Envoi du mail en cours
 

Toutes les actualités scientifiques

Page 705 sur 775        Premier  Précédent  700  701  702  703  704  705  706  707  708  709  Suivant  Dernier
Cancer de la prostate
Article Commenté
Cancer de la prostate localisé de faible risque et comorbidités : un choix thérapeutique difficile
M. Philippe Sèbe Hôpital Tenon, AP-HP - Paris
Le dépistage individuel du cancer de la prostate peut déboucher sur une situation particulièrement difficile : le diagnostic d’un adénocarcinome de prostate localisé de faible risque (PSA < 10 ng/ml et Gleason ≤6 et stade T1c ou T2a) chez un patient ayant des morbidités compétitives lourdes.
Difficile car au bout de la démarche diagnostique, un cancer de la prostate est annoncé, et ensuite il n’est pas toujours facile d’expliquer au patient que la probabilité qu’il décède d’une autre pathologie que le cancer de la prostate soit plus importante. Difficile aussi car il n’est pas évident d’évaluer l’espérance de vie de nos patients en consultation. En pratique clinique,
Cancer de la prostate
Article Commenté
Prostatectomie radicale versus surveillance active : résultats à 15 ans
M. Philippe Sèbe Hôpital Tenon, AP-HP - Paris
Les résultats de la fameuse étude scandinave sont de retour avec à présent un recul de 15 ans. Est-il nécessaire de rappeler l’effet de la première publication de cette étude, il y a maintenant prés de 10 ans ? Le dogme de la prostatectomie radicale était remis en question et son efficacité comparé à une surveillance active…
A 15 ans, les résultats sont toujours aussi intéressants et surprenants. Pour mémoire, 695 patients ont été randomisés en 2 groupes : prostatectomie radicale (PR, n=347) et surveillance active (SA, n=348).
Sur les patients initialement opérés, 166 sont morts contre 201 dans le groupe initialement surveillé. Dans le groupe PR,
Cancer de la prostate
Article Commenté
Efficacité de la chimiothérapie néo-adjuvante dans le traitement des cancers de la vessie
M. Philippe Sèbe Hôpital Tenon, AP-HP - Paris
L’efficacité de la chimiothérapie néo-adjuvante (CNA) dans le traitement du cancer de la vessie est depuis longtemps discutée et remise en question.
Cette étude multicentrique randomisée de phase III a recruté 976 patients entre 1989 et 1995. Tous les patients avaient une maladie localisée et ont été répartis dans 2 groupes : un groupe CNA et un groupe sans traitement adjuvant (STA). Le protocole de chimiothérapie associait 3 cycles de méthotrexate, cisplatine et vinblastine. Les patients étant ensuite traités par radiothérapie, radio-chimiothérapie ou
Octobre 2011 : 18ème édition de la campagne “Le Cancer du Sein, Parlons-en!”
Sénologie
Article Commenté
Octobre 2011 : 18ème édition de la campagne “Le Cancer du Sein, Parlons-en!”
Mme Caroline Puech Paris
En France, le cancer invasif du sein est au premier rang de l’ensemble des cancers chez les femmes à la fois en termes de morbidité et de mortalité. C’est pourquoi l’incitation au dépistage est au cœur de la 18ème campagne contre le cancer du sein qui se déroulera durant tout le mois d’octobre 2011. De nombreuses actions au niveau national et international sont prévues sous le symbole du ruban rose.
Les envahisseurs de l’espace méningé
Cancer du SNC
Cas Clinique
Les envahisseurs de l’espace méningé
Pr Hervé TAILLIA hôpital du VAL DE GRACE - Paris
Patient de 58 ans
Céphalée d’HIC crescendo depuis 6 mois
Paralysie du VI droit depuis 4 jours

Quel est votre diagnostic ?

Biopsie lésion arachnoïdienne médullaire : prolifération tumorale d’allure gliale, GFAP+, Olig+
Intérêt du scanner à faible dose pour le dépistage du cancer du poumon
Cancer du poumon
Article Commenté
Intérêt du scanner à faible dose pour le dépistage du cancer du poumon
Mme Caroline Puech Paris
Le dépistage des cancers du poumon par scanner à faible dose semble diminuer la mortalité de 20% par rapport à la radiographie. Des chercheurs américains publient dans The New England Journal of Medicine, les résultats d’une étude de cohorte pour comparer le dépistage annuel du cancer du poumon par radiographie au dépistage par scanner à faible dose chez des patients à risque élevé.
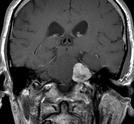
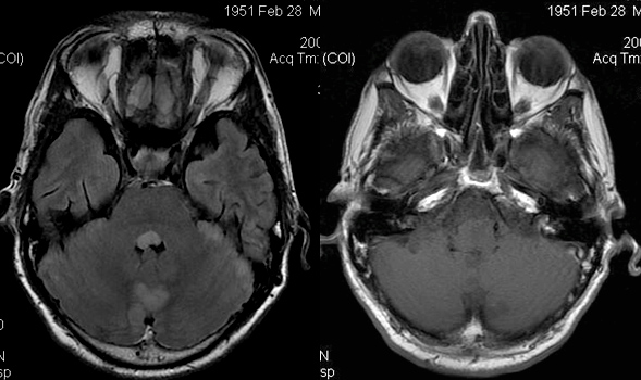
Schwannome vestibulaire
Cancer du SNC
Cas Clinique
Schwannome vestibulaire
Dr Karima Mokhtari GHP Salpêtrière - paris
Clinique :
Homme âgé de 48 ans. Lésion révélée par une paralysie faciale progressive avec surdité.

Imagerie IRM :
Large lésion développée dans l’angle ponto-cérébelleux gauche. Très discrète extension visible au niveau du porus intracanalaire. Persistance de la visibilité du LCS au fond du MAI. Lésion hétérogène en iso- et hypersignal T2. Très important rehaussement périphérique à centre hypointense « nécrotique » en T1 après injection de gadolinium.
Perspectives pour la prévention du cancer du sein chez les femmes ménopausées à haut risque
Sénologie
Article Commenté
Perspectives pour la prévention du cancer du sein chez les femmes ménopausées à haut risque
Mme Caroline Puech Paris
Les inhibiteurs de l’aromatase tels que l’exemestane semblent diminuer de moitié le risque de cancer. Des chercheurs du NCIC Clinical Trials Group Mammary Prevention ont réalisé un essai de phase 3, international, randomisé en double aveugle contre placebo pour évaluer l’intérêt de cette molécule dans la prévention du cancer du sein chez les femmes ménopausées à haut risque. Ils publient leurs résultats dans le New England Journal of Medecine.
Quand la gravité participe à la diffusion tumorale
Cancer du SNC
Cas Clinique
Quand la gravité participe à la diffusion tumorale
Dr Mathieu Boone CHU - Amiens
Clinique :
• Patiente de 49 ans
• Lombalgies depuis 2 ans
– Douleurs atypiques bilatérales à prédominance droite
– Topographie radiculaire L4-L5
– Recrudescence nocturne
– Restriction des loisirs mais activité professionnelle conservée

• ROT abolis et signe de Lasègue bilatéral (40°)

Pas de troubles sphinctériens ou de céphalées.

• Lésions nodulaires appendus aux racines lombaires intra-durales
• Quel diagnostic évoquer ?
• Quel bilan réaliser ?
Cancer de la prostate
Article Commenté
Prostatectomie de rattrapage après HIFU pour adénocarcinome de prostate
M. Philippe Sèbe Hôpital Tenon, AP-HP - Paris
L’HIFU (High Intensity Focused Ultrasound) est une alternative thérapeutique possible dans le traitement du cancer de la prostate localisé. Initialement proposée aux patients âgés de plus de 75 ans ou ayant des morbidités compétitives importantes, cette technique peu invasive a vu ses indications s’étendre aux patients plus jeunes, en raison des séquelles sexuelles moins importantes de ce traitement.
Pour les patients ayant un équivalent de récidive biologique après HIFU, il est nécessaire de réaliser de nouvelles biopsies prostatiques.
Ainsi, 15 patients traités initialement
Cancer de la prostate
Article Commenté
Engrailed 2 : nouveau marqueur pour la détection du cancer de la prostate
Dr Julia Fuchs Collège de France, CNRS UMR8542 - Paris
La protéine Engrailed 2 (EN 2) est un facteur de transcription de l’ADN exprimé et sécrété par les cellules adénocarcinomateuses prostatiques, et absent dans le tissu prostatique normal. EN2 étant sécrétée dans l’urine des patients porteurs d’un cancer de la prostate (KP), elle a été évaluée comme nouveau test de dépistage du KP.
Les urines du premier jet ont donc été collectées chez 184 patients venus consulter pour troubles mictionnels ou suspicion de KP. La collection des urines a été faite avant la réalisation du toucher rectal. Une étude immuno-enzymatique
Cancer de la prostate
Article Commenté
Chimiothérapie et carcinome urothélial de la voie excrétrice supérieure
Dr Nicolas Brichart CHU Tours - Orléans
La néphro-urétérectomie seule est un traitement insuffisant des tumeurs urothéliales avancées du haut appareil. Le taux de survie spécifique à 5 ans varie de 61% à 76% selon les séries. C’est pourquoi des chimiothérapies à base de platine ont été proposées. Cependant, celles-ci nécessitent une fonction rénale satisfaisante.
Les auteurs ont voulu déterminer si la capacité de délivrer une chimiothérapie à base de platine était affectée par les changements post-opératoires de la fonction rénale. Ils ont ainsi rétrospectivement analysé
Page 705 sur 775        Premier  Précédent  700  701  702  703  704  705  706  707  708  709  Suivant  Dernier
Newsletters