Envoi du mail en cours
 

Toutes les actualités scientifiques

Page 672 sur 1734        Premier  Précédent  667  668  669  670  671  672  673  674  675  676  Suivant  Dernier
Traitement du rhumatisme psoriasique par golimumab : résultats à 5 ans de l’étude GO-REVEAL
Biomédicaments/Rhumatisme psoriasique
Article Commenté
Source : Ann Rheum Dis 2014 ; 73:1689-94
Traitement du rhumatisme psoriasique par golimumab : résultats à 5 ans de l’étude GO-REVEAL
Pr René-Marc Flipo CHU - Lille
L’étude GO-REVEAL correspond à l’étude dite pivot qui a démontré l’efficacité et la tolérance du golimumab à la dose de 50 mg/mois dans le rhumatisme psoriasique.
Il s’agit d’une étude de phase 3b, contrôlée, randomisée, réalisée en double aveugle et contre placebo sur une période de 24 semaines, puis avec extension en ouvert jusqu’à 5 ans.
A l’inclusion, il s’agit de patients naïfs de biomédicaments. Le rhumatisme psoriasique est actif avec au moins 3 articulations gonflées et douloureuses. Le traitement par MTX pouvait être associé. 405 patients
Spondylarthrite ankylosante : efficacité potentielle des anti-TNFalpha sur la progression radiographique – Résultats à 4 ans de l’étude GO-RAISE
Biomédicaments/Spondyloarthrite axiale
Article Commenté
Source : Ann Rheum Dis 2014 ; 73:1107-13.
Spondylarthrite ankylosante : efficacité potentielle des anti-TNFalpha sur la progression radiographique – Résultats à 4 ans de l’étude GO-RAISE
Pr René-Marc Flipo CHU - Lille
L’efficacité clinique des anti-TNFα dans la spondylarthrite ankylosante (SA) est aujourd’hui parfaitement documentée. Par contre, nous ne disposons pas de preuve formelle concernant l’efficacité potentielle de ces agents biologiques sur la progression structurale de la maladie.
L’étude GO-RAISE est une importante étude de phase 3, contrôlée, randomisée, réalisée en double aveugle et initialement contre placebo. Il s’agit de l’étude pivot ayant validé l’indication du golimumab (GOLI) dans le traitement de la SA.
A propos de l’observance des traitements biologiques anti-TNFalpha sous-cutanés dans la PR…
Biomédicaments/Polyarthrite rhumatoïde
Article Commenté
Source : Clin Ther 2014 ; 36:737-47
A propos de l’observance des traitements biologiques anti-TNFalpha sous-cutanés dans la PR…
Pr René-Marc Flipo CHU - Lille
On sait que l’observance des traitements médicamenteux dans les maladies chroniques est moyenne. Ceci est vérifié en particulier dans la PR qu’il s’agisse de traitements de fond synthétiques voire biologiques.
Nous ne disposons toutefois que de rares données concernant l’évaluation des biomédicaments sous-cutanés dans la PR, d’où l’intérêt de cette étude exploratoire reposant sur une base de données nord-américaine (Optum Insight Clinformatics database).
Biomédicaments/Polyarthrite rhumatoïde
Article Commenté
Source : Ann Rheum Dis 2015 ; 74:430-6
PR : et après un agent anti-TNFalpha ? Autre biomédicament anti-TNFalpha ou abatacept ? Résultats du registre CORRONA
Pr René-Marc Flipo CHU - Lille
Après échec d’un agent biologique anti-TNFα, les recommandations internationales et nationales proposent soit le passage à un autre anti-TNFα, soit un biomédicament de mécanisme d’action différent comme l’abatacept (ABA).
En l’absence d’étude contrôlée et face-face, il n’est pas inintéressant de rapporter les résultats d’études observationnelles comme ici celle du registre nord-américain CORRONA (COnsortium of Rheumatology Researchers of North America).
Survie des biomédicaments anti-TNFalpha dans la polyarthrite rhumatoïde : l’expérience du registre suédois ARTIS
Biomédicaments/Polyarthrite rhumatoïde/Autres - Rhumatologie
Article Commenté
Source : Ann Rheum Dis 2015 ; 74:354-60
Survie des biomédicaments anti-TNFalpha dans la polyarthrite rhumatoïde : l’expérience du registre suédois ARTIS
Pr René-Marc Flipo CHU - Lille
Les biomédicaments anti-TNFα sont utilisés dans le traitement de la PR depuis maintenant une quinzaine d’années. La survie de ces traitements peut illustrer de façon globale le rapport dit bénéfices/risques et ce en pratique quotidienne.
Quelques études ont souligné que la durée de traitement par etanercept (ETA) pouvait être plus importante que celle des anticorps monoclonaux avec à l’appui une explication au moins partielle par son absence d’immunogénicité.
Accidents thromboemboliques et PR : résultats de la cohorte de Taïwan
Epidémiologie/Polyarthrite rhumatoïde
Article Commenté
Source : Ann Rheum Dis 2014 ; 73:1774-80
Accidents thromboemboliques et PR : résultats de la cohorte de Taïwan
Pr René-Marc Flipo CHU - Lille
Quelques études ont mis en avant l’augmentation potentielle des accidents thromboemboliques chez les sujets ayant une PR ; maladie inflammatoire chronique qui n’est pas encore reconnue par nombre de spécialistes comme susceptible de constituer un facteur de risque thromboembolique.
C’est tout l’intérêt de cette étude de cohorte prospective reposant sur la base de données de l’Assurance Maladie Nationale de Taïwan (mise en place en 1995 et couvrant près de 24 millions d’assurés).
Anticorps anti-CarP et PR : résultats des cohortes EIRA et de Leiden
Critères de diagnostic/Polyarthrite rhumatoïde
Article Commenté
Source : Ann Rheum Dis 2014 ; 73:1761-8
Anticorps anti-CarP et PR : résultats des cohortes EIRA et de Leiden
Pr René-Marc Flipo CHU - Lille
Les auto-anticorps les plus caractéristiques de la PR sont aujourd’hui les facteurs rhumatoïdes et les ACPA ; anticorps fortement associés à certains facteurs génétiques dont le génotype HLA DRB1 (théorie de l’épitope partagé) et PTPN22. Plusieurs études ont démontré par ailleurs leur association significative avec l’intoxication tabagique (interaction dite « gène – environnement »).
Plus récemment, de nouveaux auto-anticorps ont été découverts et notamment les anticorps dirigés contre des protéines carbamylées : les anticorps anti-CarP.
Traitement des spondyloarthrites axiales par certolizumab pegol : résultats à 2 ans de l’étude RAPID-axSPA
Biomédicaments/Spondyloarthrite axiale/Autres - Rhumatologie
Article Commenté
Source : Arthritis Rheum 2015 ; 67:668-77
Traitement des spondyloarthrites axiales par certolizumab pegol : résultats à 2 ans de l’étude RAPID-axSPA
Pr René-Marc Flipo CHU - Lille
L’étude intitulée RAPID-axSPA constitue l’étude dite pivot qui a démontré notamment à la semaine 24 l’efficacité et la tolérance du certolizumab pegol (CZP) dans le traitement des spondyloarthrites axiales, radiographiques (RX) et non radiographiques (non RX).
Il s’agit d’une étude de phase III contrôlée, randomisée, réalisée en double aveugle et contre placebo sur une période de 24 semaines ; le critère principal étant la réponse ASAS20 à la semaine 12. Les patients ont été randomisés initialement en 3 bras : placebo, 200 mg CZP toutes les 2 semaines ou 400 mg CZP toutes les 4 semaines.
Biomédicaments/Polyarthrite rhumatoïde/Autres - Rhumatologie
Article Commenté
Source : Ann Rheum Dis 2014 ; 73:2217-9
Traitement de la PR par golimumab : quelques résultats sur sa potentielle immunogénicité
Pr René-Marc Flipo CHU - Lille
Le dosage sérique des agents biologiques anti-TNFα, selon la présence ou non d’anticorps antibiomédicaments (ADA) peut être d’une aide importante dans la compréhension de certains échecs et échappements thérapeutiques. Toutefois, nous ne disposons encore que de rares études provenant notamment d’études observationnelles.
Ce travail a été conduit à partir des équipes de rhumatologie d’Amsterdam et de Madrid. Il s’agit de patients ayant une PR et traités par golimumab à la dose de 50 mg en sous-cutané par mois. La réponse
Vascularites des gros vaisseaux : effets des traitements sur l’imagerie vasculaire
Vascularités(PPR/Horton/ANCA)
Article Commenté
Source : Curr Opin Rheumatol. 2015 ; 27(1):53-62.
Vascularites des gros vaisseaux : effets des traitements sur l’imagerie vasculaire
Pr Eric Hachulla CHRU - Lille
L’imagerie vasculaire est devenue un outil important pour le diagnostic et l’évaluation de l’activité des patients atteints de vascularites des gros vaisseaux. L’écho doppler artériel, l’angio MR, le scanner avec injection et le TEP-scanner sont autant d’outils performants pour l’exploration des vaisseaux de gros et moyens calibres.
Quand on utilise l’imagerie pour évaluer l’activité des vascularites des gros vaisseaux il est important de garder à l’esprit que les corticoïdes peuvent rapidement modifier les images.
L’Eculizumab : une nouvelle alternative thérapeutique pour le traitement des vascularites à ANCA ?
Vascularités(PPR/Horton/ANCA)
Article Commenté
Source : Curr Opin Rheumatol. 2015 ; 27(2):197-203.
L’Eculizumab : une nouvelle alternative thérapeutique pour le traitement des vascularites à ANCA ?
Pr Eric Hachulla CHRU - Lille
Le caractère pauci-immun des lésions observées au cours des vascularites à ANCA laissait penser initialement que le complément sérique intervenait peu dans la physiopathologie de ces vascularites.
Des études récentes ont montré qu’au contraire l’activation de la voie alterne du complément et le récepteur pour le C5a étaient nécessaires au développement de la glomérulonéphrite dans un modèle murin de vascularite.
Des expérimentations in vitro ont montré que des
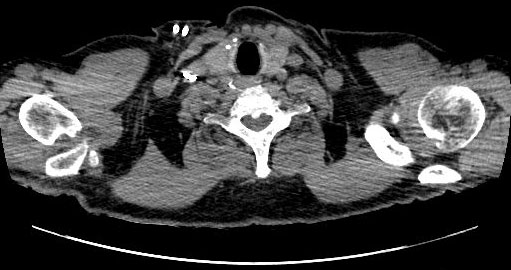
Une dorsalgie suraigüe
Imagerie
Cas a discuter
Source : ActuHebdo - Rhumato avril 2015
Une dorsalgie suraigüe
Dr Véra Lemaire Paris
Diagnostic et analyse des réponses
L'intensité de la douleur vertébrale évoquait principalement 3 diagnostics : une spondylodiscite infectieuse étant donné le terrain immuno-déprimé, une pathologie micro-cristalline fréquente chez le dialysé et en 3ème position, une fracture vertébrale qui était rapidement éliminée par l'imagerie.
La CRP et la NF normales étaient contre une infection, tous les prélèvements étaient stériles. Sur le scanner on croyait voir une image calcique sur le ligament vertébral postérieur.
Le dossier a été présenté au staff et sur le viewer de Lariboisière les images de calcification du ligament vertébral postérieur étaient beaucoup plus visibles,
Page 672 sur 1734        Premier  Précédent  667  668  669  670  671  672  673  674  675  676  Suivant  Dernier
Newsletters