X
Déclaration de liens d'intérêts
Cet auteur a déclaré n'avoir aucun lien d'intérét
Envoi du mail en cours
×
Fermer
Recommander à un confrère
Destinataires
Séparez les différentes adresses par une virgule.
Commentaire
Cher confrère, je pense que ceci devrait t'intéresser. Cordialement,
Les données collectées dans ce formulaire sont uniquement destinées à l'envoi de l'e-mail d'invitation et ne sont pas conservées.
Supportez notre indépendance éditoriale
Connexion / Inscription
Accueil
Actualités
Actus congrès
Actus médiathèques
Actus Scientifiques
Dossiers thématiques
Agenda des congrès
Article du jour Mediscoop
Interviews
Newsletter : Santé Femmes
Newsletter : Spéciale cancers sein métastatiques
Revue de presse Mediscoop
Synthèses
Pathologies
Cancer du sein
Contraception
Et si on parlait de lu...
Fertilité
Grossesse
Gynécologie
Ménopause
Nutrition
Ostéoporose
Pédiatrie
Sexualité
Vaccination
Services
A propos
Contact
Accueil
Actualités
Actus congrès
Actus médiathèques
Actus Scientifiques
Dossiers thématiques
Agenda des congrès
Article du jour Mediscoop
Interviews
Newsletter : Santé Femmes
Newsletter : Spéciale cancers sein métastatiques
Revue de presse Mediscoop
Synthèses
Pathologies
Cancer du sein
Contraception
Et si on parlait de lu...
Fertilité
Grossesse
Gynécologie
Ménopause
Nutrition
Ostéoporose
Pédiatrie
Sexualité
Vaccination
Services
A propos
Contact
Accéder à:
AlgoScoop
AllergoScoop
CanceroNet
Coeur
DermatoNet
DiabetoNet
GastroEnteroNet
GynecoNet
HematoNet
NephroFr
NeuroScoop
OrlScoop
PneumoScoop
RhumatoNet
Publicité
Toutes les actualités scientifiques
Page 241 sur 307
Premier
Précédent
236
237
238
239
240
241
242
243
244
245
Suivant
Dernier
Publicité
Et si on parlait de lui
Article Commenté
Source : Fertil Steril. 2015 ; 103(6):1402-1406.
L’horloge biologique de l’homme : analyse critique de la paternité tardive
Dr Maud Pasquier
CHI - Créteil
Un article en faveur de la parité : l’âge paternel avancé a-t-il un impact sur la fertilité du couple et la santé des enfants ?
Introduction
De plus en plus de couples conçoivent à des âges avancés et, si les conséquences de l’âge maternel sur la fertilité et la reproduction en général sont bien étudiées et connues de tous, l’impact d’une paternité tardive semble moins important, sans pour autant être sans conséquence sur la descendance.
Fertilité
Article Commenté
Source : Human Reproduction 2015 ; 30:1437-1446.
Réserve ovarienne après traitement par agents alkylants durant l’enfance
Dr Christine Decanter
CHRU de Lille - Lille
Qu’en est-il de la réserve ovarienne résiduelle chez de jeunes patientes traitées pour cancer durant l’enfance ? Résultats d’une étude translationnelle portant sur 105 patientes âgées de 17 à 40 ans.
Les techniques de préservation de la fertilité chez la femme progressent rapidement et se doivent d’être proposées systématiquement à toute patiente sur le point de recevoir un traitement gonadotoxique.
Grossesse
Article Commenté
Source : Fertil Steril. 2014 ; 102(4):1029-1033.e1.
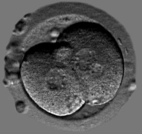
Fréquence des embryons multinucléés détectés par un système de time-lapse et son impact sur les issues de grossesses
Dr Laurent Desch
CHU de Dijon - Dijon
L’évaluation de la qualité embryonnaire reste un élément primordial du choix des embryons à transférer. L’apparition de systèmes avec
time-lapse
permet l’évaluation de nouveaux critères de sélection tels que la multinucléation des blastomères et les temps de clivage.
Alors que la présence de blastomère(s) multinucléés au jour 2 de culture embryonnaire semble avoir un impact négatif sur les taux d’accouchement, qu’en est-il de la multinucléation au stade deux cellules ?
Grossesse
Article Commenté
Source : Hum Reprod. 2015 ; 21(4):486-499.
Prise en charge des endométriomes avant FIV – Faut-il toujours prioriser la méthode conservative ?
Dr Marina Colombani
IMR - Marseille
La chirurgie des endométriomes : depuis la conception jusqu’à la naissance, le bénéfice en 7 questions.
Une diminution de 13% à 15% de la réponse ovarienne est observée chez les patientes souffrant d’endométriose, surtout s’il s’agit d’endométriomes et si l’atteinte est bilatérale. Une approche conservative avant la stimulation ovarienne, semble s’imposer surtout pour les lésions ovariennes de moins de 4 cm.
Article Commenté
Source : J Bone Miner Res 2015 ; 30:1338-46
Existe-t-il une association entre les taux de l’hémoglobine glyquée et le risque de fracture de hanche chez des patients âgés ayant un diabète de type 2 ? Résultats d’une analyse de cohorte rétrospective nationale taïwanaise
Pr Julien Paccou
CHRU - Lille
Le diabète de type 2 est un facteur de risque d’ostéoporose. Les études épidémiologiques semblent retrouver une association entre la survenue de fracture de hanche et le diabète de type 2. Néanmoins, les données concernant le contrôle glycémique (taux d’hémoglobine glyquée) et la survenue de fracture de hanche sont limitées.
Le but de cette étude était donc d’évaluer l’association éventuelle entre les taux d’hémoglobine glyquée initiale et le risque de survenue de fracture de hanche chez des sujets de plus de 65 ans et ayant un diabète de type 2.
Ostéoporose
Article Commenté
Source : J Clin Endocrinol Metab 2015 ; 100:2347-53.
La résistance et la microarchitecture osseuses au radius distal et au tibia distal sont altérées chez des femmes préménopausées ayant une maladie cœliaque
Pr Julien Paccou
CHRU - Lille
L’ostéoporose est une complication de la maladie cœliaque. La présence d’anomalies de la microarchitecture osseuse chez ces patients reste largement méconnue. L’objectif de cette étude était donc d’évaluer les paramètres de la microarchitecture osseuse ainsi que les altérations potentielles de la résistance de l’os par une analyse en éléments finis.
Il s’agit d’une étude de type cas-contrôles, monocentrique et ayant inclus des femmes préménopausées avec une maladie cœliaque nouvellement diagnostiquée (N = 33) comparées à des sujets sains (N = 33).
Article Commenté
Source : J Clin Endocrinol Metab 2015 ; 100:2214-22.
Existe-t-il un retentissement osseux de l’utilisation des concentrés de protéines de lactosérum (protéines WHEY) chez des adultes caucasoïdes âgés ?
Pr Julien Paccou
CHRU - Lille
Il existe un postulat concernant l’augmentation de la calciurie suivant l’augmentation de l’ingestion de protéines alimentaires en raison d’une augmentation de la résorption osseuse.
Cependant, des études récentes semblent indiquer que l’augmentation de l’ingestion de protéines alimentaires permet en réalité l’augmentation de l’absorption digestive du calcium sans modifier la résorption osseuse.
Par ailleurs il est bien démontré à travers des études de cohorte que des apports protéiques faibles
Cas Clinique
Source : Osteonews juin 2015
Trop d’os est douloureux
Dr Jacques Fechtenbaum
Hôpital Cochin - Paris
Mme L., 20 ans, présente des douleurs diffuses depuis plusieurs années qu’elle definit « comme des douleurs osseuses ». Dans le bilan, une densitomérie osseuse et une VFA sont demandées.
On retrouve une DMO très élevée avec un Tscore et un Zscore à +7 DS au rachis lombaire ; +6,9 et +7 respectivement au col fémoral et au col total. Le positionnement du score de DMO de la patiente est en dehors du graphique !
On suppute des anomalies osseuses sur la densitométrie osseuse, confirmées sur la VFA.
Cancer du sein
Article Commenté
Source : N Engl J Med. 2015 Jun 1. [Epub ahead of print]
PALOMA3 : confirmation du bénéfice du palbociclib en association avec l’hormonothérapie
Pr Florence Dalenc
Institut Claudius Regaud - Toulouse
Turner N
et al
. viennent de publier dans le
NEJM
les résultats de l’étude PALOMA 03, quelques jours après la communication des résultats à l’ASCO 2015.
Cette étude compare le Fulvestrant seul (500 mg IM) +/- agoniste de la LHRH à l’association palbociclib (125 mg/j, 21 jours sur 28), un inhibiteur des cyclines dépendantes des kinases 4 et 6 + Fulvestrant +/- agoniste de la LHRH, chez des patientes post ou pré/péri ménopausées, présentant un cancer RH+ et HER2 neg.
Cancer du sein
Article Commenté
Source : Cancer Res. 2015 ; 75(4):720-31.
ERRα (Estrogen Related Receptors Alpha) pourrait jouer un rôle dans les cancers du sein hormonorésistants
Dr Anna Durigova
Polyclinique Saint-Côme - Compiègne
Les efforts de la compréhension de l’hormonorésistance se poursuivent avec la mise en évidence d’un récepteur proche mais différent de l’ER
: l’ERRα. L’action de l’ERRα semble promouvoir l’hormonorésistance et son inhibition restaure en partie l’hormonosensibilité et bloque la croissance tumorale.
En dehors de récepteur aux estrogènes (ERα) exprimé dans environ 70% des cancers du sein, il existe d’autres récepteurs nucléaires aux séquences partiellement homologues aux ER, nommés
Cancer du sein
Article Commenté
Source : Lancet. 2015 May 29. doi:10.1016/S0140-6736(15)60995-3. Abstract#504 ASCO 2015
Denosumab et cancer du sein adjuvant : et si ce n’était que le début…
Dr Philippe Barthélémy
Institut de cancérologie de Strasbourg - Strasbourg
De nombreux travaux ont étudié ces dernières années le rôle des biphosphonates (BP) et plus récemment celui du denosumab (D) en situation adjuvant des cancers du sein. Seules les données portant sur le rôle des BP ont été rapportées avec pour l’ensemble des études 2 questions : le rôle des BP dans la prévention des complications osseuses induites par les inhibiteurs de l’aromatase et le rôle potentiel des BP dans la prévention des métastases osseuses et leur impact sur la survie globale.
Alors que la situation est devenue plus claire concernant le rôle
Cancer du sein
Vos patients ont lu
Source : Senoscoop juin 2015
« Un homme sur mille aura un cancer du sein dans sa vie »
Le journal fait savoir qu’«
une nouvelle étude internationale souligne le rôle des œstrogènes dans l'apparition de ce cancer rare chez l'homme
». «
Pour un homme, le risque d'avoir un cancer du sein au cours de sa vie est d'environ un pour mille
», estime la Société américaine du cancer. «
Un risque trop faible pour que des campagnes nationales soient organisées, mais suffisant pour que chaque homme connaisse les symptômes de ce cancer
», souligne Le Figaro.
Page 241 sur 307
Premier
Précédent
236
237
238
239
240
241
242
243
244
245
Suivant
Dernier
Publicité
Publicité
Actus congrès
27th Congress of the European Society of Gynaecological...
Bella Center Copenhagen - Copenhague, Danemark
26-28 février 2026
Toutes les actus congrès
Agenda des congrès
Accéder à l'agenda des congrès à venir
Dossiers thématiques
Prise en charge actuelle du cancer du sein RH+ : vers une...
Tous les dossiers
Autres actualités
Prise en charge des cancers de l'ovaire en 1ère ligne :...
Dr Anne-Claire Hardy (
Centre Armoricain d'Oncologie CARIO - Plérin
)
Dr Frédéric Selle (
GH Diaconesses Croix Saint-Simon - Paris
)
Pr Benoit You (
Hospices Civils - Lyon
)
Prise en charge du diabète gestationnel au Maghreb
par le Pr
Faika Ben Mami
(Tunis)
Toutes les interviews
Jour 3 : faisceau final sur les données...
par le Pr
Benoit You
(Hospices Civils - Lyon)
Toutes les synthèses
Newsletters
Osteonews
Publicité
×
Fermer