Envoi du mail en cours
 

Toutes les actualités scientifiques

Page 864 sur 1733        Premier  Précédent  859  860  861  862  863  864  865  866  867  868  Suivant  Dernier
Polyarthrite rhumatoïde
Compte Rendu
Source : ACR 2012
Huile de poissons dans la PR : étude randomisée en double aveugle comparant faibles doses et doses élevées
Pr Elisabeth Gervais CHU La Miletrie - Poitiers
Le but de cette étude était donc de rechercher l’efficacité d’une haute dose d’huile de poisson versus faible dose chez les PR qui par ailleurs recevaient un protocole de combinaison de traitements de fond sur 3 ans.
Polyarthrite rhumatoïde
Compte Rendu
Source : ACR 2012
La combinaison injections intra-articulaires de corticoïdes et le traitement par infliximab est plus efficace que l’infliximab seul chez des patients en progression rapide avec une PR
Pr Elisabeth Gervais CHU La Miletrie - Poitiers
Il s’agit d’une étude randomisée contre placebo. L’objectif était de comparer la rémission et l’absence de progression radiographique chez les patients progresseurs rapides atteints de PR.
Polyarthrite rhumatoïde
Compte Rendu
Source : ACR 2012
Utilisation des anti-TNF en monothérapie des traitements non biologiques en combinaison aux biologiques dans une cohorte de PR aux Etats-Unis
Pr Elisabeth Gervais CHU La Miletrie - Poitiers
L’objectif était d’évaluer l’utilisation des anti-TNF en monothérapie dans la vraie vie et l’adhésion des traitements conventionnels chez les patients suivis pour une PR et qui reçoivent un traitement conventionnel en combinaison avec des anti-TNF.
Il s’agit d’une étude rétrospective. Les patients inclus étaient des patients âgés de plus de 18 ans qui étaient traités par anti-TNF. L’adhérence au traitement était évalués à partir des données issus des assurances santé.
Polyarthrite rhumatoïde
Compte Rendu
Source : ACR 2012
Stratégies d’utilisation des corticoïdes dans la PR : le changement durant les 10 dernières années à partir du registre NOR-DMARD
Pr Elisabeth Gervais CHU La Miletrie - Poitiers
L’objectif du travail était de connaître les tendances sur l’utilisation de la prednisolone chez les patients ayant une PR dans la dernière décennie.
Polyarthrite rhumatoïde
Compte Rendu
Source : ACR 2012
Le locus TRAF1/C5 associé avec une réponse aux anti-TNF chez les patients atteints de PR
Pr Elisabeth Gervais CHU La Miletrie - Poitiers
Certains variants alléliques sont associés à la PR. L’objectif du travail était de rechercher une association potentielle entre certains allèles de la PR et la réponse aux anti-TNF.
383 PR ont été incluses dans l’étude. Elles ont été évaluées initialement avant la mise en route de l’anti-TNF et à 6 mois. Plusieurs polymorphismes ont été recherchés dont le TRAF1/C5 mais aussi le PTPN22 et le PADI4 ainsi que l’HLA DRB-04.
Polyarthrite rhumatoïde
Compte Rendu
Source : ACR 2012
Facteurs de risque de progression radiographique chez 932 PR traitées par anti-TNF à partir du registre DANBIO
Pr Elisabeth Gervais CHU La Miletrie - Poitiers
Malgré le traitement par anti-TNF, quelques PR continuent à progresser sur le plan radiographique dans les études randomisées comme dans les études de cohorte. L’objectif de l’étude était de connaître les facteurs prédictifs de la progression radiographique dans une population suivie pendant 2 ans de PR traitées par anti-TNF. 
Les radiographies standard des mains et des poignets étaient réalisées initialement et 2 ans après le début des anti-TNF.
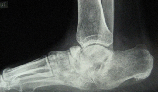
Cas clinique N°49
Imagerie
Cas a discuter
Cas clinique N°49
Dr Véra Lemaire Paris
Il s'agit d'une patiente née en 1961, originaire du Mali, vivant en France depuis 1980. Elle pèse 85kgs pour 1m68 et est suivie en consultation à l'hôpital Saint-Louis car elle est porteuse du VIH sans complication ni traitement ; elle a 601 CD4/mm3.
Elle est adressée pour douleur des 2 chevilles évoluant depuis 6 mois plutôt d'horaire inflammatoire sans fièvre ni altération de l'état général.
A l'examen clinique, il existe
Maladies systémiques (lupus, sclérodermie, Sjögren...)/Biomédicaments
Article Commenté
Source : Curr Opin Rheumatol. 2012 Sep;24(5):457-65
Traitement de la néphropathie lupique : médicaments actuels et futurs ?
Pr Eric Hachulla CHRU - Lille
Les corticoïdes, le cyclophosphamide (CYC), l’azathioprine et le mycophénolate mofétil sont les traitements de première ligne de la néphropathie lupique. L’hydroxychloroquine est maintenant donnée chez tous les patients lupiques avec ou sans néphropathie, aussi chez les femmes enceintes dans la mesure où les antipaludéens de synthèse réduisent le risque de poussées et ne sont pas toxiques pour le fœtus.
De fortes doses de CYC sont associées au risque d’insuffisance ovarienne, d’infections, à un risque d’augmentation de cancer. Le principal objectif actuel et futur 
Vascularités(PPR/Horton/ANCA)/Maladies systémiques (lupus, sclérodermie, Sjögren...)
Article Commenté
Source : Rheumatology (Oxford). 2012;51(10):1825-31.
Maladie de Behçet : intérêt de l’adalimumab
Pr Eric Hachulla CHRU - Lille
Entre novembre 2006 et février 2011, Perra et coll. ont traité 19 patients par adalimumab  issus de 2 centres espagnols atteints de maladie de Behçet. Les raisons de l’initiation de l’adalimumab étaient le caractère réfractaire de la maladie dans 17 cas (89,5%), la survenue d’effets indésirables liés aux corticoïdes ou à l’infliximab chez 2 patients (10,5%).
La principale indication clinique était l‘existence d’une panuvéite chez 8 patients, d’une aphtose bipolaire sévère chez 8 patients, une vascularite rétinienne chez 3 patients et une folliculite sévère chez 3 autres. Tous les patients avec atteinte ophtalmologique
Maladies systémiques (lupus, sclérodermie, Sjögren...)
Article Commenté
Source : Rheumatology (Oxford). 2012;51(10):1846-54.
HTAP associée aux connectivites : données de survie
Pr Eric Hachulla CHRU - Lille
L’HTAP est une complication rare des connectivites hormis de la sclérodermie où elle concerne environ 10% des patients. Shirai et coll. ont rassemblé à partir d’un seul centre à Tokyo 70 cas d’HTAP associée à une connectivite, vus entre 1970 et 1990 (n = 30, groupe contrôle) et entre 2000 et 2009 (n = 40, groupe récent).
En termes de survie, la différence est majeure puisqu’à 3 ans seuls 26% des patients du groupe historique étaient vivants contre 76% dans le groupe récent (p < 0,001) : 
Maladies systémiques (lupus, sclérodermie, Sjögren...)
Article Commenté
Source : Arthritis Rheum 2012 ;64 :2328-7
Le belimumab réduit l’activité biologique du lupus
Pr Eric Hachulla CHRU - Lille
Le belimumab est un anticorps monoclonal anti-BLyS. Il s’agit de la première biothérapie approuvée par la FDA et l’EMEA dans le lupus systémique. En rassemblant les données des 2 études de phase III (BLISS-52 et BLISS-76), Stohl et coll. ont étudié l’influence du belimumab sur le titre des anticorps anti-ADN, le complément, le taux d’IgG et certaines populations lymphocytaires.
Le belimumab apporte un bénéfice significatif comparativement au placebo sur la normalisation du taux d’IgG et des composants C3 et C4 du complément. 
Maladies systémiques (lupus, sclérodermie, Sjögren...)/Myopathie inflammatoire
Article Commenté
Source : J Rheumatol. 2012;39(9):1835-9
Syndrome des antisynthétases avec anti-J01 : l’atteinte pulmonaire est prédictrice de la réponse thérapeutique
Pr Eric Hachulla CHRU - Lille
Le syndrome des antisynthétases se caractérise par l’association polyarthrite et phénomène de Raynaud, mains de mécanicien, avec pneumopathie interstitielle et myosite. Parmi les anticorps antisynthétases, l’anti-J01 est le plus fréquemment retrouvé.
Stanciu et coll. en rapportent 48 cas. L’âge médian au diagnostic était de 43 ans, la médiane de suivi était de 5 ans. Au diagnostic, 81% des patients avaient des signes de myosite, 80% des signes de pneumopathie interstitielle diffuse, 77% des arthralgies et 6% des arthrites sévères, 48% un phénomène de Raynaud, 
Page 864 sur 1733        Premier  Précédent  859  860  861  862  863  864  865  866  867  868  Suivant  Dernier
Newsletters