Envoi du mail en cours
 

Toutes les actualités scientifiques

Page 636 sur 1734        Premier  Précédent  631  632  633  634  635  636  637  638  639  640  Suivant  Dernier
Quelles maladies sont traitées par anti-IL-1 en France ?
Biomédicaments
Article Commenté
Source : Orphanet J Rare Dis. 2015 ; 10:19.
Quelles maladies sont traitées par anti-IL-1 en France ?
Pr Eric Hachulla CHRU - Lille
Données d’un registre national.
Un appel à observation du Club Rhumatismes et Inflammations (CRI) a permis de rassembler 189 patients traités par anti-IL-1 issus de 38 centres. Au moment de l’introduction des anti-IL-1, 139 patients étaient adultes et 50 avaient un âge inférieur à 18 ans. L’âge moyen des enfants était de 8.3 +/- 4.9 ans. L’âge moyen des adultes était de 46.6 +/- 16.6 ans.
L’anakinra a été utilisé au moins une fois chez 185 patients. Le canakinumab a été utilisé chez 25 patients,
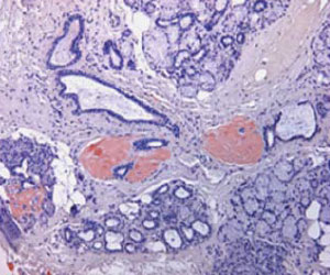
Biopsie de glandes salivaires accessoires et amylose
Autres rhumatismes
Article Commenté
Source : Am J Surg Pathol. 2015 ; 39(8):1035-44.
Biopsie de glandes salivaires accessoires et amylose
Pr Eric Hachulla CHRU - Lille
Quelle particularité en faveur de l’amylose à transthyrétine ?
La distinction histologique amylose AL et amylose à transthyrétine n’est pas toujours facile et le tableau clinique peut être trompeur. Jamet et coll. rapportent les données de 92 patients atteints d’amylose systémique ayant eu une biopsie de glandes salivaires accessoires (BGSA).
La nature AL de l’amylose était confirmée chez 55.4% d’entre eux, la nature transthyrétine avec mutation V30M était retrouvée dans 8.7% des cas, la nature transthyrétine avec mutation non V30M dans 10.9% des cas
Efficacité densitométrique de l’abaloparatide au cours de l’ostéoporose post-ménopausique
Ostéoporose/Autres - Rhumatologie
Compte Rendu
Source : Osteonews octobre 2015
Efficacité densitométrique de l’abaloparatide au cours de l’ostéoporose post-ménopausique
Pr Julien Paccou CHRU - Lille
L’abaloparatide (ABL) est un analogue de la PTHrP. L’étude ACTIVE est un essai de phase 3, en double aveugle avec 2.463 femmes ménopausées randomisées pour recevoir soit de l’ABL (80µg en SC/jour) soit un placebo (PBO) ou encore du tériparatide (TPT, 20µg en SC/j) en ouvert pour une durée totale de 18 mois.
L’étude a été menée à terme par 1.901 (78%) patientes. Une réduction de l’incidence des fractures vertébrales, des fractures non-vertébrales et des fractures cliniques a été retrouvée sous ABL versus PBO.
Données d’extension à 6 mois de l’étude ACTIVE : 18 mois d’abaloparatide suivis de 6 mois d’alendronate au cours de l’ostéoporose post-ménopausique
Ostéoporose/Autres - Rhumatologie
Compte Rendu
Source : Osteonews octobre 2015
Données d’extension à 6 mois de l’étude ACTIVE : 18 mois d’abaloparatide suivis de 6 mois d’alendronate au cours de l’ostéoporose post-ménopausique
Pr Julien Paccou CHRU - Lille
Les auteurs de cette étude ont souhaité évaluer le risque fracturaire à 24 mois chez des patients traités soit par abaloparatide (analogue de la PTHrP) soit par un placebo au cours d’une première séquence de 18 mois (étude ACTIVE) suivie d’une séquence de traitement par alendronate pendant 6 mois. 
L’étude ACTIVE est un essai de phase 3, en double aveugle avec 2.463 femmes ménopausées randomisées pour recevoir soit de l’ABL (80µg en SC/jour) soit un placebo (PBO) ou encore du
Odanacatib au cours de l’ostéoporose post-ménopausique (LOFT) : analyse en sous-groupe de son efficacité anti-fracturaire
Ostéoporose/Autres - Rhumatologie
Compte Rendu
Source : Osteonews octobre 2015
Odanacatib au cours de l’ostéoporose post-ménopausique (LOFT) : analyse en sous-groupe de son efficacité anti-fracturaire
Pr Julien Paccou CHRU - Lille
L’odanacatib est un inhibiteur sélectif de la cathepsine K. LOFT (Long-term Odanacatib Fracture Trial) est un essai randomisé de phase III, en double aveugle, odanacatib 50 mg per os/semaine vs placebo au cours de l’ostéoporose post-ménopausique.
Inclusion : femmes ≥ 65 ans, T score ≤ -2,5 (col fémoral ou hanche totale) OU antécédent de fracture vertébrale (FV) radiographique et T score ≤ -1,5.
Résultats principaux : FV morphométriques (réduction du risque relatif ou RRR de 54%), fractures de hanche (RRR de 47%) et fractures cliniques non-vertébrales (RRR de 23%).
La supplémentation en vitamine D au cours de la gestation a-t-elle un impact sur la masse osseuse du nouveau-né ?
Rhumatologie pédiatrique
Compte Rendu
Source : Osteonews octobre 2015
La supplémentation en vitamine D au cours de la gestation a-t-elle un impact sur la masse osseuse du nouveau-né ?
Pr Julien Paccou CHRU - Lille
Résultats d’une étude randomisée, en double aveugle et multicentrique (MAVIDOS).
Les auteurs de cette étude ont souhaité évaluer l’impact d’une supplémentation journalière en vitamine D (1000 UI/j) au cours de la gestation sur la masse osseuse du nouveau-né au cours d’une étude multicentrique au Royaume-Uni.
Les femmes enceintes ayant une insuffisance en 25 OH vitamine D (25-100 mmol/l) à 12 semaines de gestation ont été randomisées pour recevoir un placebo ou une supplémentation journalière en vitamine D. Dans les 2 semaines
Autres - Rhumatologie
Compte Rendu
Source : Osteonews octobre 2015
Traitement de l’insuffisance en vitamine D chez des femmes ménopausées : résultats d’un essai randomisé, en double aveugle et contre placebo
Pr Julien Paccou CHRU - Lille
Il persiste une controverse concernant le seuil optimal du taux de 25 OH vitamine D : 20 ng/ml ou 30 ng/ml ? Les auteurs de cette étude ont donc évalué les effets osseux d’une supplémentation en vitamine D chez des femmes ménopausées.
Cette étude comportait 3 groupes de femmes ménopausées (<75 ans, sans ostéoporose densitométrique et sans antécédents de fracture) avec des taux de 25 OH vitamine D initialement entre 14 et 27 ng/ml : groupe « haute dose » 50 000 UI tous les 15 jours, groupe « faible dose » 800 UI/j et groupe placebo.
Les critères d’évaluation
Une image osseuse symptomatique ?
Imagerie
Cas Clinique
Source : Osteonews octobre 2015
Une image osseuse symptomatique ?
Dr Jacques Fechtenbaum Hôpital Cochin - Paris
Monsieur P., 58 ans, présente une gonalgie mécanique droite.
Une IRM a été réalisée avant de vous l’adresser.
On vous demande votre avis sur les images osseuses et la modification de l’aspect de la médullaire.
Il a une gonalgie mécanique liée, sans doute, à la dégénérescence du compartiment fémoro-tibial interne.
Ostéoporose
Vos patients ont lu
Source : Osteonews octobre 2015
« ‘Ensemble contre les rhumatismes’ : la Journée Mondiale s'organise »
A l’occasion de la Journée Mondiale contre les Rhumatismes du 12 octobre, Top Santé fait savoir que « les rhumatismes chroniques concernent 24 % des européens [selon l'Eurobaromètre 2007] et représentent donc un véritable défi pour les chercheurs en biomédecine ». Cette journée de recherche et d'Information, intitulée "Ensemble contre les rhumatismes" permet « aux chercheurs, patients et rhumatologues [d’] échanger sur cette pathologie », explique l’article.
Ostéoporose
Vos patients ont lu
Source : Osteonews octobre 2015
« A 50 ou à 60 ans, les bons bilans pour une prévention efficace »
Le magazine fait le point sur les bilans et examens à effectuer pour une prévention efficace à partir de 50 ans. Concernant les indicateurs « Poids, Taille, Tour de taille et IMC », il recommande un bilan « 1 fois par an », « en prévention du surpoids, du diabète, des maladies cardiovasculaires, de l’arthrose et de l’ostéoporose ».
Il précise que l’« IMC (poids divisé par la taille au carré) indique une surcharge au-delà de 25, une obésité à partir de 30 ». « A partir de 50 ans
Ostéoporose
Vos patients ont lu
Source : Osteonews octobre 2015
« Ostéoporose : les hommes aussi »
Prima révèle qu’« environ 15% [des hommes] [sont] concernés » par l’ostéoporose. En cause, « la baisse de testostérone due à l’âge, au tabac, à l’alcool, mais aussi la maigreur ou certaines affections digestives ou endocriniennes [qui] vont affecter la structure osseuse ». « De plus, les hommes consomment peu de produits laitiers (les premiers pourvoyeurs de calcium) », souligne l’article.
Ostéoporose
Vos patients ont lu
Source : Osteonews octobre 2015
« Les maladies rénales à la loupe »
A l’occasion d’un dossier complet sur les maladies rénales, le magazine fait savoir que les reins assurent l’« activation de la vitamine D ». « La vitamine D devient active grâce au rein, qui permet d’absorber le calcium alimentaire par l’intestin et lutte donc contre l’ostéoporose. Grâce aux reins, chaque être humain maintient un équilibre global en eau, minéraux, ainsi qu'en molécules de sodium, potassium, chlore, bicarbonates, phosphates, etc », explique l’article.
Page 636 sur 1734        Premier  Précédent  631  632  633  634  635  636  637  638  639  640  Suivant  Dernier
Newsletters