Envoi du mail en cours
 

Toutes les actualités scientifiques

Page 703 sur 775        Premier  Précédent  698  699  700  701  702  703  704  705  706  707  Suivant  Dernier
Cancer de la prostate
Article Commenté
Intérêt de l’association anti-androgène et radiothérapie dans le cancer localement avancé, résultat d’une étude randomisée de phase 3
Pr Franck Bruyère CHU Bretonneau, Tours - Tours
Depuis les résultats des études de D’Amico parus dans le JAMA en 2004 et de Bolla dans le Lancet, l’association d’une hormonothérapie est la règle en cas de radiothérapie d’un cancer de la prostate avancé. Néanmoins, la question concernant l’intérêt d’une radiothérapie à cette hormonothérapie s’est toujours posée et l’étude de Warde permet d’y répondre.
Il s’agit d’une étude parue dans le Lancet en décembre 2011, multicentrique, internationale ayant randomisé des malades entre hormonothérapie seule et hormonothérapie + radiothérapie. Les patients étaient atteints
Cancer du SNC
Mise au point
Références utiles sur la biologie des gliomes
Dr Ahmed Idbaih Groupe hospitalier Pitié-Salpêtrière - Paris
La biologie moléculaire des gliomes a fait des progrès importants ces dernières années et ces derniers mois.
Les approches moléculaires haut débit (i.e. puce génomique, puce transcriptomique, puce épigénomique et séquençage de nouvelle génération) ont permis de faire un bond en avant considérable dans la connaissance de la biologie des gliomes en détectant de nombreuses nouvelles altérations moléculaires pertinentes tant sur le plan biologique que sur le plan clinique.
Ces nouvelles altérations permettent
Cancer de la prostate
Article Commenté
Prévention des tumeurs de vessie après néphro-urétérectomie pour carcinome urothélial des voies excrétrices supérieures : un essai prospectif, multicentrique randomisé évaluant l’intérêt d’une dose unique intra-vésicale de Mitomycine C en post-opératoire
M. François-Xavier Vinceneux CHU de Tours - Tours
Les tumeurs de vessie sont associées aux tumeurs des voies excrétrices supérieures (TVES) dans 10 à 15% des cas au diagnostic et surviennent dans 15 à 40% des cas dans les 2 ans suivant le traitement par néphro-urétérectomie.
Le but de cette étude réalisée par la "British Association of Urological Surgeons Section of Oncology" est de montrer l’efficacité d’une unique instillation vésicale post-opératoire de Mitomycine C sur l’apparition de récidive vésicale après néphro-urétérectomie totale (NUT)

Il s’agit d’une étude prospective multicentrique
Cancer de la prostate
Article Commenté
Colonisation microbienne des sondes urétérales des greffons rénaux : fréquence et influence sur la fonction rénale précoce
Pr Franck Bruyère CHU Bretonneau, Tours - Tours
L’intérêt de la surveillance de la bactériurie pose des problèmes en pratique quotidienne, que ce soit chez les malades à opérer aussi bien en urologie qu’en orthopédie, que chez les malades sortant d’une intervention d’urologie et en particulier les malades greffés.
Cet article s’est intéressé à l’intérêt de la surveillance microbienne sur les stents colonisés des greffés rénaux. Un total de 81 stents urétéraux (double J) ont été étudiés après leur ablation.
La culture conventionnelle était positive dans 4% des cas, le décrochage par ultrasons augmentait de 27% cette culture.
Cancer de la prostate
Article Commenté
Le score RENAL : un système standardisé pour quantifier la taille de la tumeur rénale, sa localisation et sa profondeur
M. Alexandre May CHU de Tours - Tours
Les chirurgiens du service de cancéro-urologie du centre Fox Chase à Philadelphie proposent un nouveau score pour classer les tumeurs rénales selon leur taille, leur localisation et leur profondeur à l’imagerie (TDM et/ou IRM).
Le score R.E.N.A.L est un acronyme où chaque lettre correspond à un critère anatomique reflétant la difficulté chirurgicale d’exérèse en néphrectomie partielle de la tumeur.

- R comme « Radius » correspond au plus grand diamètre de la tumeur quelle que soit la coupe :
Du 21 au 28 janvier : Semaine européenne de prévention du cancer du col de l’utérus
Cancer gynécologique
Article Commenté
Du 21 au 28 janvier : Semaine européenne de prévention du cancer du col de l’utérus
Mme Caroline Puech Paris
Initiée par l’ECCA (European Cancer Cervical Association / Association européenne contre le cancer du col de l’utérus), cette semaine a pour objectif d’informer les femmes sur le cancer du col de l’utérus et les moyens de le prévenir. Des manifestations locales sont organisées partout en Europe. En France, La Ligue Contre le Cancer organise un certain nombre de conférences publiques et des centres d'information dans les différentes régions.
Cancer de la prostate
Article Commenté
Les patients doivent-ils bénéficier d’un suivi de routine à la recherche d’une récidive après cystectomie et remplacement iléal orthotopique ?
Dr Nicolas Brichart CHU Tours - Orléans
Les auteurs ont voulu déterminer dans cette étude si le diagnostic d’une récidive asymptomatique après cystectomie radicale lors d’un suivi de routine permettait une amélioration de la survie par rapport à une récidive symptomatique.
Il s’agit d’une étude rétrospective sur 479 patients présentant un carcinome à cellules transitionnelles de la vessie non métastatique, traités par cystectomie radicale, curage pelvien étendu et vessie iléale de substitution et suivis de manière prospective sur une durée médiane de 4,3 ans.
Le protocole de suivi comprenait de nombreux examens
Cancer de la prostate
Article Commenté
Histoire de la robotique en urologie : une évolution progressive vers une révolution chirurgicale
Pr Morgan Rouprêt Hôpital Pitié Salpétrière - Paris - Paris
Beaucoup d’interventions en urologie se déroulent désormais à l’aide de la robotique sans que sa supériorité ait été démontrée vis-à-vis de la chirurgie incisionnelle ou laparoscopique pure. Cet article s’est intéressé à la genèse de la robotique chirurgicale et tout particulièrement en urologie. On découvre notamment que l’étymologie du mot « robot » est relativement récente. « Robota » est le mot tchèque qui désigne un travail répétitif ou pénible et obligatoire.
La raison pour laquelle on se réfère désormais au robot « Da Vinci » est liée aux illustrations d’un robot humanoïde
Cancer de la prostate
Article Commenté
Influence de l’obésité sur le risque d’infection urinaire
Pr Franck Bruyère CHU Bretonneau, Tours - Tours
Cet article s’est intéressé à l’impact de l’obésité sur l’incidence des infections urinaires. Une base de données nationale d’assurance maladie américaine s’est penchée pendant 5 ans sur l’identification par codage d’infections urinaires ou de pyélonéphrites.
Un total de 95 598 sujets était identifié, avec 52,9% d’hommes et 57,1% de femmes. Cette base comprenait 3,7 millions de personnes sur cette période. Le risque d’infection était évalué à 13% pour les infections urinaires globalement et à 0,84% pour les pyélonéphrites.
Les patients atteints d’infection avaient
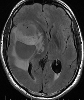
Les ventricules feutrés
Cancer du SNC
Cas Clinique
Les ventricules feutrés
Dr Madani Ouologuem Hôpital du Val-de-Grâce - Paris
Patient de 57 ans, présentant depuis septembre 2010 des hallucinations olfactives, associées à des épisodes de nausée de durée brève de nature épileptique.
L’examen clinique initial était sans particularité. L’IRM cérébrale objectiva un processus expansif intra-axial fronto-temporal droit kystique, nécrotique et charnu prenant le contraste. Une biopsie stéréotaxique a été réalisée et est en faveur d’un glioblastome de haut grade selon la classification OMS.

Le traitement consiste en une radiothérapie avec chimiothérapie par
Cancer de la prostate
Mise au point
La localisation de la tumeur dans la voie excrétrice urinaire supérieure a-t-elle une valeur pronostique pour le clinicien ?
Pr Morgan Rouprêt Hôpital Pitié Salpétrière - Paris - Paris
L’histoire naturelle des tumeurs de la voie excrétrice urinaire supérieure (TVEUS) est différente de celles des tumeurs de vessie : 60% des tumeurs de la voie excrétrice sont/seront invasives contre 15% des tumeurs du bas appareil urinaire.
L’évolution locale des tumeurs pyéliques les pousse à atteindre progressivement le parenchyme rénal. Au niveau de l’uretère, les tumeurs atteignent plus rapidement les différentes couches pariétales puis les organes avoisinants compte-tenu de la finesse de la paroi de la voie excrétrice. Les localisations multiples,
Cancer de la prostate
Article Commenté
La tarification à l’activité existe-t-elle aussi dans la production scientifique ? Analyse du score S.I.G.A.P.S des urologues au sein de l’Assistance Publique-Hôpitaux de Paris
Pr Morgan Rouprêt Hôpital Pitié Salpétrière - Paris - Paris
En 2007, le classement académique des universités mondiales ou classement de Shanghai (appellation commune de l’Academic Ranking of World Universities) a bouleversé les idées reçues quant à l’excellence de l’enseignement universitaire en France.
Ce classement des principales universités mondiales, établi par des chercheurs de l'université Jiao-Tong de Shanghai en Chine, a inscrit seulement quatre universités françaises (parmi 88 !) au sein des 100 premières universités dans le monde : Paris VI, à la 39ème position, devant Paris XI (52ème),
Page 703 sur 775        Premier  Précédent  698  699  700  701  702  703  704  705  706  707  Suivant  Dernier
Newsletters