Envoi du mail en cours
 

Toutes les actualités scientifiques

Page 701 sur 775        Premier  Précédent  696  697  698  699  700  701  702  703  704  705  Suivant  Dernier
Cancer de la prostate
Vos patients ont lu
« Sport, le meilleur des anti-âge »
Prima revient sur les vertus du sport : « booster de neurones », « anti-âge », « fidèle allié de nos os », mais également « bouclier contre les maladies ». A ce titre, « l’activité physique devrait être prescrite sur ordonnance », affirme le mensuel. « Car elle prévient le diabète, l’infarctus, réduit le risque de cancer et de récidive », explique l’article.
Concernant la marche, « c’est simple, elle est bonne pour tout », observe le magazine. Prima indique ainsi :
Cancer de la prostate
Vos patients ont lu
« Je vais bien, merci mon chien »
Version femina publie un dossier sur les animaux de compagnie, qui « contribuent à nous soigner ». Le magazine relève ainsi que « lorsqu'on adopte un labrador, un chat de gouttière, des oiseaux ou un hamster, on pressent bien qu'ils exercent un effet positif sur notre moral, mais on ignore généralement qu'ils éloignent aussi le médecin. Les scientifiques l'ont pourtant prouvé à grand renfort d'études. Leurs travaux montrent que les propriétaires d'un chien sont moins hypertendus, ont moins de
Cancer de la prostate
Vos patients ont lu
« Des nanoparticules d’or contre le cancer de la prostate »
Jean-Luc Nothias remarque dans Le Figaro que « c’est en combinant un composant du thé et des nanoparticules d’or radioactif que des chercheurs américains espèrent pouvoir développer un nouveau traitement contre le cancer de la prostate », selon une étude parue dans les PNAS. Le journaliste rappelle en effet que « dans certaines formes de cancer, une chimiothérapie lourde est nécessaire, avec des effets secondaires toxiques parfois importants, les produits utilisés attaquant la tumeur mais aussi d’autres organes.
Cancer de la prostate
Vos patients ont lu
« Contre le cancer, pas d'aliment miracle »
C’est ce que titre L’Express, qui note que « pour prévenir ou retarder l'apparition de cancers comme ceux du sein, de la prostate ou du système digestif, mieux vaut des habitudes alimentaires équilibrées et dans la durée ». Le magazine indique ainsi qu’« à l'occasion du congrès Eurocancer, des chercheurs réunis à Paris ont de nouveau abordé le lien entre alimentation et cancer. Celui-ci a fait l'objet de plusieurs grandes études épidémiologiques ces dernières années, mais très peu de données existent sur les mécanismes en cause ».
La tumeur jaune
Cancer du SNC
Cas Clinique
La tumeur jaune
Dr Nadine Martin-Duverneuil Pitié-Salpêtrière - Paris
Clinique :
Femme âgée de 55 ans sans antécédent. Crise épileptique généralisée inaugurale.

Imagerie IRM conventionnelle :
Lésion frontale gauche cortico-sous-corticale.
Image nodulaire bien limitée, intensément rehaussée par le contraste de façon homogène. Petite prise de contraste linéaire la raccordant aux méninges.
Hypodensité périlésionnelle reflet de l’œdème péritumoral.
Effet de masse modéré sur les sillons corticaux et le système ventriculaire adjacents.

Quel est votre diagnostic ?
Cancer de la vessie
Article Commenté
Radiothérapie seule ou radio-chimiothérapie dans les cancers de la vessie
Dr Nicolas Brichart CHU Tours - Orléans
La radiothérapie peut être une alternative à la cystectomie chez certains patients présentant une tumeur de vessie envahissant le muscle. Pour d’autres localisations tumorales, un traitement combiné par radio-chimiothérapie a montré une amélioration du contrôle local de la maladie ainsi que de la survie, comparé à la radiothérapie seule.
Dans une étude multicentrique de phase 3 menée au Royaume-Uni entre 2001 et 2008, les auteurs ont randomisé (sans aveugle) 360 patients présentant une tumeur de vessie envahissant le muscle, traitée soit par
Cancer de la prostate
Article Commenté
Radiothérapie par modulation d’intensité, proton-thérapie, ou radiothérapie classique : morbidité et contrôle carcinologique dans le cancer de la prostate localisé
Dr Marie Audouin Hôpital Tenon, AP-HP - Paris
Le cancer de la prostate est le cancer le plus fréquent chez l’homme de plus de 50 ans. Depuis quelques années, la prise en charge thérapeutique des cancers de la prostate localisés a évolué avec l’émergence de nouvelles techniques chirurgicales mini-invasives et de nouvelles technologies de radiothérapie, telles que la radiothérapie par modulation d’intensité (IMRT) ou la proton-thérapie.
Toutefois, ces nouvelles avancées ont un coût important par rapport à la radiothérapie classique et il y a peu de publications évaluant ces nouveaux traitements par rapport aux anciens. Cette problématique
Cancer de la prostate
Article Commenté
Résultats fonctionnels de la prostatectomie radicale après 65 ans
M. Philippe Sèbe Hôpital Tenon, AP-HP - Paris
Au décours d’une prostatectomie radicale (PR) pour adénocarcinome de prostate, l’âge du patient reste un élément majeur de prédiction de la continence post-opératoire. Cet article du JCO remet en cause la PR au-delà de 65 ans, non pas pour ses résultats carcinologiques qui restent par ailleurs à démontrer, mais pour ses résultats fonctionnels.

Dans une série récente (2008) de patients opérés d’une PR par voie rétropubienne (RP, n=220) ou par voie laparoscopique robot-assistée (LRA, n=406) une évaluation des fonctions sexuelles et urinaires
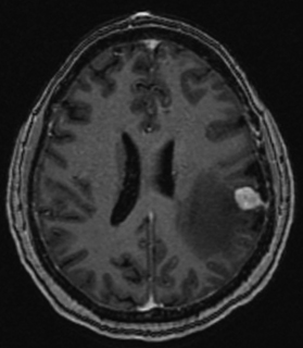
Quelle est la vraie réponse ?
Cas Clinique
Quelle est la vraie réponse ?
Pr François Ducray Hôpital Wertheimer - Lyon
Parmi ces 4 patients, le(s)quel(s) présente(nt) une progression tumorale ?
Cas 1. GBM évolution à 18 mois après RTCT (asymptomatique)
Cancer de la prostate
Mise au point
Cancer de la prostate : la fin du dépistage ?
M. Philippe Sèbe Hôpital Tenon, AP-HP - Paris
La position de la Haute autorité de santé (HAS) par rapport au dépistage organisé du cancer de la prostate se durcit. Après avoir donné en 2010 un avis défavorable au dépistage organisé dans la population générale, elle confirme cet avis défavorable pour la population d’hommes à haut risque.
Cette prise de position est plus surprenante mais elle est justifiée de la manière suivante [1] :
- les facteurs de risque (parents du 1er degré, origine africaine…) ont été identifiés, mais il reste difficile de repérer des populations à haut risque ;
- incertitudes scientifiques sur l’évolution clinique des différentes formes d’atteinte tumorale de la prostate ;
Cancer de la prostate
Mise au point
Dépistage du cancer de la prostate : vers quelle évolution ?
M. Philippe Sèbe Hôpital Tenon, AP-HP - Paris
La position de la HAS rejoint celle d’autres agences d’évaluation étrangères dont la US Preventive Services Task Force [1], mais elle ne concerne que le dépistage organisé systématique. Cette remise en question doit-elle s’étendre au dépistage individuel, tel qu’il est réalisé aujourd’hui ? Comment réduire les problèmes de « surdiagnostic » et de « surtraitement » qui sont en grande partie à l’origine de cette remise en question ?

Ces prises de positon des tutelles remettent en question nos pratiques voire nos convictions. Elles contrebalancent très certainement l’augmentation galopante de la prostatectomie radicale.
Cancer de la prostate
Article Commenté
Mortalité par cancer de la prostate après 11 ans de suivi
Dr Nicolas Brichart CHU Tours - Orléans
En 2009 ont été publiés dans le New England Journal of Medicine les résultats de deux études sur le dépistage du cancer de la prostate. L’étude de l'European Study of Screening for Prostate Cancer (ERSPC) [1] avait montré une amélioration de la survie tandis que l’étude américaine (PLCO) [2] démontrait le contraire mais sur une durée de suivi plus courte.
Cette étude est l'actualisation du travail de l’ERSPC sur les effets du dépistage du cancer de la prostate par le PSA avec un recul de 11 ans. 162 388 patients, âgés de 55 à 69 ans, ont été randomisés en deux groupes,
Page 701 sur 775        Premier  Précédent  696  697  698  699  700  701  702  703  704  705  Suivant  Dernier
Newsletters