Envoi du mail en cours
 

Toutes les actualités scientifiques

Page 704 sur 775        Premier  Précédent  699  700  701  702  703  704  705  706  707  708  Suivant  Dernier
Cancer de la prostate
Article Commenté
Quel rôle joue le tabac sur la survie spécifique et la récidive dans le cancer de la prostate ?
Dr Nicolas Brichart CHU Tours - Orléans
Les études traitant du tabac dans le cancer de la prostate sont peu nombreuses. Cependant, quelques articles rapportent que le tabac pourrait augmenter le risque de cancers agressifs de la prostate et de mortalité par cancer de la prostate. Une revue de la littérature récente rapporte une augmentation d’environ 30% du risque de décès par cancer de prostate chez les fumeurs par rapport à ceux n’ayant jamais fumés (1).
Les auteurs ont voulu dans cette étude établir les relations qui peuvent exister entre le tabac ou l’arrêt du tabac d’une part
Le fentanyl transmuqueux prévient les accès douloureux paroxystiques prévisibles liés au cancer
Algologie
Article Commenté
Le fentanyl transmuqueux prévient les accès douloureux paroxystiques prévisibles liés au cancer
Mme Marie Lestelle Issy-les-Moulineaux
Un groupe d’experts recommande le fentanyl transmuqueux pour traiter de façon préventive un accès douloureux paroxystique prévisible chez les patients présentant des douleurs d’origine cancéreuses. Cinq spécialités sont désormais disponibles par voie transmuqueuse buccale ou nasale. 
Le CD qui signe le diagnostic
Cancer du SNC
Cas Clinique
Le CD qui signe le diagnostic
M. Laurent Guilloton HIA Desgenettes - Lyon
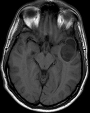
Un homme âgé de 33 ans, droitier, sans antécédents médicaux personnels ou familiaux, fut hospitalisé pour une crise d’épilepsie d’allure généralisée d’emblée. L’examen clinique, neurologique et général, était sans point d’appel.

L’IRM révéla l’existence d’une lésion tumorale, avec une double composante, kystique et charnue siégeant au niveau du lobe temporal gauche. La lésion apparaissait en hypo T1, en hyper T2 et Flair.
Cancer du SNC
Mise au point
Le point sur le bévacizumab dans les gliomes de haut grade
M. Bruno Chauffert dijon
Les gliomes de haut grade (GHG) sont des tumeurs hypervascularisées avec une rupture locale de la barrière hémato-cérébrale responsable d’une prise de contraste intense en IRM. Le bévacizumab (BVZ) est le seul anticorps monoclonal humanisé disponible qui cible la néo-angiogenèse tumorale, par le biais de la déplétion du VEGF A circulant.
L’activité du BVZ sur les GHG récidivant après le classique schéma témozolomide/radiothérapie a été mise en évidence par Stark-Vance et coll. en 2005 et confirmée par Vredenburgh et coll. en 2007. Il a été montré que le BVZ seul,
Une nouvelle raison de manger des fruits et légumes
Cancer digestif
Article Commenté
Une nouvelle raison de manger des fruits et légumes
Mme Caroline Puech Paris
La consommation de proanthocyanidines, présents essentiellement dans les pommes, les poires et les graines, pourrait conférer une certaine protection vis-à-vis du cancer du pancréas. Menée entre 1991 et 2008, cette étude cas-témoins, réalisée par des chercheurs italiens, évalue l'association entre la consommation d'aliments riches en proanthocyanidines (composés flavonoïdes) et le risque de cancer du pancréas. Ils présentent leurs résultats dans Annals of Oncology.
Perturbateurs endocriniens : toujours pas de substituts
Sénologie/Cancer de la prostate
Article Commenté
Perturbateurs endocriniens : toujours pas de substituts
Mme Marie Lestelle Issy-les-Moulineaux
L’Académie nationale de médecine s’est penchée dans un récent rapport sur les risques sanitaires des perturbateurs endocriniens présents dans l’environnement. Il existe un risque cancérigène tangible identifié chez l’animal et difficilement transposable à l’homme. Il est urgent selon elle d’orienter la recherche vers des produits de substitution sûrs.
Cancer de la prostate
Article Commenté
L’utilisation prolongée de fluoroquinolones avant biopsie de prostate est source d’infection impliquant des germes résistants à cet antibiotique
Pr Franck Bruyère CHU Bretonneau, Tours - Tours
Il s’agit d’une étude qui a inclus 558 malades devant bénéficier d’une biopsie de prostate endorectale échoguidée. Parmi eux, 205 avaient reçu 500 mg de lévofloxacine pendant trois semaines avant les biopsies pour diminuer le PSA (groupe 1). Le 2ème groupe était composé de 353 malades qui n’avaient pas d’antibiotique avant les biopsies en dehors de l’antibioprophylaxie.
En fait dans cette étude, l’ensemble des malades avaient reçu une antibioprophylaxie par lévofloxacine 500 mg depuis la veille des biopsies jusqu’à 5 jours post opératoires jusqu’en 2008, date à laquelle
Cancer de la prostate
Article Commenté
L’urétrotomie interne a un taux de réussite inferieur à celui reporté dans les études antérieures
Dr Marc Valière Vialeix CHU de Tours - Tours
Introduction
Il s’agit de la première étude rétrospective en Amérique du Nord évaluant l’efficacité d’une ou plusieurs urétrotomies. L’hypothèse initiale était que cette technique, bien que très utilisée, est peu performante.

Matériel et méthodes
• 136 malades opérés entre janvier 1994 et mars 2009, suivis pendant 5 ans.
• 7 urologues utilisant différentes techniques opératoires (incision unique à 12h ou multiple à 3, 6, 9 et 12 h à la lame froide ou au laser indigo).
• Critères de récidive : diminution de la force du jet,
Cancer de la prostate
Article Commenté
L’abiratérone augmente la survie dans les cancers de prostate métastatiques
M. François-Xavier Vinceneux CHU de Tours - Tours
Les cancers de prostate métastatiques sont de mauvais pronostic lorsqu’ils deviennent résistants à la castration. Les ressources thérapeutiques sont alors faibles, basées sur les chimiothérapies à base de taxanes et ne permettent qu’une survie limitée.
L’acétate d’abiratérone (AA) est un inhibiteur sélectif et irréversible de la biosynthèse des androgènes au niveau surrénalien, gonadique et intratumoral, contrairement à la castration qui ne bloque que la sécrétion gonadique des androgènes.
Cette étude de phase III randomisée,
Cancer du sein, risque accru chez les consommatrices d’alcool raisonnables
Sénologie
Article Commenté
Cancer du sein, risque accru chez les consommatrices d’alcool raisonnables
Mme Marie Lestelle Issy-les-Moulineaux
La consommation d’alcool augmente le risque d’apparition d’un cancer du sein. Une étude de cohorte prospective montre que c’est également le cas chez les consommatrices raisonnables. Une consommation modérée n’est donc pas sans risque. Les résultats de ces travaux sont parus dans le JAMA.
Téléphone portable, une étude danoise rassurante
Cancer du SNC
Article Commenté
Téléphone portable, une étude danoise rassurante
Mme Marie Lestelle Issy-les-Moulineaux
L’étude d’une large cohorte d’utilisateurs de téléphone portable au Danemark ne montre pas de lien entre la durée d’utilisation au cours des années et le risque de survenue d’une tumeur cérébrale. Les résultats de cette étude sont parus dans le British Medical Journal.
L'astronomie au microscope
Cancer du SNC
Cas Clinique
L'astronomie au microscope
Dr Nadine Martin-Duverneuil Pitié-Salpêtrière - Paris
Clinique :
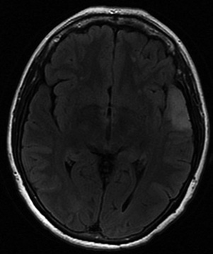
Femme âgée de 49 ans, crises épileptiques partielles complexes d’apparition récente.

Imagerie IRM conventionnelle :
Lésion temporo-insulaire gauche (gyrus temporal supérieur) cortico-sous-corticale.
Lésion assez bien limitée, en hypersignal FLAIR homogène et sans œdème périlésionnel. Effet de masse très discret.
La masse est en T1, avec une discrète prise de contraste mal limitée à prédominance corticale
Page 704 sur 775        Premier  Précédent  699  700  701  702  703  704  705  706  707  708  Suivant  Dernier
Newsletters