X
Déclaration de liens d'intérêts
Cet auteur a déclaré n'avoir aucun lien d'intérét
Envoi du mail en cours
×
Fermer
Recommander à un confrère
Destinataires
Séparez les différentes adresses par une virgule.
Commentaire
Cher confrère, je pense que ceci devrait t'intéresser. Cordialement,
Les données collectées dans ce formulaire sont uniquement destinées à l'envoi de l'e-mail d'invitation et ne sont pas conservées.
Supportez notre indépendance éditoriale
Connexion / Inscription
Accueil
Actualités
Actus congrès
Actus médiathèques
Actus Scientifiques
Dossiers thématiques
Agenda des congrès
Article du jour Mediscoop
Interviews
Newsletter : Santé Femmes
Newsletter : Spéciale cancers sein métastatiques
Revue de presse Mediscoop
Synthèses
Pathologies
Cancer du sein
Contraception
Et si on parlait de lu...
Fertilité
Grossesse
Gynécologie
Ménopause
Nutrition
Ostéoporose
Pédiatrie
Sexualité
Vaccination
Services
A propos
Contact
Accueil
Actualités
Actus congrès
Actus médiathèques
Actus Scientifiques
Dossiers thématiques
Agenda des congrès
Article du jour Mediscoop
Interviews
Newsletter : Santé Femmes
Newsletter : Spéciale cancers sein métastatiques
Revue de presse Mediscoop
Synthèses
Pathologies
Cancer du sein
Contraception
Et si on parlait de lu...
Fertilité
Grossesse
Gynécologie
Ménopause
Nutrition
Ostéoporose
Pédiatrie
Sexualité
Vaccination
Services
A propos
Contact
Accéder à:
AlgoScoop
AllergoScoop
CanceroNet
Coeur
DermatoNet
DiabetoNet
GastroEnteroNet
GynecoNet
HematoNet
NephroFr
NeuroScoop
OrlScoop
PneumoScoop
RhumatoNet
Publicité
Toutes les actualités scientifiques
Page 178 sur 307
Premier
Précédent
173
174
175
176
177
178
179
180
181
182
Suivant
Dernier
Publicité
Grossesse
Vos patients ont lu
Source : Diabeto.net - Actu'Hebdo mars 2018
« Diabète gestationnel : des espaces diabète dans les pharmacies pour aider les mamans à le contrôler »
«
Un peu moins de 10% des femmes enceintes souffrent de diabète gestationnel. Un taux qui augmente au fil des années. Or, les futures mères ayant développé un diabète gestationnel ont 7 fois plus de risques de développer un diabète de type 2. Un suivi régulier est donc primordial
», alerte Santé Magazine. «
La plupart du temps, le diabète gestationnel disparaît à la naissance de l'enfant. Toutefois, 50%...
Cancer du sein
Vos patients ont lu
Source : Cancero.net - Bimensuelle mars 2018
« Cancer : un vaccin prometteur »
«
Testé, pour l'instant, sur des souris, ce vaccin [mis au point par des chercheurs de l'université de Stanford] donnerait de bons résultats sur plusieurs types de cancers. Un test clinique sur des humains devrait avoir lieu prochainement
», révèle Santé Magazine. «
L'étude a porté sur 90 souris souffrant d'un cancer du système lymphatique. Les chercheurs ont injecté, directement dans la tumeur, des...
Cancer du sein
Vos patients ont lu
Source : Cancero.net - Bimensuelle mars 2018
« Cancer : quels sont les aliments industriels qui favorisent le risque ? »
«
Parmi les produits industriels, les aliments "ultra-transformés" accroîtraient le risque de cancer. En cause, la qualité nutritionnelle plus faible, ou encore la présence d’additifs alimentaires
», rapporte Femme Actuelle. «
Les résultats [de cette nouvelle étude française menée par l’Inserm, l’Inra et l’Université Paris 13] publiés (…) dans la revue médicale britannique British Medical Journal reposent sur...
Cancer du sein
Vos patients ont lu
Source : Cancero.net - Bimensuelle mars 2018
« Plus de 1.700 cancers du sein attribuables au faible taux d'allaitement maternel »
«
En France, le taux d’allaitement maternel est l’un des plus bas d’Europe. Des chercheurs ont calculé le nombre de cancers du sein et de l’ovaire qui surviennent, et qui pourraient être évités, du fait de cette situation
», fait savoir Santé Magazine. «
L’OMS recommande aux femmes d’allaiter leur enfant pendant au moins six mois. En France, on est loin du compte puisqu’en 2015, seules 46% des femmes...
Cancer du sein
Vos patients ont lu
Source : Cancero.net - Bimensuelle mars 2018
« Erytech va tester sa molécule phare pour traiter une forme agressive du cancer du sein »
«
La société biopharmaceutique Erytech Pharma a annoncé (…) qu'elle allait tester l'intérêt de sa molécule phare dans le traitement d'une forme agressive du cancer du sein
», fait savoir Sciences et Avenir. «
Le groupe lyonnais entend recruter les premières patientes souffrant d'un cancer du sein triple négatif, dans le cadre d'une étude de phase II, au troisième trimestre
», poursuit le magazine. «
Cette nouvelle étape marque...
Cancer du sein
Article Commenté
Source : J Clin Oncol. 2018 Feb 22:JCO2017748301.
Le rôle pronostique des mutations PI3KCA dans les cancers du sein reste mystérieux
Pr Florence Dalenc
Institut Claudius Regaud - Toulouse
La voie PI3K/AKT est l'une des voies majeures intervenant dans l'oncogenèse mammaire. Le premier effecteur de cette voie est l'enzyme Phosphatidyl-inositol-3-kinase (PI3K). Les mutations du gène PIK3CA augmentant l'activité kinase de cette enzyme représentent les mutations les plus fréquentes dans les cancers du sein (CS). Dans 80% des cas, les mutations affectant PIK3CA sont...
Fertilité
Vos patients ont lu
Source : MBRinfo - Actualités mars 2018
« Le pollen de palmier est-il efficace pour traiter l'infertilité ? »
Science Post observe qu’«
aujourd’hui, les scientifiques considèrent que la moitié des problèmes d’infertilité ne sont pas irrémédiables et qu’il existe de nombreuses solutions naturelles pour y remédier ».
Le site d’informations fait savoir que «
le pollen de palmier constitue un de ces éléments incontournables. Issu de la famille des phytoestrogènes, il renferme une grande quantité d’hormone œstrone capable de...
Fertilité
Vos patients ont lu
Source : MBRinfo - Actualités mars 2018
« Vrai/Faux : 9 idées reçues sur l'infertilité »
Femme Actuelle observe que «
l'infertilité toucherait entre 10% et 15% des couples. Et même si les personnes concernées par des difficultés à concevoir sont de plus en plus nombreuses, cette problématique souffre encore d'idées reçues ».
Le magazine évoque «
9 idées reçues sur l’infertilité
», avec l’aide de Silvia Alvarez, gynécologue-obstétricienne spécialiste de la fertilité. Femme Actuelle note ainsi...
Fertilité
Vos patients ont lu
Source : MBRinfo - Actualités mars 2018
« Infertilité et cancer : premiers ovocytes cultivés en laboratoire »
La Dépêche rappelle que «
la préservation de la fertilité des femmes traitées pour un cancer est un enjeu important. A ce jour, deux techniques permettent de conserver le potentiel reproducteur de ces patientes : l'autogreffe de tissu ovarien congelé et la vitrification des ovocytes. Une équipe écossaise vient d’ouvrir la voie à une nouvelle option. Celle de la culture d’ovocytes en laboratoire »,
indique le journal...
Fertilité
Article Commenté
Source : Fertility Sterility 2018 ; 109:84-96.
Le « scratch » endométrial avant insémination intra-utérine : est-ce le moment de réévaluer son intérêt ? Quelle évidence apportée par une revue systématique et méta-analyse d'essais randomisés ?
Pr Jean-Noël Hugues
Hôpital Jean-Verdier - Bondy
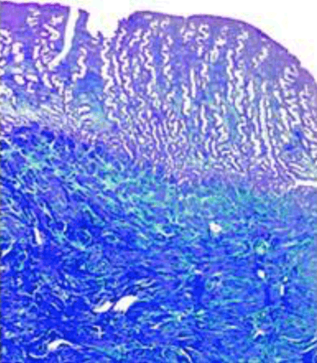
Un « scratch » endométrial peut-il avoir un intérêt avant la réalisation d’une insémination intra-utérine ? La réalisation d’insémination intra-utérine (IIU) est considérée comme la 1ère ligne thérapeutique de l’infertilité inexpliquée, masculine modérée, en présence d’endométriose modérée ou de facteurs psycho-sexuels du fait de son coût modéré, donc d’un accès facile, et sans impact psychologique...
Et si on parlait de lui
Article Commenté
Source : Fertil Steril. 2017 ; 108(6):988-992.
La durée d'abstinence sexuelle de l'homme avant la réalisation de l'AMP affecte-t-elle le taux de naissance vivante ? Etude rétrospective de 1030 cycles
Pr Clément Jimenez
CHU - Bordeaux
Quel délai d’abstinence faut-il préconiser pour la réalisation d’une FIV ou d’une ICSI ? L’analyse de sperme est un examen important dans l’évaluation du couple infertile. La durée d’abstinence peut influencer les paramètres spermatiques. Des durées d’abstinence courtes ou longues sont associées à des résultats qui pourraient être considérés comme anormaux. L’OMS préconise un délai...
Grossesse
Article Commenté
Source : Mol Hum Reprod. 2018 Jan 30. doi: 10.1093/molehr/gay002.
Ovocytes en métaphase II maturés in vitro à partir de follicules primaires
Pr Patricia Fauque
CHU - Dijon
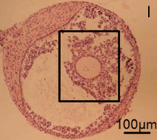
Le développement complet des ovocytes peut-il être réalisé in vitro à partir de tissu ovarien humain ? Le développement complet des ovocytes cultivés in vitro à partir de follicules primordiaux jusqu’à maturation finale (MIV) a déjà été réalisé chez la souris et a permis l’obtention de souriceaux vivants. Des ovocytes matures sur le plan méiotique ont également été obtenus à partir de...
Page 178 sur 307
Premier
Précédent
173
174
175
176
177
178
179
180
181
182
Suivant
Dernier
Publicité
Publicité
Actus congrès
27th Congress of the European Society of Gynaecological...
Bella Center Copenhagen - Copenhague, Danemark
26-28 février 2026
Toutes les actus congrès
Agenda des congrès
Accéder à l'agenda des congrès à venir
Dossiers thématiques
Prise en charge actuelle du cancer du sein RH+ : vers une...
Tous les dossiers
Autres actualités
Prise en charge des cancers de l'ovaire en 1ère ligne :...
Dr Anne-Claire Hardy (
Centre Armoricain d'Oncologie CARIO - Plérin
)
Dr Frédéric Selle (
GH Diaconesses Croix Saint-Simon - Paris
)
Pr Benoit You (
Hospices Civils - Lyon
)
Prise en charge du diabète gestationnel au Maghreb
par le Pr
Faika Ben Mami
(Tunis)
Toutes les interviews
Jour 3 : faisceau final sur les données...
par le Pr
Benoit You
(Hospices Civils - Lyon)
Toutes les synthèses
Newsletters
Osteonews
Publicité
×
Fermer