Envoi du mail en cours
 

Toutes les actualités scientifiques

Page 431 sur 718        Premier  Précédent  426  427  428  429  430  431  432  433  434  435  Suivant  Dernier
Epilepsie
Article Commenté
Les recommandations d’experts existent la plupart du temps, encore faut-il les connaître et les suivre
Melle Cécile Sabourdy CHU de Grenoble - Grenoble
Message : La mise en pratique de recommandations d’experts concernant la prise en charge des enfants entre 6 mois et 5 ans présentant une crise fébrile, a permis de diminuer de manière significative le nombre d’hospitalisations et le nombre d’examens sanguins dans deux services d’urgence pédiatrique où était réalisée l’étude (à Padoue en Italie et Robert-Debré en France).
Contexte : Les crises fébriles représentent une des pathologies les plus fréquentes de l’enfant et sont définies comme des crises d’épilepsie survenant entre 6 mois et 5 ans, dans un contexte fébrile, sans élément pour une infection du système nerveux central,
Epilepsie
Cas Clinique
« Tonic paroxysmal upgaze » chez un nourrisson : penser au metoclopramide
Dr Laurent Vercueil CHU Grenoble - GRENOBLE
Une petite fille de 7 mois est admise aux urgences pédiatriques après injection intraveineuse à domicile de diazepam pour une suspicion de crise prolongée. Il s’agit d’un troisième enfant en bonne santé, dont les antécédents ante- et péri-nataux ne sont pas remarquables mais dont les deux parents ont présenté des crises épileptiques au cours de l’enfance. Ces antécédents familiaux sont à l’origine d’une angoisse manifeste.
Le contexte est celui d’une « gastro » avec vomissements et diarrhée, évoluant depuis
Migraines et céphalées
Article Commenté
Activités physiques et céphalées : il faut bouger !
Dr Christian Lucas CHRU - Lille
Les céphalées et particulièrement la maladie migraineuse retentissent sur la qualité de vie dans toutes ses composantes y compris l’activité physique. A contrario, l’effort physique peut être un facteur déclenchant de crises ou accentuer la symptomatologie d’une crise migraineuse. Cependant, on dispose de peu de données épidémiologiques robustes sur le niveau d’activités physiques et les céphalées.
C’est pourquoi les auteurs de l’étude HUNT, très vaste étude épidémiologique norvégienne portant
Migraines et céphalées
Article Commenté
Vérapamil dans l’algie vasculaire de la face : interactions médicamenteuses et mode d’action
Dr Anne Donnet CHU Timone - Marseille
Les anticalciques sont classiquement prescrits dans les affections cardio-vasculaires. Les doses « cardiologiques » sont très différentes (240-480 mg/j) des doses prescrites dans l’algie vasculaire de la face (240- 960 mg/j). Le mode d’action est classiquement celui d’un blocage des canaux calciques type L. Cependant, une action sur les autres types de canaux calciques, en particulier P/Q, est décrite. Ces différents modes d’action peuvent expliquer la sélectivité différente entre les différents anti-calciques. Il existe également une vraisemblable composante génétique expliquant
Migraines et céphalées
Article Commenté
Utilisation de la salle d’urgence par les patients présentant des céphalées sévères : une étude de population
Dr Dominique Valade Hôpital Lariboisière - Paris
Cette étude a été réalisée à partir de la base de données de l’American Migraine Prevalence and Prevention Study (AMPP). Un échantillon de 24 000 patients céphalalgiques, étiquetés comme sévères, représentatifs de la population américaine, fut sélectionné. On envoya des questionnaires par la poste comportant 60 questions sur les visites aux urgences au cours de l’année précédente, ainsi que sur les données démographiques et sur la maladie céphalalgique.
13 451 questionnaires sont utilisables pour l’analyse.
Migraines et céphalées
Article Commenté
PACAP-38 et crise de migraine
Dr Michel Lanteri-Minet CHU, Hôpital de Cimiez - Nice
Schytz et ses collaborateurs rapportent un travail dont l’objectif était d’évaluer la capacité à induire une céphalée chez les sujets sains et une crise migraineuse chez les migraineux de la PACAP-38, qui est un peptide vasodilatateur contenu dans les afférences trigéminées et les efférences parasympathiques. Ce travail, réalisé en deux études distinctes, a concerné 12 volontaires sains (n’alléguant aucune céphalée primaire) et 12 sujets souffrant d’une maladie migraineuse s’exprimant par des crises sans aura.
Ces sujets ont été évalués lors de deux séquences thérapeutiques intraveineuses administrées
Neuro-oncologie
Article Commenté
Les exosomes des glioblastomes contiennent des biomolécules favorisant le processus tumoral et des biomarqueurs potentiellement utilisables en pratique clinique
Dr Ahmed Idbaih Groupe hospitalier Pitié-Salpêtrière - Paris
Les glioblastomes sont les gliomes diffus les plus fréquents et les plus graves chez l’adulte. Malgré l’émergence de nouvelles stratégies thérapeutiques ayant permis des progrès significatifs, le pronostic des patients atteints de glioblastome reste sombre avec une survie globale médiane inférieure à 24 mois. Une meilleure compréhension de la tumorigénèse moléculaire et cellulaire de ce type tumoral est une étape indispensable pour concevoir de nouveaux traitements et identifier de nouveaux biomarqueurs qui permettront d’améliorer la prise en charge des patients atteint de glioblastome.
Dans cette étude, Skog et al. ont analysé les microvésicules (ou exosomes) libérées par
SEP et maladies apparentées
Article Commenté
Lien entre fatigue et altérations des réseaux frontal et pariétal
Dr Blandine GRASSIOT CHU caen - Caen
Chez les patients atteints de sclérose en plaques, la fatigue est un des symptômes les plus fréquemment rapportés. En général, elle est divisée en deux composantes : l’une physique et l’autre cognitive et s’évalue à l’aide d’une échelle subjective d’auto-évaluation.
Les études récentes en neuropsychologie ou en imagerie suggèrent que cette perception de fatigue serait le résultat d’un effort supplémentaire de la part des patients pour maintenir une activité cognitive ou physique normale ou bien le reflet de la désynchronisation des réseaux neuronaux liée aux lésions. On sait que
SEP et maladies apparentées/Imagerie
Article Commenté
Source : Dossier « Sclérose En Plaques : Focus sur 2008 »
Effet du sexe sur les paramètres d’imagerie dans la SEP
Dr Blandine GRASSIOT CHU caen - Caen
Au-delà des différences de prévalence de la SEP entre hommes et femmes (2/3 des patients sont des femmes), il existe des différences de sensibilité et d’évolution liées au genre, tant au niveau clinique qu’au niveau radiologique. Par exemple, la proportion d’hommes est plus importante dans la forme progressive primaire de la maladie. En revanche, les femmes seraient plus sujettes à développer des lésions hyperintenses en T2 que les hommes. Mais qu’en est-il des différences liées au sexe au niveau des paramètres d’imagerie non conventionnels, qui sont
SEP et maladies apparentées/Imagerie
Article Commenté
Source : Dossier « Sclérose En Plaques : Focus sur 2008 »
Apport de l’IRM 7 Tesla pour étudier l’accumulation en fer
Dr Blandine GRASSIOT CHU caen - Caen
Grâce aux études histologiques post mortem, on sait qu’il existe une accumulation cérébrale de fer dans les maladies neurodégénératives, telles qu’Alzheimer ou Parkinson, ainsi que dans les maladies plus inflammatoires comme la sclérose en plaques. Pour cette dernière pathologie, les études précisent que l’accumulation de fer se retrouve essentiellement au niveau des ganglions de la base et des lésions de SB, sans pouvoir déterminer si celle-ci est précoce et liée à d’autres mécanismes physiopathologiques ou si elle est secondaire à l’inflammation. Une méthode de mesure du fer in vivo permettrait alors
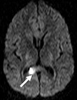
SEP pseudo vasculaire
SEP et maladies apparentées
Fiche Pratique
Source : Dossier « Sclérose En Plaques : Focus sur 2008 »
SEP pseudo vasculaire
Dr Françoise Héran Fondation Rothschild - Paris et Dr OLIVIER GOUT (Neurologue - fondation Rothschild - Paris)
Ce patient de 32 ans présente un malaise brutal, alors qu’il travaille sur son ordinateur. Il décrit une vision brouillée, puis une sensation de chaleur et tombe de sa chaise. Il ne perd pas conscience et est relevé par ses collègues après quelques minutes.
Il est emmené aux urgences. Une IRM est réalisée à la recherche en particulier d’une lésion vasculaire. Sur l’IRM, on met en évidence des hypersignaux FLAIR de la substance blanche périventriculaire et sous-corticale, dont l’aspect est évocateur de

Démences et Syndromes apparentés
Article Commenté
L’aphasie logopénique : une autre forme d’aphasie progressive primaire
Dr Francois Sellal CMRR de Strasbourg-Colmar - Colmar
Dès la description de l’aphasie progressive primaire (APP) par Mesulam en 1982, il est apparu que ce syndrome d’origine neurodégénérative était hétérogène. Classiquement, on propose un découpage binaire entre aphasie progressive non fluente et démence sémantique. Le terme d’aphasie logopénique a été plus récemment proposé pour désigner un tableau différent des deux premiers, dont les auteurs rapportent 6 cas ayant bénéficié d’un examen neuropsychologique et orthophonique détaillé, une analyse IRM volumétrique en VBM et SPECT avec projections en utilisant SPM2.
Page 431 sur 718        Premier  Précédent  426  427  428  429  430  431  432  433  434  435  Suivant  Dernier
Newsletters