patient au risque d’un cancer à haut risque évolutif.
Le nez fin
Cas Clinique
Le nez fin
M. Alberto Gonzalez-Aguilar Instituto Nacional de Neurología y Neurocirugía - Paris
  • Femme de 45 ans sans antécédent adressée pour hyposmie progressive (2 mois) et déficit moteur droit.
  • A l’examen aux urgences, il est noté une hémiparesie droite discrète.
  • Une IRM est réalisée en urgence.
 
 
Quels diagnostics évoquez-vous ?
Cancer de la prostate
Article Commenté
Source : Eur Urol. 2012, 61(6):1142-1153.
Comparaison des résultats de la néphrourétérectomie par voie ouverte et par voie laparoscopique
Pr Evanguelos Xylinas Hôpital Bichat-Claude Bernard - Paris
La néphrourétérectomie totale (NUT) par voie ouverte représente le traitement de référence des tumeurs de la voie excrétrice supérieure (TVES). La voie laparoscopique, apparue dès le début des années 1990, a connu un essor progressif. Elle offre l’avantage de pouvoir réaliser l’intervention en utilisant une seule voie d’abord. Mais elle présente un risque de dissémination tumorale, susceptible de donner des résultats carcinologiques moins bons qu’en chirurgie ouverte.
 
Une étude observationnelle a comparé ces 2 voies d’abord. Au total, 21 études ont été incluses dans cette méta-analyse :8
Cancer de la prostate
Article Commenté
Source : Eur Urol. 2012 ; 61(6) : 1096-106.
Cancer de la prostate à haut risque : définition et prise en charge actuelle
Dr Marie Audouin Hôpital Tenon, AP-HP - Paris
Le cancer de la prostate (CaP) à haut risque est une maladie potentiellement mortelle. Il est important de pouvoir détecter ces patients à haut risque afin de pouvoir leur proposer un traitement curatif adapté dès le diagnostic.
En effet, il semblerait que moins de 15% des CaP soient considérés comme à haut risque au diagnostic. Cependant, plus de 25% des patients, avec des critères initiaux défavorables, présenteront une récidive du cancer dans les 2 ans.
La définition de haut risque dans le CaP n’est pas consensuelle.
Cancer de la prostate
Article Commenté
Source : J Urol. 2005 ; 173(6):1938-42.
Valeur pronostique du CAPRA score après prostatectomie radicale
M. Philippe Sèbe Hôpital Tenon, AP-HP - Paris
Dans la panoplie des outils prédictifs de récidive après traitement du cancer localisé de la prostate, l’université de San Francisco a ajouté en 2005 le CAPRA (CAncer of the Prostate Risk Assessment) score.
Cet outil est basé sur des facteurs prédictifs classiques que sont le PSA, le score de Gleason et le stade clinique. Mais il s’appuie également sur 2 autres critères secondaires qui sont : le pourcentage de biopsie positive et l’âge du patient. Tous ces critères sont facilement accessibles en pratique clinique. 
Les cheveux dans la tête
Cancer du SNC
Cas Clinique
Les cheveux dans la tête
Dr Karima Mokhtari GHP Salpêtrière - paris
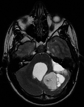
Clinique : femme âgée de 37 ans, sans antécédent, céphalées.
 
Quel est votre diagnostic ?
 
Imagerie IRM conventionnelle :

Large lésion cérébelleuse hémisphérique postéro-supérieure gauche en hypersignal T2. Intense prise de contraste après gadolinium ; zone centrale non rehaussée liée à la présence de calcifications.
Lésion kystique adossée latéralement à la lésion apparaissant 
Cancer de la prostate
Article Commenté
Nouvelles chimiothérapies pour les patients atteints de carcinomes urothéliaux localement avancés ou métastatiques
Dr Marie Audouin Hôpital Tenon, AP-HP - Paris
Le carcinome urothélial localement avancé (envahissement des organes de voisinage et/ou métastases ganglionnaires) ou métastatique est une pathologie grave avec une médiane de survie de 3 à 6 mois en cas de métastases. Ce cancer est chimio-sensible et le cisplatine (sels de platine) est la base de la chimiothérapie.
La chimiothérapie standard de première ligne en cas de carcinome urothélial localement avancé ou métastatique est le M-VAC (methotrexate, Vinblastine, doxorubicine, cisplatine). Cependant, une association cisplatine/gemcitabine
Cancer de la prostate
Compte Rendu
Hormonothérapie continue ou intermittente : fin du débat ?
M. Philippe Sèbe Hôpital Tenon, AP-HP - Paris
Dans la prise en charge du cancer de la prostate hormonosensible, le débat sur le choix d´une hormonothérapie intermittente ou continue est un des plus anciens ; les principaux avantages du traitement intermittent étant d´améliorer la qualité de vie et de retarder l’hormonorésistance.
Mais la survie globale est-elle la même ? Jusqu´à présent de nombreuses études ont démontré la non infériorité du traitement intermittent.
Au cours du dernier congrès de l`ASCO, le Dr Hussain a présenté en séance plénière les résultats d´une étude initiée en 1995 ayant randomisé
Page 700 sur 775        Premier  Précédent  695  696  697  698  699  700  701  702  703  704  Suivant  Dernier
Newsletters