X
Déclaration de liens d'intérêts
Cet auteur a déclaré n'avoir aucun lien d'intérét
Envoi du mail en cours
×
Fermer
Recommander à un confrère
Destinataires
Séparez les différentes adresses par une virgule.
Commentaire
Cher confrère, je pense que ceci devrait t'intéresser. Cordialement,
Les données collectées dans ce formulaire sont uniquement destinées à l'envoi de l'e-mail d'invitation et ne sont pas conservées.
Supportez notre indépendance éditoriale
Connexion / Inscription
Accueil
Actualités
Actus congrès
Actus médiathèques
Actus Scientifiques
Dossiers thématiques
Agenda des congrès
Article du jour Mediscoop
Duo d'experts
Interviews
Newsletter : Actualités des jeunes oncologues
Newsletter : Bimensuelle
Infos Flash
Newsletter : les nouvelles actualités en urologie
Newsletter : e-Psy
Newsletter : Actualité en immuno-oncologie
Newsletter : Actualité en oncologie thoracique
La newsletter spéciale cancers gynécologiques
Newsletter : spéciale cancer de l'ovaire
Newsletter : e-Thorax
Newsletter : lettre Anocef
Newsletter : Senoscoop
Newsletter : Spéciale cancers sein métastatiques
Paroles d'EXperts
Revue de presse Mediscoop
Synthèses
Webcasts
Pathologies
Algologie
Autres
Cancer cutané
Cancer de l'appareil e...
Cancer digestif
Cancer du poumon
Cancer du SNC
Cancer gynécologique
Cancer ORL
Cancer pédiatrique
Cancer urologique
Cancers rares
Hématologie
Onco-génétique
Oncologie fondamentale
Psycho-oncologie
Sénologie
Thérapeutiques
Immunothérapie
Soins de support
Exploration
Imagerie
Biomarqueurs
Services
A propos
Contact
Accueil
Actualités
Actus congrès
Actus médiathèques
Actus Scientifiques
Dossiers thématiques
Agenda des congrès
Article du jour Mediscoop
Duo d'experts
Interviews
Newsletter : Actualités des jeunes oncologues
Newsletter : Bimensuelle
Infos Flash
Newsletter : les nouvelles actualités en urologie
Newsletter : e-Psy
Newsletter : Actualité en immuno-oncologie
Newsletter : Actualité en oncologie thoracique
La newsletter spéciale cancers gynécologiques
Newsletter : spéciale cancer de l'ovaire
Newsletter : e-Thorax
Newsletter : lettre Anocef
Newsletter : Senoscoop
Newsletter : Spéciale cancers sein métastatiques
Paroles d'EXperts
Revue de presse Mediscoop
Synthèses
Webcasts
Pathologies
Algologie
Autres
Cancer cutané
Cancer de l'appareil e...
Cancer digestif
Cancer du poumon
Cancer du SNC
Cancer gynécologique
Cancer ORL
Cancer pédiatrique
Cancer urologique
Cancers rares
Hématologie
Onco-génétique
Oncologie fondamentale
Psycho-oncologie
Sénologie
Thérapeutiques
Immunothérapie
Soins de support
Exploration
Imagerie
Biomarqueurs
Services
A propos
Contact
Accéder à:
AlgoScoop
AllergoScoop
CanceroNet
Coeur
DermatoNet
DiabetoNet
GastroEnteroNet
GynecoNet
HematoNet
NephroFr
NeuroScoop
OrlScoop
PneumoScoop
RhumatoNet
Publicité
Toutes les actualités scientifiques
Page 659 sur 775
Premier
Précédent
654
655
656
657
658
659
660
661
662
663
Suivant
Dernier
Publicité
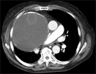
Cancer du poumon
Cas a discuter
Source : e-Thorax novembre 2014
155 x 179 x 134 mm
Pr Jean-Louis Pujol
CHU et IRCM INSERM U 1194 - Montpellier
Solution du cas
Il s'agit d'une tumeur dont l'exérèse a pu être effectuée.
L'aspect macroscopique était typique : apposition de différents tissus matures y compris de cheveux.
Diagnostic final :
Cancer du poumon
Vos patients ont lu
Source : e-Thorax novembre 2014
« Fumer augmente le risque d'être atteint de deux cancers successifs »
« On sait déjà que fumer augmente le risque de cancer du poumon. Une nouvelle étude [réalisée pour le gouvernement américain et publiée dans la revue médicale Journal of Clinical Oncology] vient de montrer qu'il multiplie aussi le risque de développer un second cancer », indique la journaliste Agathe Mayer. Elle rappelle qu’« en France, le tabac est la première cause de cancer et il est responsable de 90 % des cancers du poumon et de 73 000 décès prématurés ».
Cancer du poumon
Vos patients ont lu
Source : e-Thorax novembre 2014
« Cancer du poumon : un nouveau diagnostic sanguin précoce présenté par l'Inserm »
La journaliste Hélène Bour révèle qu’« une équipe de recherche de l'Inserm [basée à l’Université de Nice] vient de montrer [dans une étude parue ce 31 octobre dans la revue scientifique Plos One] que des signes précoces du cancer du poumon seraient détectables avant qu'il ne soit visible par imagerie ». « Plusieurs mois voire plusieurs années avant d'être détectable par scanner, le cancer du poumon serait visible grâce à des cellules cancéreuses circulantes, dites « sentinelles », présentes dans le sang », précise l’article.
Cancer du poumon
Vos patients ont lu
Source : e-Thorax novembre 2014
« Pesticides : éleveurs, fruitiers, légumiers... à chacun son cancer ? »
Le magazine révèle que « selon une étude, le risque de cancer du poumon est deux fois plus élevé chez les légumiers. Le cancer de la prostate menace davantage les producteurs de bovin ». En effet, « les agriculteurs risquent des types de cancers différents selon leur secteur d'activités, ce qui pourrait être lié à l'utilisation de pesticides, selon des résultats présentés mardi 28 octobre de l'enquête Agrican sur la santé en milieu agricole », observe-t-il.
Cancer du poumon
Vos patients ont lu
Source : e-Thorax novembre 2014
« L'intolérance au lactose protègerait contre certains cancers »
« Les personnes qui ne consomment pas de laitages auraient un risque moindre de cancer du poumon, du sein et des ovaires », souligne le magazine. « Dans une étude récemment publiée dans le British Journal of Cancer, des chercheurs suédois ont voulu savoir si les intolérants au lactose, du fait qu’ils évitent la plupart des laitages, ont un risque diminué ou accu de trois cancers en particulier : le cancer du poumon, du sein et des ovaires. Pour cela, ils ont identifié précisément 22.788 suédois avec une intolérance au lactose », poursuit l’article.
Cancer du poumon
Vos patients ont lu
Source : e-Thorax novembre 2014
« Dépister le cancer du poumon grâce à une prise de sang ? »
Le quotidien rapporte que, d’après le site de publication scientifique américain PLOS One, « une équipe médicale niçoise a mis au point un nouveau processus de dépistage du cancer du poumon présenté comme une avancée majeure et une « première mondiale » dans la lutte contre la maladie ». Selon les travaux de l'équipe du Pr Paul Hofman, du centre hospitalier universitaire de Nice et du centre de recherche de l'Inserm de l'université de Nice Sophia-Antipolis, « il est désormais possible de la détecter, dans une population à risque de patients fortement fumeurs, grâce à une simple prise de sang, alors même que la radiographie ne révèle aucun symptôme ».
Sénologie
Article Commenté
Source : J Clin Oncol. 2014 Oct 20. pii: JCO.2014.55.6894.
Prédire les rechutes tardives après 5 ans d’hormonothérapie (HT) : analyse combinée des études ABSCG8 et ATAC utilisant le ROR score (Prosigna)
Pr Florence Dalenc
Institut Claudius Regaud - Toulouse
A l’heure où la durée de l’HT adjuvante est remise en question, il apparaît essentiel de pouvoir identifier les patientes les plus à risque de rechute tardive afin de ne pas donner des traitements inutiles à celles qui n’en ont pas besoin et d’être plus convaincu du bénéfice individuel pour améliorer l’observance.
Plusieurs signatures moléculaires sont actuellement développées pour répondre à cette question : le
Breast Cancer Index
, l’Endopredict test et le ROR (
Risk Of Recurrence
) score. Ce dernier est un test décentralisé réalisable sur paraffine.
Sénologie
Article Commenté
Source : J Natl Cancer Inst. 2014 ; 106(10).
Allaitement et parité : comment influencer le sous-type de cancer du sein
Dr Philippe Barthélémy
Institut de cancérologie de Strasbourg - Strasbourg
Le taux d'incidence du cancer du sein triple négatif est plus élevé chez les femmes afro-américaines que chez les femmes blanches non hispaniques aux Etats-Unis au sein de chaque catégorie d'âge.
Afin de mieux comprendre cette disparité, J Palmer
et al.
ont mené une étude chez les femmes afro-américaines afin d’étudier quel rôle jouait la parité ainsi que l’allaitement dans cette population. En effet, cette population présente une parité élevée mais une faible prévalence de l’allaitement.
Plusieurs études ont démontré que l’allaitement pendant au moins quatre à six mois chez les femmes multipares
Sénologie
Article Commenté
Source : J Clin Oncol. 2014 ; 32(32):3607-12
Durée de traitement par héparines de bas poids moléculaire : de nouveaux éléments
Pr William Jacot
ICM, Institut régional du Cancer de Montpellier - Montpellier
Alors que l’utilisation des héparines de bas poids moléculaire (HBPM) est maintenant reconnue comme un standard thérapeutique dans la prise en charge de la maladie thrombo-embolique des patients atteints d’un cancer actif, la durée de traitement chez les patients présentant un cancer actif reste sujet à discussion.
Même si ce sujet déborde largement le cadre de l’oncologie sénologique, il reste un problème fréquent dans cette population, de par le pronostic des patientes atteintes de cancers du sein localement
Sénologie
Article Commenté
Source : Lancet Oncol. 2014 Sep 26. doi: 10.1016/S1470-2045(14)70444-9.
IMELDA : traitement d’entretien capecitabine-bevacizumab
Dr Philippe Barthélémy
Institut de cancérologie de Strasbourg - Strasbourg
La durée de chimiothérapie de 1
e
ligne métastatique est très variable compte tenu de l’apparition progressive d’effets secondaires cumulatifs qui conduisent souvent à devoir interrompre le traitement. Plusieurs options peuvent alors être discutées : une pause thérapeutique ou l’initiation d’un traitement de maintenance ou d’entretien.
L’étude IMELDA pose la question du meilleur traitement d’entretien entre bevacizumab en monothérapie ou une association capecitabine/bevacizumab.
L’étude a été menée de 2009 à 2011 auprès
Sénologie
Vos patients ont lu
Source : Senoscoop novembre 2014
« Après un cancer du sein : des soins de support personnalisés »
Dans Paris Match, le Dr Sylvie Dolbeault, psychiatre, chef du département interdisciplinaire de soins de support pour le patient en oncologie à l’Institut Curie, explique le récent programme conçu à l'Institut Curie pour une prise en charge après traitement.
Sénologie
Vos patients ont lu
Source : Senoscoop novembre 2014
« Cancer du sein : la perte des cheveux n'est pas une fatalité ! J'ai réussi à les garder »
Le magazine livre le témoignage de Nathalie C. qui « aborde un aspect tabou de la maladie : la perte des cheveux » due à la chimiothérapie. « On lui a dit que c'était inéluctable. Elle s'est battue pour les garder. Et elle a réussi », note le journal. La patiente indique que lorsque le médecin a mentionné la perte de ses cheveux, elle « ne voulait plus faire de chimiothérapie ». L’oncologue lui parle alors avec une certaine réticence d’« un casque réfrigéré que certaines femmes mettent sur la tête pendant la chimio, qui permettrait de ne pas perdre tous les cheveux ».
Page 659 sur 775
Premier
Précédent
654
655
656
657
658
659
660
661
662
663
Suivant
Dernier
Publicité
Publicité
Memento des recos
Accéder à toutes les recommandations
Actus congrès
Journées Francophones d'Hépato-gastroentérologie et...
Palais des Congrès - Paris, France
19-22 mars 2026
Toutes les actus congrès
Agenda des congrès
Accéder à l'agenda des congrès à venir
Dossiers thématiques
Les inhibiteurs HER2+ : du concept à la clinique
Tous les dossiers
Autres actualités
Prise en charge des gliomes : rétroperspective des congrès...
Pr François Ducray (
Hôpital Wertheimer - Lyon
)
Dr Alice Laurenge-Leprince (
Hôpital Pitié-Salpêtrière - Paris
)
Dr Sam Ng (
CHU Montpellier
)
Tous les webcasts
Résultats à 3 ans de l'étude SEQUOIA...
par le Dr
Emmanuelle Ferrant
(Hôpital Lyon Sud - HCL - Lyon)
Toutes les interviews
Memento des recos sur lymphome B agressif : que nous...
par le Dr
Guillaume Manson
(CHU - Rennes)
Toutes les synthèses
Newsletters
Lettre Anocef
Cancero.net - Bimensuelle
Cancero.net - Spéciale cancers sein métastatiques
Anocef - Spéciale glioblastome
Cancero.net - Actualité en oncologie thoracique
Cancero.net - Cancers gynécologiques
Cancero.net - Spéciale cancer colorectal métastatique
Publicité
×
Fermer