Envoi du mail en cours
 

Toutes les actualités scientifiques

Page 273 sur 306        Premier  Précédent  268  269  270  271  272  273  274  275  276  277  Suivant  Dernier
Ostéoporose
Article Commenté
Vitamine D et prévention des fractures : il n’y a pas que l’os, il y a aussi le muscle
Pr Jean-Louis Schlienger Strasbourg
L’alimentation est une composante importante de la prévention de l’ostéopénie et de l’ostéoporose. L’apport protéique, calcique et vitaminique D en sont les fondamentaux. Depuis quelques années, la place de la vitamine D n’a cessé de prendre de l’importance puisque ses apports sont très imparfaitement satisfaits dans les sociétés occidentales, si on en juge par l’extraordinaire prévalence de l’hypovitaminémie D au seuil optimal de 30 ng/ml.
La vitamine D qui est en réalité une hormone a des effets pléiotropes sur le remodelage osseux en ayant
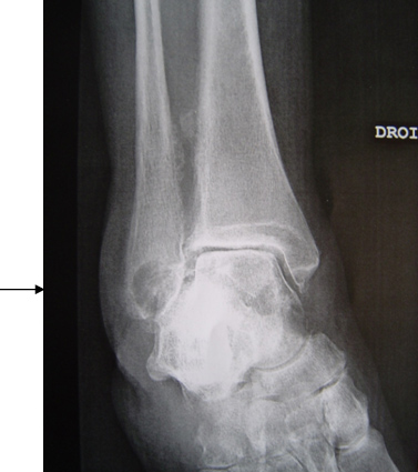
Géode osseuse ou non
Ménopause
Cas Clinique
Géode osseuse ou non
Dr Jacques Fechtenbaum Hôpital Cochin - Paris
Mme C., 70 ans, présente une polyarthrite séronégative, non destructrice sous hydroxychloroquine et corticothérapie à 8 mg depuis 10 ans, associée à une leuconeutropénie stable.
Depuis 8 mois, elle présente une douleur de la cheville droite, récemment aggravée avec empattement global de la cheville à l’examen clinique.
La radiographie standard ci-dessous montre un pincement tibio-talien, une ossification de la membrane inter-osseuse et surtout une géode volumineuse de la malléole de la fibula.
Efficacité du programme de dépistage de la syphilis congénitale en France
Grossesse
Article Commenté
Efficacité du programme de dépistage de la syphilis congénitale en France
Mme Caroline Puech Paris
Malgré l’augmentation du nombre de cas de syphilis en France, l’incidence des syphilis congénitales reste faible. Des chercheurs de l’Institut national de veille sanitaire viennent de publier, dans le Bulletin Epidémiologique Hebdomadaire, une description des cas de syphilis congénitale hospitalisés entre 2005 et 2007. Ils soulignent l’efficacité du programme de dépistage pendant la grossesse et l’importance de cibler les populations ayant des conditions de vie précaire ou marginalisées.
Grossesse
Mise au point
Comment interpréter les résultats des gaz du sang au cordon ?
M. Bruno Langer CHU Hautepierre -  STRASBOURG
Si en France et au Canada il est recommandé de réaliser une analyse systématique des gaz du sang au cordon, l’ACOG, aux USA, ne la recommande que dans certaines situations à risque telles que suspicion de souffrance fœtale per-partum, anomalies du RCF, score d’Apgar bas à 5 mn, RCIU sévère, fièvre maternelle...
L’objectif est d’expliquer un mauvais état à la naissance, un mauvais score d’Apgar ou un liquide teinté. Il aura également une valeur pédagogique pour les équipes de salle d’accouchement en permettant de confronter rythme cardiaque fœtal et gaz du sang.
Ménopause et œstrogènes : suivi à distance des femmes de l’étude WHI
Ménopause
Article Commenté
Ménopause et œstrogènes : suivi à distance des femmes de l’étude WHI
Mme Caroline Puech Paris
Les femmes ménopausées qui ont eu une hystérectomie et qui ont reçu des œstrogènes pendant 6 ans (médiane), n’ont pas, 10,7 ans après l’arrêt du traitement, plus de risque de maladie cardiovasculaire, d’accident thrombo-embolique, d’accident vasculo-cérébral (AVC), de fracture du col du fémur ou de cancer colorectal. Des chercheurs américains publient dans le Journal of the American Medical Association les résultats du suivi à distance des femmes de la cohorte « Women’s Health Initiative ».
Repérer l’inceste chez le mineur
Pédiatrie
Article Commenté
Repérer l’inceste chez le mineur
Mme Marie Lestelle Issy-les-Moulineaux
La Haute Autorité de Santé vient de publier des recommandations sur la maltraitance sexuelle intrafamiliale chez l’enfant. L’agence rappelle que l’amélioration du repérage et l’augmentation du nombre de signalements d’incestes dépendent beaucoup du niveau de connaissance des professionnels de santé et de l’enfance sur cette problématique.
Ménopause/Ostéoporose
Article Commenté
Remodelage osseux 2 ans après arrêt du traitement par Denosumab
Pr Sophie Roux Rhumatologie - Sherbrooke
Le Denosumab (Dmab), un anticorps complètement humain dirigé contre RANKL, est efficace pour prévenir les fractures dans l’ostéoporose post-ménopausique. L’inhibition de RANKL entraîne une inhibition de la résorption osseuse par action sur la formation, l’activité et la survie des ostéoclastes.
L’étude pivot FREEDOM, randomisée, double aveugle, de phase III, a comparé Dmab 60 mg sc tous les 6mois au placebo chez des femmes ménopausées avec ostéoporose (T-score ≤-2.5 rachis ou hanche). Le risque fracturaire était diminué après 3 ans de traitement de 68% pour les fractures vertébrales,
Ménopause/Ostéoporose
Article Commenté
Effets de l’inhibiteur de la cathepsine K, ONO-5334, dans l’ostéoporose post-ménopausique (OCEAN study)
Pr Sophie Roux Rhumatologie - Sherbrooke
La Cathepsine K est une cystéine protéase qui est fortement exprimée et de manière sélective dans les ostéoclastes ; cette enzyme contribue à la dégradation de la matrice osseuse, et son inhibition est une nouvelle stratégie en cours d’évaluation dans l’ostéoporose.
Les effets d’un nouvel inhibiteur de la cathepsine K, ONO-5334, ont été évalués sur les marqueurs du remodelage osseux et la DMO. Une étude randomisée, contrôlée contre placebo, d.a., sur 1 an, a inclus 285 femmes ménopausées avec ostéoporose (ostéoporose densitométrique sans fracture de fragilité, ou
Ménopause
Article Commenté
Zolédronate dans la maladie de Paget : évaluation à long terme (jusqu’à 6,5 ans)
Pr Sophie Roux Rhumatologie - Sherbrooke
Les bisphosphonates représentent la base du traitement de la maladie de Paget. Deux études cliniques de phase III ont rapporté que le Zolédronate (ZLN), administré en une perfusion unique, engendrait une diminution profonde et rapide du remodelage osseux, avec une efficacité supérieure à celle du Risédronate (RIS) 30 mg/j pendant 2 mois, et un très faible taux de rechute à 2 ans (Reid IR et al., N Engl J Med 2005, Hosking D et al., JBMR 2007).
Les auteurs rapportent ici le suivi des patients des 2 grandes études de phase III avec des suivis jusqu’à
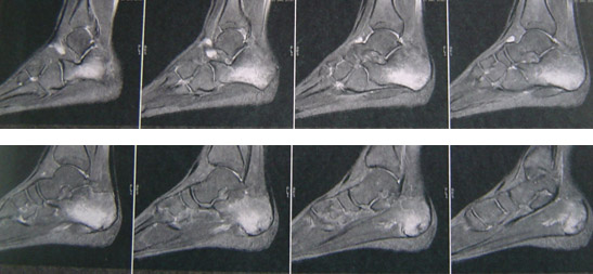
La décharge, ça marche
Et si on parlait de lui
Cas Clinique
La décharge, ça marche
Dr Jacques Fechtenbaum Hôpital Cochin - Paris
Le jeune L., 18 ans, est fougueux et aime bien s’amuser avec ses copains.
Lors d’un pari, il a sauté d’un mur d’environ 2,5 mètres. Il s’est réceptionné sur les talons, a ressenti de vives douleurs et a présenté une impotence fonctionnelle.
L’IRM des 2 calcanéums a montré un œdème important de la trame osseuse lié à la contusion avec suspicion de fissures.
Nous ne montrons qu’un seul pied en IRM, l’autre a présenté la même évolution.

Un des 2 pieds :
Contraception et risque thrombo-embolique
Contraception
Article Commenté
Contraception et risque thrombo-embolique
Mme Caroline Puech Paris
Bien que le risque d’accidents thrombo-emboliques veineux idiopathiques soit faible, il semble 3 fois supérieur sous contraceptif à base de drospirenone que sous pilule contenant du levonorgestrel. Des chercheurs épidémiologistes néozélandais et américains viennent de publier, dans le British Medical Journal, les résultats d’une étude cas témoin réalisée au sein d’une cohorte populationnelle de consultantes de médecins généralistes britanniques.
Perspectives pour la prévention du cancer du sein chez les femmes ménopausées à haut risque
Ménopause
Article Commenté
Perspectives pour la prévention du cancer du sein chez les femmes ménopausées à haut risque
Mme Caroline Puech Paris
Les inhibiteurs de l’aromatase tels que l’exemestane semblent diminuer de moitié le risque de cancer. Des chercheurs du NCIC Clinical Trials Group Mammary Prevention ont réalisé un essai de phase 3, international, randomisé en double aveugle contre placebo pour évaluer l’intérêt de cette molécule dans la prévention du cancer du sein chez les femmes ménopausées à haut risque. Ils publient leurs résultats dans le New England Journal of Medecine.
Page 273 sur 306        Premier  Précédent  268  269  270  271  272  273  274  275  276  277  Suivant  Dernier
Newsletters