Envoi du mail en cours
 

Toutes les actualités scientifiques

Page 236 sur 307        Premier  Précédent  231  232  233  234  235  236  237  238  239  240  Suivant  Dernier
Ostéoporose
Vos patients ont lu
Source : Osteonews novembre 2015
« Le soja, un atout anti-ostéoporose pour les femmes ménopausées »
Le magazine fait savoir qu’« une alimentation riche en protéines de soja permettrait de diminuer les risques de perte osseuse et d'ostéoporose, selon les résultats d'une étude anglaise [présentée à la Conférence annuelle de la Society for Endocrinology à Édimbourg en Écosse (Grande-Bretagne) et réalisée par les chercheurs de l'université de Hull en Grande-Bretagne] ».
Dyspareunies liées à la déprivation oestrogénique : enfin une réponse basée sur des preuves !
Cancer du sein
Article Commenté
Source : J Clin Oncol. 2015 ; 33(30):3394-400.
Dyspareunies liées à la déprivation oestrogénique : enfin une réponse basée sur des preuves !
Pr William Jacot ICM, Institut régional du Cancer de Montpellier - Montpellier
L’hypo-oestrogénie profonde induite par les traitements hormonaux des cancers du sein RH+, même si elle est souvent mieux tolérée à court terme que la chimiothérapie, induit d’incontestables modifications de la qualité de vie des patientes.
L’atrophie vulvo-vaginale qu’elle induit est souvent responsable de dyspareunies sévères, se répercutant sur leur qualité de vie.
L’étude de Goetsch et collaborateurs apporte enfin une réponse basée sur des preuves à ce problème.
Cancer du sein
Article Commenté
Source : Journal of Clinial Oncology. Oct 26. pii: JCO.2014.60.1971
Recherchons toujours des biomarqueurs tumoraux prédictifs d’une sensibilité à l’Evérolimus associé à l’Exemestane !
Pr Florence Dalenc Institut Claudius Regaud - Toulouse
Cette étude rétrospective a été conduite chez 302 patientes qui ont participé à la phase III d’enregistrement BOLERO02 (Exemetane + placebo vs Evérolimus).
L’objectif était d’établir si d’une part, certaines mutations somatiques (établies en NGS=Next Generation Sequencinq), notamment celles des gènes codant pour les protéines de la voie PI3K/AKT/m-TOR et d’autre part le niveau d’instabilité chromosomique, sont prédictifs de l’efficacité à l’Evérolimus mesurée en termes de PFS (Survie sans Progression).
Article Commenté
Source : Am J Obstet Gynecol. 2015 ;S0002-9378(15)01014-5.
Evaluation des experts en obstétrique français devant les tribunaux : ce que tout obstétricien devrait savoir
Pr Xavier Carcopino Marseille - Marseille
Une fois n’est pas coutume, c’est un article que notre équipe vient de publier dans l’American Journal of Obstetrics and Gynecology que je vous commente ce mois-ci.
Dans cette étude, nous avons évalué la reproductibilité intra et inter-observateur des experts français en obstétrique lorsqu’ils analysent la prise en charge d’un accouchement ayant présenté des anomalies du rythme cardiaque fœtal (ARCF) pendant le travail. En pratique, cette étude s’est déroulée en deux phases.
Dans un premier temps, nous avons inclus de manière prospective 30 accouchements de
Biphosphonates et cancer du sein : enfin une réponse à nos questions
Cancer du sein
Article Commenté
Source : Lancet. 2015 ; 386(10001):1353-61
Biphosphonates et cancer du sein : enfin une réponse à nos questions
Dr Philippe Barthélémy Institut de cancérologie de Strasbourg - Strasbourg
La place des biphosphonates dans la prise en charge des cancers du sein en situation adjuvante a donné lieu à d’innombrables études avec des résultats discordants, ce qui a conduit à d’innombrables débats ces dernières années sans conclusion claire.
Une méta-analyse menée par l’Early Breast Cancer Trialists’ Collaborative Group (EBCTCG) communiquée lors du congrès de San Antonio en décembre 2014 et maintenant publiée dans le Lancet, permet d’y voir plus clair en montrant que les biphosphonates diminuent le risque de
Grossesse
Vos patients ont lu
« Des greffes d’utérus bientôt en France »
Dans un dossier intitulé « Quoi de neuf ? », le magazine se demande : « Que se passe-t-il dans les labos ? Quelles formules magiques, quelles idées révolutionnaires, quelles avancées scientifiques et technologiques les chercheurs en médecine et cosmétologie ont-ils mis au point pour notre bien-être ? ».
Votre beauté évoque « des greffes d’utérus bientôt en France ». Le magazine relève en effet que « pour de nombreuses femmes privées d'utérus, l'espoir est immense. Bénéficier d’une telle transplantation n’est désormais plus une utopie digne d’un film de science-fiction mais une perspective bel et bien réelle ».
« Les 6 vertus… de l’aspirine »
Fertilité
Vos patients ont lu
« Les 6 vertus… de l’aspirine »
Femme Actuelle se penche sur l’aspirine, qui « est l'un des plus vieux médicaments et pourtant, des études récentes lui ont découvert de nouvelles propriétés ». Le magazine fait « le point avec le Dr Gilles Boccara, médecin-anesthésiste PARC ».
Femme Actuelle explique notamment que le médicament « améliorerait la fertilité... chez les femmes qui ont fait des fausses couches à répétition. Certaines d'entre elles auraient des troubles de la coagulation qui pourraient empêcher la bonne perfusion foeto-placentaire. Dans ce cas, la prise d'aspirine à faible dose est recommandée au tout début de la grossesse, voire juste avant ».
Gynécologie
Vos patients ont lu
Yoga : « Les bienfaits au quotidien »
L'Essentiel de la Psycho septembre 2015
Le magazine note que « connu de tous et pratiqué par des milliards de personnes dans le monde depuis des millénaires, le yoga est une technique de salut originale qui se propose de libérer l'âme de sa condition charnelle par la pratique de disciplines psychiques et corporelles centrées autour de l'exercice, la respiration et la méditation ». 
Effets de l’âge paternel sur les résultats de l’AMP : une revue systématique du modèle du don d’ovocytes
Et si on parlait de lui
Article Commenté
Source : Fertility Sterility 2015 ; 104: 857–65.
Effets de l’âge paternel sur les résultats de l’AMP : une revue systématique du modèle du don d’ovocytes
Dr Aurélie Amar Hoffet Marseille
Existe-t-il une limite d’âge pour un homme en AMP et laquelle ?
Introduction
Dans notre société actuelle, la femme comme l’homme deviennent parents à un âge de plus en plus tardif.
Chez l’homme, il n’a pas été retrouvé de lien clair entre les résultats en AMP et l’âge paternel.
Le facteur confondant le plus important est l’âge maternel, d’où l’intérêt d’étudier les conséquences de l’âge paternel en don d’ovocyte et répondre aux questions des
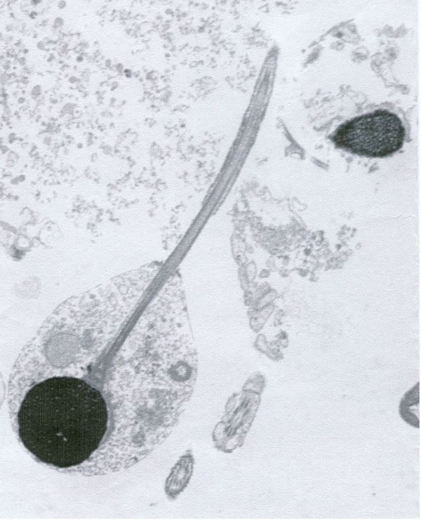
Meilleur taux de grossesse en utilisant le sperme testiculaire chez les hommes présentant une oligospermie sévère
Grossesse
Article Commenté
Source : Fertil Steril 2015 Sep 9. doi: 10.1016/j.fertnstert.2015.08.008.
Meilleur taux de grossesse en utilisant le sperme testiculaire chez les hommes présentant une oligospermie sévère
Pr Clément Jimenez CHU - Bordeaux
Faut-il faire une biopsie testiculaire systématique chez tous les patients avec une oligozoospermie associée à une proportion élevée de spermatozoïdes avec fragmentation de l’ADN ?
Cet article a pour but d’évaluer les taux de succès obtenus en utilisant des spermatozoïdes testiculaires de patients avec une oligozoospermie associée à une proportion de spermatozoïdes TUNEL positif supérieur à 7% dans l’éjaculat et ayant préalablement subi un échec d’ICSI avec injection de spermatozoïdes éjaculés.
Une cytokine musculaire, l’irisine, un nouveau marqueur de l’insulinorésistance (IR) dans le syndrome des ovaires polykystiques (SOPK)
Gynécologie
Article Commenté
Source : J Clin Endocrinol Metab. 2015 ; 100(4):1485-93.
Une cytokine musculaire, l’irisine, un nouveau marqueur de l’insulinorésistance (IR) dans le syndrome des ovaires polykystiques (SOPK)
Dr Isabelle Cédrin-Durnerin Hôpital Jean-Verdier - Bondy
Introduction
Le SOPK est caractérisé par un état d’IR qui touche la plupart des femmes SOPK obèses mais aussi une proportion non négligeable des femmes minces (30%) atteintes de ce syndrome. Bien que l’étiologie du SOPK reste énigmatique, de nombreuses publications récentes ont montré le rôle majeur de diverses cytokines pro-inflammatoires dans le développement de ce syndrome.
Récemment, une nouvelle myokine, l’irisine, a été identifié chez la souris et dans l’espèce humaine.
Disparités ethniques dans les issues de fécondation in vitro
Grossesse
Article Commenté
Source : Fertil Steril. 2015 ; 104(2):398-402.e1.
Disparités ethniques dans les issues de fécondation in vitro
Dr Khaled Pocate Paris
Une équipe américaine évalue l’impact de l’origine ethnique des patientes sur l’issue de leur prise en charge en AMP dans le cadre d’une étude rétrospective monocentrique. Les résultats vont dans le sens de ceux rapportés dans de précédentes études mais montrent également les limites d’une telle analyse.
Introduction
L’origine ethnique reste un facteur prédictif de succès en AMP difficile à évaluer en raison de son caractère subjectif et de l’existence de variables confondantes telles que le statut socio-économique.
Page 236 sur 307        Premier  Précédent  231  232  233  234  235  236  237  238  239  240  Suivant  Dernier
Newsletters