Envoi du mail en cours
 

Toutes les actualités scientifiques

Page 450 sur 718        Premier  Précédent  445  446  447  448  449  450  451  452  453  454  Suivant  Dernier
SEP et maladies apparentées
Article Commenté
Et le natalizumab chez l’enfant ?
Dr Valérie Jaillon-Rivière CHU de Caen - caen
Dans le cadre des Scléroses en Plaques (SEP) pédiatriques, plusieurs études en ouvert ont montré l’efficacité et l’innocuité des traitements de fond conventionnels (interférons et acétate de glatiramère). Mais en cas de non réponse à ces traitements et/ou d’évolution initiale sévère, la question de l’indication du natalizumab se pose.
L’équipe de Rocca a publié le premier cas de SEP pédiatrique traité par natalizumab. Il s’agit d’une jeune fille souffrant depuis l’âge de 11 ans d’une SEP définie cliniquement (2 poussées en 6 mois). Malgré la mise sous IFNβ-1a,
Quand tout est anormal…
SEP et maladies apparentées/Imagerie
Fiche Pratique
Source : Dossier « Sclérose En Plaques : Focus sur 2008 »
Quand tout est anormal…
Dr Françoise Héran Fondation Rothschild - Paris et Dr OLIVIER GOUT (Neurologue - fondation Rothschild - Paris)
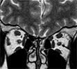
Cet homme de 53 ans se plaint de baisse visuelle bilatérale progressive.
L’examen ophtalmologique met en évidence un discret flou papillaire temporal gauche.

L’IRM encéphalique et orbitaire recherchant une anomalie des voies visuelles est réalisée. Elle met en évidence deux types d’anomalies. D’une part, il existe une atteinte bilatérale des nerfs optiques : atrophie droite, discret hypersignal T2 gauche (figure 1), prise de contraste globale après injection des deux nerfs optiques (figure 2), d’autre part une lésion de même type touchant la substance blanche postérieure, sur le trajet des voies visuelles droites (figure 3).

Neuro-oncologie
Article Commenté
Bevacizumab dans le traitement des gliomes malins
Pr François Ducray Hôpital Wertheimer - Lyon
Le traitement par irinotecan et bevacizumab est un protocole de chimiothérapie particulièrement prometteur dans les gliomes malins en rechute. Le taux de réponse observé est de l’ordre de 50 à 60% avec une survie sans progression médiane de 20 semaines dans les glioblastomes et 30 semaines dans les gliomes de grade III [1, 2]. Ce protocole est de plus en plus utilisé à la récidive, néanmoins de nombreuses questions subsistent concernant son efficacité et sa toxicité.
Dans un travail récent, Norden et al. ont rapporté leur expérience avec le bevacizumab chez 55 patients en rechute
Syndrome des Jambes Sans Repos (SJSR)
Article Commenté
Les neurones dopaminergiques diencéphalospinaux (région A11) de la souris ne possèdent pas d’autorécepteurs D2
M. Quentin Barraud Laboratoire - Bordeaux Imad Ghorayeb
Le système dopaminergique diencéphalospinal (A11) serait la principale source de dopamine médullaire. La projection de ces neurones, en majorité au niveau de la corne dorsale, aurait une action modulatrice plutôt inhibitrice sur les réflexes médullaires via des récepteurs de type D2 et D3. Un déficit de cette médiation dopaminergique serait impliqué dans l’étiologie du syndrome des jambes sans repos (SJR), pathologie ayant une plus grande prévalence chez les femmes.
Les auteurs ont eu pour objectif de comparer la concentration en dopamine ainsi que l’activité catabolique des neurones de l’aire A11 chez
Syndrome des Jambes Sans Repos (SJSR)
Article Commenté
Prévalence du syndrome des jambes sans repos chez les patients atteints de céphalées primaires
Dr Elias Karroum Hôpital Pitié-Salpêtrière, UF Pathologies du sommeil, pavillon Marguerite Bottard - Paris
Les céphalées primaires ont été associées à divers troubles du mouvement (prévalence élevée dans le tremblement essentiel, le syndrome de Gilles de la Tourette et la Chorée de Sydenham mais faible dans la maladie de Parkinson) et à des troubles du sommeil (insomnie, hypersomnie, syndrome d’apnées obstructives).
Ainsi, les céphalées matinales chez les sujets avec un syndrome des jambes sans repos (SJSR) sont 3 à 5 fois plus fréquentes que dans la population générale (Ulfberg et al., 2001a, b). Cependant, l’association entre céphalées primaires et SJSR a été peu étudiée.
Syndrome des Jambes Sans Repos (SJSR)
Article Commenté
Association du gène codant pour la protéine PTPRD (Récepteur delta de la Tyrosine phosphatase) avec le syndrome des jambes sans repos
Dr Yves Dauvilliers Hopital Gui de chauliac - Montpellier
Deux importantes études d’association génétique sur l’ensemble du génome dans le syndrome des jambes sans repos (SJR) ont pu récemment identifier des marqueurs de prédisposition : MEIS1, BTBD9 et un autre locus entre MAP2K5 et LBXCOR1. Toutefois, ces marqueurs génétiques ne sont pas localisés dans les 5 régions critiques révélées par les études d’analyse de liaison des formes familiales de SJR. Une de ces régions (appelée RLS-3) est localisée sur le chromosome 9p23-24.
L’objectif de ce travail a été de rechercher une association entre cette région (étendue sur 31 mégabases) en testant 3 270 marqueurs génétiques
Syndrome des Jambes Sans Repos (SJSR)
Article Commenté
Les gènes de susceptibilité du syndrome des jambes sans repos (SJSR) ne sont (pour le moment...) pas associés à la maladie de Parkinson
Pr Pierre Krystkowiak CHU d\'Amiens - Amiens
Bien que la physiopathologie du SJSR reste encore méconnue, de nombreux arguments (dont le rythme circadien ou l'amélioration par les médications dopaminergiques) indiquent un dysfonctionnement du système dopaminergiques.
La maladie de Parkinson idiopathique (MPI) est également en grande partie une maladie du système dopaminergique.
Dès lors, certains auteurs se sont attachés à essayer d'établir une relation entre SJSR et MPI et il est vrai que bien que la controverse subsiste, certaines études ont retrouvé
Syndrome des Jambes Sans Repos (SJSR)
Article Commenté
Dysesthésies vulvaires : un autre symptôme du syndrome des « jambes » sans repos ?
Pr Pierre Krystkowiak CHU d\'Amiens - Amiens
K. Ekbom, à qui l'on doit la première définition moderne du cadre nosologique dans lequel s'inscrit le syndrome des jambes sans repos (SJSR), stipulait que les pieds n'étaient pas affectés dans cette pathologie.
Par la suite, cette affirmation a été battue en brèche par plusieurs case reports de SJSR avec « pieds sans repos ». S'en est suivi la possible implication des hanches ou du tronc, de même que le « restless arms », pouvant soit inaugurer le SJSR, soit en émailler l'évolution, soit même évoluer de façon isolée.
Il a également été rapporté que les symptômes pouvaient même s'étendre à la face, toujours en conservant les caractéristiques classiques du SJSR :
Syndrome des Jambes Sans Repos (SJSR)
Article Commenté
Evaluation des troubles cognitifs dans le syndrome des jambes sans repos
Dr Yves Dauvilliers Hopital Gui de chauliac - Montpellier
Le syndrome des jambes sans repos (SJR) est une pathologie chronique et fréquente à l'origine d'une fragmentation du sommeil de nuit responsable d'une dette partielle de sommeil. La dette chronique de sommeil est classiquement associée à la dépression, l'anxiété, la douleur mais aussi les troubles de la cognition impliquant notamment les fonctions exécutives. Plusieurs études ont montré que les patients avec SJR présentaient plus fréquemment ces symptômes qu'en population générale. Toutefois, à ce jour, les performances cognitives des patients SJR en comparaison avec des sujets normaux privés de sommeil n'avaient été envisagées.
Syndrome des Jambes Sans Repos (SJSR)
Vos patients ont lu
« Somnolence au volant, soyez vigilant »
Télé Loisirs observe sur une page que « la somnolence au volant est le premier facteur d’accidents sur autoroute, avant la vitesse, et la cause de 15 à 20 % des pertes de contrôle du véhicule et collisions en Europe ».
Le magazine explique que « cette envie irrépressible de dormir au volant a des causes qu'il faut connaître (prises de médicaments, maladies) et des signes avant-coureurs dont il faut tenir compte ».
L’hebdomadaire livre ainsi les conseils du Dr Francois Marchand, spécialiste des pathologies du sommeil à l'hôpital de la Pitié-Salpêtrière et à l'hôpital Sainte-Anne, à Paris.
Epilepsie
Vos patients ont lu
« Retrouvez la forme… avec les sports d’été »
Prima remarque : « Jeux olympiques obligent, l’été sera sportif ! Et si vous en profitiez pour vous remettre au sport en douceur, seule ou en famille ? Pour le plus grand bien-être, physique et psychique, de tous », poursuit le magazine.
Le mensuel note en effet : « Bien dans sa tête, bien dans son corps et vice versa… tout est lié. Car il est désormais établi qu'une demi-heure quotidienne d'activité physique modérée permet de gagner jusqu'à 14 années d'espérance de vie ».
Epilepsie
Vos patients ont lu
« Un régime gras contre l’épilepsie »
Science et Vie remarque que le « régime hypergras » (« deux tiers de matières grasses pour un tiers de protéines et de sucres »), qui « soigne les épileptiques insensibles aux médicaments », a été étudié « rigoureusement », pour « la première fois » depuis qu’il a été élaboré, « il y a près de 100 ans ».
Le magazine note que « l’étude dirigée par Elizabeth Neal, à Londres, prouve que ça marche :
Page 450 sur 718        Premier  Précédent  445  446  447  448  449  450  451  452  453  454  Suivant  Dernier
Newsletters