Envoi du mail en cours
 

Toutes les actualités scientifiques

Page 277 sur 306        Premier  Précédent  272  273  274  275  276  277  278  279  280  281  Suivant  Dernier
Grossesse
Article Commenté
Les maisons de naissance, ou comment faire de la grossesse à bas risque un facteur de risque de mortalité néonatale
Pr Xavier Carcopino Marseille - Marseille
Cette étude néerlandaise a pour but de comparer la mortalité périnatale et la morbidité néonatale sévère des grossesses à terme étiquetées à bas risque dont le suivi de grossesse et l’accouchement est intégralement pris en charge par des sages-femmes en centre de soins « primaires », que ce soit à domicile ou en milieu hospitalier, et des grossesses à haut risque prises en charge par des obstétriciens dans des unités de soin dédiées (centres de soins « secondaires »).
Cette étude a été réalisée aux Pays-Bas, dans la région d’Utrecht. Toutes les grossesses prises en charge dans les alentours
Ostéoporose
Compte Rendu
Denosumab dans le traitement de l’ostéoporose post-ménopausique
Pr Sophie Roux Rhumatologie - Sherbrooke
Le rôle majeur de RANKL et de l’OPG dans la régulation des Ocs et de la résorption osseuse, et dans la pathogénie de la perte osseuse post-ménopausique, a conduit au développement d’inhibiteurs de cette voie dans l’ostéoporose. L’inhibiteur de RANKL actuellement développé est un anticorps humanisé anti-RANKL, Denosumab (Dmab), récemment approuvé dans le traitement de l’ostéoporose.
L’étude de référence est FREEDOM, une étude multicentrique de phase III, randomisée, double aveugle, contrôlée contre placebo, dans laquelle 7.868 femmes ménopausées et ostéoporotiques
Ostéoporose
Compte Rendu
Zolédronate dans le traitement de l’ostéoporose post-ménopausique
Pr Sophie Roux Rhumatologie - Sherbrooke
Le zolédronate (ZOL) administré en une perfusion annuelle de 5 mg augmente la DMO et diminue le risque fracturaire.
Étude HORIZON-PFT (Pivotal Fracture Trial) : essai multicentrique, randomisé, double-aveugle, évaluant l’effet du ZOL 5 mg i.v./an pendant 3 ans sur l’incidence fracturaire chez 7.765 femmes ménopausées ostéoporotiques d’âge moyen 73 ans, avec une DMO basse (T-score ≤ -2.5 DS au col fémoral ou ≤-1.5 DS et 1TV), traitées par ZOL ou placebo, et suivies pendant 3 ans (63% avec fractures vertébrales à l’inclusion).
Ostéoporose
Compte Rendu
Inhibiteurs de la cathepsine K dans l’ostéoporose
Pr Sophie Roux Rhumatologie - Sherbrooke
Comparaison des effets de l’Odanacatib et de l’Alendronate sur le turnover osseux dans une étude histologique réalisée chez les singes ovariectomisés
Comparing the Effects of Odanacatib versus Alendronate on Bone Turnover of Transilial Biopsy in Adult Ovariectomized Rhesus Monkeys
Chen C et al. 1171
L’odanacatib est un puissant inhibiteur de la cathepsine K, d'action réversible, en cours de développement dans l’ostéoporose. Les auteurs ont comparé les effets de l’Odanacatib et de l’ALN sur le turnover osseux sur des biopsies transiliaques provenant de singes Rhésus Ovx après 12 mois de traitement.
Les singes ont été randomisés en
Ostéoporose
Compte Rendu
Taux sériques de sclérostine : marqueurs de la formation osseuse ?
Pr Sophie Roux Rhumatologie - Sherbrooke
La voie de signalisation Wnt joue un rôle important dans la formation osseuse. La sclérostine, produit du gène SOST, est un inhibiteur physiologique de la voie Wnt, inhibant de ce fait la formation osseuse. De nouvelles perspectives thérapeutiques basées sur l’effet anabolisant osseux de l’inhibition de la sclérostine ont ainsi émergé. Plusieurs travaux ont tenté d’appréhender la valeur du dosage sérique de la sclérostine comme reflet de la formation osseuse.
Ostéoporose
Compte Rendu
Supplémentation en vitamine D : effets sur les fractures et les chutes
Pr Sophie Roux Rhumatologie - Sherbrooke
Administration annuelle de la vitamine D : augmentation du risque de chutes et de fractures
The Efficacy of High-Dose Oral Vitamin D3 Administered Once a Year: A Randomised, Double-Blind, Placebo-Controlled trial (Vital D Study) for Falls and Fractures in Older Women
Sanders K et al. 1164
Dans cette étude australienne, en double aveugle, contrôlée contre placebo, 2.256 femmes ambulantes et âgées en moyenne de 76 ans ont reçu une dose annuelle de cholecalciferol (D3) 500 000 ui ou 1 placebo chaque automne/hiver pendant 3 à 5 ans.
Les chutes et fractures ont été répertoriées pendant 4 à 6 ans à l’aide de calendriers mensuels, de contacts téléphoniques, et les fractures ont été confirmées par radiographies. La 25-OH vitamine D sérique a été mesurée
Et si on parlait de lui
Compte Rendu
Supplémentation en vitamine D : effets sur la mortalité chez les hommes
Pr Sophie Roux Rhumatologie - Sherbrooke
Effets du déficit en vitamine D et de taux élevés en PTH sur le risque de mortalité chez les hommes âgés
Effects of Vitamin D Deficiency and High Parathyroid Hormone on Mortality Risk in Elderly Men
Frost S et al. 1168
Un déficit en vitamine D est fréquemment observé dans la population âgée. Des données récentes suggèrent que des taux bas de vitamine D seraient associés à une augmentation du risque de mortalité chez l’homme; toutefois, la PTH pourrait être un facteur confondant dans la relation entre faible taux de vitamine D et mortalité, des taux élevés de PTH ayant été associés à une élévation de la mortalité.
Ostéoporose
Compte Rendu
Supplémentation en calcium et risque cardio-vasculaire
Pr Sophie Roux Rhumatologie - Sherbrooke
Risque d’évènements cardio-vasculaires avec supplémentation vitamino-calcique (étude WHI-re-analyse)
Risk of Cardiovascular Events with Calcium/Vitamin D - a Re-Analysis of the Women's Health Initiative
Bolland M et al. 1163
Récemment, les auteurs ont rapporté que la supplémentation en calcium était associée à une augmentation du risque d’évènements cardio-vasculaires (CV) (Auckland Calcium Study), et ceci a été confirmé dans une méta-analyse d’études évaluant les effets du calcium seul (IOF 2010).
L’étude WHI (Women’s Health Initiative) avait rapporté que la supplémentation vitamino-calcique
Ostéoporose
Compte Rendu
Les fractures fémorales atypiques : quoi de neuf ?
Pr Sophie Roux Rhumatologie - Sherbrooke
Des rapports récents suggèrent une relation entre un sous-groupe de fractures sous-trochantériennes et diaphysaires du fémur (fractures atypiques) et le traitement par bisphosphonates (BP). Une étude récente, faite à partir des grands essais (FIT, FLEX, HORIZON) évaluant des agents ostéoporotiques (Black et al, N Engl J Med 2010), ne retrouve pas de relation significative.
Le risque de fractures sous-trochantériennes ou diaphysaires associé à l’utilisation prolongée de bisphosphonate apparaît très faible, même chez les femmes ayant reçu jusqu’à 10 ans de traitement, comparativement aux fractures prévenues par ces traitements. Plusieurs communications ont abordé ce problème.
Attention aux écarts de conduite
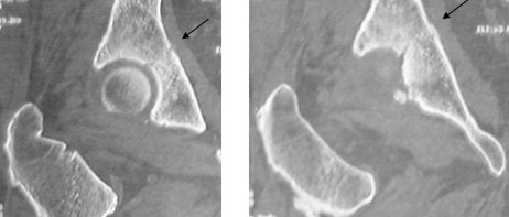
Ostéoporose
Cas Clinique
Attention aux écarts de conduite
Dr Jacques Fechtenbaum Hôpital Cochin - Paris
Vous suivez Mme D., 60 ans, depuis 3 ans pour une ostéoporose avec un T score à -3 DS au rachis lombaire et -2,7 DS au total col fémoral, au début de votre traitement par bisphosphonate.
Elle vient vous consulter pour une douleur de la « hanche » depuis 3 jours, date à laquelle elle a glissé lors d’une séance de gymnastique et fait un grand écart.
Elle présente une douleur de la face postérieure de la fesse gauche et une douleur à l’appui.
Les radiographies standard sont normales.
Grossesse
Article Commenté
Faut-il fermer l’hystérotomie d’une césarienne en 1 ou 2 plans ?
M. Bruno Langer CHU Hautepierre -  STRASBOURG
En France, le taux de césarienne a aujourd’hui dépassé les 20% et ne cesse d’augmenter comme dans tous les pays développés. De ce fait, le taux d’utérus cicatriciel augmente comme la crainte de la rupture utérine au cours de la grossesse ultérieure. La technique a également changé.
A la place du Pfannenstiel classique, la plupart des obstétriciens préfèrent aujourd’hui, en raison du gain de temps qu’elle apporte, la technique de Misgav-Ladach, que d’autres préfèrent appeler la technique de Cohen. Parmi les différentes modifications techniques figure la fermeture en un seul plan de l’hystérotomie. Ce dernier point présente l’avantage d’être plus rapide et de nécessiter moins de fils de suture
Grossesse
Article Commenté
L’obésité maternelle favorise la survenue de malformations cardiaques congénitales
Pr Jean-Louis Schlienger Strasbourg
On savait que chez les femmes en âge de procréer, l’obésité exposait à un risque accru de diabète gestationnel, d’HTA, de maladie thrombo-embolique et à diverses complications obstétricales. En revanche, on sait peu de choses des effets de l’obésité sur le risque de malformation congénitale en dehors des anomalies de fermeture du tube neural attribuées à une hypofolatémie.
Une étude cas-témoins portant sur les enfants nés avec une malformation cardiaque entre 1993 et 2003 dans l’état de New York (1 536 828 naissances) a recherché des liens éventuels avec l’obésité maternelle. Les données
Page 277 sur 306        Premier  Précédent  272  273  274  275  276  277  278  279  280  281  Suivant  Dernier
Newsletters