Envoi du mail en cours
 

Toutes les actualités scientifiques

Page 911 sur 1733        Premier  Précédent  906  907  908  909  910  911  912  913  914  915  Suivant  Dernier
Spondyloarthrite axiale
Abstract
Source : Ann. Rheum. Dis. 2011;70 :1921-25
Augmentation de la mortalité dans la spondylarthrite ankylosante
Dr Véra Lemaire Paris
677 patients (511 hommes et 166 femmes) ayant une spondylarthrite ankylosante suivis depuis 1977, ont été appariés avec 3 sujets contrôles pour l’âge, le sexe et le lieu de résidence, ce qui a permis le calcul du taux standardisé de mortalité (TSM). 360 patients de cette cohorte ont été suivis prospectivement pour évaluer le devenir fonctionnel pendant 10 ans, ce qui a permis d’analyser les
Spondyloarthrite axiale
Abstract
Source : Ann. Rheum. Dis. 2011; 70 : 1930-36
Différence entre les spondylarthrites axiales de survenue récente B27+ ou B27-dans la cohorte DESIR
Dr Véra Lemaire Paris
Sur 708 patients ayant une douleur inflammatoire vertébrale définie par Calin ou les critères de Berlin, 654 (92,4%) remplissaient au moins un des critères de spondylarthrite axiale dans les différentes classifications. L’âge moyen était de 33,6 ans. L’activité de la maladie était élevée avec un BASDAI à 4,5, le score radiographique vertébrale de lésions structurales sSASSS
Autres maladies osseuses
Abstract
Source : Ann. Rheum. Dis. 2011 ; 70 : 1937-43
Impact de la chondrocalcinose du genou et de la hanche sur l’handicap du sujet âgé
Dr Véra Lemaire Paris
3 099 sujets âgés sont suivis pour analyser leurs maladies chroniques et leur handicap.1629 ont eu des radiographies et une chondrocalcinose éventuelle a été notée en même temps que la sévérité de l’arthrose de hanche et de genou était évaluée. Leur âge moyen était de 75 ans et il y avait 58% de femmes.
Biomédicaments/Polyarthrite rhumatoïde
Abstract
Source : Ann. Rheum. Dis 2011; 70: 1949-56
Efficacité de l’abatacept dans la polyarthrite rhumatoïde récente avec des facteurs de pronostic d’évolutivité
Dr Véra Lemaire Paris
Dans l’étude AGREE, 459 PR évoluant depuis moins de 2 ans ont été traités soit par l’association abatacept methotrexate soit par le methotrexate seulement. Durant la deuxième année les 433 patients ont reçu l’association abatacept-methotrexate. Les patients étaient âgés de 49,5 ans, il y avait 77% de femmes. La maladie
Pathologies tumorales
Abstract
Source : J. Clin. Oncol 2011; 29 : 3862-68
Traitement des bouffées de chaleur par la venlafaxine ou la clonidine
Dr Véra Lemaire Paris
Cent deux patientes qui avaient un antécédent de cancer du sein ont été incluses dans une étude contrôlée pendant 12 semaines du traitement des bouffées de chaleur par la venlafaxine (75mg/j), la clonidine (0,1mg/j) ou un placebo. Elles étaient toutes ménopausées et avaient au moins 2 bouffées de chaleur/jour. Leur âge moyen était de 49 ans. La moitié était traitée par le tamoxifène
Biomédicaments
Abstract
Source : J. Rheumatol.2011 ; 38 : 1871-4
Anomalies congénitales avec les anti-TNF
Dr Véra Lemaire Paris
Les anomalies congénitales groupées sous l’acronyme VACTERL associent des défauts vertébraux, une atrésie anale, cardiaque, trachéo-oesophagien, rénale et des déformations des membres. Les anti-TNF ont été incriminés dans sa survenu lorsque les grossesses étaient exposées. La fréquence de l’association VACTERL définie par au moins 3 malformations est estimée à 1,6-2,9 pour 10.000
Ostéoporose/Autres - Rhumatologie
Article Commenté
Évolution des marqueurs du remodelage à l’arrêt du traitement par risédronate (RIS)
Pr Sophie Roux Rhumatologie - Sherbrooke
La durée optimale des traitements par bisphosphonates est inconnue. Il serait important de déterminer la durée de l’efficacité thérapeutique à l’arrêt des traitements, pour gérer les traitements au long cours et les « vacances thérapeutiques ». Certaines données suggèrent que l’effet thérapeutique à l’arrêt des bisphosphnates dépend des propriétés physico-chimiques des molécules.
L’étude FLEX (FIT long term extension) a permis d’évaluer l’évolution de la DMO et des marqueurs du remodelage après l’arrêt de l’alendronate (ALN). Comparativement aux femmes qui avaient arrêté l’ALN
Ostéoporose
Article Commenté
FRAX sous-estime le risque fracturaire chez les diabétiques
Pr Sophie Roux Rhumatologie - Sherbrooke
Afin d’identifier les personnes à haut risque de fracture de hanche ou de fracture ostéoporotique majeure, l’outil FRAX a été développé, prenant en compte des facteurs de risque cliniques pour évaluer la probabilité de fracture à 10 ans : âge, sexe, IMC, fracture antérieure, corticothérapie, polyarthrite rhumatoïde ou autre cause d’OP secondaire, tabagisme, et alcoolisme.
La probabilité de fracture à 10 ans peut se calculer avec ou sans la DMO au col fémoral. L’identification d’autres facteurs de risque indépendants de la DMO pourrait améliorer l’estimation du risque fracturaire.
Autres - Rhumatologie
Article Commenté
Mutations du gène SERPINF1 et ostéogénèse imparfaite de type VI
Pr Sophie Roux Rhumatologie - Sherbrooke
L'ostéogénèse imparfaite (OI) est une ostéopathie génétique qui comporte une anomalie de la synthèse de la matrice osseuse associée à une masse osseuse basse, avec pour conséquence une fragilité osseuse, et des fractures dont la fréquence et la sévérité sont variables d'un sujet à l'autre et selon le type de la maladie.
90% des patients ayant un diagnostic d’OI ont une mutation du gène du collagène de type I, COL1A1 ou COL1A2, avec un profil génétique autosomique dominant. Ces mutations affectent la qualité, la quantité ou l’intégrité structurale du
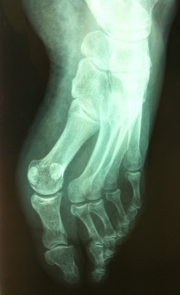
Une amélioration de l’imagerie
Imagerie/Autres maladies osseuses
Cas Clinique
Une amélioration de l’imagerie
Dr Jacques Fechtenbaum Hôpital Cochin - Paris
Mme H., née en 1943, sans antécédent particulier, a présenté une douleur de l’avant-pied gauche, apparue après une marche habituelle de quelques kilomètres. Elle présente un gonflement local et une douleur exquise à la palpation des 2ème et 3ème rayons.
Une radiographie est demandée (ci-dessous) et revient normale.
Biomédicaments/Polyarthrite rhumatoïde
Article Commenté
Source : ActuHebdo - Rhumato décembre 2011
Traitement de la PR par abatacept en sous-cutané : les résultats de l’étude ACQUIRE
Pr René-Marc Flipo CHU - Lille
Nous disposons aujourd’hui, dans le traitement de la PR, de différentes biothérapies et se pose la question des critères de choix de l’une ou l’autre. Parmi ces critères revient fréquemment le caractère ambulatoire ou non de leur administration.
L’abatacept (ABA), disponible depuis 2007, est administré par voie intraveineuse à la dose de ± 10 mg/kg toutes les 4 semaines. Ce traitement fait l’objet actuellement d’un important programme de développement pour une voie sous-cutanée.
L’étude intitulée ACQUIRE
Rhumatisme psoriasique/Epidémiologie
Article Commenté
Source : ActuHebdo - Rhumato décembre 2011
Quid du statut vitaminique D au cours du rhumatisme psoriasique ?
Pr René-Marc Flipo CHU - Lille
La vitamine D est synthétisée au niveau de la peau (cholecalciferol) sous l’action des UVB et ingérée (en faibles quantités…) sous forme d’ergocalciférol. L’hypovitaminose D est un sujet d’actualité à la lumière notamment de l’importance potentielle de ses effets immunologiques ; hypovitaminose D fréquemment retrouvée au cours des maladies auto-immunes. Mais qu’en est-il dans le rhumatisme psoriasique ?
Il s’agit d’une étude transversale, réalisée entre mars et août 2009, en comparant le statut vitaminique D de sujets ayant un rhumatisme psoriasique et vivant soit au « Nord » dans le centre canadien de Toronto, soit
Page 911 sur 1733        Premier  Précédent  906  907  908  909  910  911  912  913  914  915  Suivant  Dernier
Newsletters