X
Déclaration de liens d'intérêts
Cet auteur a déclaré n'avoir aucun lien d'intérét
Envoi du mail en cours
×
Fermer
Recommander à un confrère
Destinataires
Séparez les différentes adresses par une virgule.
Commentaire
Cher confrère, je pense que ceci devrait t'intéresser. Cordialement,
Les données collectées dans ce formulaire sont uniquement destinées à l'envoi de l'e-mail d'invitation et ne sont pas conservées.
Supportez notre indépendance éditoriale
Connexion / Inscription
Accueil
Actualités
Actus congrès
Actus médiathèques
Actus Scientifiques
Dossiers thématiques
Agenda des congrès
Article du jour Mediscoop
Interviews
Newsletter : Santé Femmes
Newsletter : Spéciale cancers sein métastatiques
Revue de presse Mediscoop
Synthèses
Pathologies
Cancer du sein
Contraception
Et si on parlait de lu...
Fertilité
Grossesse
Gynécologie
Ménopause
Nutrition
Ostéoporose
Pédiatrie
Sexualité
Vaccination
Services
A propos
Contact
Accueil
Actualités
Actus congrès
Actus médiathèques
Actus Scientifiques
Dossiers thématiques
Agenda des congrès
Article du jour Mediscoop
Interviews
Newsletter : Santé Femmes
Newsletter : Spéciale cancers sein métastatiques
Revue de presse Mediscoop
Synthèses
Pathologies
Cancer du sein
Contraception
Et si on parlait de lu...
Fertilité
Grossesse
Gynécologie
Ménopause
Nutrition
Ostéoporose
Pédiatrie
Sexualité
Vaccination
Services
A propos
Contact
Accéder à:
AlgoScoop
AllergoScoop
CanceroNet
Coeur
DermatoNet
DiabetoNet
GastroEnteroNet
GynecoNet
HematoNet
NephroFr
NeuroScoop
OrlScoop
PneumoScoop
RhumatoNet
Publicité
Toutes les actualités scientifiques
Page 208 sur 307
Premier
Précédent
203
204
205
206
207
208
209
210
211
212
Suivant
Dernier
Publicité
Cancer du sein
Compte Rendu
Source : 15ème Cours Francophone supérieur sur les Cancers du sein et les Cancers de l’ovaire
Mastectomie contro-latérale prophylactique (MCLP) à la demande de la patiente hors mutation BRCA
Pr Gilles Houvenaeghel
Institut Paoli-Calmettes - Marseille
La demande de mastectomie bilatérale en cas de diagnostic de cancer du sein augmente, y compris en cas de traitement conservateur réalisable. Parallèlement, le risque de cancer du sein contro-latéral a diminué au fil des années. Une MCLP n’est jamais une urgence et la surveillance représente toujours une alternative à la chirurgie.
Cancer du sein
Compte Rendu
Source : 15ème Cours Francophone supérieur sur les Cancers du sein et les Cancers de l’ovaire
Synthèse des conclusions du groupe de chirurgie RPC 2017 - Escalades et désescalades thérapeutiques en chirurgie d'éxérèse et reconstruction mammaire
Pr Gilles Houvenaeghel
Institut Paoli-Calmettes - Marseille
Reprise chirurgicale et marges d’exérèse pour les carcinomes infiltrants. Le statut des marges d’exérèses est un des principaux facteurs de risque de récidive homolatérale. La définition d’une berge atteinte est univoque, cependant il n’y a pas de définition valide de marge saine en termes de distances
Cancer du sein
Compte Rendu
Source : 15ème Cours Francophone supérieur sur les Cancers du sein et les Cancers de l’ovaire
Synthèse de la session d'Oncologie Radiothérapie, RPC 2017
Pr David Azria
C.R.I.C de Montpellier - Montpellier
Ce jour, mardi 24 Janvier 2017, s’est réuni le groupe d’oncologie radiothérapie afin de présenter les conclusions de leur travail. Six questions ont été posées sur l’intérêt de la désescalade thérapeutique en radiothérapie post-opératoire. 1) Après traitement conservateur d’un cancer du sein in situ, dans quel cas peut-on se passer
Cancer du sein
Vos patients ont lu
Source : Cancero.net - Bimensuelle janvier 2017
« Y a-t-il un lien entre radiothérapie du sein et infarctus ? »
Top Santé fait savoir que «
la Fédération française de cardiologie lance le "projet Baccarat".
Objectif : explorer les liens possibles entre traitement du cancer du sein par radiothérapie et déficiences cardiaques
». «
Depuis plusieurs années, les cardiologues constatent que de plus en plus de femmes (y compris des jeunes femmes)...
Cancer du sein
Vos patients ont lu
Source : Cancero.net - Bimensuelle janvier 2017
« Cancer du sein : un profil génétique qui diffère entre la tumeur primaire et les métastases »
Dans sa chronique, le Pr David Khayat, chef de service de cancérologie à la Pitié-Salpêtrière, révèle qu’«
en séquençant le génome de biopsies tumorales, des chercheurs se sont aperçus que le profil génétique des métastases était différent de celui des tumeurs primaires
». Selon une étude présentée lors du San Antonio Breast Cancer symposium...
Cancer du sein
Article Commenté
Source : Eur J Cancer Care. 2016 Jul 27. doi: 10.1111/ecc.12540.
Quels facteurs sous-tendent l'importance accordée à leurs symptômes par les patientes affectées d'un cancer du sein métastatique ?
Dr Jean-Pierre Mérel
CHU de Montpellier - Montpellier
La prévalence élevée des symptômes dans les cancers métastatiques du sein aurait comme corollaire, selon certaines études, qu’ils seraient insuffisamment traités, bien qu’ils constituent une source majeure de souffrance et d’invalidation pour les patientes qui en sont affectées (Aranda et coll., 2005; Given & Hadar, 2007...
Cancer du sein
Vos patients ont lu
Source : Cancero.net - Bimensuelle janvier 2017
« Cancer du sein : l'effet Angelina Jolie sur le dépistage »
Femme Actuelle rappelle qu’«
en mai 2013, Angelina Jolie révélait (…) avoir subi une double mastectomie
», expliquant ce choix «
en prévention du cancer du sein auquel elle était fortement exposée à cause de son patrimoine génétique
». «
La star est en effet porteuse d'une mutation des gènes BRCA 1 qui...
Cancer du sein
Article Commenté
Source : J Clin Oncol. 2017 ; 35(2):141-148.
Cancers du sein métastatiques HER2+ : résultats de l'étude MARIANNE ou « le plus n'est pas forcément mieux »...
Pr Florence Dalenc
Institut Claudius Regaud - Toulouse
Les résultats de l’essai de phase III, international et multicentrique, MARIANNE viennent d’être publiés dans le dernier Journal Of Clinical Oncology. On rappelle qu’il s’agit d’une étude randomisée, à trois bras (1 :1 :1), conduite auprès de 1095 patientes présentant un cancer du sein HER2+ en première...
Fertilité
Vos patients ont lu
Source : MBRinfo - Actualités janvier 2017
« Faire du sport pour améliorer la qualité de son sperme »
Ouest France note que «
la pratique régulière d'une activité sportive d'intensité modérée contribuerait à l'amélioration de la qualité et de la quantité des spermatozoïdes
», selon une étude iranienne parue dans
Reproduction
. Le journal indique que «
l'exercice régulier et modéré serait le plus efficace. D'autres éléments entrent cependant en ligne de compte
»...
Grossesse
Mise au point
Source : MBRinfo - Actualités janvier 2017
L'AMP et le risque de maladies cardio-métaboliques
Pr Patricia Fauque
CHU - Dijon
Des millions d'enfants sont nés dans le monde grâce aux techniques d’assistance médicale à la procréation (AMP). Dès les premiers enfants conçus par ces techniques, leur état de santé n’a cessé d’être étudié. Il est maintenant admis qu’il existe chez ces enfants une augmentation des risques de survenue de certaines complications...
Fertilité
Article Commenté
Source : J Clin Endocrinol Metab. 2016 Oct 18:jc20162095.
Fréquence de cycles anovulatoires en fonction de la prise ou non d'aspirine à faible dose
Dr Marc Schneider
Clinique Belledonne - Saint-Martin d'Hères
La physiologie ainsi que le traitement « prophylactique » des avortements spontanés précoces (FCS) ne sont actuellement pas bien définis. La prise à faible dose d’aspirine en préconceptionnel puis poursuivie durant la grossesse semble augmenter le taux de naissances vivantes chez les patientes ayant présenté...
Grossesse
Article Commenté
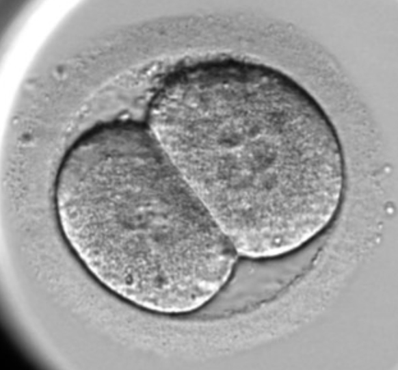
Source : Fertility and Sterility 2017 ; 107, 1 : 97–103.e4
La multinucléation au stade deux cellules est un facteur prédictif indépendant des issues de grossesses en ICSI
Dr Salah Chouaieb
CHU de Dijon - Dijon
D’après des données récentes issues des systèmes TIMELAPSE, près de 50% des embryons seraient multinuclés au stade 2 cellules de développement. Mais existe-t-il un impact sur le développement embryonnaire ? Cet article rapporte pour la première fois les résultats des issues de grossesses des embryons multinucléés...
Page 208 sur 307
Premier
Précédent
203
204
205
206
207
208
209
210
211
212
Suivant
Dernier
Publicité
Publicité
Actus congrès
27th Congress of the European Society of Gynaecological...
Bella Center Copenhagen - Copenhague, Danemark
26-28 février 2026
Toutes les actus congrès
Agenda des congrès
Accéder à l'agenda des congrès à venir
Dossiers thématiques
Prise en charge actuelle du cancer du sein RH+ : vers une...
Tous les dossiers
Autres actualités
Prise en charge des cancers de l'ovaire en 1ère ligne :...
Dr Anne-Claire Hardy (
Centre Armoricain d'Oncologie CARIO - Plérin
)
Dr Frédéric Selle (
GH Diaconesses Croix Saint-Simon - Paris
)
Pr Benoit You (
Hospices Civils - Lyon
)
Prise en charge du diabète gestationnel au Maghreb
par le Pr
Faika Ben Mami
(Tunis)
Toutes les interviews
Jour 3 : faisceau final sur les données...
par le Pr
Benoit You
(Hospices Civils - Lyon)
Toutes les synthèses
Newsletters
Osteonews
Publicité
×
Fermer