Envoi du mail en cours
 

Toutes les actualités scientifiques

Page 912 sur 1733        Premier  Précédent  907  908  909  910  911  912  913  914  915  916  Suivant  Dernier
Polyarthrite rhumatoïde
Article Commenté
Source : ActuHebdo - Rhumato décembre 2011
Les AINS sont susceptibles de minimiser l’évaluation des synovites échographiques dans la PR !
Pr René-Marc Flipo CHU - Lille
Les anti-inflammatoires non stéroïdiens (AINS) restent très utilisés dans le traitement de la PR, n’ayant toutefois qu’une action reconnue de type symptomatique. L’échographie a démontré ces dernières années son intérêt potentiel dans l’évaluation des synovites rhumatoïdes. Mais quel est l’effet éventuel des AINS sur la détection échographique des synovites ?
Question pertinente analysée par les auteurs à la lumière de la fréquence de la prescription des AINS dans le cadre des rhumatismes inflammatoires débutants.
Polyarthrite rhumatoïde
Article Commenté
Source : ActuHebdo - Rhumato décembre 2011
Mais quelle est l’influence des facteurs météorologiques sur la douleur au cours de la PR ? Résultats d’une analyse systématique de la littérature et méta-analyse
Pr René-Marc Flipo CHU - Lille
Depuis des siècles, nombre de sujets souffrant d’arthrite ont mis en avant l’existence d’une possible association entre certains facteurs météorologiques et une exacerbation de leurs douleurs. La 1ère publication sur le sujet remonte à 1879 (Everett JT. Chicago Med J Exam 1879 ;38 :253 -60).
Plusieurs études ont été consacrées à ce sujet ; études particulièrement difficiles à conduire étant donné la multiplicité des variables météorologiques et l’intrication potentielle voire très probable de facteurs notamment psychologiques.
Ce travail récemment publié avait pour objectif principal
Maladies systémiques (lupus, sclérodermie, Sjögren...)
Article Commenté
Source : ActuHebdo - Rhumato décembre 2011
Belimumab et lupus systémique : résultats de la 2ème étude de phase III
Pr Eric Hachulla CHRU - Lille
Une 1ère étude de phase III a démontré l’intérêt du belimumab dans le traitement des poussées de lupus systémique (LES), hors atteinte rénale et neurologique grave. Cette étude BLISS 52 avait été faite en Asie, en Amérique du Sud et en Europe de l’Est.
Les résultats présentés ici sont ceux de l’étude BLISS 76 réalisée en Amérique du Nord et en Europe. Les patients étaient traités jusqu’à la semaine 52 avec une évaluation finale à la semaine 76 mais l’objectif principal était à la semaine 52.
Au total, 819 patients lupiques avec anticorps antinucléaires positifs ou
Vascularités(PPR/Horton/ANCA)/Maladies systémiques (lupus, sclérodermie, Sjögren...)
Article Commenté
Source : ActuHebdo - Rhumato décembre 2011
Interleukine 2 à faibles doses : un nouveau traitement des vascularites associées au virus de l’hépatite C ?
Pr Eric Hachulla CHRU - Lille
L’interleukine 2 a la capacité de stimuler les cellules lymphocytaires T in vitro. C’est une molécule utilisée pour booster le système immunitaire chez des patients atteints de cancer. C’est une molécule approuvée dans le cancer du rein notamment.
La particularité de l’interleukine 2 est qu’elle active la réponse aussi bien du lymphocyte T régulateur que des lymphocytes T effecteurs. A faibles doses, cependant, les lymphocytes T régulateurs semblent plus réactifs que les lymphocytes T effecteurs.
Saadoun et coll. rapportent les résultats d’un essai prospectif ouvert
Sclérodermie/Maladies systémiques (lupus, sclérodermie, Sjögren...)
Article Commenté
Source : ActuHebdo - Rhumato décembre 2011
Crise rénale sclérodermique : attention aux corticoïdes !
Pr Eric Hachulla CHRU - Lille
Guillevin et coll. rapportent les données rétrospectives de 91 cas de crise rénale sclérodermique comparés à 427 contrôles.
La sclérodermie (ScS) des formes avec crise rénale était diffuse dans 85,7% des cas, limitée dans 14,2% des cas, l’âge moyen au début de la crise était de 53 ± 15 ans. Le délai de survenue de la crise rénale par rapport au début de la ScS était en moyenne de 3,2 ± 8,1 ans.
70,3% des patients ayant fait une crise rénale sclérodermique étaient sous corticoïdes versus 36,5%
Maladies systémiques (lupus, sclérodermie, Sjögren...)
Article Commenté
Source : ActuHebdo - Rhumato décembre 2011
Néphropathie lupique : azathioprine ou mycophénolate pour maintenir la rémission ?
Pr Eric Hachulla CHRU - Lille
L’azathioprine (AZA) utilisée en relais du cyclophosphamide (CYC) a longtemps été considérée comme le schéma thérapeutique le plus adapté pour le traitement des néphropathies lupiques prolifératives de classe III, IV ou V avec prolifération.
Le mycophénolate mofétil (MMF) constitue une alternative dans le traitement d’attaque puisqu’il s’est avéré non inférieur au CYC pour la mise en rémission. La question se pose aujourd’hui du relai immunosuppresseur proposé aux patients après mise en rémission.
Polyarthrite rhumatoïde/Biomédicaments
Article Commenté
Source : ActuHebdo - Rhumato décembre 2011
Initiation des biothérapies dans la polyarthrite rhumatoïde : quelle évolution au cours de ces 3 dernières années ? L’expérience sud-californienne
Pr René-Marc Flipo CHU - Lille
Nous disposons aujourd’hui de 8 biomédicaments (infliximab (IFX) – adalimumab (ADA) – etanercept (ETA) – certolizumab pegol – rituximab – abatacept – tocilizumab et anakinra / et 9 aux USA avec le golimumab) susceptibles d’être prescrits dans le traitement de la PR. Mais quelle est l’évolution des prescriptions au cours de ces 3 dernières années ?
Nous ne disposons que de rares analyses conduites en « vraie vie », d’où la relative originalité de cette expérience sud-californienne ; travail qui repose sur l’étude des prescriptions de 231 rhumatologues
Polyarthrite rhumatoïde/Autres - Rhumatologie
Article Commenté
Source : ActuHebdo - Rhumato décembre 2011
Polyarthrite et obtention de la rémission en pratique courante : résultats du registre VARA et de la cohorte ARCK
Pr René-Marc Flipo CHU - Lille
En 2011, l’ACR et l’EULAR ont proposé de nouveaux critères de rémission ; critères destinés aux essais cliniques, les auteurs suggérant qu’en pratique quotidienne la définition pourrait s’affranchir de tout dosage biologique et reposer sur des données exclusivement cliniques.
C’est dans cette optique que les auteurs ont conduit une étude transversale analysant le taux de rémission en pratique quotidienne. Il s’agit de la cohorte VARA (Veterans Affairs Rheumatoid Arthritis registry) et la cohorte ARCK (Arthritis and Rheumatology Clinics of Kansas), soit respectivement
Polyarthrite rhumatoïde/Autres - Rhumatologie
Article Commenté
Source : ActuHebdo - Rhumato décembre 2011
Evaluation de la stratégie dite ciblée et obtention de la rémission dans la PR débutante: résultats de la cohorte DREAM
Pr René-Marc Flipo CHU - Lille
La rémission constitue aujourd’hui l’objectif thérapeutique principal de la PR débutante. Cet objectif a été mis en avant en 2010 dans les recommandations de l’initiative Treat to Target puis de l’EULAR. Pour autant, nous ne disposons que de rares données concernant l’obtention de la rémission dans la PR débutante prise en charge en pratique quotidienne.
C’est dans cette optique qu’a été mise en place la cohorte hollandaise DREAM (Dutch Rheumatoid Arthritis Monitoring remission induction). Cette cohorte a été mise en place à partir de janvier 2006. Elle a inclus
Epidémiologie/Rhumatismes microcristallins (goutte et chondrocalcinose)
Article Commenté
Source : ActuHebdo - Rhumato décembre 2011
Mais quelle est la prévalence aujourd’hui de la goutte aux USA ? Résultats du NHANES 2007 – 2008
Pr René-Marc Flipo CHU - Lille
La goutte connaît un regain d’intérêt certain depuis la découverte de l’inflammasome et des thérapeutiques inhibitrices de la voie de l’IL-1 et la mise récente sur le marché du febuxostat. La goutte serait le plus fréquent des rhumatismes inflammatoires, mais nous ne disposons que de rares études épidémiologiques récentes avec une incidence susceptible d’augmenter en raison en particulier de l’augmentation des facteurs de risque et comorbidités associées.
Cette publication concerne les résultats du NHANES 2007 – 2008 (National Health And Nutrition Examination Survey).
Polyarthrite rhumatoïde/Autres - Rhumatologie
Article Commenté
Source : ActuHebdo - Rhumato décembre 2011
Traitement de la polyarthrite rhumatoïde par corticothérapie : il n’y aurait d’augmentation du risque d’accidents vasculaires cérébraux…
Pr René-Marc Flipo CHU - Lille
On sait aujourd’hui qu’il existe une augmentation des affections cardiovasculaires et de la mortalité d’origine cardiovasculaire au cours de la PR. De nombreux facteurs interviennent et le rôle de la corticothérapie au long cours a été suggéré. Pour autant, nous ne disposons que de rares données concernant l’analyse spécifique du risque d’accidents vasculaires cérébraux (AVC) d’où l’intérêt de cette étude de cohorte canadienne.
Il s’agit de la cohorte de Colombie Britannique. Les patients ont été inclus entre janvier 1997 et décembre 2001.
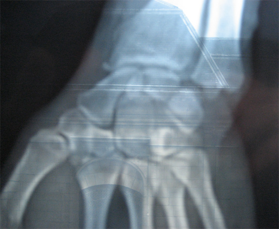
Cas clinique N°39
Imagerie
Cas a discuter
Cas clinique N°39
Dr Véra Lemaire Paris
Il s'agit d'un patient né en 1945 qui consulte en urgence pour une inflammation aiguë du poignet gauche. Il vit à cheval entre le Sénégal et la France. Il a comme antécédent principal la pose d'un stent en 2004 et un traitement par clopidogrel, atorvastatine ; il prend aussi du tamsulosine.
Sur le plan rhumatologique, il a été traité pour syndrome de Morton et aponévrosite plantaire.
A l'examen clinique, l'inflammation marquée par
Page 912 sur 1733        Premier  Précédent  907  908  909  910  911  912  913  914  915  916  Suivant  Dernier
Newsletters