Grossesse
Article Commenté
Source : J Clin Endocrinol Metab 2016 ; 101:59-68
L’obésité maternelle et le diabète gestationnel agissent de façon différente sur le métabolisme placentaire
Pr Jean-Louis Schlienger Strasbourg
L’obésité maternelle et le diabète gestationnel (DG) qui interagissent avec la régulation énergétique et hormonale du placenta, sont tous deux responsables de perturbations néo-natales à type de prématurité et de dystocie. Pour préciser la part respective de l’obésité et du DG sur les modifications de l’expression des gènes placentaires, Martino et coll. ont exploré divers marqueurs métaboliques...
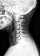
Cas a discuter
Source : Osteonews février 2016
Un diagnostic souvent évoqué mais rarement retrouvé
Dr Jacques Fechtenbaum Hôpital Cochin - Paris
Diagnostic et analyse des réponses
Nous avons reçu 193 réponses. Les diagnostics de « côtes cervicales ou apophysomégalie de C7 » ou « syndrome de la traversée » ont été proposés 130 fois. On peut noter cette anomalie sur le cliché de face.
D’autres anomalies sont visibles et ont été relevées...
Article Commenté
Source : N Engl J Med 2015 ; 373:1519-30
La supplémentation vitamino-calcique a-t-elle un intérêt dans la prévention des adénomes colorectaux ?
Pr Julien Paccou CHRU - Lille
Des données épidémiologiques et précliniques laissent à penser que des taux sériques élevés en vitamine D et des apports calciques plus importants pourraient réduire le risque de néoplasie colorectale. Les auteurs de cette étude ont souhaité évaluer l’éventuel effet préventif de la supplémentation vitamino-calcique dans la survenue des adénomes colorectaux (ou polypes adénomateux) chez des patients ayant...
Article Commenté
Source : J Bone Miner Res. 2016 ; 31(2):289-98.
Impact d’un programme d’éducation physique encadré par un spécialiste sur la composition corporelle, la masse, la structure et la résistance osseuse chez des enfants à l’école primaire : résultats d’un essai randomisé à 4 ans
Pr Julien Paccou CHRU - Lille
Cet essai contrôlé, randomisé, mené sur 4 ans a rassemblé 365 garçons et 362 filles (âge moyen de 8,1 ± 0,3 ans). Il a été réalisé dans 29 écoles primaires australiennes. Cet essai a permis d’évaluer l’impact d’un programme d’exercices physiques mené par un spécialiste sur la masse, la structure et la résistance osseuse ainsi que sur la composition corporelle. Les enfants étaient répartis en 2 groupes. Ils recevaient tous 150 mn par semaine d’éducation physique...
Ostéoporose
Article Commenté
Source : Osteoporosis Int 2016 Feb 24. [Epub ahead of print]
Taux de refracture chez des sujets âgés dans l’année suivant la survenue de fractures de hanche, d’épaule ou de poignet
Pr Julien Paccou CHRU - Lille
Plusieurs études ont déjà rapporté un surrisque fracturaire dans les années suivant une fracture ostéoporotique. Les auteurs de cette étude ont souhaité évaluer le risque de nouvelle fracture à 1 an au sein d’une population américaine de sujets âgés dans l’année suivant une 1ère fracture de hanche, d’épaule ou de poignet. Pour ce faire, ils ont réalisé une étude de cohorte observationnelle nationale chez des bénéficiaires...
Ostéoporose
Vos patients ont lu
Source : Osteonews février 2016
« Les aliments alcalins : notre atout forme »
« Les aliments alcalins permettent de rééquilibrer l’acidité de notre organisme et nous aident à retrouver du tonus » affirme Top Santé. « Le concept de l’équilibre acido-basique de l’organisme remonte au début du XIXe siècle. En résumé, pour qu’un organisme puisse fonctionner efficacement, le pH ou « potentiel hydrogène » du sang, de la lymphe et des urines doit être équilibré, ce qui signifie qu’il oscille normalement entre 7 et 8 sur une échelle de 0 à 14. Or, les partisans du régime alcalin...
Ostéoporose
Vos patients ont lu
Source : Osteonews février 2016
« Quels risques pour la santé après une fracture du col du fémur ? »
Top Santé rappelle que « la fracture de l'extrémité supérieure du fémur (FESF), communément appelée "fracture du col", est la plus grave des complications de l'ostéoporose, en raison de la morbidité et de la mortalité importantes qui lui sont associées ». « En 2008-2009, son taux d'incidence était, en France, de 42,5 pour 10 000 personnes de 55 ans ou plus. Au cours de ces deux années, près de 95.000 personnes âgées de plus de 54 ans dont 76,4% de femmes, affiliées au régime général de l'Assurance maladie...
Ostéoporose
Vos patients ont lu
Source : Osteonews février 2016
« Boire du thé aiderait à limiter les fractures »
« Une étude menée par l’Université de Flinders et publiée dans la revue American Journal of Clinical Nutrition révèle [que le thé] aiderait également à lutter contre l’ostéoporose », fait savoir le magazine. « Partant du constat que cette maladie osseuse touche particulièrement les femmes ménopausées, les chercheurs ont suivi pendant près de 10 ans 1188 femmes âgées en moyenne de 80 ans. Les participantes...
Ostéoporose
Vos patients ont lu
Source : Osteonews février 2016
« Activité physique & équilibre au féminin »
« Tout au long de sa vie, la femme subit des variations hormonales qui peuvent engendrer des troubles fonctionnels tels que la prise de poids, les troubles circulatoires des membres inférieurs, des douleurs lombaires ou cervicales au moment des règles, mais aussi des modifications du comportement pouvant se manifester par un certain mal-être. Raison de plus pour avoir une activité physique régulière contribuant à un bon équilibre », rappelle dans sa chronique Jean-Pierre Marguaritte, ostéopathe- micronutritionniste. Concernant le sport nommé le « Pilate »...
Cancer du sein
Vos patients ont lu
Source : Cancero.net - Bimensuelle février 2016
« Cancer du sein : les radiations reçues lors des mammographies augmenteraient le risque »
Dans sa chronique pour Sciences & Avenir, le Pr David Khayat, chef de service de cancérologie à la Pitié-Salpêtrière indique que « la mammographie peut (…), dans des proportions moindres, augmenter le risque de contracter [le cancer du sein] ». « Par l’étude de huit stratégies de dépistage du cancer du sein, des chercheurs ont souhaité estimer le risque/bénéfice des mammographies. Selon les résultats de cette étude publiés dans...
Cancer du sein
Vos patients ont lu
Source : Cancero.net - Bimensuelle février 2016
« Cancer du sein : découverte d'une protéine qui empêche le cancer de se propager »
« Des chercheurs britanniques ont découvert une protéine qui pourrait empêcher le cancer du sein de circuler dans les vaisseaux sanguins pour se propager vers d'autres parties du corps », fait savoir Top Santé. « Plusieurs études ont déjà montré qu'après un cancer du sein, les cellules cancéreuses étaient susceptibles de se propager vers d'autres parties du corps, provoquant un cancer secondaire. C'est dans les poumons, les ganglions lymphatiques mais aussi dans les os...
Fertilité
Vos patients ont lu
Source : MBRinfo - Actualités février 2016
« Don d'ovocytes et de spermatozoïdes : de nouvelles conditions pour faire face à la pénurie »
Sciences et Avenir note que « face à la pénurie de gamètes à laquelle sont confrontés les couples infertiles, le gouvernement a décidé d'ouvrir le don aux personnes sans enfant ». Le magazine indique en effet que « les personnes sans enfant pourront à l'avenir donner leurs ovocytes et leurs spermatozoïdes, et en conserver une partie pour elles-mêmes, dans des conditions strictement...