Envoi du mail en cours
 

Toutes les actualités scientifiques

Page 702 sur 775        Premier  Précédent  697  698  699  700  701  702  703  704  705  706  Suivant  Dernier
24 mai 2012 : Journée nationale de prévention et de dépistage des cancers de la peau
Cancer cutané
Article Commenté
24 mai 2012 : Journée nationale de prévention et de dépistage des cancers de la peau
Mme Marie Lestelle Issy-les-Moulineaux
Aujourd’hui a lieu la 14e Journée de prévention et de dépistage des cancers de la peau. Avec 70.000 nouveaux cas de carcinomes cutanés diagnostiqués chaque année et 9.780 nouveaux cas de mélanome, ces cancers sont en forte augmentation. Pour inciter au dépistage, des centres ouvrent aujourd’hui leurs portes de façon anonyme et gratuite.  
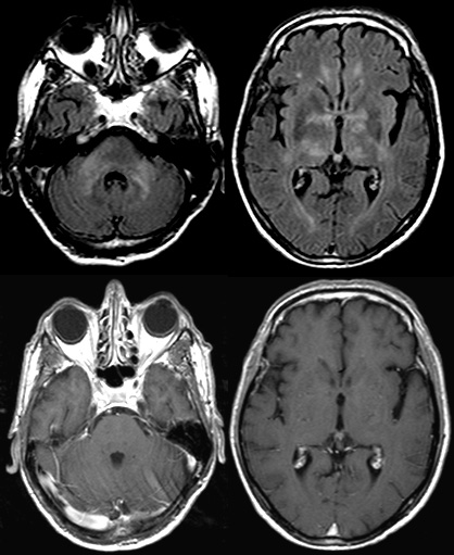
Difficile d'en croire ses yeux
Cas Clinique
Difficile d'en croire ses yeux
Dr Cécile Faure-Conter Institut d\'Hémato-Oncologie Pédiatrique - Lyon
Antécédent : né en 1987. Aîné de 2, caucasien, pas d’antécédent personnel ou familial, scolarisé en 4ème sans difficulté.

Symptomatologie initiale :
Novembre 1999 (12 ans) : migraines → scanner normal
Mars 2000 : baisse de l’acuité visuelle œil gauche, FO normal : diagnostic de NORB → traitement par cortisone, amélioration partielle.
Juillet 2000 : céphalée et déficit visuel persistant → IRM
Cancer de la prostate
Article Commenté
Facteurs pronostiques et résultats de la prostatectomie radicale sur cancer de la prostate localement avancé
M. François-Xavier Vinceneux CHU de Tours - Tours
Le traitement chirurgical des tumeurs de prostate T3 peut être une alternative à la radiothérapie associée à un traitement par hormonothérapie (admis par l’EAU pour les tumeurs T3a avec un Gleason ≤8, un PSA≤20 ng/ml et une espérance de vie ≥ 10 ans).
Cette étude rétrospective monocentrique recherche les facteurs pronostiques de survie sans progression biologique (SSPB), de survie sans progression clinique (SSPC), de la survie spécifique au cancer de la prostate (SSC) et de la survie globale (SG) sur un long suivi chez 164 patients étudiés entre 1977 et 2004.
Cancer de la prostate
Article Commenté
Les outils de prédiction en onco-urologie
Pr Morgan Rouprêt Hôpital Pitié Salpétrière - Paris - Paris
Ces dernières années, la recherche clinique dans le monde, et tout particulièrement en France, a subi d'importantes mutations, notamment sur le plan méthodologique. Ces mutations sont en rapport avec une explosion du volume de l’information médicale et avec un nombre de publications qui augmentent de manière exponentielle.
Ainsi, on considère que le volume de l’information médicale double tous les 10 à 15 ans, et décuple tous les 30 à 40 ans. Ces mutations de la recherche médicale sont bien entendu étroitement liées aux compétences des médecins, notamment en ce qui concerne
Cancer de la prostate
Article Commenté
Identification des meilleurs candidats à la prostatectomie radicale parmi les malades atteints de cancer de la prostate de haut risque
Pr Franck Bruyère CHU Bretonneau, Tours - Tours
Il s’agit d’une étude dont le but était de développer un nomogramme pour identifier les malades bons candidats à une prostatectomie radicale (PR) chez les porteurs de hauts risques de récidive.
Les auteurs ont défini comme étant de bons candidats les patients dont l’anatomopathologie était soit des pT2 soit des pT3a, pour cela ils ont inclus 8 centres européens de 1987 à 2009 qui avaient réalisé des PR et curages pour des cancers de haut risque, ils avaient identifié 1.748 hommes et parmi ceux là, 382 ont été exclus du fait d’un traitement néo-adjuvant, d’un PSA à plus de 100, d’un T4, d’un Gleason absent,
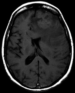
Entre circonvolutions et haustrations
Cas Clinique
Entre circonvolutions et haustrations
Dr Karima Mokhtari GHP Salpêtrière - paris
Clinique :
Patiente âgée de 73 ans, ayant eu un adénocarcinome colique avec métastase hépatique, 6 ans avant l’histoire neurologique.
Syndrome frontal d’installation récente.

Quel est votre diagnostic ?
Cancer de la prostate
Article Commenté
Particularités de l’anesthésie générale en rapport avec l’utilisation de la voie laparoscopique robot-assistée en urologie
Pr Morgan Rouprêt Hôpital Pitié Salpétrière - Paris - Paris
L’approche chirurgicale de la prostatectomie a considérablement évolué ces vingt dernières années, avec un souci constant de diminution de la morbidité. Ainsi a-t-on vu se développer les techniques dites "mini-invasives".
En 2000, Abbou a rapporté la première prostatectomie laparoscopique robot-assistée. Depuis, cette technique ne cesse de se développer et de plus en plus de séries ont rapporté les résultats de la chirurgie robotique. Pourtant, le coût de la procédure et le recul limité sont autant de facteurs limitatifs pour l'adhésion définitive de la communauté urologique à cette voie d'abord.
Cancer de la prostate
Article Commenté
Etude TROG 96.01 prospective randomisée : résultats à 10 ans de l’intérêt d’une hormonothérapie néo-adjuvante de 6 mois associée à la radiothérapie dans le cancer de la prostate localement avancé
Dr Thomas Bodin Centre Hospitalier Universitaire Bretonneau - Tours
Le traitement actuellement recommandé pour les cancers prostatiques localement avancés est soit la prostatectomie radicale, soit la radiothérapie externe 70 Gy associée à une hormonothérapie de 3 ans.
Le bénéfice de l’hormonothérapie à long terme associé à la radiothérapie externe est prouvé depuis l’étude de Bolla (Lancet 2003 ; 360:103-8), elle fait partie des recommandations actuelles françaises (Prog Urol. 2010 ; 20 suppl : 217-252) et européennes (Eur Urol. 2011 : Guidelines on prostate cancer) du traitement des cancers de la prostate à haut risque de progression selon les critères de d’Amico.
Cancer de la prostate
Article Commenté
Chlorhexidine alcoolique contre Bétadine dermique pour la désinfection du site opératoire
Dr Marc Valière Vialeix CHU de Tours - Tours
Les bactéries cutanées sont reconnues comme pourvoyeuses d’infection du site opératoire ; il est donc impératif d’optimiser la désinfection préopératoire.
Le but de l’étude est de comparer l’efficacité entre la Chlorhexidine alcoolique et la Bétadine dermique dans la prévention des infections du site opératoire.

Il s’agit d’une étude prospective d’une durée de 4 ans, randomisée multicentrique réalisée aux Etats-Unis et en intention de traiter.
Les patients recrutés étaient candidats pour une chirurgie gynécologique,
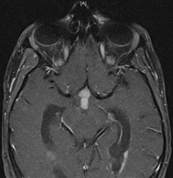
Le grand simulateur
Cas Clinique
Le grand simulateur
Pr Marco Fiorelli Sapienza University of Rome - Rome
Homme de 72 ans
Pas d’antécédents significatifs
Troubles de l’équilibre depuis quelques semaines
Apathie
Perte de poids (12 kg en 2 mois)

Examen neurologique :
Ataxie de la marche
Distrait, peu participant
MMS 27/30
IRM
• Hyperintensité noyaux gris, substance blanche et cervelet
• Pas de rehaussement
Cancer de la prostate
Article Commenté
Les résultats de la promontofixation semblent équivalents entre la voie laparoscopique pure et la voie robot-assistée
Pr Morgan Rouprêt Hôpital Pitié Salpétrière - Paris - Paris
Le prolapsus génital est une pathologie fréquente et on estime à 11% le risque pour une femme de recourir durant sa vie à une intervention chirurgicale pour corriger un trouble de la statique pelvienne. La promontofixation (PRF) est devenue l’une des interventions chirurgicales de référence pour le traitement du prolapsus urogénital. Initialement réalisée par voie incisionnelle pendant de nombreuses années, elle a connu un tournant avec la première description de l’intervention en laparoscopie par Nezhat en 1994.
La voie d’abord mini-invasive a permis à la technique de se développer davantage durant
Cancer de la prostate
Article Commenté
Prostatectomie radicale ou veille attentive (Watchful Waiting) dans le cancer de la prostate à un stade précoce
Dr Nicolas Brichart CHU Tours - Orléans
Cet article rapporte les données à 15 ans de l'essai scandinave SPCG-4. Les auteurs avaient déjà fait le constat à 10 ans de suivi que la prostatectomie radicale diminuait dans cette population le risque de métastases et le taux de mortalité globale et de mortalité spécifique liée au cancer de la prostate. [1]
Il s'agit d'une étude randomisée, qui a comparé entre 1989 et 1999 chez 695 patients ayant un cancer de prostate débutant prostatectomie radicale (PR) versus veille attentive (VA).
Durant une période de suivi médiane de 12,8 ans, 166 des 347 patients du groupe PR et 201 des 348 patients du groupe
Page 702 sur 775        Premier  Précédent  697  698  699  700  701  702  703  704  705  706  Suivant  Dernier
Newsletters