Envoi du mail en cours
 

Toutes les actualités scientifiques

Page 270 sur 307        Premier  Précédent  265  266  267  268  269  270  271  272  273  274  Suivant  Dernier
Ostéoporose
Article Commenté
Ostéoporose : quelle durée pour les traitements par bisphosphonates?
Pr Sophie Roux Rhumatologie - Sherbrooke
Pour la majorité des traitements utilisés dans l’ostéoporose, la durée des essais cliniques est de 3 ans, période pendant laquelle les résultats obtenus ont été validés. Toutefois, de nombreux patients restent à risque élevé de fracture après ces délais, la question sur l’efficacité et la sécurité d’emploi se pose alors pour des traitements plus prolongés.
Du fait des caractéristiques pharmaco-cinétiques des bisphosphonates (BPs), et en particulier de leur rétention prolongée dans l’os, il est possible que l’effet bénéfique anti-fracturaire persiste au-delà de l’arrêt de ces traitements. Par ailleurs,
Une triste agression
Et si on parlait de lui/Ostéoporose
Cas Clinique
Une triste agression
Dr Jacques Fechtenbaum Hôpital Cochin - Paris
Vous suivez un homme né en 1946 mesurant 1,92 m et pesant 87 kg ; ancien professeur d’éducation physique.
Il présente une ostéoporose sévère avec une perte de taille de 6 cm (il mesurait 1,98 m à 20 ans), un T score du rachis à – 3,5 DS et du total col à – 3 DS il y a 3 ans. Il présentait également une fracture de T12 de grade 3 de Génant depuis cette date. Tout le bilan était normal et vous avez débuté un traitement par bisphosphonate.
Il vient récemment vous consulter car il a été agressé devant son immeuble et il a été propulsé au sol. Il a ressenti des rachialgies intenses et
Une douleur de l’épaule
Ostéoporose
Cas Clinique
Une douleur de l’épaule
Dr Jacques Fechtenbaum Hôpital Cochin - Paris
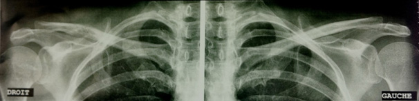
Madame P., âgée de 47 ans, vous consulte pour une douleur de l’épaule droite avec impotence fonctionnelle totale. A l’examen, vous retrouvez une déformation de la clavicule et vous rapportez rapidement la symptomatologie clinique à un problème lié à cet os. Vous demandez une radiographie standard.
On constate une lésion du tiers externe de la clavicule droite, que vous faites agrandir.
Cette lésion
Ménopause/Ostéoporose
Article Commenté
Intervalles pertinents entre deux mesures de DMO : estimation selon la DMO de base
Pr Sophie Roux Rhumatologie - Sherbrooke
La réalisation d’une mesure de la masse osseuse par ostéodensitométrie (DMO) pour dépister les femmes à risque d’ostéoporose (T-score ≤ -2,5) est recommandée chez les femmes de plus de 65 ans, mais peu d’information existe sur les intervalles pertinents entre les mesures successives de DMO, en dehors de la durée minimale requise pour l’interprétabilité des résultats.
Afin d’évaluer cette problématique, les auteurs ont étudié près de 5 000 femmes ménopausées de 67 ans et plus, ayant une DMO normale (T-score ≥ -1) ou une ostéopénie (-2,5 < T-score < -1), sans antécédent
Ménopause
Article Commenté
Utilisation de doses faibles de zolédronate chez les femmes ménopausées avec ostéopénie
Pr Sophie Roux Rhumatologie - Sherbrooke
L’administration annuelle de zolédronate (ZOL) 5 mg i.v. diminue le risque fracturaire. Il avait été montré que l’effet de cette dose pouvait se prolonger au-delà de 1 an sur les marqueurs osseux. L’effet osseux de l’administration de ZOL à doses inférieures n’a jamais été évalué, et c’est l’objectif de cette étude.
Il s’agit d’un essai double-aveugle, randomisé, contrôlé contre placebo, dans lequel 180 femmes ménopausées avec ostéopénie (-2,5 < T-score < -1 au rachis ou hanche totale) et sans fracture, ont été incluses,
Et si on parlait de lui
Article Commenté
Mesure de la DMO chez les hommes sous déprivation androgénique
Pr Sophie Roux Rhumatologie - Sherbrooke
Environ 50% des hommes ayant un cancer de la prostate ont une déprivation androgénique adjuvante (agoniste de la LH-RH, anti-androgènes ou les 2), responsable d’une perte osseuse accélérée, et d’une augmentation du risque fracturaire. La réalisation d’une DMO est recommandée lors de l’initiation d’un tel traitement, et les auteurs ont évalué la pratique de cet examen dans une telle population entre 1995 et 2008 (Ontario, Canada).
Les hommes de plus de 66 ans recevant une déprivation androgénique depuis au moins 6 mois pour cancer de la prostate ont été identifiés à partir
Comment améliorer la couverture vaccinale contre le papillomavirus ?
Vaccination
Article Commenté
Comment améliorer la couverture vaccinale contre le papillomavirus ?
Mme Caroline Puech Paris
Une meilleure information vis-à-vis des papillomavirus semble nécessaire pour améliorer la couverture vaccinale en Allemagne. Des chercheurs allemands de la Berlin School of Public Health viennent de réaliser une étude pour évaluer l'association entre les caractéristiques socio-démographiques des participants, leurs comportements sexuels et leurs connaissances liées au papillomavirus humain ainsi que leur adhésion à la vaccination préventive. Ils publient leurs résultats dans The European Journal of Public Health.
Du 21 au 28 janvier : Semaine européenne de prévention du cancer du col de l’utérus
Gynécologie
Article Commenté
Du 21 au 28 janvier : Semaine européenne de prévention du cancer du col de l’utérus
Mme Caroline Puech Paris
Initiée par l’ECCA (European Cancer Cervical Association / Association européenne contre le cancer du col de l’utérus), cette semaine a pour objectif d’informer les femmes sur le cancer du col de l’utérus et les moyens de le prévenir. Des manifestations locales sont organisées partout en Europe. En France, La Ligue Contre le Cancer organise un certain nombre de conférences publiques et des centres d'information dans les différentes régions.
Déception pour le vaccin contre herpes simplex
Vaccination
Article Commenté
Déception pour le vaccin contre herpes simplex
Mme Marie Lestelle Issy-les-Moulineaux
Dans cette étude représentative d’une population générale de femmes séronégatives pour VHS-1 et VHS-2, le vaccin a permis de prévenir en partie les infections par VHS-1 et la survenue d’infection génitale mais n’a pas montré d’efficacité contre VHS-2. 
Efficacité du vaccin anti-HPV pour réduire les lésions néoplasiques anales
Vaccination
Article Commenté
Efficacité du vaccin anti-HPV pour réduire les lésions néoplasiques anales
Mme Caroline Puech Paris
Le vaccin quadrivalent anti papilloma virus humain (anti-HPV) semble réduire le taux de lésions anales intra-épithéliales chez les hommes ayant des rapports sexuels avec d’autres hommes. Des chercheurs viennent de publier, dans le New England Journal of Medicine, les résultats d’un essai randomisé et contrôlé en double aveugle vaccin versus placebo. En l’absence de politique de dépistage régulier du cancer anal dans cette population à risque, ce vaccin pourrait permettre de réduire les risques de cancers anaux et de condylomes.
Ostéoporose
Article Commenté
Évolution des marqueurs du remodelage à l’arrêt du traitement par risédronate (RIS)
Pr Sophie Roux Rhumatologie - Sherbrooke
La durée optimale des traitements par bisphosphonates est inconnue. Il serait important de déterminer la durée de l’efficacité thérapeutique à l’arrêt des traitements, pour gérer les traitements au long cours et les « vacances thérapeutiques ». Certaines données suggèrent que l’effet thérapeutique à l’arrêt des bisphosphnates dépend des propriétés physico-chimiques des molécules.
L’étude FLEX (FIT long term extension) a permis d’évaluer l’évolution de la DMO et des marqueurs du remodelage après l’arrêt de l’alendronate (ALN). Comparativement aux femmes qui avaient arrêté l’ALN
Ostéoporose
Article Commenté
FRAX sous-estime le risque fracturaire chez les diabétiques
Pr Sophie Roux Rhumatologie - Sherbrooke
Afin d’identifier les personnes à haut risque de fracture de hanche ou de fracture ostéoporotique majeure, l’outil FRAX a été développé, prenant en compte des facteurs de risque cliniques pour évaluer la probabilité de fracture à 10 ans : âge, sexe, IMC, fracture antérieure, corticothérapie, polyarthrite rhumatoïde ou autre cause d’OP secondaire, tabagisme, et alcoolisme.
La probabilité de fracture à 10 ans peut se calculer avec ou sans la DMO au col fémoral. L’identification d’autres facteurs de risque indépendants de la DMO pourrait améliorer l’estimation du risque fracturaire.
Page 270 sur 307        Premier  Précédent  265  266  267  268  269  270  271  272  273  274  Suivant  Dernier
Newsletters