Envoi du mail en cours
 

Toutes les actualités scientifiques

Page 301 sur 382        Premier  Précédent  296  297  298  299  300  301  302  303  304  305  Suivant  Dernier
HTA
Article Commenté
Le chocolat aurait-il réellement un effet favorable sur la pression artérielle et le risque de maladie cardiovasculaire ?
Dr Isabelle Pierre Nantes
Certaines études ont suggéré le rôle protecteur cardio-vasculaire de la consommation de chocolat. A ce titre, une étude de cohorte vient d'être publiée et vient conforter ces données.
En effet, la cohorte publiée est constituée de 19.357 patients allemands indemnes de pathologie cardio-vasculaire et qui ont été inclus dans une large étude de cohorte internationale évaluant la relation entre les habitudes alimentaires et le risque de cancer, essentiellement.
Les patients inclus étaient âgés de 35 à 65 ans et n'avaient pas d'antécédent d'AVC ou d'IDM et ne prenaient pas de traitement antihypertenseur.
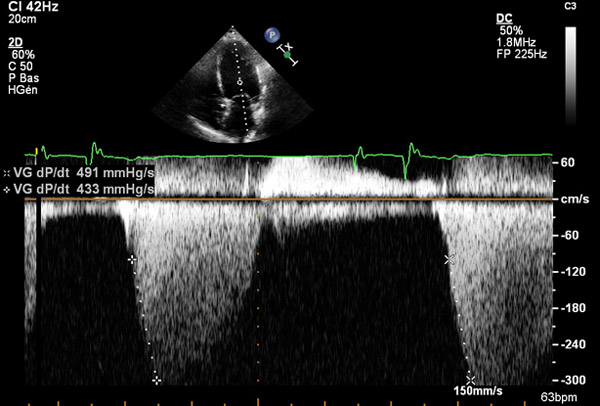
dP/dt : toujours d’actualité pour évaluer les pressions de remplissage VG ?
HTA
Fiche Pratique
dP/dt : toujours d’actualité pour évaluer les pressions de remplissage VG ?
Dr William Allard Paris
Vous avez dit dP/dt ?
Est-ce toujours d’actualité à l’époque du doppler tissulaire ?
Certainement oui, si on en juge par le nombre de publications qu’on retrouve sur PubMed en rentrant le mot clé « dP/dt ».
En cas d'insuffisance mitrale, ce rapport permet, en utilisant la loi de Bernouilli simplifiée, d’évaluer la contractilité et les pressions de remplissage du ventricule gauche.
Pour rappel, ce rapport se calcule à partir du flux d’IM. Il faut pour cela mesurer le temps entre les
HTA
Article Commenté
Impact pronostique d’une hypertrophie ventriculaire gauche électrique, en basal ou lors du suivi, chez des patients atteints d’une hypertension artérielle résistante
Dr Pierre Attali Hôpitaux universitaires de Strasbourg - Strasbourg
La question
Quelle est la valeur pronostique des signes électrocardiographiques d'hypertrophie ventriculaire gauche dans l'hypertension artérielle résistante ?

La méthode
En basal et lors du suivi, 552 patients avec une HTA résistante ont eu une recherche d'hypertrophie ventriculaire gauche électrocardiographique à partir des trois critères suivants : Sokolow-Lyon (SV1 +RV5 ou V6 >3.8mV), Cornell voltage (RaVL + SV3 >2.8 mV chez l’homme et >2.0 mV chez la femme), et Cornell voltage-duration product (Cornell voltage avec 0.6 mV ajouté chez la femme multiplié par la durée moyenne du QRS >244 ms.mV).
Le critère primaire d'évaluation était
Les fibrates utiles en prévention cardiovasculaire
Facteurs de risque
Article Commenté
Les fibrates utiles en prévention cardiovasculaire
Mme Marie Lestelle Issy-les-Moulineaux
Les fibrates peuvent réduire le risque d’événement cardiovasculaire majeur et notamment les accidents coronariens. Leur utilisation paraît donc pertinente chez les patients à haut risque cardiovasculaire présentant ou non une dyslipidémie. Ces conclusions sont le fruit d’une étude australienne parue dans The Lancet.
Rythmologie
Mise au point
Consensus sur la prise en charge des thérapeutiques antithrombotiques chez les patients en FA et un syndrome coronarien aigu ou l’implantation d’un stent ("Working group on thrombosis" de l’ESC, EHRA et EAPCI)
Pr Didier Klug CHRU Lille - Lille
Les anticoagulants ont fait leurs preuves chez les patients en FA et on estime que 70-80% des patients en FA relèvent d’un traitement anticoagulant. Une pathologie coronaire est présente chez 20-30% d’entre eux.
Dans les suites d’une implantation de stent, l’association aspirine-clopidogrel (Plavix®) est supérieure aux anti-vitamines K (AVK), à l’opposé l’association aspirine-clopidogrel est inférieure aux AVK dans la prévention thrombo-embolique de la FA.
Ces indications recommandaient donc la triple association sous couvert d’une évaluation du risque hémorragique en cas
Rythmologie
Article Commenté
Y a-t-il un bénéfice à implanter un défibrillateur automatique implantable aux patients insuffisants cardiaques sévères ?
Pr Didier Klug CHRU Lille - Lille
Le risque de décès par insuffisance cardiaque augmentant par rapport aux décès d’origine rythmique avec la sévérité de l’insuffisance cardiaque, il est couramment admis que le DAI perd son intérêt chez l’insuffisant cardiaque sévère, en particulier en cas de NYHA (New York Heart Association) classe IV. Aucune étude n’a cependant étudié cette population.
Tushar V Salukhe et al. ont analysé 6 études sur la défibrillation implantable pour regarder l’influence de marqueurs de gravités de l’insuffisance cardiaque sur l’efficacité des DAI. Ce n’est pas une méta-analyse mais l’idée des auteurs était que s’il existe réellement une perte de bénéfice du DAI chez les stades IV, on devrait pouvoir constater une diminution du bénéfice
HTA
Article Commenté
IEC/inhibiteur calcique font mieux que bêtabloquant/thiazidique même sur la fonction diastolique
Dr Benoît Fouchet Marseille
L'étude ASCOT avait montré chez les patients hypertendus l'intérêt de la combinaison périndopril / amlodipine qui avait été comparée à la combinaison bêtabloquant / hydrochlorothioazide.
Dans ce travail, les résultats d'une étude ancillaire de ASCOT sont présentés. Les auteurs se sont, particulièrement, intéressés à l'effet sur la fonction diastolique.
L'analyse a porté sur 1 006 patients, inclus dans 2 centres (St. Mary's Hospital à Londres, et Beaumont Hospital à Dublin), et qui ont eu évaluation de la fonction diastolique par échographie (avec doppler tissulaire) et une mesure du taux de BNP. L'évaluation a été faite
HTA
Article Commenté
Un bon niveau d'activité physique associé à une réduction de l'épaisseur intima–média carotidienne
Dr Isabelle Pierre Nantes
Quel est l'effet de l'activité physique sur l'évolution de l'épaisseur intima–média ? C'est ce qu'ont évalué les auteurs de cette étude prospective.
L'analyse a porté sur 614 sujets sains, jeunes (dont l'âge moyen était de 44 ans).
Les sujets ont été suivis de manière prospective avec une mesure de l'épaisseur intima–média, qui a été répétée après un suivi de 3 ans.
Le niveau d'activité physique a été évalué chez ces patients par un accéléromètre qui a été porté par les sujets pendant une durée médiane de 5 jours. Le pourcentage du temps passé en sédentarité
HTA
Article Commenté
Migraine et FOP : une étude négative
Dr Benoît Fouchet Marseille
Certaines études ont suggéré la présence d'un lien entre Migraine et Foramen Ovale Perméable. Si un lien était démontré, les conséquences en termes de cardiologie interventionnelles seraient importantes car cela ouvrirait la voie à la fermeture percutanée des Foramens Ovales Perméables.
Le travail de Garg et al. est une étude cas–témoin.
Les cas étaient des patients ayant des antécédents de migraine confirmés par un expert neurologue. Les témoins étaient des sujets n'ayant aucun antécédent de migraine, et qui étaient
HTA
Article Commenté
Un meilleur effet sur le rein avec la combinaison IEC/inhibiteur calcique dans l'étude ACCOMPLISH
Dr Benoît Fouchet Marseille
Pour rappel, l'étude ACCOMPLISH est une étude randomisée, multicentrique, en double aveugle, dans laquelle les patients ont été randomisés pour recevoir en plus de l'IEC (le benazepril) soit un inhibiteur calcique, l'amlodipine, soit de l'hydrochlorothiazide.
Les patients inclus (au nombre de 11.506) présentaient une hypertension artérielle et étaient à haut risque d'évènement cardio-vasculaire.
L'analyse présentée dans cet article était préspécifiée. Le critère évalué était le composite du doublement de la créatinine, de la survenue d'une insuffisance rénale terminale
HTA
Article Commenté
Pression artérielle et calcifications vasculaires
Dr Johanna Oziel Pitie-Salpêtrière - paris
Plusieurs études épidémiologiques suggèrent que l’élévation de la pression artérielle est un facteur prédictif indépendant de maladie cardio-vasculaire. On ne sait toujours pas préciser quel déterminant de la PA est en cause.
De plus, il est désormais établi que la rigidité aortique est elle aussi associée à la survenue de maladies cardio-vasculaires chez les sujets âgés.
Entre 1999 et 2003, 9 510 Californiens ont bénéficié de la réalisation d’un scanner thoracique en vue d’objectiver et de quantifier des calcifications vasculaires.
La plupart des sujets étaient asymptomatiques et adressés par leur praticien dans le cadre
HTA
Article Commenté
Variabilité inter-visites, PAS maximale et hypertension épisodique : signification pronostique
Dr Pierre Attali Hôpitaux universitaires de Strasbourg - Strasbourg
La question
Quelle est la signification pronostique de la variabilité inter-visites de la pression artérielle, de la pression artérielle systolique maximale, de l'HTA épisodique non traitée, et de la variabilité résiduelle de la pression artérielle chez les patients hypertendus traités ?
La méthode
Le risque d'AVC a été étudié en fonction de la variabilité de la pression artérielle inter-visites (exprimée par la déviation standard et des paramètres indépendants de la pression artérielle moyenne) et en fonction de la pression artérielle maximale chez les patients ayant été atteint d'un antécédent d'accident ischémique transitoire
Page 301 sur 382        Premier  Précédent  296  297  298  299  300  301  302  303  304  305  Suivant  Dernier
Dossiers thématiques
Newsletters