Envoi du mail en cours
 

Toutes les actualités scientifiques

Page 261 sur 307        Premier  Précédent  256  257  258  259  260  261  262  263  264  265  Suivant  Dernier
Ostéoporose
Article Commenté
Source : J Bone Miner Res. 2013 ; 28(11):2317-24.
Mortalité globale élevée dans les suites d’une fracture et d’une « refracture » chez des hommes et des femmes âgés issus de la cohorte prospective Dubbo
Pr Julien Paccou CHRU - Lille
Après la survenue d’une fracture ostéoporotique, il y a un risque accru de nouvelle fracture (« refracture ») et de mortalité prématurée. Ces données sont classiquement analysées séparément, et la mortalité prématurée à la suite d’une nouvelle fracture, n’a pas encore été bien étudiée. L’objectif de cette étude était de mieux comprendre le risque global de mortalité (fracture initiale + refracture).
Cette nouvelle étude a donc examiné l'incidence cumulative sur le long terme des fractures et la mortalité globale ainsi que la mortalité consécutive à une fracture initiale et à la suite d’une nouvelle fracture.
Article Commenté
Source : J Bone Miner Res. 2013 ; 28(11):2277-85.
Complications cardiovasculaires et rénales en cas d’hypoparathyroïdie post-chirurgicale : données issues d’une étude nationale danoise
Pr Julien Paccou CHRU - Lille
Le but de cette étude était d’identifier tous les patients avec hypoparathyroïdie postopératoire (HypoPT) et d’évaluer leurs risques de complications rénales (maladie rénale chronique et lithiase rénale), cardiovasculaires (cardiopathie ischémique et AVC) et neurologique (crise convulsive) par rapport à leur maladie et son traitement (supplémentation en calcium et vitamine D).
L’identification des patients a été réalisée par le biais du registre national danois et grâce à une base de données de prescription médicamenteuse. Pour chaque patient avec une HypoPT postopératoire due à 
Attention au freinage
Ostéoporose
Cas Clinique
Source : Osteonews décembre 2013
Attention au freinage
Dr Jacques Fechtenbaum Hôpital Cochin - Paris
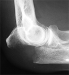
Mme A., 63 ans, est ostéoporotique avec des T scores du col fémoral, du col total et du rachis à -3,5 DS. Elle a présenté et été opérée d’une hyperparathyroïdie primitive pour un adénome hyper secrétant, il y 4 mois. Sa calcémie est désormais stabilisée sans supplémentation.
Elle s’est retenue à une rambarde lors d’un freinage un peu brusque de l’autobus. Elle a ressenti une vive douleur du coude et une impotence fonctionnelle de ce membre immédiate et complète.
Voici les radiographies faites aux urgences.
Ostéoporose
Article Commenté
Source : J Clin Endocrinol Metab. 2013 ; 98(12):4727-35.
Effets de l’odanacatib sur la densité minérale osseuse et les marqueurs du remodelage osseux chez des patientes préalablement traitées par l'alendronate
Pr Julien Paccou CHRU - Lille
L’odanacatib (ODN) est un inhibiteur sélectif de la cathepsine K mis au point pour traiter l'ostéoporose. De par son mécanisme d’action, le profil évolutif des marqueurs du remodelage osseux et l’évolution densitométrique sous ODN ne sont pas les mêmes que ceux observés sous bisphosphonates. Par ailleurs pour des raisons notamment économiques, les nouveaux traitements de l’ostéoporose seront pour certains des traitements de deuxième intention.
Les effets de l'ODN ont été évalués dans cette étude sur la densité minérale osseuse (DMO) et les marqueurs du 
Ostéoporose
Compte Rendu
Source : Osteonews novembre 2013
Le risédronate est-il efficace pour prévenir la perte osseuse chez des patientes ostéopéniques et ayant un cancer du sein sous anti-aromatases ?
Pr Julien Paccou CHRU - Lille
L’objectif de l’étude REBBeCA II (Risedronate’s Effect on Bone in women with Breast CAncer), essai randomisé contre placebo, était d’évaluer l’efficacité densitométrique à 2 ans du risédronate (35 mg/S) chez des femmes ostéopéniques > 55 ans (sans antécédents de fractures vertébrales ou de hanche) ayant un cancer du sein et mises sous anti-aromatases.
Chaque patiente bénéficiait par ailleurs d’une supplémentation vitamino-calcique (1200 mg/jour d’apports calciques au total et 800 UI/jour de vitamine D). Sur les 109 patientes, 77% étaient sous anastrozole,
Ostéoporose
Compte Rendu
Source : Osteonews novembre 2013
Quels sont les traitements impliqués dans la survenue des fractures : les inhibiteurs sélectifs de la recapture de la sérotonine ? Les inhibiteurs de la pompe à proton ? Les glucocorticoïdes ? Résultats d’une large cohorte internationale de femmes ménopausées (étude GLOW ou Global Longitudinal of Osteoporosis in Women)
Pr Julien Paccou CHRU - Lille
Les inhibiteurs sélectifs de la recapture de la sérotonine (ISRS), les inhibiteurs des pompes à proton (IPP) et les glucocorticoïdes (GCs) sont associés à une augmentation du risque fracturaire. L’objectif de cette étude était de déterminer au sein d’une large cohorte longitudinale de femmes ménopausées les traitements impliqués dans la survenue des fractures.
Il s’agissait de femmes ménopausées > 55 ans enrôlées dans 10 pays différents avec une auto-surveillance par le biais de questionnaires envoyés par courrier initialement, à 12, 24, 36 et 60 mois. De ce fait,
Ostéoporose
Compte Rendu
Source : Osteonews novembre 2013
Recommandations internationales concernant le diagnostic et la prise en charge des ostéonécroses de la mâchoire
Pr Julien Paccou CHRU - Lille
Ces recommandations internationales sont le fruit d’un groupe de travail constitué en 2012 ayant réalisé une revue de la littérature sur les ostéonécroses de la mâchoire (ONM). Les nouveautés sont essentiellement liées à l’utilisation du terme inhibiteurs de la résorption et non plus uniquement bisphosphonates (BPs) en raison d’ONM sous dénosumab. L’autre nouveauté concerne l’apparition d’un stade préclinique de la maladie sans mise à nu de l’os.
Concernant l’arrêt des inhibiteurs de la résorption en cas de geste dentaire invasif, on peut regretter l’absence de
Ostéoporose
Compte Rendu
Source : Osteonews novembre 2013
Evaluation de la prévalence des fractures vertébrales chez des patients de plus de 50 ans ayant présenté une fracture non vertébrale avant et après la mise en place de la réalisation systématique d’une imagerie rachidienne
Pr Julien Paccou CHRU - Lille
Cette étude a été réalisée en Hollande dans 3 services de liaison fracturaire (FLS ou Fracture Liaison Service) avant et après (2011) la diffusion de recommandations nationales indiquant la réalisation systématique d’une imagerie rachidienne dans l’évaluation de l’ostéoporose.
Cette étude a regroupé 1.400 patients (ayant présenté une fracture non vertébrale) avec 930 patients avant et 748 après la diffusion des recommandations (tableau).
Compte Rendu
Source : Osteonews novembre 2013
Incidence et facteurs de risque des fractures chez les patients lupiques
Pr Julien Paccou CHRU - Lille
Dans cette étude de cohorte réalisée à partir des données médicales obtenues pour 10 millions de personnes en Grande-Bretagne, les patients lupiques (n=4343) ont été appariés pour l’âge et le sexe à 6 sujets contrôles (n=21780) afin de déterminer l’éventuelle augmentation du risque de fracture clinique et les facteurs de risque associés.
L’âge moyen était de 46,7 ans (89% de femmes) avec une durée moyenne du suivi de 6,4 ans pour les patients lupiques et de 6,6 ans pour les contrôles. Après ajustement sur les facteurs confondants, les sujets lupiques
Ostéoporose
Compte Rendu
Source : Osteonews novembre 2013
Méta-analyse concernant les agonistes des récepteurs bêta adrénergiques et le risque fracturaire
Pr Julien Paccou CHRU - Lille
L’objectif de cette méta-analyse était de déterminer si la prescription des agonistes des récepteurs β adrénergiques (bBs) était associée avec une réduction du risque fracturaire.
Un total de 16 études (7 études de cohorte et 9 études cas-contrôle) avec 1 644 570 patients a été individualisé. Le risque fracturaire (toutes fractures confondues) était diminué de 14% chez les sujets sous bBs comparativement aux contrôles (taille de l’effet de 0,86, 95% IC: 0,78 – 0,93) en prenant en considération l’ensemble des études.
Les résultats étaient superposables en ne sélectionnant que
Alternatives peu irradiantes
Ostéoporose
Cas Clinique
Source : Osteonews novembre 2013
Alternatives peu irradiantes
Dr Jacques Fechtenbaum Hôpital Cochin - Paris
L’importance de la détection d’une fracture vertébrale (FV) est établie, que ce soit pour le diagnostic de l’ostéoporose, l’évaluation de la gravité de l’atteinte et du pronostic, ainsi que pour l’attitude thérapeutique.
La radiographie standard reste l’examen de référence. Il existe désormais des alternatives à la radiographie standard, pour la recherche de fracture vertébrale, beaucoup  moins irradiantes.
Lors de la réalisation de la mesure de la densité minérale osseuse par DXA, il est possible de réaliser des images 
Grossesse
Article Commenté
Source : New Engl J Med 2013;369(14):1295-1305.
Accouchement des grossesses gémellaires : la césarienne programmée est-elle justifiée ?
Pr Xavier Carcopino Marseille - Marseille
Est-il licite de proposer une césarienne programmée en cas de grossesse gémellaire d’évolution normale dont le premier jumeau est en présentation céphalique ? C’est à cette question largement débattue qu’un essai prospectif randomisé multicentrique récemment publié dans le New England Journal of Medicine tente de répondre.
Entre 2003 et 2011, 2.804 femmes ayant une grossesse gémellaire entre 32 et 38 SA et 6 jours avec le premier jumeau en présentation céphalique et les deux fœtus vivants avec un poids fœtal estimé en échographie entre  
Page 261 sur 307        Premier  Précédent  256  257  258  259  260  261  262  263  264  265  Suivant  Dernier
Newsletters