Envoi du mail en cours
 

Toutes les actualités scientifiques

Page 269 sur 306        Premier  Précédent  264  265  266  267  268  269  270  271  272  273  Suivant  Dernier
Ménopause
Article Commenté
Efficacité anti-fracturaire de l’alendronate selon le risque à 10 ans estimé par FRAX
Pr Sophie Roux Rhumatologie - Sherbrooke
Le but de cette étude était de déterminer si l’efficacité anti-fracturaire de l’alendronate (ALN) était dépendante du score FRAX initial, outil permettant d’évaluer le risque absolu de fracture à 10 ans.

Étude
Pour ce faire, les auteurs ont utilisé les données des études FIT (Fracture Intervention Trial), en combinant les 2 études avec fracture vertébrale initiale (n=2027) et sans (n=4432), dans lesquelles les femmes ont reçu ALN ou placebo pour une durée de 3 et 4 ans respectivement.
Les critères d’inclusion de FIT
Au-dessus de T4
Et si on parlait de lui
Cas Clinique
Au-dessus de T4
Dr Jacques Fechtenbaum Hôpital Cochin - Paris
Mr D. est né le 24 mars 1934. Il est suivi et traité pour un cancer des intestins et des métastases pulmonaires. Il vient vous consulter pour des cervicalgies hautes avec ébauche de névralgie d’Arnold.
Ces douleurs sont d’horaire inflammatoire. Vous évoquez le diagnostic de métastases osseuses et vous demandez d’emblée une IRM du rachis cervical.
L’IRM confirme le diagnostic de métastases ostéolytiques de C2 avec un hypersignal T2 rehaussé après
Grossesse
Article Commenté
Traitement préventif de l’accouchement prématuré des patientes asymptomatiques ayant un col raccourci par progestérone vaginale : une politique de dépistage systématique de la prématurité est maintenant envisageable
Pr Xavier Carcopino Marseille - Marseille
Au cours des cinq dernières années, plusieurs larges essais prospectifs randomisés ont montré un bénéfice du traitement préventif de l’accouchement prématuré par progestérone vaginale (1-5). La première publication importante et récente sur le sujet est l’essai prospectif randomisé publié en 2007 par Fonseca et al. dans le New England Journal of Medicine (1).
Ce travail montrait que l’utilisation de la progestérone vaginale chez des patientes ayant une longueur cervicale de moins de 15 mm permettait de réduire significativement le risque de naissance prématurée avant 34 SA (19,2% vs. 34,4% ; RR : 0,56 ; IC à 95% : 0,36-0,86), mais sans réduire significativement la morbidité néonatale.
Plus récemment, Hassan et al.
Ostéoporose
Article Commenté
Odanacatib : évaluation à long terme sur la DMO et le remodelage osseux chez le singe ovariectomisé
Pr Sophie Roux Rhumatologie - Sherbrooke
L’odanacatib (ODN) est un puissant inhibiteur de la cathepsine K, d’action réversible, en cours de développement dans l’ostéoporose. Les auteurs ont comparé les effets de l’ODN sur le turnover osseux, la DMO et la résistance osseuse lombaire et fémorale, de même que sur l’histologie de biopsies transiliaques, de vertèbres et de l’extrémité supérieure du fémur provenant de singes Rhésus ovariectomisés (Ovx) après 21 mois de traitement préventif.
Les singes ont été randomisés en post-ovx en 3 groupes (n=10 par groupe) : véhicule, ODN 6 mg/kg/j ou 30 mg/kg/j ;
Ménopause/Ostéoporose
Article Commenté
Denosumab : effet anti-fracturaire - Résultats à 5 ans (FREEDOM)
Pr Sophie Roux Rhumatologie - Sherbrooke
L’inhibiteur de RANKL actuellement développé pour inhiber la résorption osseuse est un anticorps humain anti-RANKL, Denosumab (Dmab), récemment approuvé dans le traitement de l’ostéoporose post-ménopausique.
Dans l’étude de référence FREEDOM, 7 868 femmes ménopausées et ostéoporotiques, d’âge moyen 72 ans et dont 24% avaient des fractures vertébrales à l’inclusion, ont reçu Dmab 60 mg tous les 6 mois s.c. ou un placebo pendant 3 ans. À 3 ans, le Dmab diminuait de manière significative l’incidence des
Ostéoporose
Article Commenté
Dépistage des fractures vertébrales : effet sur la prise en charge de l’ostéoporose (Cohorte COSHIBA)
Pr Sophie Roux Rhumatologie - Sherbrooke
Les fractures vertébrales ostéoporotiques sont fréquentes chez les femmes âgées (12%), et sont associées à une augmentation du risque de fracture ultérieure, et à un excès de morbidité et de mortalité. Même si plusieurs traitements sont efficaces pour réduire le risque fracturaire, un traitement anti-ostéoporotique n’est débuté que dans moins de 30% des cas.
Le but de cette étude était d’évaluer l’impact d’un programme de dépistage des fractures vertébrales chez les femmes ménopausées sur la prise en charge thérapeutique de l’ostéoporose. Quinze centres de médecine générale de la région de Bristol (UK) y ont participé.
Une succession de malchance
Ménopause
Cas Clinique
Une succession de malchance
Dr Jacques Fechtenbaum Hôpital Cochin - Paris
Mme S. née en 1941 a présenté en 1995 une grippe puis une gastro-entérite. Devant l’importance des diarrhées et l’apparition de saignement digestif, une hospitalisation est requise.
Lors de cette hospitalisation, un traitement symptomatique est réalisé, les explorations digestives ne retrouvent pas de lésion particulière et le diagnostic de virose est posé. Malheureusement, lors de l’hospitalisation, Mme S. contracte une infection nosocomiale à staphylocoque avec rapidement septicémie.
Un traitement est rapidement entrepris mais des douleurs lombo-radiculalgiques sévères font réaliser
Grossesse
Article Commenté
Faut-il dépister l’hypothyroïdie maternelle en début de grossesse chez une patiente n’ayant aucun antécédent de dysthyroïdie ?
Pr Xavier Carcopino Marseille - Marseille
De manière générale, la mise en œuvre d’un dépistage est justifiée pour une pathologie fréquente et grave, pour laquelle il existe un test de dépistage efficace, acceptable, simple et peu coûteux. Enfin, ce dépistage ne sera réellement justifié que s’il existe un traitement efficace à proposer aux patients pour lesquels la maladie dépistée a été diagnostiquée.
Par sa fréquence et l’existence de tests diagnostiques simples et efficaces, il est légitime de se poser la question de l’intérêt du dépistage de l’hypothyroïdie maternelle en début de grossesse. Si cette pathologie n’est pas un enjeu de santé publique
Ostéoporose
Article Commenté
Valeur prédictive des fractures pour le risque de fracture : effet du nombre et du site des fractures de fragilité (étude GLOW)
Pr Sophie Roux Rhumatologie - Sherbrooke
Un antécédent de fracture (Fx) est un facteur prédictif important pour le risque de Fx ultérieure. Toutes les études s’accordent pour la valeur prédictive d’une Fx vertébrale, d’une Fx de hanche ou du poignet, mais la valeur prédictive des Fx à d’autres sites est moins claire.
Cette relation a été évaluée dans l’étude rapportée, qui vise à étudier la relation entre une Fx antérieure et le risque de nouvelle Fx, selon le site et le nombre de ces Fx.

Étude
L’étude GLOW (Global Longitudinal study of Osteoporosis in Women) est une étude de population,
Ménopause/Ostéoporose
Article Commenté
Zolédronate dans l’ostéoporose post-ménopausique : 3 ans versus 6 ans
Pr Sophie Roux Rhumatologie - Sherbrooke
L’étude HORIZON est l’étude pivot (phase III) de l’acide zolédronique (ZOL) qui a permis de démontrer son effet anti-fracturaire dans l’ostéoporose post-ménopausique (une perfusion annuelle 5 mg i.v. pendant 3 ans).

Étude
Une extension de 3 ans de l’étude HORIZON-PFT a été menée, multicentrique, internationale, double-aveugle, contrôlée contre placebo, et les résultats à 6 ans sont présentés. 1 233 femmes ayant reçu ZOL pendant les 3 ans de l’étude initiale ont été randomisées pour recevoir ZOL pendant 3 années supplémentaires
Ostéoporose
Article Commenté
Ostéoporose : quelle durée pour les traitements par bisphosphonates?
Pr Sophie Roux Rhumatologie - Sherbrooke
Pour la majorité des traitements utilisés dans l’ostéoporose, la durée des essais cliniques est de 3 ans, période pendant laquelle les résultats obtenus ont été validés. Toutefois, de nombreux patients restent à risque élevé de fracture après ces délais, la question sur l’efficacité et la sécurité d’emploi se pose alors pour des traitements plus prolongés.
Du fait des caractéristiques pharmaco-cinétiques des bisphosphonates (BPs), et en particulier de leur rétention prolongée dans l’os, il est possible que l’effet bénéfique anti-fracturaire persiste au-delà de l’arrêt de ces traitements. Par ailleurs,
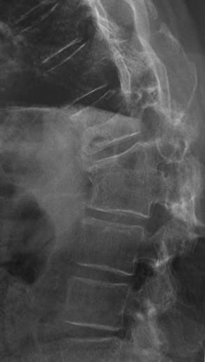
Une triste agression
Et si on parlait de lui/Ostéoporose
Cas Clinique
Une triste agression
Dr Jacques Fechtenbaum Hôpital Cochin - Paris
Vous suivez un homme né en 1946 mesurant 1,92 m et pesant 87 kg ; ancien professeur d’éducation physique.
Il présente une ostéoporose sévère avec une perte de taille de 6 cm (il mesurait 1,98 m à 20 ans), un T score du rachis à – 3,5 DS et du total col à – 3 DS il y a 3 ans. Il présentait également une fracture de T12 de grade 3 de Génant depuis cette date. Tout le bilan était normal et vous avez débuté un traitement par bisphosphonate.
Il vient récemment vous consulter car il a été agressé devant son immeuble et il a été propulsé au sol. Il a ressenti des rachialgies intenses et
Page 269 sur 306        Premier  Précédent  264  265  266  267  268  269  270  271  272  273  Suivant  Dernier
Newsletters