Envoi du mail en cours
 

Toutes les actualités scientifiques

Page 271 sur 719        Premier  Précédent  266  267  268  269  270  271  272  273  274  275  Suivant  Dernier
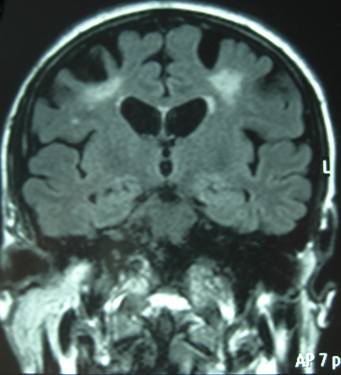
Le syndrome de Sneddon : savoir déshabiller les malades !
Démences et Syndromes apparentés
Cas Clinique
Le syndrome de Sneddon : savoir déshabiller les malades !
Dr Catherine Thomas-Antérion Lyon
Le terme de démence vasculaire désigne la combinaison de manifestations cliniques et neuro-pathologiques caractérisées par une démence associée à des lésions d’origine vasculaire.
Un homme, âgé de 63 ans, marié, ancien infirmier, aux antécédents d’HTA résistante, d’AIT (trouble phasique) sur passage en ACFA traitée par anticoagulants 4 ans plus tôt, d’épilepsie généralisée depuis un an traitée par Carbamazépine, de cécité de l’œil droit suite à un décollement de rétine et d’hypoacousie bilatérale, se plaignait d’un trouble phasique anciens et plus récemment de pseudovertiges.
L’entourage rapportait
Démences et Syndromes apparentés
Article Commenté
Source : Brain. 2014 ; 137(Pt 1):221-31.
Influence de la protéine amyloïde sur le déclin cognitif dans la maladie d'Alzheimer préclinique et clinique. Une étude in vivo, à l'aide de la TEP
Dr Francois Sellal CMRR de Strasbourg-Colmar - Colmar
Les auteurs ont voulu estimer la nature et surtout l'amplitude du déclin cognitif pouvant être associé à une forte charge amyloïde cérébrale chez des sujets âgés.
L'étude a porté sur 320 sujets âgés sains, 57 sujets présentant un MCI et 36 patients ayant une maladie d'Alzheimer (MA). Les sujets étudiés appartenaient à une cohorte suivie dans le cadre d'une étude australienne évaluant les biomarqueurs de la MA (ici le marquage de la protéine amyloïde à l'aide de la tomographie à émission de positons-TEP, en utilisant un des 3 marqueurs disponibles), la cognition et
Migraines et céphalées
Article Commenté
Source : AJNR Am J Neuroradiol. 2013 Nov 28. [Epub ahead of print]
Stenting veineux dans l’hypertension intracrânienne idiopathique : une évaluation économique
Dr Anne Donnet CHU Timone - Marseille
De nombreuses publications sont venues conforter l’intérêt du stenting veineux dans l’hypertension intracrânienne idiopathique (HII), même si sa hiérarchie dans la stratégie thérapeutique est toujours discutée.
Cette étude est la première évaluation du coût de cette technique versus la dérivation lombo-péritonéale, qui est le traitement chirurgical le plus classique. Il s’agit d’une étude rétrospective portant sur 86 patients stentés sur 12 ans pour une HII, comparés à 110 enfants dérivés sur une période de trois ans pour une hydrocéphalie.
Migraines et céphalées
Article Commenté
Source : Lancet. 2013 Nov 19. doi: 10.1016/S0140-6736(13)62302-8
Résultats de l'étude ARUBA
Dr Caroline Roos AP-HP Lariboisière - Paris
Cette étude internationale, débutée en 2007, a inclus 226 patients dans 39 centres répartis dans 9 pays. L'objectif était de confirmer la supériorité d'une prise en charge médicale, connaissant les risques liés au traitement interventionnel (neurochirurgie, endovasculaire ou radiothérapie), et le faible risque de saignement des MAV (estimé pour l'étude à 12%). Le critère d'évaluation principal était le décès toute cause confondue et l'AVC.
A l'inclusion, 49 à 54% des patients se plaignaient de céphalée, selon le groupe de randomisation, tandis qu'ils étaient 
Migraines et céphalées
Article Commenté
Source : Cephalalgia 2013 ; 33(16):1349–57.
Céphalée du sommeil
Dr Evelyne Guégan-Massardier CHU de Rouen - rouen
La céphalée du sommeil (Hypnic Headache) est une entité assez rare, décrite pour la première fois en 1988. Il s’agit d’une céphalée survenant exclusivement pendant le sommeil et obligeant le patient à se lever. Ses caractéristiques, décrites à partir de cas cliniques isolés ou de très petites séries, ont permis de l’intégrer dans la classification internationale des céphalées en 2004.
Cet article, publié en ligne fin 2013, est une revue exhaustive de la littérature de 1988 à nos jours. Les auteurs ont recensé tous les cas répondant aux critères de la version IHCD II de classification IHS, ainsi que 
Migraines et céphalées
Article Commenté
Source : Eur J Neurol. 2013 Jul 20. doi: 10.1111/ene.12240.
Migraine avec aura et infarctus cérébraux silencieux : pas d’implication du foramen ovale perméable
Dr Solène de Gaalon CHU Hôtel-Dieu - Saint Herblain
Les études épidémiologiques montrent un risque accru d’infarctus cérébral, dont des ischémies silencieuses chez les patients migraineux avec aura. Parallèlement, l’existence d’un foramen ovale perméable (FOP) serait plus fréquente chez les migraineux avec aura (MA), et peut être impliquée dans les infarctus cérébraux, notamment par le biais d’une embolie paradoxale.
Cette étude monocentrique s’est ainsi intéressée à la relation entre migraine avec aura, infarctus silencieux et FOP, à partir de l’analyse rétrospective des infarctus cryptogéniques survenus chez des sujets jeunes (16-55 ans).
Migraines et céphalées
Vos patients ont lu
Source : Céphalées online janvier 2014
« La toxine botulique est peut-être la solution à mes crises de migraine chronique »
Le magazine livre le témoignage de Jackie qui « depuis plus de vingt ans, […] souffre de migraines » et à qui son « médecin (…) a prescrit de l'aspirine et des anti-inflammatoires qui calment plus ou moins la douleur ». « Mais, au fil du temps, les crises durent de plus en plus longtemps, parfois plus de trois jours » et « après plusieurs années de souffrance, mon médecin me dit ne plus pouvoir rien faire pour moi et qu'il faut que j'apprenne à vivre avec cette douleur », note la patiente.
Migraines et céphalées
Vos patients ont lu
Source : Céphalées online janvier 2014
« Dix remèdes de grand-mère qui marchent vraiment »
Listant les « remèdes de grands-mères » efficaces, le magazine évoque la migraine et conseille d’« applique[r] de la glace ». Comment ? En « envelopp[ant] des glaçons dans un torchon et [en les] appliqu[ant] sur le front, les tempes et/ou la nuque dès l'apparition des premiers symptômes », recommande-t-il. Il explique qu’« en resserrant les vaisseaux du crâne, dilatés par la migraine, le froid va agir comme un anti-inflammatoire » et qu’il faut « compte[r] ensuite une quinzaine de minutes pour faire disparaître la douleur ».
Migraines et céphalées
Vos patients ont lu
Source : Céphalées online janvier 2014
Migraine de l’enfant : la thérapie serait une arme efficace
La journaliste Elena Bizzotto révèle qu’« afin de limiter l'abus d'antidouleurs, les chercheurs travaillent sur des voies non-médicamenteuses pour soigner la migraine chronique de l'enfant », et ajoute que « d'après une nouvelle étude, des séances de thérapie cognitivo-comportamentale limiteraient le nombre d'épisodes quotidiens de maux de tête ». Elle précise que selon l'Institut national de la santé (Inserm), « environ 5% [des enfants] souffriraient [de la migraine] et l'incidence de la maladie augmente après la puberté » et ajoute que « très douloureux, les épisodes migraineux
Migraines et céphalées
Vos patients ont lu
Source : Céphalées online janvier 2014
« Mélatonine, l’hormone du sommeil »
Le magazine se penche sur la mélatonine, « conseillée pour se remettre du décalage, [qui] peut aussi favoriser l’endormissement ». Il rappelle tout d’abord que « longtemps, la commercialisation de la mélatonine n'a pas été autorisée en France, mais [qu’] elle est aujourd'hui disponible en pharmacie, sans ordonnance ». Si « cette hormone est surtout conseillée aux insomniaques de plus de 55 ans et aux grands voyageurs, (…) elle possède aussi d'autres vertus »,
À l’abordage des vaisseaux !
Cas Clinique
À l’abordage des vaisseaux !
Dr Arnault Tauziède-Espariat AP-HP Lariboisière - Paris
Données cliniques :
  • Patient âgé de 61 ans adressé en juin 2013 pour infarctus cérébraux récidivants.
  • Histoire de la maladie :
            - 1er épisode (février 2012) : hémiparésie gauche révélant un infarctus du corps calleux à droite. Traitement par aspirine après un bilan étiologique négatif (ETT/ETO, Holter ECG des 24h, exploration des TSA, bilan immunologique, VIH, TPHA-VDRL).
            - 2nd épisode (septembre 2012) : récidive d’hémiparésie gauche, une nouvelle IRM montre des lésions récentes ischémiques dans différents territoires vasculaires. Traitement anticoagulant dans l’hypothèse d’une origine cardio-embolique.
Syndromes parkinsoniens
Vos patients ont lu
Source : Parkinson - neuroscoop décembre 2013
« L'acide hyaluronique répare les neurones »
Pleine Vie note en effet sous sa rubrique « recherche » : « On l'utilisait pour combler des rides ou lubrifier l'articulation du genou (gonarthrose). L'acide hyaluronique pourrait aider à la réparation des lésions cérébrales (AVC, Parkinson ou Alzheimer) ».
Page 271 sur 719        Premier  Précédent  266  267  268  269  270  271  272  273  274  275  Suivant  Dernier
Newsletters