Envoi du mail en cours
 

Toutes les actualités scientifiques

Page 242 sur 719        Premier  Précédent  237  238  239  240  241  242  243  244  245  246  Suivant  Dernier
La thrombose veineuse dans les cancers pancréatiques et biliaires : résultats et facteur pronostique
Article Commenté
Source : J Thromb Haemost. 2015 ; 13(4):555-62.
La thrombose veineuse dans les cancers pancréatiques et biliaires : résultats et facteur pronostique
Dr Anne Roche Hôpital Européen Georges-Pompidou - Paris
Le cancer du pancréas a un pronostic des plus défavorables avec un taux de survie à 5 ans de moins de 5%. Parallèlement, c'est aussi l'un des cancers où l'incidence de la maladie veineuse thromboembolique est la plus élevée.
Sorensen et al. ont montré que la survie globale des patients cancéreux est diminuée lorsqu'ils ont une maladie veineuse thromboembolique (MTEV). Cette constatation a également été faite chez les patients atteints de cancer du pancréas. En revanche, il est à l'heure actuelle impossible de dire si la surmortalité est liée à la MTEV ou au fait d'avoir un cancer plus agressif.
Traitement de la maladie thromboembolique veineuse chez les patients atteints de cancer avec la daltéparine jusqu'à douze mois : résultats de l'étude DALTECAN
Article Commenté
Source : J Thromb Haemost. 2015 Mar 31. doi: 10.1111/jth.12923.
Traitement de la maladie thromboembolique veineuse chez les patients atteints de cancer avec la daltéparine jusqu'à douze mois : résultats de l'étude DALTECAN
Dr Anne Roche Hôpital Européen Georges-Pompidou - Paris
La prévalence de la maladie veineuse thromboembolique est plus élevée chez les patients cancéreux que dans la population générale et son pronostic est plus sombre. Le risque de récidive et de complications hémorragiques majeures est également plus fréquent chez les patients atteints de cancer.
De ce fait, la durée de traitement anticoagulant reste un sujet controversé ; l'objectif étant de trouver le rapport bénéfice/risque le plus acceptable entre la prévention de la récidive et la survenue de complications hémorragiques majeures.
Un iPad pour mesurer l’instabilité posturale
Syndromes parkinsoniens
Article Commenté
Source : Mov Disord. 2015 Mar 25. doi: 10.1002/mds.26214.
Un iPad pour mesurer l’instabilité posturale
Dr Christian Geny CHU - Montpellier
L’évaluation des troubles posturaux dans la maladie de Parkinson est souvent réservée à des équipes spécialisées utilisant des plateformes posturales. Cette contrainte explique la rareté des essais thérapeutiques qui ont évalué l’effet sur l’équilibre des médicaments actuellement disponibles.
La diffusion des smartphones ou autres technologies connectées permet d’envisager l’utilisation de ces dispositifs en pratique courante.
Le diagnostic clinique de maladie de Parkinson est-il fiable ?
Syndromes parkinsoniens
Article Commenté
Source : Neurology. 2014 ; 83(5):406-12.
Le diagnostic clinique de maladie de Parkinson est-il fiable ?
Dr Olivier Colin Centre Hospitalier de Brive - Brive-la-Gaillarde
Les auteurs de ce travail américain ont cherché à identifier la précision du diagnostic clinique de la maladie de Parkinson, en utilisant des données clinico-pathologiques post-mortem.
Afin de déterminer la précision du diagnostic clinique de la maladie de Parkinson (MP), les données d’une étude du vieillissement et des maladies neurodégénératives en Arizona ont été utilisées pour déterminer la valeur prédictive du diagnostic clinique de MP.
Syndromes parkinsoniens
Vos patients ont lu
Source : Parkinson - neuroscoop avril 2015
« Maladie de Parkinson, le point sur les traitements »
Le magazine indique que « samedi 18 avril a lieu la Journée mondiale consacrée à cette pathologie neurologique » et précise que « si elle reste incurable, la science a accompli de nombreux progrès». Il rappelle qu’« affectant principalement les personnes de plus de 60 ans, elle peut aussi concerner les moins de 50 ans (10%  des malades), voire, dans de rares formes génétiques, frapper avant la quarantaine (5%) ». « En cause la destruction progressive d'une zone cérébrale pas plus grosse qu'une lentille. Appelée «locus niger», elle fabrique la dopamine, un corps chimique chargé de transmettre, entre autres, les ordres de mouvements à nos membres », explique l’article.
Syndromes parkinsoniens
Vos patients ont lu
Source : Parkinson - neuroscoop avril 2015
« Parkinson : les patients se plaignent des effets indésirables des médicaments »
Le magazine indique qu’« une enquête réalisée par l’association France Parkinson montre qu’un tiers des patients ont subi une "rupture de soins" au cours des six derniers mois ». « Principale raison : les effets secondaires », poursuit-il.
« Ces traitements visent à apporter au cerveau la dopamine qui lui manque, du fait de la maladie. Ils sont très efficaces mais, comme tous les médicaments, ils peuvent avoir des effets indésirables. En début de traitement, il peut s’agir de nausées ou de baisses de tension. Mais elles vont passer, le plus souvent, avec le temps », précise Philippe Damier, professeur de neurologie au CHU de Nantes et vice-président du comité scientifique de France Parkinson.
Syndromes parkinsoniens
Vos patients ont lu
Source : Parkinson - neuroscoop avril 2015
« Parkinson : soigner les neurones par la lumière »
Le journal révèle que « des neuroscientifiques testent une méthode qui permettrait d'éviter la dégénérescence des neurones dopaminergiques impliquées dans la maladie de Parkinson ». « Père de la stimulation cérébrale profonde, devenue l'un des traitements de référence dans la maladie de Parkinson, le Pr Alim Louis Benabid espère être «sur le point de faire une avancée majeure dans ce domaine» », indique l’article. « Attention. Il ne faut pas donner d'espoir prématuré aux malades, on est là très en amont d'un éventuel nouveau traitement», avertit cependant le neurochirurgien. « Le possible saint-Graal se cache dans la lumière infrarouge », poursuit Le Figaro.
Syndromes parkinsoniens
Vos patients ont lu
Source : Parkinson - neuroscoop avril 2015
« Nos claviers pourront-ils un jour dépister la maladie de Parkinson ? »
« Détecter les tout premiers signes d'un affaiblissement des fonctions motrices provoqué par la maladie de Parkinson à l'aide d'un simple clavier d'ordinateur : c'est l'ambitieux projet d'une équipe du prestigieux MIT », révèle Sciences et Avenir. « Voilà qui permettrait de rendre plus précoce le diagnostic et donc plus efficace la prise en charge. Et c'est bien ce sur quoi mise une équipe de chercheurs du prestigieux Massachusetts Institute of Technology (MIT) », note le magazine.
Syndromes parkinsoniens
Vos patients ont lu
Source : Parkinson - neuroscoop avril 2015
« Parkinson : un stylo vibrant pour aider les malades à écrire »
« A l'origine conçu pour sensibiliser le grand public aux difficultés rencontrées par les personnes atteintes de la maladie de Parkinson, un stylo vibrant élaboré par deux étudiants britanniques [du Royal College of Art et de l'Imperial College de Londres] s'est avéré bénéfique aux patients », annonce le magazine. « Nommé « stylo ARC », le prototype permettrait contre toute attente de corriger la micrographie : la tendance à écrire de plus en plus petit au cours du temps, un symptôme fréquemment observé chez les patients atteints de Parkinson. Selon les observations des étudiants, 86% des patients qui l'ont testé écrivent plus gros après avoir utilisé ce stylo », poursuit l’article.
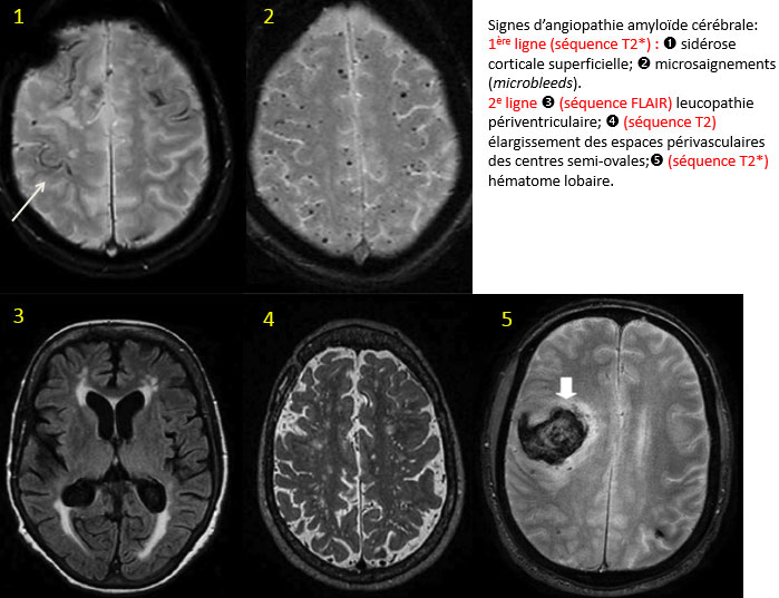
Un peu de neuf dans les angiopathies amyloïdes cérébrales
Démences et Syndromes apparentés
Article Commenté
Source : Neurology 2015 ; 84: 1206¡V12.
Un peu de neuf dans les angiopathies amyloïdes cérébrales
Dr Francois Sellal CMRR de Strasbourg-Colmar - Colmar
L'angiopathie amyloïde cérébrale (AAC) est une maladie touchant principalement les petites artères corticales et les artères lepto-méningées, due au dépôt de protéine Aβ dans leurs parois. Elle touche surtout les sujets âgés et peut se caractériser soit par des hémorragies lobaires majeures, soit par un déclin cognitif rapide avec événements neurologiques transitoires (souvent attribués à des microsaignements). Enfin, l'angiopathie amyloïde est présente, quoique relativement légère, dans la maladie d'Alzheimer.
Journée SNLF-GRECO, JNLF 2015 : les différentes facettes de la cognition sociale
Démences et Syndromes apparentés
Compte Rendu
Source : Neuroscoop.net - Démences avril 2015
Journée SNLF-GRECO, JNLF 2015 : les différentes facettes de la cognition sociale
Dr Catherine Thomas-Antérion Lyon
La cognition sociale regroupe 5 compétences cognitives et émotionnelles : la prise de décision, la compréhension des émotions, la Théorie de l’Esprit (TDE), le raisonnement social et l’empathie. Certains auteurs rajoutent l’humour et les aptitudes pragmatiques.
On comprend vu ce champ de compétences que le bilan ne peut comporter une seule épreuve et qu’il doit balayer un certain nombre d’action : comprendre, ressentir, se mettre à la place de l’autre, se décider, émettre des jugements moraux et conventionnels.
Les dégénérescences lobaires fronto-temporales (DLFT). Syndromes et critères cliniques, le point sur la question
Démences et Syndromes apparentés
Compte Rendu
Source : Neuroscoop.net - Démences avril 2015
Les dégénérescences lobaires fronto-temporales (DLFT). Syndromes et critères cliniques, le point sur la question
Dr Laurence Hugonot-Diener MEDFORMA - PARIS
Pour commencer la réunion GRECO/SNLF consacrée aux DLFT : Florence Pasquier remet à jour nos connaissances de ces pathologies plus rares que la MA en France.
Résumé :
  • Les DLFT sont une maladie de presenium (seulement 20 à 40% après 65 ans) durant en moyenne 5 à 10 ans, avec une réduction des activités, un mutisme.
  • Une préservation de l’orientation spatiale.
  • De possibles troubles de déglutition, syncopes.
  • Et une apathie majeure, une hypertonie.
Page 242 sur 719        Premier  Précédent  237  238  239  240  241  242  243  244  245  246  Suivant  Dernier
Newsletters