Envoi du mail en cours
 

Toutes les actualités scientifiques

Page 693 sur 775        Premier  Précédent  688  689  690  691  692  693  694  695  696  697  Suivant  Dernier
Cancer du poumon
Article Commenté
Source : Lancet Oncol. 2013 ; 14(9):e358-69.
Hsp90 pour les nuls
Pr Jean-Louis Pujol CHU et IRCM INSERM U 1194 - Montpellier
Si vous souhaitez mieux connaitre la heat shock protein (Hsp90), cet article vous en assure une synthèse claire et exhaustive : sont décrites, la fonction physiologique de cette protéine, et les conséquences de sa transcription dans les cellules malignes en termes de surdéterminisme des "protéines clientes", ALK-EML4 et HER2 notamment.
 
Car Hsp90 a une fonction dans la physiologie cellulaire : elle protège la conformation fonctionnelle des protéines clientes ; elle leur assure également une stabilité et une durée de vie normales. Ceci est particulièrement important 
Cancer du poumon
Vos patients ont lu
Source : e-Thorax septembre 2013
« Les cancers féminins »
Le magazine note que « si l'incidence des cancers féminins a globalement diminué ces 20 dernières années, il existe de fortes disparités entre les moyens de diagnostic, les traitements et les taux de guérison d'un cancer à l'autre ». Pluriels, « ils rassemblent une large diversité de maladies, de traitements, d'incidence », poursuit l’article. Il évoque, par exemple, le cancer de l'ovaire qui « reste relativement peu fréquent (4 620 nouveaux cas en 2011), mais est l'un des plus meurtriers, derrière le cancer du sein, du côlon-rectum et du poumon ».
Cancer du poumon
Vos patients ont lu
Source : e-Thorax septembre 2013
« Diagnostiquer l’agressivité d’un cancer »
Le mensuel rapporte qu’« une nouvelle façon d'appréhender le cancer et de prédire la dangerosité des tumeurs vient d'être mise au point par une équipe de scientifiques français », selon la revue Science Translational Medicine. « Ces chercheurs ont montré que, dans tous les cancers, une activation anormale de nombreux gènes propres à d'autres tissus se produit », précise le magazine. Il explique que
Cancer du poumon
Vos patients ont lu
Source : e-Thorax septembre 2013
« Cancer du poumon : les atouts de l'auto-surveillance »
A la question, « des systèmes simples d'auto-surveillance peuvent-ils améliorer le suivi de patients atteints de cancers ? », le Monde.fr répond que « l'expérience semble en tout cas concluante dans le domaine des tumeurs du poumon, selon les données d'une équipe française ». « Une étude pilote menée par le docteur Fabrice Denis (cancérologue au Mans et chercheur associé à l'université de Rouen) auprès de 43 malades conclut qu'un autocontrôle hebdomadaire de six paramètres cliniques
Cancer du poumon
Vos patients ont lu
Source : e-Thorax septembre 2013
« L’inflammation : nouveau mal du siècle ? »
Selon le magazine, « de plus en plus d’études pointent le rôle déterminant du phénomène inflammatoire dans la survenue des maladies comme l’infarctus, le diabète et le cancer… », avec « à la clé, l’espoir de nouveaux traitements ». L’inflammation « existe, de manière silencieuse, lorsque l’organisme est agressé de façon chronique par des agresseurs extérieurs : tabac, UV, polluants chimiques, pesticides, excès de sucre, de graisses ou d’alcool, ou encore virus à l’origine de maladies
Cancer du poumon
Vos patients ont lu
Source : e-Thorax septembre 2013
« Il lance une appli pour dépister la rechute du cancer du poumon »
Le journal en ligne rapporte qu’« au Mans, le Dr Fabrice Denis, pionnier de la télémédecine, est alerté par mail dès qu’un de ses patients cumule les symptômes d’une rechute après un cancer du poumon ». « C’est une première mondiale », s’enthousiasme le médecin, spécialiste du cancer du poumon. « Ancien chercheur de l’Inserm, ce médecin geek, qui exerce à la clinique Victor-Hugo, au Mans,
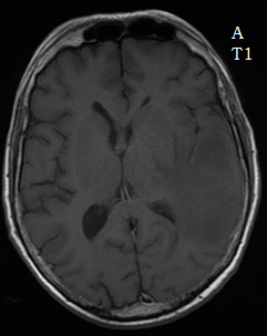
En IRM, comme la nuit, tous les chats sont gris
Cas Clinique
En IRM, comme la nuit, tous les chats sont gris
Dr Arnault Tauziède-Espariat AP-HP Lariboisière - Paris
Données cliniques :
  • Patient âgé de 59 ans adressé en urgence pour des céphalées évoluant depuis une semaine accompagnées de troubles du langage à type de manque du mot.
  • Principaux antécédents : syndrome d’Alport compliqué d’insuffisance rénale chronique ayant nécessité une greffe rénale en 1983.
  • Scanner cérébral : lésion cérébrale temporale gauche gauche, avec un effet de masse et un œdème périlésionnel.
  • Hospitalisation en service de neurochirurgie et bilan.
Suppression par le catumaxomab d’une ascite invalidante chez une patiente souffrant d’une carcinose péritonéale liée à un cancer de l’ovaire
Cancer gynécologique
Cas Clinique
Suppression par le catumaxomab d’une ascite invalidante chez une patiente souffrant d’une carcinose péritonéale liée à un cancer de l’ovaire
Pr Isabelle Ray-Coquard Centre Léon-Bérard - Lyon
L’ascite carcinomateuse est une complication fréquente des cancers épithéliaux de l’ovaire, dont le traitement peut s’avérer difficile en raison d’une résistance à la chimiothérapie, alors que celle-ci est efficace sur les autres cibles.
Cette ascite s’accompagne souvent de symptômes invalidants : douleurs, distension abdominale, signes de compression vésicale ou intestinale, baisse de l’état général ou encore dyspnée (1). 
Soins de support
Cas a discuter
Source : e-Psy septembre 2013
Temps et temporalité
Pr Jean-Louis Pujol CHU et IRCM INSERM U 1194 - Montpellier
Commentaires
Quelle est la nature du changement évoqué ici ?
Le thème de la temporalité est illustré par l'observation d’Alain : son discours ne fait plus aucune référence à un changement intervenu depuis l'annonce d'un cancer du poumon.
De façon générale, face au trauma de l'annonce, deux formes d'aménagements de l’inscription biographique paraissent possibles : soit le changement est "subi", ce qui aboutit généralement à une plainte sur ce qui n'est plus possible ; soit le changement est "choisi", ou plus exactement assumé, et, dans ce cas, il s'accompagne d'un positionnement actif et d'un regard différent sur le présent et prospectif sur l'avenir.
Soins de support
Article Commenté
Source : Cult Med Psychiatry. 2012;36(4):584-600.
La rupture biographique liée au cancer : une bonne occasion de rénovation de soi ?
Pr Jean-Louis Pujol CHU et IRCM INSERM U 1194 - Montpellier
Le titre est provocant ! Mais c'est dans ces termes que les patients atteints de cancer sont incités à reprendre en mains leur vie. Aux Etats-Unis, il est une théorie profane instillant un courant de politique de santé qui tient le discours suivant : la rupture biographique liée au cancer doit être mise à profit car le fait que le patient survive à l'expérience dépend en grande partie de sa conduite.
Quelles sont les bases de cette politique : le cancer doit être considéré comme un "moment favorable à l'apprentissage" du "bon" mode de vie, et le traumatisme peut être suivi d'une "croissance post-traumatique". 
Soins de support
Article Commenté
Source : Soc Sci Med. 2011;73(6):904-11.
La rupture temporelle chez le proche de patient atteint de cancer
Pr Jean-Louis Pujol CHU et IRCM INSERM U 1194 - Montpellier
Attention article-fleuve : la sociologue Rebecca Olson se penche sur l’interaction entre les patients et leurs conjoints en se plaçant résolument du côté de la subjectivité de ces derniers. L’approche est qualitative et rigoureuse. Une soixantaine d’entretiens, qu’elle a elle-même menés, constitue le corpus langagier d’où sont extraites des pistes propres à relancer la réflexion du cancérologue ou du psychologue.
Contrairement à ce qui est observé chez le patient lui-même, le déni ne semble pas  une stratégie d’adaptation (coping) habituelle des proches.
Soins de support
Article Commenté
Source : Sociol Health Illn. 2003;25:23-40.
L'expérience profane de la maladie chronique telle que la voit la sociologie de la santé
Pr Jean-Louis Pujol CHU et IRCM INSERM U 1194 - Montpellier
Cet article fait la synthèse de trois décennies de recherche en sociologie de la santé sur le statut de la personne malade dans son macrocontexte (place du sujet par rapport au socius) et son micro-contexte (place du sujet dans son environnement relationnel idiosyncrasique). Il est le reflet de la recherche anglo-saxonne : la référence est celle de l'interdépendance des notions de corps, de soi et de société.
Il s'agit d'une approche différente de celle de l'école française, laquelle a mis en lumière la fonction-clef des 
Page 693 sur 775        Premier  Précédent  688  689  690  691  692  693  694  695  696  697  Suivant  Dernier
Newsletters