Envoi du mail en cours
 

Toutes les actualités scientifiques

Page 230 sur 307        Premier  Précédent  225  226  227  228  229  230  231  232  233  234  Suivant  Dernier
« Le soja boosterait les traitements pour la fertilité »
Fertilité
Vos patients ont lu
Source : MBRinfo - Actualités février 2016
« Le soja boosterait les traitements pour la fertilité »
Top Santé fait savoir qu’« une nouvelle étude publiée dans le Journal of Clinical Endocrinology & Metabolism laisse entendre que les femmes qui suivent un traitement pour la fertilité ou qui envisagent de faire une fécondation in vitro, auraient tout intérêt à consommer des aliments à base de soja. Ces aliments protègeraient les femmes des méfaits de l'exposition au bisphénol A, un composé chimique qui réduit le volume d'œstrogènes »...
Grossesse
Vos patients ont lu
Source : MBRinfo - Actualités février 2016
« Guérie d'un cancer, elle donne naissance à un enfant après congélation de ses ovules »
Sciences et Avenir note en effet qu’« à Marseille, une femme de 32 ans a donné naissance à une fille grâce à une vitrification d'ovules effectuée avant un traitement anticancéreux. Une première en France ». Le magazine relève qu’« à ce jour, seuls 6 enfants sont nés dans le monde grâce à cette technique dans le contexte de la "préservation de la fertilité pour le cancer" », et cite le Réseau Régional de Cancérologie ONCOPACA-Corse...
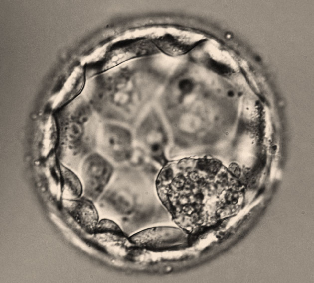
Comparaison des systèmes de vitrification ouverts et fermés dans le cadre du don d’ovocytes : étude prospective randomisée
Grossesse
Article Commenté
Source : G. Hum Reprod. 2016 ; 31(2):377-84.
Comparaison des systèmes de vitrification ouverts et fermés dans le cadre du don d’ovocytes : étude prospective randomisée
Dr Céline Bouillon CHU de Tours - Tours
La vitrification ovocytaire est devenue une technique courante qui a remplacé la congélation lente dans de nombreux centres d’AMP. Il reste à comparer l’efficacité des systèmes de vitrification fermés et ouverts...
Le bon usage de la cinétique des hCG plasmatiques : une surveillance de la suspicion de GEU à moindre frais et moindre risque ?
Grossesse
Article Commenté
Source : Fertility Sterility, 2015 Dec 14. doi: 10.1016/j.fertnstert.2015.11.050.
Le bon usage de la cinétique des hCG plasmatiques : une surveillance de la suspicion de GEU à moindre frais et moindre risque ?
Dr Marina Colombani IMR - Marseille
La GEU représente aux USA entre 0,64 et 2,5% des grossesses et est responsable de 0,5 décès maternel pour 100.000 naissances. Les éléments diagnostiques mis à disposition pour affirmer le diagnostic positif de GEU sont l’échographie endovaginale, les dosages d’HCG et plus rarement l’aspiration – curetage, coûteux pour le système de santé et les patientes...
Les microARNs dans le milieu de culture des blastocystes sont dérivés des cellules du trophectoderme et peuvent être étudiés afin d’évaluer la compétence de l’embryon humain à s’implanter
Grossesse
Article Commenté
Source : Fertil Steril. 2016 ; 105(1):225-235.e3.
Les microARNs dans le milieu de culture des blastocystes sont dérivés des cellules du trophectoderme et peuvent être étudiés afin d’évaluer la compétence de l’embryon humain à s’implanter
Dr Elodie Scalici Montpellier
Le sécrétome des blastocystes contient des microARNs issus du trophectoderme, pouvant être utiles à l’évaluation de leur potentiel d’implantation. Les microARNs correspondent à de petites séquences d’ARN simple brin non codantes d’environ 22 nucléotides de long. Ils sont à l’origine d’une régulation dite « post-transcriptionnelle » qui consiste à mettre sous silence l’expression...
Un nouveau rôle de l’hormone anti-müllerienne (AMH) ?
Grossesse
Article Commenté
Source : Nat Commun. 2016 ; 7:10055.
Un nouveau rôle de l’hormone anti-müllerienne (AMH) ?
Dr Charlotte Sonigo Bondy
L’AMH, active au niveau hypothalamique, participerait à la dysrégulation de la LH (hormone lutéinisante) chez les patientes présentant un syndrome des ovaires polykystiques. Les neurones à GnRH sont des acteurs primordiaux de l’axe hypothalamo-hypophyso-gonadique. Situés dans l’hypothalamus, ils produisent la GnRH puis la sécrètent de manière pulsatile dans le système...
Cancer du sein
Vos patients ont lu
Source : Cancero.net - Bimensuelle février 2016
« J'ai jeûné pour mieux supporter ma chimio »
Top Santé livre le témoignage de « Brigitte, 55 ans, [qui] a décidé d'être actrice de son traitement, en jeûnant avant. Elle (…) confie ses motivations et les bénéfices qu'elle a pu observer dans la traversée de cette épreuve ». « J'ai eu un cancer du sein, il y a cinq ans, qui a nécessité six séances de chimiothérapie. Après chacune d'elles, durant quatre jours, j'étais très affaiblie et épuisée. Chirurgien-plasticien, j'étais dans l'incapacité d'exercer... Je restais chez moi, allongée, avec des nausées...
Traitement des cancers du sein exprimant HER2 échappant au trastuzumab
Cancer du sein
Article Commenté
Source : Lancet Oncol. 2016 Jan 25. doi: 10.1016/S1470-2045(15)00540-9
Traitement des cancers du sein exprimant HER2 échappant au trastuzumab
Pr Florence Dalenc Institut Claudius Regaud - Toulouse
Le trastuzumab reste leader pour le traitement des patientes ayant un cancer du sein métastatique HER2+, en progression sous trastuzumab ! L’afatinib fait moins bien : résultats d’une phase III multicentrique (LUX-Breast 1). L’afatinib est un inhibiteur irréversible des homo- et hétérodimères des récepteurs de la famille HER. Cette molécule, qui a une AMM en monothérapie pour le traitement...
Cancer du sein
Vos patients ont lu
Source : Cancero.net - Bimensuelle février 2016
« Cancer du sein : un test sanguin pour prédire l’impact de la radiothérapie »
« La radiothérapie est une étape incontournable pour nombre de femmes atteintes d’un cancer du sein. Un test sanguin, mis au point par une équipe de l’Inserm, devrait permettre de limiter les séquelles », indique Santé Magazine. « Chez les femmes soignées pour un cancer du sein, ce traitement peut avoir des séquelles à long terme...
Cancer du sein
Vos patients ont lu
Source : Cancero.net - Bimensuelle février 2016
« Cancer du sein : une première opération réalisée avec un robot »
L’Express fait savoir que « l'institut Gustave-Roussy de Villejuif a annoncé avoir réalisé avec succès une première chirurgie du sein à l'aide d'un robot. Un essai prometteur qui permet de réduire les cicatrices. Une première mondiale. Et qui permettrait de réduire les cicatrices liées à une mastectomie, opération liée au traitement du cancer du sein ». L’intervention consistait en une « ablation du sein avec reconstruction mammaire simultanée par prothèse », précise-t-il...
« Un robot qui aide les spermatozoïdes à atteindre l'ovule »
Et si on parlait de lui
Vos patients ont lu
Source : MBRinfo - Actualités février 2016
« Un robot qui aide les spermatozoïdes à atteindre l'ovule »
Sciences et Avenir fait savoir que « des chercheurs allemands ont élaboré des "spermbots", des robots qui propulsent les spermatozoïdes vers l'ovule. Bien qu'au stade du prototype, cette innovation s'avère prometteuse pour lutter contre l'infertilité masculine ». Le magazine se penche ainsi sur cette « idée (très) originale pour traiter l'infertilité causée par une mauvaise nage des spermatozoïdes : un robot qui fait...
Fertilité
Vos patients ont lu
Source : MBRinfo - Actualités février 2016
« Perturbateurs endocriniens : de l'infertilité au diabète, les soupçons s'élargissent »
Le Point note en effet qu’« accusés depuis longtemps de diminuer la fertilité humaine, les perturbateurs endocriniens, comme le Bisphénol A, sont de plus en plus soupçonnés d'avoir d'autres effets nocifs, notamment sur le système immunitaire et la fonction respiratoire chez l'enfant, ou encore de favoriser le diabète ». Gérard Lasfargues, directeur général adjoint de l'Agence française de sécurité alimentaire et sanitaire (Anses), a ainsi déclaré...
Page 230 sur 307        Premier  Précédent  225  226  227  228  229  230  231  232  233  234  Suivant  Dernier
Newsletters